腰椎痛风1例:文献回顾及治疗建议。

Mithulan Jegapragasan, Alejandro Calniquer, William D Hwang, Quynh T Nguyen, Zachary Child
{"title":"腰椎痛风1例:文献回顾及治疗建议。","authors":"Mithulan Jegapragasan,&nbsp;Alejandro Calniquer,&nbsp;William D Hwang,&nbsp;Quynh T Nguyen,&nbsp;Zachary Child","doi":"10.1055/s-0034-1366979","DOIUrl":null,"url":null,"abstract":"<p><p>Study Design Case report. Objective The objective of this study is to report the occurrence of tophaceous gout in the lumbar spine. Methods Using a case report to illustrate the key points of gout in the spine, we provide a brief review of gout in the literature as it relates to its orthopedic and spinal manifestations as well as guidelines for management. Results This case report details the occurrence of a large and clinically significant finding of tophaceous gout in the lumbar spine in a 24-year-old man with a known history of gout and a 3-year history of progressive back pain. Conclusion A high index of suspicion can assist in diagnosis of patients presenting with back pain or neurologic findings with a history of gout. A previous history of gout (especially the presence of tophi), hyperuricemia, and the radiological characteristics presented here should aid the clinician in making the diagnosis of spinal gout. Early diagnosis has the potential to prevent the need for surgical intervention. </p>","PeriodicalId":89675,"journal":{"name":"Evidence-based spine-care journal","volume":"5 1","pages":"52-6"},"PeriodicalIF":0.0000,"publicationDate":"2014-04-01","publicationTypes":"Journal Article","fieldsOfStudy":null,"isOpenAccess":false,"openAccessPdf":"https://sci-hub-pdf.com/10.1055/s-0034-1366979","citationCount":"27","resultStr":"{\"title\":\"A case of tophaceous gout in the lumbar spine: a review of the literature and treatment recommendations.\",\"authors\":\"Mithulan Jegapragasan,&nbsp;Alejandro Calniquer,&nbsp;William D Hwang,&nbsp;Quynh T Nguyen,&nbsp;Zachary Child\",\"doi\":\"10.1055/s-0034-1366979\",\"DOIUrl\":null,\"url\":null,\"abstract\":\"<p><p>Study Design Case report. Objective The objective of this study is to report the occurrence of tophaceous gout in the lumbar spine. Methods Using a case report to illustrate the key points of gout in the spine, we provide a brief review of gout in the literature as it relates to its orthopedic and spinal manifestations as well as guidelines for management. Results This case report details the occurrence of a large and clinically significant finding of tophaceous gout in the lumbar spine in a 24-year-old man with a known history of gout and a 3-year history of progressive back pain. Conclusion A high index of suspicion can assist in diagnosis of patients presenting with back pain or neurologic findings with a history of gout. A previous history of gout (especially the presence of tophi), hyperuricemia, and the radiological characteristics presented here should aid the clinician in making the diagnosis of spinal gout. Early diagnosis has the potential to prevent the need for surgical intervention. </p>\",\"PeriodicalId\":89675,\"journal\":{\"name\":\"Evidence-based spine-care journal\",\"volume\":\"5 1\",\"pages\":\"52-6\"},\"PeriodicalIF\":0.0000,\"publicationDate\":\"2014-04-01\",\"publicationTypes\":\"Journal Article\",\"fieldsOfStudy\":null,\"isOpenAccess\":false,\"openAccessPdf\":\"https://sci-hub-pdf.com/10.1055/s-0034-1366979\",\"citationCount\":\"27\",\"resultStr\":null,\"platform\":\"Semanticscholar\",\"paperid\":null,\"PeriodicalName\":\"Evidence-based spine-care journal\",\"FirstCategoryId\":\"1085\",\"ListUrlMain\":\"https://doi.org/10.1055/s-0034-1366979\",\"RegionNum\":0,\"RegionCategory\":null,\"ArticlePicture\":[],\"TitleCN\":null,\"AbstractTextCN\":null,\"PMCID\":null,\"EPubDate\":\"\",\"PubModel\":\"\",\"JCR\":\"\",\"JCRName\":\"\",\"Score\":null,\"Total\":0}","platform":"Semanticscholar","paperid":null,"PeriodicalName":"Evidence-based spine-care journal","FirstCategoryId":"1085","ListUrlMain":"https://doi.org/10.1055/s-0034-1366979","RegionNum":0,"RegionCategory":null,"ArticlePicture":[],"TitleCN":null,"AbstractTextCN":null,"PMCID":null,"EPubDate":"","PubModel":"","JCR":"","JCRName":"","Score":null,"Total":0}
引用次数: 27

