水牛(Bubalus bubalis)乳腺的形态发生。

Anatomy research international Pub Date : 2014-01-01 Epub Date: 2014-04-27 DOI:10.1155/2014/687936
Amit Challana, Anuradha Gupta, Neelam Bansal, Varinder Uppal
{"title":"水牛(Bubalus bubalis)乳腺的形态发生。","authors":"Amit Challana,&nbsp;Anuradha Gupta,&nbsp;Neelam Bansal,&nbsp;Varinder Uppal","doi":"10.1155/2014/687936","DOIUrl":null,"url":null,"abstract":"<p><p>The present research was elucidated on the morphogenesis of mammary gland of buffalo during prenatal development. Total of 16 foetuses ranging from 1.2 cm (34 days) to 108 cm CVRL (curved crown rump length) (317 days) were used for study. The study revealed that mammary line was first observed at 1.2 cm CVRL (34 days), mammary hillock at 1.7 cm (37 days), and mammary bud at 2.6 cm CVRL (41 days) foetuses. Epidermal cone was found at 6.7 cm CVRL (58 days) whereas primary and secondary ducts were observed at 7.4 cm CVRL (62 days) and 15 cm CVRL (96 days), respectively. Connective tissue whorls were reported at 18.2 cm CVRL (110 days) and internal elastic lamina and muscle layers at 24.1 cm CVRL (129 days). Lobules were observed at 29.3 cm CVRL (140 days), rosette of furstenberg at 39.5 cm CVRL (163 days), and keratin plug at 45.5 cm CVRL (176 days) foetus. Primordia of sweat and sebaceous glands around hair follicle were seen at 21.2 cm CVRL (122 days) of foetal life. Differentiation of all the skin layers along with cornification was observed at 69 cm (229 days) in group III foetuses. </p>","PeriodicalId":89526,"journal":{"name":"Anatomy research international","volume":"2014 ","pages":"687936"},"PeriodicalIF":0.0000,"publicationDate":"2014-01-01","publicationTypes":"Journal Article","fieldsOfStudy":null,"isOpenAccess":false,"openAccessPdf":"https://sci-hub-pdf.com/10.1155/2014/687936","citationCount":"3","resultStr":"{\"title\":\"Morphogenesis of Mammary Glands in Buffalo (Bubalus bubalis).\",\"authors\":\"Amit Challana,&nbsp;Anuradha Gupta,&nbsp;Neelam Bansal,&nbsp;Varinder Uppal\",\"doi\":\"10.1155/2014/687936\",\"DOIUrl\":null,\"url\":null,\"abstract\":\"<p><p>The present research was elucidated on the morphogenesis of mammary gland of buffalo during prenatal development. Total of 16 foetuses ranging from 1.2 cm (34 days) to 108 cm CVRL (curved crown rump length) (317 days) were used for study. The study revealed that mammary line was first observed at 1.2 cm CVRL (34 days), mammary hillock at 1.7 cm (37 days), and mammary bud at 2.6 cm CVRL (41 days) foetuses. Epidermal cone was found at 6.7 cm CVRL (58 days) whereas primary and secondary ducts were observed at 7.4 cm CVRL (62 days) and 15 cm CVRL (96 days), respectively. Connective tissue whorls were reported at 18.2 cm CVRL (110 days) and internal elastic lamina and muscle layers at 24.1 cm CVRL (129 days). Lobules were observed at 29.3 cm CVRL (140 days), rosette of furstenberg at 39.5 cm CVRL (163 days), and keratin plug at 45.5 cm CVRL (176 days) foetus. Primordia of sweat and sebaceous glands around hair follicle were seen at 21.2 cm CVRL (122 days) of foetal life. Differentiation of all the skin layers along with cornification was observed at 69 cm (229 days) in group III foetuses. </p>\",\"PeriodicalId\":89526,\"journal\":{\"name\":\"Anatomy research international\",\"volume\":\"2014 \",\"pages\":\"687936\"},\"PeriodicalIF\":0.0000,\"publicationDate\":\"2014-01-01\",\"publicationTypes\":\"Journal Article\",\"fieldsOfStudy\":null,\"isOpenAccess\":false,\"openAccessPdf\":\"https://sci-hub-pdf.com/10.1155/2014/687936\",\"citationCount\":\"3\",\"resultStr\":null,\"platform\":\"Semanticscholar\",\"paperid\":null,\"PeriodicalName\":\"Anatomy research international\",\"FirstCategoryId\":\"1085\",\"ListUrlMain\":\"https://doi.org/10.1155/2014/687936\",\"RegionNum\":0,\"RegionCategory\":null,\"ArticlePicture\":[],\"TitleCN\":null,\"AbstractTextCN\":null,\"PMCID\":null,\"EPubDate\":\"2014/4/27 0:00:00\",\"PubModel\":\"Epub\",\"JCR\":\"\",\"JCRName\":\"\",\"Score\":null,\"Total\":0}","platform":"Semanticscholar","paperid":null,"PeriodicalName":"Anatomy research international","FirstCategoryId":"1085","ListUrlMain":"https://doi.org/10.1155/2014/687936","RegionNum":0,"RegionCategory":null,"ArticlePicture":[],"TitleCN":null,"AbstractTextCN":null,"PMCID":null,"EPubDate":"2014/4/27 0:00:00","PubModel":"Epub","JCR":"","JCRName":"","Score":null,"Total":0}
引用次数: 3

