罕见的系统性红斑狼疮模拟者一例报告。

Q4 Medicine
Open Rheumatology Journal Pub Date : 2015-06-12 eCollection Date: 2015-01-01 DOI:10.2174/18743129014090100027
Aloice O Aluoch, Mathew Farbman, Heather Gladue
{"title":"罕见的系统性红斑狼疮模拟者一例报告。","authors":"Aloice O Aluoch,&nbsp;Mathew Farbman,&nbsp;Heather Gladue","doi":"10.2174/18743129014090100027","DOIUrl":null,"url":null,"abstract":"<p><p>We present a case of a 47 year-old African American female with 15 pack-years of tobacco use and heavy alcohol use who presented with arthritis and was found to have a positive antinuclear antibodies (ANA), anti double stranded DNA antibodies (anti-dsDNA), and anti-Sjogren's syndrome-related antigen A and antigen B (anti-SSA and anti-SSB). She was subsequently found to have a lung adenocarcinoma associated with hypertrophic pulmonary osteoarthropathy (HPO). This demonstrates a case of positive antinuclear antibodies and arthritis in a patient with lung adenocarcinoma, which can be falsely diagnosed as systemic lupus erythematosus. </p>","PeriodicalId":39124,"journal":{"name":"Open Rheumatology Journal","volume":"9 ","pages":"27-9"},"PeriodicalIF":0.0000,"publicationDate":"2015-06-12","publicationTypes":"Journal Article","fieldsOfStudy":null,"isOpenAccess":false,"openAccessPdf":"https://ftp.ncbi.nlm.nih.gov/pub/pmc/oa_pdf/44/18/TORJ-9-27.PMC4475692.pdf","citationCount":"8","resultStr":"{\"title\":\"An Unusual Mimicker of Systemic Lupus Erythematosus: A Case Report.\",\"authors\":\"Aloice O Aluoch,&nbsp;Mathew Farbman,&nbsp;Heather Gladue\",\"doi\":\"10.2174/18743129014090100027\",\"DOIUrl\":null,\"url\":null,\"abstract\":\"<p><p>We present a case of a 47 year-old African American female with 15 pack-years of tobacco use and heavy alcohol use who presented with arthritis and was found to have a positive antinuclear antibodies (ANA), anti double stranded DNA antibodies (anti-dsDNA), and anti-Sjogren's syndrome-related antigen A and antigen B (anti-SSA and anti-SSB). She was subsequently found to have a lung adenocarcinoma associated with hypertrophic pulmonary osteoarthropathy (HPO). This demonstrates a case of positive antinuclear antibodies and arthritis in a patient with lung adenocarcinoma, which can be falsely diagnosed as systemic lupus erythematosus. </p>\",\"PeriodicalId\":39124,\"journal\":{\"name\":\"Open Rheumatology Journal\",\"volume\":\"9 \",\"pages\":\"27-9\"},\"PeriodicalIF\":0.0000,\"publicationDate\":\"2015-06-12\",\"publicationTypes\":\"Journal Article\",\"fieldsOfStudy\":null,\"isOpenAccess\":false,\"openAccessPdf\":\"https://ftp.ncbi.nlm.nih.gov/pub/pmc/oa_pdf/44/18/TORJ-9-27.PMC4475692.pdf\",\"citationCount\":\"8\",\"resultStr\":null,\"platform\":\"Semanticscholar\",\"paperid\":null,\"PeriodicalName\":\"Open Rheumatology Journal\",\"FirstCategoryId\":\"1085\",\"ListUrlMain\":\"https://doi.org/10.2174/18743129014090100027\",\"RegionNum\":0,\"RegionCategory\":null,\"ArticlePicture\":[],\"TitleCN\":null,\"AbstractTextCN\":null,\"PMCID\":null,\"EPubDate\":\"2015/1/1 0:00:00\",\"PubModel\":\"eCollection\",\"JCR\":\"Q4\",\"JCRName\":\"Medicine\",\"Score\":null,\"Total\":0}","platform":"Semanticscholar","paperid":null,"PeriodicalName":"Open Rheumatology Journal","FirstCategoryId":"1085","ListUrlMain":"https://doi.org/10.2174/18743129014090100027","RegionNum":0,"RegionCategory":null,"ArticlePicture":[],"TitleCN":null,"AbstractTextCN":null,"PMCID":null,"EPubDate":"2015/1/1 0:00:00","PubModel":"eCollection","JCR":"Q4","JCRName":"Medicine","Score":null,"Total":0}
引用次数: 8