摘要

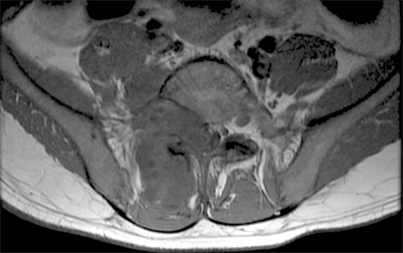
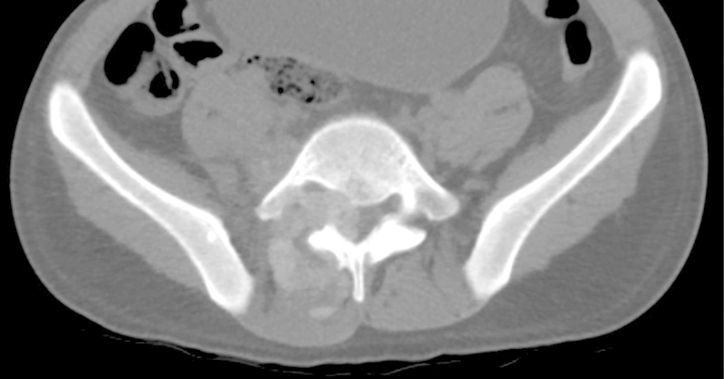
研究设计案例报告。目的:本研究的目的是报道腰椎骨痛风的发生。方法通过一个病例报告来说明脊柱痛风的要点,我们简要回顾了痛风的文献,因为它与骨科和脊柱表现以及管理指南有关。结果:本病例报告详细描述了一名24岁男性腰椎痛风病史和3年进行性背痛的重大临床发现。结论高怀疑指数有助于腰痛或有痛风病史的神经系统疾病的诊断。既往痛风史(尤其是痛风石)、高尿酸血症和影像学特征有助于临床医生诊断脊柱性痛风。早期诊断有可能避免手术干预的需要。
本文章由计算机程序翻译,如有差异,请以英文原文为准。

A case of tophaceous gout in the lumbar spine: a review of the literature and treatment recommendations.

A case of tophaceous gout in the lumbar spine: a review of the literature and treatment recommendations.

A case of tophaceous gout in the lumbar spine: a review of the literature and treatment recommendations.

A case of tophaceous gout in the lumbar spine: a review of the literature and treatment recommendations.

Study Design Case report. Objective The objective of this study is to report the occurrence of tophaceous gout in the lumbar spine. Methods Using a case report to illustrate the key points of gout in the spine, we provide a brief review of gout in the literature as it relates to its orthopedic and spinal manifestations as well as guidelines for management. Results This case report details the occurrence of a large and clinically significant finding of tophaceous gout in the lumbar spine in a 24-year-old man with a known history of gout and a 3-year history of progressive back pain. Conclusion A high index of suspicion can assist in diagnosis of patients presenting with back pain or neurologic findings with a history of gout. A previous history of gout (especially the presence of tophi), hyperuricemia, and the radiological characteristics presented here should aid the clinician in making the diagnosis of spinal gout. Early diagnosis has the potential to prevent the need for surgical intervention.

求助全文
通过发布文献求助,成功后即可免费获取论文全文。 去求助
来源期刊
自引率
0.00%
发文量
0
×
引用
GB/T 7714-2015
复制
MLA
复制
APA
复制
导出至
BibTeX EndNote RefMan NoteFirst NoteExpress
×
提示
您的信息不完整,为了账户安全,请先补充。
现在去补充
×
提示
您因"违规操作"
具体请查看互助需知
我知道了
×
提示
确定
请完成安全验证×
copy
已复制链接
快去分享给好友吧!
我知道了
右上角分享
点击右上角分享
0
联系我们:info@booksci.cn Book学术提供免费学术资源搜索服务,方便国内外学者检索中英文文献。致力于提供最便捷和优质的服务体验。 Copyright © 2023 布克学术 All rights reserved.
京ICP备2023020795号-1
ghs 京公网安备 11010802042870号
Book学术文献互助
Book学术文献互助群
群 号:604180095
Book学术官方微信