用磁共振成像分析腓骨四角肌的发病率。

Anatomy research international Pub Date : 2012-01-01 Epub Date: 2012-07-09 DOI:10.1155/2012/485149
Sérgio Ricardo Rios Nascimento, Renata Watanabe Costa, Cristiane Regina Ruiz, Nader Wafae
{"title":"用磁共振成像分析腓骨四角肌的发病率。","authors":"Sérgio Ricardo Rios Nascimento,&nbsp;Renata Watanabe Costa,&nbsp;Cristiane Regina Ruiz,&nbsp;Nader Wafae","doi":"10.1155/2012/485149","DOIUrl":null,"url":null,"abstract":"<p><p>Objective. Quantify the presence of the fibularis quartus muscle and correlate it with the individual's sex and concomitant presence of the fibularis tertius muscle. Materials and Methods. We evaluated 211 magnetic resonance examinations (43.13% men and 56.87% women) on the ankle and hindfoot, produced between 2009 and 2011. Results. The fourth fibularis muscle was found to be present in 7.62% of the examinations and 75% of these also contained the fibularis tertius muscle. Conclusion. The incidence of the fourth fibularis muscle is variable; moreover, its incidence does not depend on the individual's gender or the presence of the fibularis tertius muscle.</p>","PeriodicalId":89526,"journal":{"name":"Anatomy research international","volume":"2012 ","pages":"485149"},"PeriodicalIF":0.0000,"publicationDate":"2012-01-01","publicationTypes":"Journal Article","fieldsOfStudy":null,"isOpenAccess":false,"openAccessPdf":"https://sci-hub-pdf.com/10.1155/2012/485149","citationCount":"9","resultStr":"{\"title\":\"Analysis on the incidence of the fibularis quartus muscle using magnetic resonance imaging.\",\"authors\":\"Sérgio Ricardo Rios Nascimento,&nbsp;Renata Watanabe Costa,&nbsp;Cristiane Regina Ruiz,&nbsp;Nader Wafae\",\"doi\":\"10.1155/2012/485149\",\"DOIUrl\":null,\"url\":null,\"abstract\":\"<p><p>Objective. Quantify the presence of the fibularis quartus muscle and correlate it with the individual's sex and concomitant presence of the fibularis tertius muscle. Materials and Methods. We evaluated 211 magnetic resonance examinations (43.13% men and 56.87% women) on the ankle and hindfoot, produced between 2009 and 2011. Results. The fourth fibularis muscle was found to be present in 7.62% of the examinations and 75% of these also contained the fibularis tertius muscle. Conclusion. The incidence of the fourth fibularis muscle is variable; moreover, its incidence does not depend on the individual's gender or the presence of the fibularis tertius muscle.</p>\",\"PeriodicalId\":89526,\"journal\":{\"name\":\"Anatomy research international\",\"volume\":\"2012 \",\"pages\":\"485149\"},\"PeriodicalIF\":0.0000,\"publicationDate\":\"2012-01-01\",\"publicationTypes\":\"Journal Article\",\"fieldsOfStudy\":null,\"isOpenAccess\":false,\"openAccessPdf\":\"https://sci-hub-pdf.com/10.1155/2012/485149\",\"citationCount\":\"9\",\"resultStr\":null,\"platform\":\"Semanticscholar\",\"paperid\":null,\"PeriodicalName\":\"Anatomy research international\",\"FirstCategoryId\":\"1085\",\"ListUrlMain\":\"https://doi.org/10.1155/2012/485149\",\"RegionNum\":0,\"RegionCategory\":null,\"ArticlePicture\":[],\"TitleCN\":null,\"AbstractTextCN\":null,\"PMCID\":null,\"EPubDate\":\"2012/7/9 0:00:00\",\"PubModel\":\"Epub\",\"JCR\":\"\",\"JCRName\":\"\",\"Score\":null,\"Total\":0}","platform":"Semanticscholar","paperid":null,"PeriodicalName":"Anatomy research international","FirstCategoryId":"1085","ListUrlMain":"https://doi.org/10.1155/2012/485149","RegionNum":0,"RegionCategory":null,"ArticlePicture":[],"TitleCN":null,"AbstractTextCN":null,"PMCID":null,"EPubDate":"2012/7/9 0:00:00","PubModel":"Epub","JCR":"","JCRName":"","Score":null,"Total":0}
引用次数: 9

