脊柱及骶髂痛风性关节炎1例报告及文献复习。

Acta Radiologica Short Reports Pub Date : 2014-09-17 eCollection Date: 2014-09-01 DOI:10.1177/2047981614549269
Fabiano Nassar Cardoso, Patrick Omoumi, Gregoire Wieers, Baudouin Maldague, Jacques Malghem, Frédéric E Lecouvet, Bruno C Vande Berg
{"title":"脊柱及骶髂痛风性关节炎1例报告及文献复习。","authors":"Fabiano Nassar Cardoso,&nbsp;Patrick Omoumi,&nbsp;Gregoire Wieers,&nbsp;Baudouin Maldague,&nbsp;Jacques Malghem,&nbsp;Frédéric E Lecouvet,&nbsp;Bruno C Vande Berg","doi":"10.1177/2047981614549269","DOIUrl":null,"url":null,"abstract":"<p><p>In this case report, we describe an \"uncommon\" case of axial gouty arthropathy in a 69-year-old woman with bilateral sciatica that was thoroughly evaluated with conventional radiography, CT scan, magnetic resonance imaging, bone scintigraphy, and PET-CT. Axial gouty arthropathy should be included in the differential diagnosis of chronic low back pain, mainly when several risk factors for gout are present. </p>","PeriodicalId":30445,"journal":{"name":"Acta Radiologica Short Reports","volume":"3 8","pages":"2047981614549269"},"PeriodicalIF":0.0000,"publicationDate":"2014-09-17","publicationTypes":"Journal Article","fieldsOfStudy":null,"isOpenAccess":false,"openAccessPdf":"https://sci-hub-pdf.com/10.1177/2047981614549269","citationCount":"19","resultStr":"{\"title\":\"Spinal and sacroiliac gouty arthritis: report of a case and review of the literature.\",\"authors\":\"Fabiano Nassar Cardoso,&nbsp;Patrick Omoumi,&nbsp;Gregoire Wieers,&nbsp;Baudouin Maldague,&nbsp;Jacques Malghem,&nbsp;Frédéric E Lecouvet,&nbsp;Bruno C Vande Berg\",\"doi\":\"10.1177/2047981614549269\",\"DOIUrl\":null,\"url\":null,\"abstract\":\"<p><p>In this case report, we describe an \\\"uncommon\\\" case of axial gouty arthropathy in a 69-year-old woman with bilateral sciatica that was thoroughly evaluated with conventional radiography, CT scan, magnetic resonance imaging, bone scintigraphy, and PET-CT. Axial gouty arthropathy should be included in the differential diagnosis of chronic low back pain, mainly when several risk factors for gout are present. </p>\",\"PeriodicalId\":30445,\"journal\":{\"name\":\"Acta Radiologica Short Reports\",\"volume\":\"3 8\",\"pages\":\"2047981614549269\"},\"PeriodicalIF\":0.0000,\"publicationDate\":\"2014-09-17\",\"publicationTypes\":\"Journal Article\",\"fieldsOfStudy\":null,\"isOpenAccess\":false,\"openAccessPdf\":\"https://sci-hub-pdf.com/10.1177/2047981614549269\",\"citationCount\":\"19\",\"resultStr\":null,\"platform\":\"Semanticscholar\",\"paperid\":null,\"PeriodicalName\":\"Acta Radiologica Short Reports\",\"FirstCategoryId\":\"1085\",\"ListUrlMain\":\"https://doi.org/10.1177/2047981614549269\",\"RegionNum\":0,\"RegionCategory\":null,\"ArticlePicture\":[],\"TitleCN\":null,\"AbstractTextCN\":null,\"PMCID\":null,\"EPubDate\":\"2014/9/1 0:00:00\",\"PubModel\":\"eCollection\",\"JCR\":\"\",\"JCRName\":\"\",\"Score\":null,\"Total\":0}","platform":"Semanticscholar","paperid":null,"PeriodicalName":"Acta Radiologica Short Reports","FirstCategoryId":"1085","ListUrlMain":"https://doi.org/10.1177/2047981614549269","RegionNum":0,"RegionCategory":null,"ArticlePicture":[],"TitleCN":null,"AbstractTextCN":null,"PMCID":null,"EPubDate":"2014/9/1 0:00:00","PubModel":"eCollection","JCR":"","JCRName":"","Score":null,"Total":0}
引用次数: 19

摘要

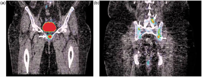
在这个病例报告中,我们描述了一个“罕见”的轴性痛风性关节病,患者是一位69岁的女性,患有双侧坐骨神经痛,并通过常规x线摄影、CT扫描、磁共振成像、骨显像和PET-CT进行了全面评估。轴性痛风关节病应包括在慢性腰痛的鉴别诊断中,主要是当存在痛风的几个危险因素时。
本文章由计算机程序翻译,如有差异,请以英文原文为准。

Spinal and sacroiliac gouty arthritis: report of a case and review of the literature.

Spinal and sacroiliac gouty arthritis: report of a case and review of the literature.

Spinal and sacroiliac gouty arthritis: report of a case and review of the literature.

Spinal and sacroiliac gouty arthritis: report of a case and review of the literature.

In this case report, we describe an "uncommon" case of axial gouty arthropathy in a 69-year-old woman with bilateral sciatica that was thoroughly evaluated with conventional radiography, CT scan, magnetic resonance imaging, bone scintigraphy, and PET-CT. Axial gouty arthropathy should be included in the differential diagnosis of chronic low back pain, mainly when several risk factors for gout are present.

求助全文
通过发布文献求助,成功后即可免费获取论文全文。 去求助
来源期刊
自引率
0.00%
发文量
0
审稿时长
12 weeks
期刊介绍: Under the editorial leadership of Professor Arnulf Skjennald MD and a distinguished editorial board, Acta Radiologica Open, formerly Acta Radiologica Short Reports, aims for the prompt publication of original case reports, short reports, review articles, pictorial reviews, research articles on diagnostic and interventional radiology, clinical radiology, experimental investigations in animals, and all other research related to imaging procedures. Acta Radiologica Open provides a complete update on all radiological specialties and technical utilities, as well as physiology and physics related to imaging, including ultrasonography, computed tomography, radionuclide and magnetic resonance imaging. Acta Radiologica Open publishes articles on diagnostic and interventional procedures in radiology based on all medical imaging techniques, as well as works in physiology and physics when related to radiology. The journal is an online-only, peer reviewed, open access journal.
×
引用
GB/T 7714-2015
复制
MLA
复制
APA
复制
导出至
BibTeX EndNote RefMan NoteFirst NoteExpress
×
提示
您的信息不完整,为了账户安全,请先补充。
现在去补充
×
提示
您因"违规操作"
具体请查看互助需知
我知道了
×
提示
确定
请完成安全验证×
copy
已复制链接
快去分享给好友吧!
我知道了
右上角分享
点击右上角分享
0
联系我们:info@booksci.cn Book学术提供免费学术资源搜索服务,方便国内外学者检索中英文文献。致力于提供最便捷和优质的服务体验。 Copyright © 2023 布克学术 All rights reserved.
京ICP备2023020795号-1
ghs 京公网安备 11010802042870号
Book学术文献互助
Book学术文献互助群
群 号:604180095
Book学术官方微信