一例罕见的右心房副神经节瘤的个体与SHDB突变。

IF 0.5 Q4 CARDIAC & CARDIOVASCULAR SYSTEMS
Case Reports in Cardiology Pub Date : 2022-10-03 eCollection Date: 2022-01-01 DOI:10.1155/2022/1140976
Ian Lancaster, Carlos Nunez, Andrew Willinger, Christiano Caldeira, Jeffrey Aufman
{"title":"一例罕见的右心房副神经节瘤的个体与SHDB突变。","authors":"Ian Lancaster,&nbsp;Carlos Nunez,&nbsp;Andrew Willinger,&nbsp;Christiano Caldeira,&nbsp;Jeffrey Aufman","doi":"10.1155/2022/1140976","DOIUrl":null,"url":null,"abstract":"<p><p>Paragangliomas are extra-adrenal chromaffin cell tumors. A small percentage of these tumors can be found in the thoracic cavity and, when in the heart, are typically in the left atrium. In this case report, we discuss the case of an individual with a history of several paragangliomas with the <i>SHDB</i> mutation who was found to have two cardiac paragangliomas in the right atrium.</p>","PeriodicalId":51760,"journal":{"name":"Case Reports in Cardiology","volume":" ","pages":"1140976"},"PeriodicalIF":0.5000,"publicationDate":"2022-10-03","publicationTypes":"Journal Article","fieldsOfStudy":null,"isOpenAccess":false,"openAccessPdf":"https://www.ncbi.nlm.nih.gov/pmc/articles/PMC9550431/pdf/","citationCount":"0","resultStr":"{\"title\":\"A Rare Case of a Right Atrial Paraganglioma in an Individual with the SHDB Mutation.\",\"authors\":\"Ian Lancaster,&nbsp;Carlos Nunez,&nbsp;Andrew Willinger,&nbsp;Christiano Caldeira,&nbsp;Jeffrey Aufman\",\"doi\":\"10.1155/2022/1140976\",\"DOIUrl\":null,\"url\":null,\"abstract\":\"<p><p>Paragangliomas are extra-adrenal chromaffin cell tumors. A small percentage of these tumors can be found in the thoracic cavity and, when in the heart, are typically in the left atrium. In this case report, we discuss the case of an individual with a history of several paragangliomas with the <i>SHDB</i> mutation who was found to have two cardiac paragangliomas in the right atrium.</p>\",\"PeriodicalId\":51760,\"journal\":{\"name\":\"Case Reports in Cardiology\",\"volume\":\" \",\"pages\":\"1140976\"},\"PeriodicalIF\":0.5000,\"publicationDate\":\"2022-10-03\",\"publicationTypes\":\"Journal Article\",\"fieldsOfStudy\":null,\"isOpenAccess\":false,\"openAccessPdf\":\"https://www.ncbi.nlm.nih.gov/pmc/articles/PMC9550431/pdf/\",\"citationCount\":\"0\",\"resultStr\":null,\"platform\":\"Semanticscholar\",\"paperid\":null,\"PeriodicalName\":\"Case Reports in Cardiology\",\"FirstCategoryId\":\"1085\",\"ListUrlMain\":\"https://doi.org/10.1155/2022/1140976\",\"RegionNum\":0,\"RegionCategory\":null,\"ArticlePicture\":[],\"TitleCN\":null,\"AbstractTextCN\":null,\"PMCID\":null,\"EPubDate\":\"2022/1/1 0:00:00\",\"PubModel\":\"eCollection\",\"JCR\":\"Q4\",\"JCRName\":\"CARDIAC & CARDIOVASCULAR SYSTEMS\",\"Score\":null,\"Total\":0}","platform":"Semanticscholar","paperid":null,"PeriodicalName":"Case Reports in Cardiology","FirstCategoryId":"1085","ListUrlMain":"https://doi.org/10.1155/2022/1140976","RegionNum":0,"RegionCategory":null,"ArticlePicture":[],"TitleCN":null,"AbstractTextCN":null,"PMCID":null,"EPubDate":"2022/1/1 0:00:00","PubModel":"eCollection","JCR":"Q4","JCRName":"CARDIAC & CARDIOVASCULAR SYSTEMS","Score":null,"Total":0}
引用次数: 0

摘要

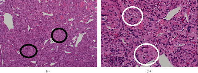
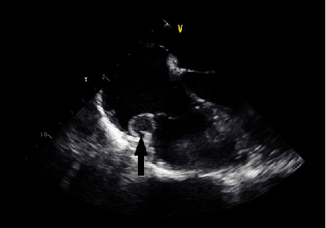
副神经节瘤是肾上腺外染色质细胞瘤。这些肿瘤中有一小部分可以在胸腔中发现,当在心脏中发现时,通常在左心房。在这个病例报告中,我们讨论了一个有SHDB突变的几个副神经节瘤病史的人,他在右心房发现了两个心脏副神经节瘤。
本文章由计算机程序翻译,如有差异,请以英文原文为准。

A Rare Case of a Right Atrial Paraganglioma in an Individual with the SHDB Mutation.

A Rare Case of a Right Atrial Paraganglioma in an Individual with the SHDB Mutation.

A Rare Case of a Right Atrial Paraganglioma in an Individual with the SHDB Mutation.

A Rare Case of a Right Atrial Paraganglioma in an Individual with the SHDB Mutation.

Paragangliomas are extra-adrenal chromaffin cell tumors. A small percentage of these tumors can be found in the thoracic cavity and, when in the heart, are typically in the left atrium. In this case report, we discuss the case of an individual with a history of several paragangliomas with the SHDB mutation who was found to have two cardiac paragangliomas in the right atrium.

求助全文
通过发布文献求助,成功后即可免费获取论文全文。 去求助
来源期刊
Case Reports in Cardiology
Case Reports in Cardiology CARDIAC & CARDIOVASCULAR SYSTEMS-
自引率
0.00%
发文量
63
审稿时长
13 weeks
期刊介绍: Case Reports in Cardiology is a peer-reviewed, Open Access journal that publishes case reports and case series related to hypertension, arrhythmia, congestive heart failure, valvular heart disease, vascular disease, congenital heart disease and cardiomyopathy.
×
引用
GB/T 7714-2015
复制
MLA
复制
APA
复制
导出至
BibTeX EndNote RefMan NoteFirst NoteExpress
×
提示
您的信息不完整,为了账户安全,请先补充。
现在去补充
×
提示
您因"违规操作"
具体请查看互助需知
我知道了
×
提示
确定
请完成安全验证×
copy
已复制链接
快去分享给好友吧!
我知道了
右上角分享
点击右上角分享
0
联系我们:info@booksci.cn Book学术提供免费学术资源搜索服务,方便国内外学者检索中英文文献。致力于提供最便捷和优质的服务体验。 Copyright © 2023 布克学术 All rights reserved.
京ICP备2023020795号-1
ghs 京公网安备 11010802042870号
Book学术文献互助
Book学术文献互助群
群 号:604180095
Book学术官方微信