内镜下血管栓塞塞修复气管食管瘘。

IF 3.3 3区 医学 Q1 MEDICINE, GENERAL & INTERNAL
Predrag Sabljak, Ognjan Skrobic, Milica Mitrovic-Jovanovic, Ivan Vukasinovic, Aleksandra Djuric-Stefanovic, Anja Zugic, Dario Potkonjak, Marija Đorđevic, Keramatollah Ebrahimi
{"title":"内镜下血管栓塞塞修复气管食管瘘。","authors":"Predrag Sabljak, Ognjan Skrobic, Milica Mitrovic-Jovanovic, Ivan Vukasinovic, Aleksandra Djuric-Stefanovic, Anja Zugic, Dario Potkonjak, Marija Đorđevic, Keramatollah Ebrahimi","doi":"10.3390/diagnostics15192529","DOIUrl":null,"url":null,"abstract":"<p><p>Aerodigestive fistulas represent a major challenge in clinical practice. This problem is burdened with severe morbidity and mortality, despite recent advantages in endoscopic endoluminal repair techniques. Special problems are fistulas localized higher, engaging the proximal esophagus and trachea, which in adults most often result from post-intubation injury. Surgery is generally demanding and reserved for the patients in whom other, less invasive options fail. Hereby, we present a case of post-intubation tracheoesophageal fistula, successfully treated with endoscopic vascular plug placement.</p>","PeriodicalId":11225,"journal":{"name":"Diagnostics","volume":"15 19","pages":""},"PeriodicalIF":3.3000,"publicationDate":"2025-10-07","publicationTypes":"Journal Article","fieldsOfStudy":null,"isOpenAccess":false,"openAccessPdf":"https://www.ncbi.nlm.nih.gov/pmc/articles/PMC12523763/pdf/","citationCount":"0","resultStr":"{\"title\":\"Endoscopic Repair of Tracheoesophageal Fistula with Vascular Embolization Plug.\",\"authors\":\"Predrag Sabljak, Ognjan Skrobic, Milica Mitrovic-Jovanovic, Ivan Vukasinovic, Aleksandra Djuric-Stefanovic, Anja Zugic, Dario Potkonjak, Marija Đorđevic, Keramatollah Ebrahimi\",\"doi\":\"10.3390/diagnostics15192529\",\"DOIUrl\":null,\"url\":null,\"abstract\":\"<p><p>Aerodigestive fistulas represent a major challenge in clinical practice. This problem is burdened with severe morbidity and mortality, despite recent advantages in endoscopic endoluminal repair techniques. Special problems are fistulas localized higher, engaging the proximal esophagus and trachea, which in adults most often result from post-intubation injury. Surgery is generally demanding and reserved for the patients in whom other, less invasive options fail. Hereby, we present a case of post-intubation tracheoesophageal fistula, successfully treated with endoscopic vascular plug placement.</p>\",\"PeriodicalId\":11225,\"journal\":{\"name\":\"Diagnostics\",\"volume\":\"15 19\",\"pages\":\"\"},\"PeriodicalIF\":3.3000,\"publicationDate\":\"2025-10-07\",\"publicationTypes\":\"Journal Article\",\"fieldsOfStudy\":null,\"isOpenAccess\":false,\"openAccessPdf\":\"https://www.ncbi.nlm.nih.gov/pmc/articles/PMC12523763/pdf/\",\"citationCount\":\"0\",\"resultStr\":null,\"platform\":\"Semanticscholar\",\"paperid\":null,\"PeriodicalName\":\"Diagnostics\",\"FirstCategoryId\":\"3\",\"ListUrlMain\":\"https://doi.org/10.3390/diagnostics15192529\",\"RegionNum\":3,\"RegionCategory\":\"医学\",\"ArticlePicture\":[],\"TitleCN\":null,\"AbstractTextCN\":null,\"PMCID\":null,\"EPubDate\":\"\",\"PubModel\":\"\",\"JCR\":\"Q1\",\"JCRName\":\"MEDICINE, GENERAL & INTERNAL\",\"Score\":null,\"Total\":0}","platform":"Semanticscholar","paperid":null,"PeriodicalName":"Diagnostics","FirstCategoryId":"3","ListUrlMain":"https://doi.org/10.3390/diagnostics15192529","RegionNum":3,"RegionCategory":"医学","ArticlePicture":[],"TitleCN":null,"AbstractTextCN":null,"PMCID":null,"EPubDate":"","PubModel":"","JCR":"Q1","JCRName":"MEDICINE, GENERAL & INTERNAL","Score":null,"Total":0}
引用次数: 0

