罕见回盲区双原发癌:盲肠管状腺癌合并阑尾杯状细胞腺癌。

IF 2.3 3区 医学 Q2 PATHOLOGY
Anying Long, Xiaoxue Tian, Shuai Luo, Jinjing Wang
{"title":"罕见回盲区双原发癌:盲肠管状腺癌合并阑尾杯状细胞腺癌。","authors":"Anying Long, Xiaoxue Tian, Shuai Luo, Jinjing Wang","doi":"10.1186/s13000-025-01719-x","DOIUrl":null,"url":null,"abstract":"<p><strong>Background: </strong>Appendiceal goblet cell adenocarcinoma (GCA) is a rare malignant tumor originating from the appendiceal mucosa, with an insidious onset. Its biological behavior lies between that of a carcinoid tumor and an adenocarcinoma, and it has a relatively favorable prognosis but a high risk of long-term recurrence and metastasis. The coexistence of primary cecal tubular adenocarcinoma and appendiceal GCA is extremely rare, and poses challenges in diagnosis and treatment.</p><p><strong>Case demonstration: </strong>An 86-year-old male presented with a 2-month history of abdominal pain and diarrhea. Abdominal CT revealed thickening of the ascending colon wall, suggesting colon cancer. Laparoscopic right hemicolectomy was performed. Postoperative pathological examination confirmed primary cecal tubular adenocarcinoma combined with appendiceal goblet cell adenocarcinoma. Adjuvant chemotherapy was recommended, but the patient refused. Seven months later, lung metastasis was detected. Chemotherapy with \"raltitrexed plus bevacizumab\" was administered. During an 8-month follow-up, the patient remained in generally good condition.</p><p><strong>Conclusion: </strong>Appendiceal GCA is more common in middle-aged and elderly women and is associated with a good overall survival rate but a high risk of long-term recurrence and metastasis, especially in patients with distant metastases. The coexistence of appendiceal GCA and cecal tubular adenocarcinoma is exceedingly rare. This case report analyzes the clinical features, histological morphology, immunohistochemistry, and differential diagnosis of this condition to enhance understanding of this rare disease.</p>","PeriodicalId":11237,"journal":{"name":"Diagnostic Pathology","volume":"20 1","pages":"114"},"PeriodicalIF":2.3000,"publicationDate":"2025-10-15","publicationTypes":"Journal Article","fieldsOfStudy":null,"isOpenAccess":false,"openAccessPdf":"https://www.ncbi.nlm.nih.gov/pmc/articles/PMC12522761/pdf/","citationCount":"0","resultStr":"{\"title\":\"Rare double primary carcinoma in ileocecal region: cecal tubular adenocarcinoma combined with appendiceal goblet cell adenocarcinoma.\",\"authors\":\"Anying Long, Xiaoxue Tian, Shuai Luo, Jinjing Wang\",\"doi\":\"10.1186/s13000-025-01719-x\",\"DOIUrl\":null,\"url\":null,\"abstract\":\"<p><strong>Background: </strong>Appendiceal goblet cell adenocarcinoma (GCA) is a rare malignant tumor originating from the appendiceal mucosa, with an insidious onset. Its biological behavior lies between that of a carcinoid tumor and an adenocarcinoma, and it has a relatively favorable prognosis but a high risk of long-term recurrence and metastasis. The coexistence of primary cecal tubular adenocarcinoma and appendiceal GCA is extremely rare, and poses challenges in diagnosis and treatment.</p><p><strong>Case demonstration: </strong>An 86-year-old male presented with a 2-month history of abdominal pain and diarrhea. Abdominal CT revealed thickening of the ascending colon wall, suggesting colon cancer. Laparoscopic right hemicolectomy was performed. Postoperative pathological examination confirmed primary cecal tubular adenocarcinoma combined with appendiceal goblet cell adenocarcinoma. Adjuvant chemotherapy was recommended, but the patient refused. Seven months later, lung metastasis was detected. Chemotherapy with \\\"raltitrexed plus bevacizumab\\\" was administered. During an 8-month follow-up, the patient remained in generally good condition.</p><p><strong>Conclusion: </strong>Appendiceal GCA is more common in middle-aged and elderly women and is associated with a good overall survival rate but a high risk of long-term recurrence and metastasis, especially in patients with distant metastases. The coexistence of appendiceal GCA and cecal tubular adenocarcinoma is exceedingly rare. This case report analyzes the clinical features, histological morphology, immunohistochemistry, and differential diagnosis of this condition to enhance understanding of this rare disease.</p>\",\"PeriodicalId\":11237,\"journal\":{\"name\":\"Diagnostic Pathology\",\"volume\":\"20 1\",\"pages\":\"114\"},\"PeriodicalIF\":2.3000,\"publicationDate\":\"2025-10-15\",\"publicationTypes\":\"Journal Article\",\"fieldsOfStudy\":null,\"isOpenAccess\":false,\"openAccessPdf\":\"https://www.ncbi.nlm.nih.gov/pmc/articles/PMC12522761/pdf/\",\"citationCount\":\"0\",\"resultStr\":null,\"platform\":\"Semanticscholar\",\"paperid\":null,\"PeriodicalName\":\"Diagnostic Pathology\",\"FirstCategoryId\":\"3\",\"ListUrlMain\":\"https://doi.org/10.1186/s13000-025-01719-x\",\"RegionNum\":3,\"RegionCategory\":\"医学\",\"ArticlePicture\":[],\"TitleCN\":null,\"AbstractTextCN\":null,\"PMCID\":null,\"EPubDate\":\"\",\"PubModel\":\"\",\"JCR\":\"Q2\",\"JCRName\":\"PATHOLOGY\",\"Score\":null,\"Total\":0}","platform":"Semanticscholar","paperid":null,"PeriodicalName":"Diagnostic Pathology","FirstCategoryId":"3","ListUrlMain":"https://doi.org/10.1186/s13000-025-01719-x","RegionNum":3,"RegionCategory":"医学","ArticlePicture":[],"TitleCN":null,"AbstractTextCN":null,"PMCID":null,"EPubDate":"","PubModel":"","JCR":"Q2","JCRName":"PATHOLOGY","Score":null,"Total":0}
引用次数: 0