摘要

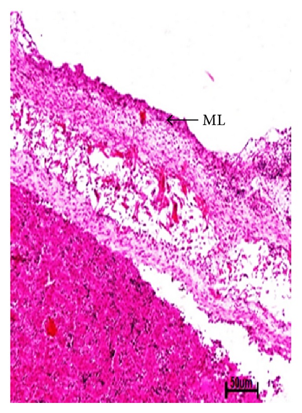
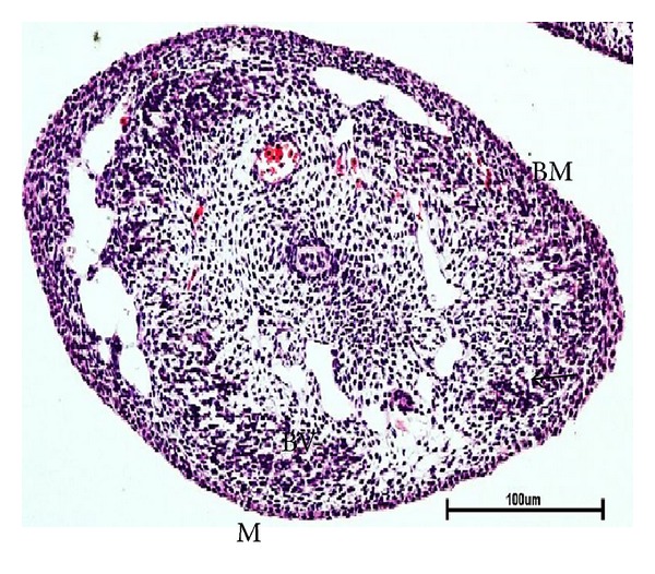
本文对水牛乳腺在产前发育过程中的形态发生进行了研究。共16例胎儿(317天),年龄从1.2 cm(34天)到108 cm CVRL(弯曲冠臀长)。研究发现,在1.2 cm CVRL(34天)时首次观察到乳腺线,在1.7 cm CVRL(37天)时首次观察到乳腺丘,在2.6 cm CVRL(41天)时首次观察到乳腺芽。在6.7 cm CVRL处(58天)发现表皮锥,在7.4 cm CVRL处(62天)和15 cm CVRL处(96天)分别观察到初级和次级导管。结缔组织螺旋为18.2 cm CVRL(110天),内部弹性板和肌肉层为24.1 cm CVRL(129天)。在29.3 cm CVRL(140天)处观察到小叶,在39.5 cm CVRL(163天)处观察到结节莲座,在45.5 cm CVRL(176天)处观察到角蛋白塞。在胎儿21.2 cm CVRL(122天)时可见毛囊周围的汗腺和皮脂腺原基。III组胎儿在69 cm (229 d)时观察到所有皮肤层的分化和角化。
本文章由计算机程序翻译,如有差异,请以英文原文为准。

Morphogenesis of Mammary Glands in Buffalo (Bubalus bubalis).

Morphogenesis of Mammary Glands in Buffalo (Bubalus bubalis).

Morphogenesis of Mammary Glands in Buffalo (Bubalus bubalis).

Morphogenesis of Mammary Glands in Buffalo (Bubalus bubalis).

The present research was elucidated on the morphogenesis of mammary gland of buffalo during prenatal development. Total of 16 foetuses ranging from 1.2 cm (34 days) to 108 cm CVRL (curved crown rump length) (317 days) were used for study. The study revealed that mammary line was first observed at 1.2 cm CVRL (34 days), mammary hillock at 1.7 cm (37 days), and mammary bud at 2.6 cm CVRL (41 days) foetuses. Epidermal cone was found at 6.7 cm CVRL (58 days) whereas primary and secondary ducts were observed at 7.4 cm CVRL (62 days) and 15 cm CVRL (96 days), respectively. Connective tissue whorls were reported at 18.2 cm CVRL (110 days) and internal elastic lamina and muscle layers at 24.1 cm CVRL (129 days). Lobules were observed at 29.3 cm CVRL (140 days), rosette of furstenberg at 39.5 cm CVRL (163 days), and keratin plug at 45.5 cm CVRL (176 days) foetus. Primordia of sweat and sebaceous glands around hair follicle were seen at 21.2 cm CVRL (122 days) of foetal life. Differentiation of all the skin layers along with cornification was observed at 69 cm (229 days) in group III foetuses.

求助全文
通过发布文献求助,成功后即可免费获取论文全文。 去求助
来源期刊
自引率
0.00%
发文量
0
×
引用
GB/T 7714-2015
复制
MLA
复制
APA
复制
导出至
BibTeX EndNote RefMan NoteFirst NoteExpress
×
提示
您的信息不完整,为了账户安全,请先补充。
现在去补充
×
提示
您因"违规操作"
具体请查看互助需知
我知道了
×
提示
确定
请完成安全验证×
copy
已复制链接
快去分享给好友吧!
我知道了
右上角分享
点击右上角分享
0
联系我们:info@booksci.cn Book学术提供免费学术资源搜索服务,方便国内外学者检索中英文文献。致力于提供最便捷和优质的服务体验。 Copyright © 2023 布克学术 All rights reserved.
京ICP备2023020795号-1
ghs 京公网安备 11010802042870号
Book学术文献互助
Book学术文献互助群
群 号:604180095
Book学术官方微信