摘要

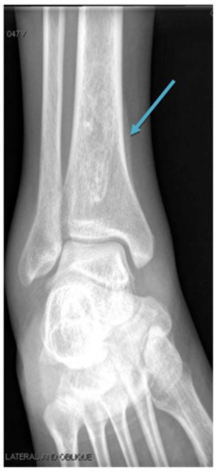
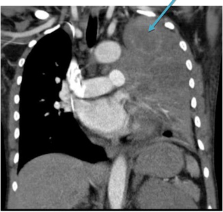
我们报告了一例47岁的非裔美国女性,她有15包年的烟草使用和大量酒精使用,表现为关节炎,并被发现有阳性的抗核抗体(ANA)、抗双链DNA抗体(抗dsdna)和抗干燥综合征相关抗原a和抗原B(抗ssa和抗ssb)。她随后被发现有肺腺癌合并肥厚性肺骨关节病(HPO)。这是一例肺腺癌患者的抗核抗体阳性和关节炎,可被误诊为系统性红斑狼疮。
本文章由计算机程序翻译,如有差异,请以英文原文为准。

An Unusual Mimicker of Systemic Lupus Erythematosus: A Case Report.

An Unusual Mimicker of Systemic Lupus Erythematosus: A Case Report.

An Unusual Mimicker of Systemic Lupus Erythematosus: A Case Report.

An Unusual Mimicker of Systemic Lupus Erythematosus: A Case Report.

We present a case of a 47 year-old African American female with 15 pack-years of tobacco use and heavy alcohol use who presented with arthritis and was found to have a positive antinuclear antibodies (ANA), anti double stranded DNA antibodies (anti-dsDNA), and anti-Sjogren's syndrome-related antigen A and antigen B (anti-SSA and anti-SSB). She was subsequently found to have a lung adenocarcinoma associated with hypertrophic pulmonary osteoarthropathy (HPO). This demonstrates a case of positive antinuclear antibodies and arthritis in a patient with lung adenocarcinoma, which can be falsely diagnosed as systemic lupus erythematosus.

求助全文
通过发布文献求助,成功后即可免费获取论文全文。 去求助
来源期刊
Open Rheumatology Journal
Open Rheumatology Journal Medicine-Rheumatology
CiteScore
0.80
自引率
0.00%
发文量
2
期刊介绍: ENTHAM Open publishes a number of peer-reviewed, open access journals. These free-to-view online journals cover all major disciplines of science, medicine, technology and social sciences. BENTHAM Open provides researchers a platform to rapidly publish their research in a good-quality peer-reviewed journal. All peer-reviewed accepted submissions meeting high research and ethical standards are published with free access to all.
×
引用
GB/T 7714-2015
复制
MLA
复制
APA
复制
导出至
BibTeX EndNote RefMan NoteFirst NoteExpress
×
提示
您的信息不完整,为了账户安全,请先补充。
现在去补充
×
提示
您因"违规操作"
具体请查看互助需知
我知道了
×
提示
确定
请完成安全验证×
copy
已复制链接
快去分享给好友吧!
我知道了
右上角分享
点击右上角分享
0
联系我们:info@booksci.cn Book学术提供免费学术资源搜索服务,方便国内外学者检索中英文文献。致力于提供最便捷和优质的服务体验。 Copyright © 2023 布克学术 All rights reserved.
京ICP备2023020795号-1
ghs 京公网安备 11010802042870号
Book学术文献互助
Book学术文献互助群
群 号:604180095
Book学术官方微信