摘要

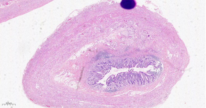
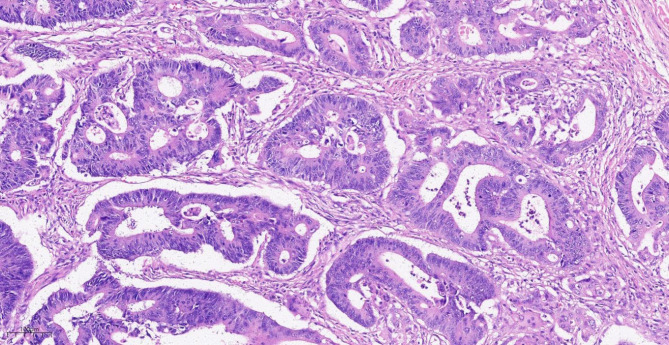
背景:阑尾杯状细胞腺癌(GCA)是一种罕见的起源于阑尾粘膜的恶性肿瘤,发病隐匿。其生物学行为介于类癌和腺癌之间,预后较好,但长期复发转移风险较高。原发性盲肠管状腺癌与阑尾GCA共存极为罕见,给诊断和治疗带来了挑战。病例论证:86岁男性,腹痛腹泻2个月。腹部CT示升结肠壁增厚,提示结肠癌。行腹腔镜右半结肠切除术。术后病理检查证实为原发性盲肠管状腺癌合并阑尾杯状细胞腺癌。建议辅助化疗,但患者拒绝。7个月后发现肺转移。给予“雷替曲塞加贝伐单抗”化疗。在8个月的随访中,患者总体状况良好。结论:阑尾GCA多见于中老年妇女,总体生存率较好,但长期复发和转移风险较高,尤其是远处转移患者。阑尾GCA与盲肠管状腺癌共存极为罕见。本病例报告分析本病的临床特征、组织形态、免疫组织化学及鉴别诊断,以增进对这种罕见疾病的认识。
本文章由计算机程序翻译,如有差异,请以英文原文为准。

Rare double primary carcinoma in ileocecal region: cecal tubular adenocarcinoma combined with appendiceal goblet cell adenocarcinoma.

