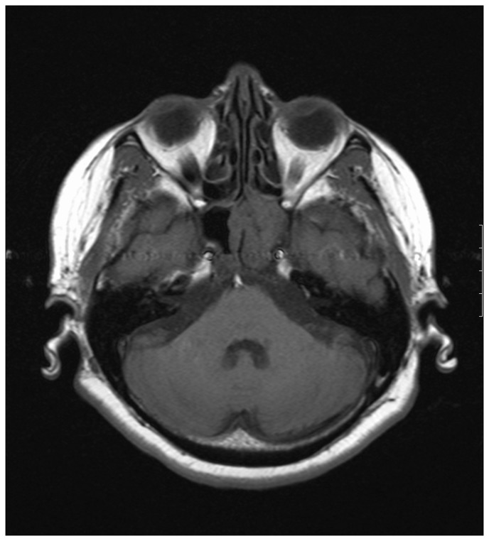
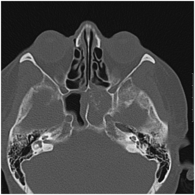
孤立性蝶骨真菌性鼻窦炎并并发鞍内肿块,以头痛为唯一症状。

Acta Radiologica Short Reports Pub Date : 2014-09-04 eCollection Date: 2014-09-01 DOI:10.1177/2047981614546794
Cem Burak Kalaycı, Halime Cevik
{"title":"孤立性蝶骨真菌性鼻窦炎并并发鞍内肿块,以头痛为唯一症状。","authors":"Cem Burak Kalaycı,&nbsp;Halime Cevik","doi":"10.1177/2047981614546794","DOIUrl":null,"url":null,"abstract":"<p><p>A case of isolated sphenoid fungal sinusitis in an elderly diabetic patient is described. A coexisting mass lesion located in the sellar region was detected incidentally. Coincidence of these two entities represents a potential surgical disaster which may result in direct intracranial spread of fungal infection. </p>","PeriodicalId":30445,"journal":{"name":"Acta Radiologica Short Reports","volume":"3 8","pages":"2047981614546794"},"PeriodicalIF":0.0000,"publicationDate":"2014-09-04","publicationTypes":"Journal Article","fieldsOfStudy":null,"isOpenAccess":false,"openAccessPdf":"https://sci-hub-pdf.com/10.1177/2047981614546794","citationCount":"3","resultStr":"{\"title\":\"Isolated sphenoid fungal sinusitis and coexisting intrasellar mass lesion presenting with headache as the sole symptom.\",\"authors\":\"Cem Burak Kalaycı,&nbsp;Halime Cevik\",\"doi\":\"10.1177/2047981614546794\",\"DOIUrl\":null,\"url\":null,\"abstract\":\"<p><p>A case of isolated sphenoid fungal sinusitis in an elderly diabetic patient is described. A coexisting mass lesion located in the sellar region was detected incidentally. Coincidence of these two entities represents a potential surgical disaster which may result in direct intracranial spread of fungal infection. </p>\",\"PeriodicalId\":30445,\"journal\":{\"name\":\"Acta Radiologica Short Reports\",\"volume\":\"3 8\",\"pages\":\"2047981614546794\"},\"PeriodicalIF\":0.0000,\"publicationDate\":\"2014-09-04\",\"publicationTypes\":\"Journal Article\",\"fieldsOfStudy\":null,\"isOpenAccess\":false,\"openAccessPdf\":\"https://sci-hub-pdf.com/10.1177/2047981614546794\",\"citationCount\":\"3\",\"resultStr\":null,\"platform\":\"Semanticscholar\",\"paperid\":null,\"PeriodicalName\":\"Acta Radiologica Short Reports\",\"FirstCategoryId\":\"1085\",\"ListUrlMain\":\"https://doi.org/10.1177/2047981614546794\",\"RegionNum\":0,\"RegionCategory\":null,\"ArticlePicture\":[],\"TitleCN\":null,\"AbstractTextCN\":null,\"PMCID\":null,\"EPubDate\":\"2014/9/1 0:00:00\",\"PubModel\":\"eCollection\",\"JCR\":\"\",\"JCRName\":\"\",\"Score\":null,\"Total\":0}","platform":"Semanticscholar","paperid":null,"PeriodicalName":"Acta Radiologica Short Reports","FirstCategoryId":"1085","ListUrlMain":"https://doi.org/10.1177/2047981614546794","RegionNum":0,"RegionCategory":null,"ArticlePicture":[],"TitleCN":null,"AbstractTextCN":null,"PMCID":null,"EPubDate":"2014/9/1 0:00:00","PubModel":"eCollection","JCR":"","JCRName":"","Score":null,"Total":0}
引用次数: 3

摘要

一例孤立的蝶骨真菌鼻窦炎在一个老年糖尿病患者被描述。偶然发现位于鞍区共存的肿块病变。这两个实体的重合代表了潜在的手术灾难,可能导致真菌感染的直接颅内扩散。
本文章由计算机程序翻译,如有差异,请以英文原文为准。

Isolated sphenoid fungal sinusitis and coexisting intrasellar mass lesion presenting with headache as the sole symptom.

Isolated sphenoid fungal sinusitis and coexisting intrasellar mass lesion presenting with headache as the sole symptom.

Isolated sphenoid fungal sinusitis and coexisting intrasellar mass lesion presenting with headache as the sole symptom.

Isolated sphenoid fungal sinusitis and coexisting intrasellar mass lesion presenting with headache as the sole symptom.

A case of isolated sphenoid fungal sinusitis in an elderly diabetic patient is described. A coexisting mass lesion located in the sellar region was detected incidentally. Coincidence of these two entities represents a potential surgical disaster which may result in direct intracranial spread of fungal infection.

求助全文
通过发布文献求助,成功后即可免费获取论文全文。 去求助
来源期刊
自引率
0.00%
发文量
0
审稿时长
12 weeks
期刊介绍: Under the editorial leadership of Professor Arnulf Skjennald MD and a distinguished editorial board, Acta Radiologica Open, formerly Acta Radiologica Short Reports, aims for the prompt publication of original case reports, short reports, review articles, pictorial reviews, research articles on diagnostic and interventional radiology, clinical radiology, experimental investigations in animals, and all other research related to imaging procedures. Acta Radiologica Open provides a complete update on all radiological specialties and technical utilities, as well as physiology and physics related to imaging, including ultrasonography, computed tomography, radionuclide and magnetic resonance imaging. Acta Radiologica Open publishes articles on diagnostic and interventional procedures in radiology based on all medical imaging techniques, as well as works in physiology and physics when related to radiology. The journal is an online-only, peer reviewed, open access journal.
×
引用
GB/T 7714-2015
复制
MLA
复制
APA
复制
导出至
BibTeX EndNote RefMan NoteFirst NoteExpress
×
提示
您的信息不完整,为了账户安全,请先补充。
现在去补充
×
提示
您因"违规操作"
具体请查看互助需知
我知道了
×
提示
确定
请完成安全验证×
copy
已复制链接
快去分享给好友吧!
我知道了
右上角分享
点击右上角分享
0
联系我们:info@booksci.cn Book学术提供免费学术资源搜索服务,方便国内外学者检索中英文文献。致力于提供最便捷和优质的服务体验。 Copyright © 2023 布克学术 All rights reserved.
京ICP备2023020795号-1
ghs 京公网安备 11010802042870号
Book学术文献互助
Book学术文献互助群
群 号:604180095
Book学术官方微信