摘要

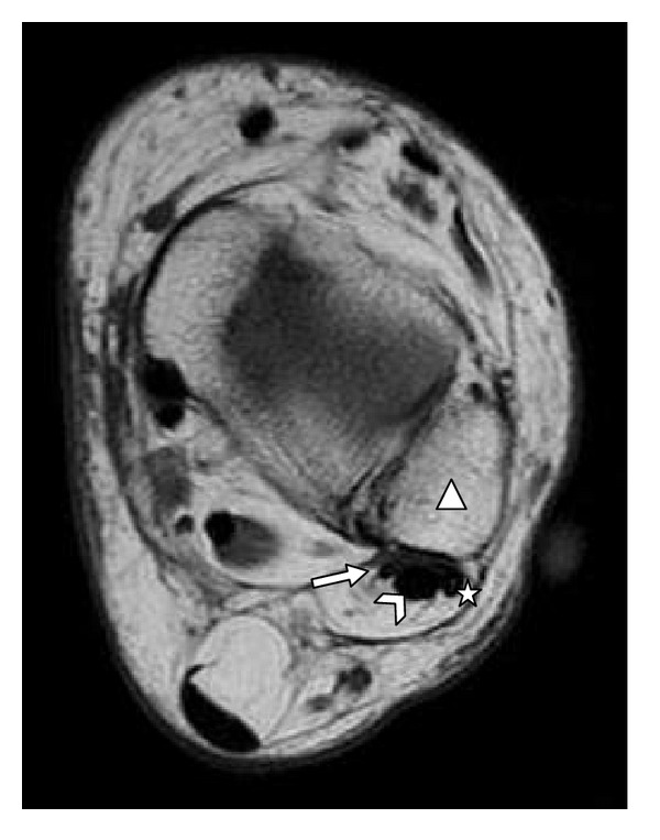
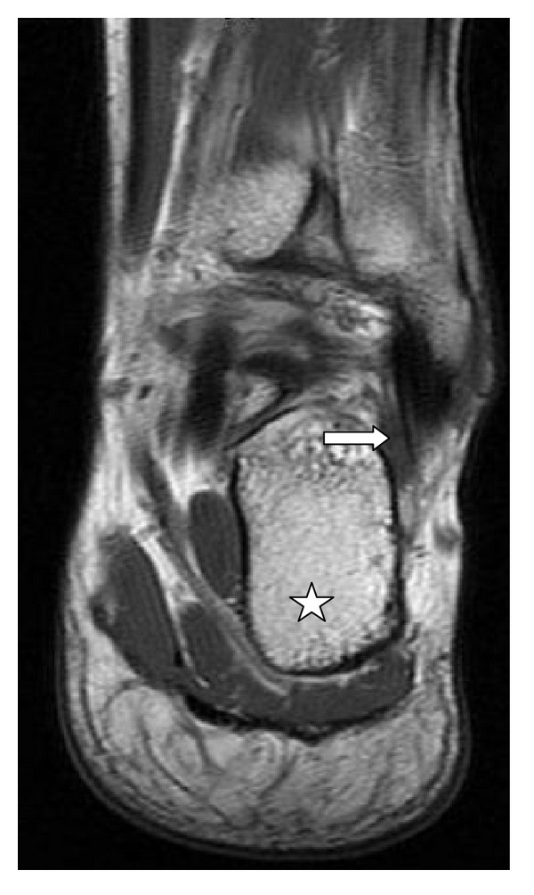
目标。量化四分腓骨肌的存在,并将其与个体的性别和伴随的腓骨近端肌的存在联系起来。材料与方法。我们评估了2009年至2011年间进行的211例踝关节和后足磁共振检查(男性43.13%,女性56.87%)。结果。在7.62%的检查中发现了第四腓骨肌,其中75%的检查中还发现了腓骨第三肌。结论。第四腓骨肌的发病率是可变的;此外,其发病率不依赖于个人的性别或腓骨第三肌的存在。
本文章由计算机程序翻译,如有差异,请以英文原文为准。

Analysis on the incidence of the fibularis quartus muscle using magnetic resonance imaging.

Analysis on the incidence of the fibularis quartus muscle using magnetic resonance imaging.

Analysis on the incidence of the fibularis quartus muscle using magnetic resonance imaging.

Analysis on the incidence of the fibularis quartus muscle using magnetic resonance imaging.

Objective. Quantify the presence of the fibularis quartus muscle and correlate it with the individual's sex and concomitant presence of the fibularis tertius muscle. Materials and Methods. We evaluated 211 magnetic resonance examinations (43.13% men and 56.87% women) on the ankle and hindfoot, produced between 2009 and 2011. Results. The fourth fibularis muscle was found to be present in 7.62% of the examinations and 75% of these also contained the fibularis tertius muscle. Conclusion. The incidence of the fourth fibularis muscle is variable; moreover, its incidence does not depend on the individual's gender or the presence of the fibularis tertius muscle.

求助全文
通过发布文献求助,成功后即可免费获取论文全文。 去求助
来源期刊
自引率
0.00%
发文量
0
×
引用
GB/T 7714-2015
复制
MLA
复制
APA
复制
导出至
BibTeX EndNote RefMan NoteFirst NoteExpress
×
提示
您的信息不完整,为了账户安全,请先补充。
现在去补充
×
提示
您因"违规操作"
具体请查看互助需知
我知道了
×
提示
确定
请完成安全验证×
copy
已复制链接
快去分享给好友吧!
我知道了
右上角分享
点击右上角分享
0
联系我们:info@booksci.cn Book学术提供免费学术资源搜索服务,方便国内外学者检索中英文文献。致力于提供最便捷和优质的服务体验。 Copyright © 2023 布克学术 All rights reserved.
京ICP备2023020795号-1
ghs 京公网安备 11010802042870号
Book学术文献互助
Book学术文献互助群
群 号:604180095
Book学术官方微信