Rare double primary carcinoma in ileocecal region: cecal tubular adenocarcinoma combined with appendiceal goblet cell adenocarcinoma.

Rare double primary carcinoma in ileocecal region: cecal tubular adenocarcinoma combined with appendiceal goblet cell adenocarcinoma.

Rare double primary carcinoma in ileocecal region: cecal tubular adenocarcinoma combined with appendiceal goblet cell adenocarcinoma.

Background: Appendiceal goblet cell adenocarcinoma (GCA) is a rare malignant tumor originating from the appendiceal mucosa, with an insidious onset. Its biological behavior lies between that of a carcinoid tumor and an adenocarcinoma, and it has a relatively favorable prognosis but a high risk of long-term recurrence and metastasis. The coexistence of primary cecal tubular adenocarcinoma and appendiceal GCA is extremely rare, and poses challenges in diagnosis and treatment.

Case demonstration: An 86-year-old male presented with a 2-month history of abdominal pain and diarrhea. Abdominal CT revealed thickening of the ascending colon wall, suggesting colon cancer. Laparoscopic right hemicolectomy was performed. Postoperative pathological examination confirmed primary cecal tubular adenocarcinoma combined with appendiceal goblet cell adenocarcinoma. Adjuvant chemotherapy was recommended, but the patient refused. Seven months later, lung metastasis was detected. Chemotherapy with "raltitrexed plus bevacizumab" was administered. During an 8-month follow-up, the patient remained in generally good condition.

Conclusion: Appendiceal GCA is more common in middle-aged and elderly women and is associated with a good overall survival rate but a high risk of long-term recurrence and metastasis, especially in patients with distant metastases. The coexistence of appendiceal GCA and cecal tubular adenocarcinoma is exceedingly rare. This case report analyzes the clinical features, histological morphology, immunohistochemistry, and differential diagnosis of this condition to enhance understanding of this rare disease.

求助全文
通过发布文献求助,成功后即可免费获取论文全文。 去求助
来源期刊
Diagnostic Pathology
Diagnostic Pathology 医学-病理学
CiteScore
4.60
自引率
0.00%
发文量
93
审稿时长
1 months
期刊介绍: Diagnostic Pathology is an open access, peer-reviewed, online journal that considers research in surgical and clinical pathology, immunology, and biology, with a special focus on cutting-edge approaches in diagnostic pathology and tissue-based therapy. The journal covers all aspects of surgical pathology, including classic diagnostic pathology, prognosis-related diagnosis (tumor stages, prognosis markers, such as MIB-percentage, hormone receptors, etc.), and therapy-related findings. The journal also focuses on the technological aspects of pathology, including molecular biology techniques, morphometry aspects (stereology, DNA analysis, syntactic structure analysis), communication aspects (telecommunication, virtual microscopy, virtual pathology institutions, etc.), and electronic education and quality assurance (for example interactive publication, on-line references with automated updating, etc.).
×
引用
GB/T 7714-2015
复制
MLA
复制
APA
复制
导出至
BibTeX EndNote RefMan NoteFirst NoteExpress
×
提示
您的信息不完整,为了账户安全,请先补充。
现在去补充
×
提示
您因"违规操作"
具体请查看互助需知
我知道了
×
提示
确定
请完成安全验证×
copy
已复制链接
快去分享给好友吧!
我知道了
右上角分享
点击右上角分享
0
联系我们:info@booksci.cn Book学术提供免费学术资源搜索服务,方便国内外学者检索中英文文献。致力于提供最便捷和优质的服务体验。 Copyright © 2023 布克学术 All rights reserved.
京ICP备2023020795号-1
ghs 京公网安备 11010802042870号
Book学术文献互助
Book学术文献互助群
群 号:604180095
Book学术官方微信