摘要

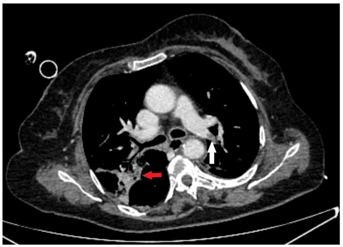
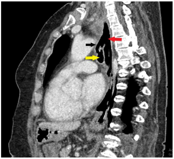
气消化瘘管是临床实践中的一个主要挑战。尽管最近内镜腔内修复技术有了很大的优势,但这个问题的发病率和死亡率都很高。特殊的问题是瘘管局部较高,累及食管和气管近端,这在成人中最常由插管后损伤引起。手术通常要求很高,而且是为那些其他侵入性较小的选择失败的患者保留的。在此,我们报告一例插管后气管食管瘘,经内镜血管塞置入成功治疗。
本文章由计算机程序翻译,如有差异,请以英文原文为准。

Endoscopic Repair of Tracheoesophageal Fistula with Vascular Embolization Plug.

Endoscopic Repair of Tracheoesophageal Fistula with Vascular Embolization Plug.

Endoscopic Repair of Tracheoesophageal Fistula with Vascular Embolization Plug.

Endoscopic Repair of Tracheoesophageal Fistula with Vascular Embolization Plug.

Aerodigestive fistulas represent a major challenge in clinical practice. This problem is burdened with severe morbidity and mortality, despite recent advantages in endoscopic endoluminal repair techniques. Special problems are fistulas localized higher, engaging the proximal esophagus and trachea, which in adults most often result from post-intubation injury. Surgery is generally demanding and reserved for the patients in whom other, less invasive options fail. Hereby, we present a case of post-intubation tracheoesophageal fistula, successfully treated with endoscopic vascular plug placement.

求助全文
通过发布文献求助,成功后即可免费获取论文全文。 去求助
来源期刊
Diagnostics
Diagnostics Biochemistry, Genetics and Molecular Biology-Clinical Biochemistry
CiteScore
4.70
自引率
8.30%
发文量
2699
审稿时长
19.64 days
期刊介绍: Diagnostics (ISSN 2075-4418) is an international scholarly open access journal on medical diagnostics. It publishes original research articles, reviews, communications and short notes on the research and development of medical diagnostics. There is no restriction on the length of the papers. Our aim is to encourage scientists to publish their experimental and theoretical research in as much detail as possible. Full experimental and/or methodological details must be provided for research articles.
×
引用
GB/T 7714-2015
复制
MLA
复制
APA
复制
导出至
BibTeX EndNote RefMan NoteFirst NoteExpress
×
提示
您的信息不完整,为了账户安全,请先补充。
现在去补充
×
提示
您因"违规操作"
具体请查看互助需知
我知道了
×
提示
确定
请完成安全验证×
copy
已复制链接
快去分享给好友吧!
我知道了
右上角分享
点击右上角分享
0
联系我们:info@booksci.cn Book学术提供免费学术资源搜索服务,方便国内外学者检索中英文文献。致力于提供最便捷和优质的服务体验。 Copyright © 2023 布克学术 All rights reserved.
京ICP备2023020795号-1
ghs 京公网安备 11010802042870号
Book学术文献互助
Book学术文献互助群
群 号:604180095
Book学术官方微信