鼻梭形细胞脂肪瘤1例。

Deepalakshmi Tanthry, P P Devan, Kavitha Ashok Kumar, Rukma Bhandary
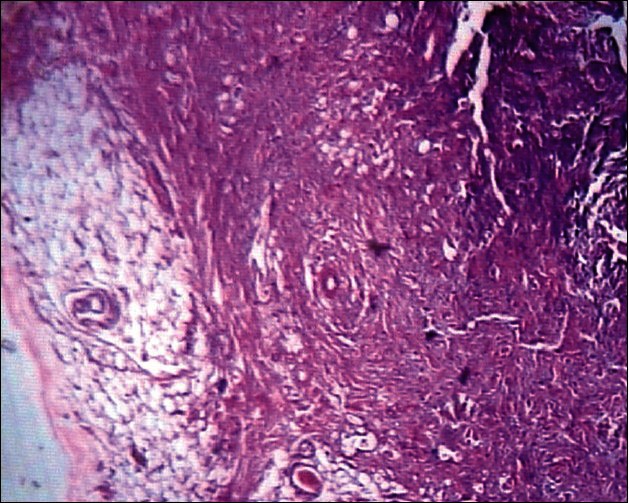
{"title":"鼻梭形细胞脂肪瘤1例。","authors":"Deepalakshmi Tanthry,&nbsp;P P Devan,&nbsp;Kavitha Ashok Kumar,&nbsp;Rukma Bhandary","doi":"10.4103/2006-8808.110250","DOIUrl":null,"url":null,"abstract":"<p><p>We present a case report of a 45-year-old lady with history of swelling on right side of the nose since two years. On clinical examination, there was a firm swelling, 3 × 2 cm in size, just above the right nasoalar crease, nontender and mobile. Computed tomography revealed fibrous tissue over anterior surface of the right maxilla and nasal bone with mild sclerosis of the right nasal bone. Excision was done through lateral rhinotomy incision. Histopathological examination of the excised specimen revealed spindle cell lipoma which is very rare. Very few cases have been reported in the literature so far.</p>","PeriodicalId":89430,"journal":{"name":"Journal of surgical technique and case report","volume":"4 2","pages":"110-1"},"PeriodicalIF":0.0000,"publicationDate":"2012-07-01","publicationTypes":"Journal Article","fieldsOfStudy":null,"isOpenAccess":false,"openAccessPdf":"https://ftp.ncbi.nlm.nih.gov/pub/pmc/oa_pdf/1d/f9/JSTCR-4-110.PMC3673352.pdf","citationCount":"4","resultStr":"{\"title\":\"A rare case of spindle cell lipoma of nose.\",\"authors\":\"Deepalakshmi Tanthry,&nbsp;P P Devan,&nbsp;Kavitha Ashok Kumar,&nbsp;Rukma Bhandary\",\"doi\":\"10.4103/2006-8808.110250\",\"DOIUrl\":null,\"url\":null,\"abstract\":\"<p><p>We present a case report of a 45-year-old lady with history of swelling on right side of the nose since two years. On clinical examination, there was a firm swelling, 3 × 2 cm in size, just above the right nasoalar crease, nontender and mobile. Computed tomography revealed fibrous tissue over anterior surface of the right maxilla and nasal bone with mild sclerosis of the right nasal bone. Excision was done through lateral rhinotomy incision. Histopathological examination of the excised specimen revealed spindle cell lipoma which is very rare. Very few cases have been reported in the literature so far.</p>\",\"PeriodicalId\":89430,\"journal\":{\"name\":\"Journal of surgical technique and case report\",\"volume\":\"4 2\",\"pages\":\"110-1\"},\"PeriodicalIF\":0.0000,\"publicationDate\":\"2012-07-01\",\"publicationTypes\":\"Journal Article\",\"fieldsOfStudy\":null,\"isOpenAccess\":false,\"openAccessPdf\":\"https://ftp.ncbi.nlm.nih.gov/pub/pmc/oa_pdf/1d/f9/JSTCR-4-110.PMC3673352.pdf\",\"citationCount\":\"4\",\"resultStr\":null,\"platform\":\"Semanticscholar\",\"paperid\":null,\"PeriodicalName\":\"Journal of surgical technique and case report\",\"FirstCategoryId\":\"1085\",\"ListUrlMain\":\"https://doi.org/10.4103/2006-8808.110250\",\"RegionNum\":0,\"RegionCategory\":null,\"ArticlePicture\":[],\"TitleCN\":null,\"AbstractTextCN\":null,\"PMCID\":null,\"EPubDate\":\"\",\"PubModel\":\"\",\"JCR\":\"\",\"JCRName\":\"\",\"Score\":null,\"Total\":0}","platform":"Semanticscholar","paperid":null,"PeriodicalName":"Journal of surgical technique and case report","FirstCategoryId":"1085","ListUrlMain":"https://doi.org/10.4103/2006-8808.110250","RegionNum":0,"RegionCategory":null,"ArticlePicture":[],"TitleCN":null,"AbstractTextCN":null,"PMCID":null,"EPubDate":"","PubModel":"","JCR":"","JCRName":"","Score":null,"Total":0}
引用次数: 4

摘要

我们提出一个病例报告,45岁的妇女的历史肿胀的右鼻子,因为两年。临床检查:右侧鼻翼皱褶上方有一坚硬肿胀,大小3 × 2 cm,无压痛,可移动。计算机断层扫描显示右上颌骨和鼻骨前表面有纤维组织,右鼻骨轻度硬化。通过侧鼻切开术切口切除。切除标本的组织病理学检查显示梭形细胞脂肪瘤,这是非常罕见的。到目前为止,文献报道的病例很少。
本文章由计算机程序翻译,如有差异,请以英文原文为准。

A rare case of spindle cell lipoma of nose.

A rare case of spindle cell lipoma of nose.

A rare case of spindle cell lipoma of nose.

A rare case of spindle cell lipoma of nose.

We present a case report of a 45-year-old lady with history of swelling on right side of the nose since two years. On clinical examination, there was a firm swelling, 3 × 2 cm in size, just above the right nasoalar crease, nontender and mobile. Computed tomography revealed fibrous tissue over anterior surface of the right maxilla and nasal bone with mild sclerosis of the right nasal bone. Excision was done through lateral rhinotomy incision. Histopathological examination of the excised specimen revealed spindle cell lipoma which is very rare. Very few cases have been reported in the literature so far.

求助全文
通过发布文献求助,成功后即可免费获取论文全文。 去求助
来源期刊
自引率
0.00%
发文量
0
×
引用
GB/T 7714-2015
复制
MLA
复制
APA
复制
导出至
BibTeX EndNote RefMan NoteFirst NoteExpress
×
提示
您的信息不完整,为了账户安全,请先补充。
现在去补充
×
提示
您因"违规操作"
具体请查看互助需知
我知道了
×
提示
确定
请完成安全验证×
copy
已复制链接
快去分享给好友吧!
我知道了
右上角分享
点击右上角分享
0
联系我们:info@booksci.cn Book学术提供免费学术资源搜索服务,方便国内外学者检索中英文文献。致力于提供最便捷和优质的服务体验。 Copyright © 2023 布克学术 All rights reserved.
京ICP备2023020795号-1
ghs 京公网安备 11010802042870号
Book学术文献互助
Book学术文献互助群
群 号:604180095
Book学术官方微信