基于机器学习的冠状动脉周围脂肪组织与2型糖尿病心血管风险预测临床危险因素的整合:一项回顾性队列研究。

IF 3.4 3区 医学 Q2 MEDICINE, RESEARCH & EXPERIMENTAL
Yuqing Tang, Xuankun Zheng, Xiaofei Yang, Sien Guo, Qiyuan Luo, Meiyi Su, Huiqi Chen, Wu Zhou, Hongqin Wang, Yue Liu, Guoqing Liu, Lei Wang
{"title":"基于机器学习的冠状动脉周围脂肪组织与2型糖尿病心血管风险预测临床危险因素的整合:一项回顾性队列研究。","authors":"Yuqing Tang, Xuankun Zheng, Xiaofei Yang, Sien Guo, Qiyuan Luo, Meiyi Su, Huiqi Chen, Wu Zhou, Hongqin Wang, Yue Liu, Guoqing Liu, Lei Wang","doi":"10.1186/s40001-025-03237-4","DOIUrl":null,"url":null,"abstract":"<p><strong>Background: </strong>Cardiovascular disease remains the predominant cause of morbidity and mortality in individuals with type 2 diabetes mellitus (T2DM). Traditional risk models are limited in predictive accuracy. Pericoronary adipose tissue (PCAT), a novel imaging biomarker of vascular inflammation, may offer additional prognostic value. Therefore, this study aimed to develop and validate a machine learning model that integrates PCAT parameters with clinical risk factors to improve the accuracy of cardiovascular risk prediction in individuals with T2DM.</p><p><strong>Methods: </strong>This study retrospectively enrolled 686 hospitalized T2DM patients from four branches of Guangdong Provincial Hospital of Chinese Medicine between January 2017 and December 2021. PCAT-FAI and volume index were measured using coronary CTA. Major adverse cardiovascular events (MACE) were recorded during follow-up. Eight machine learning algorithms were applied, and multiple evaluation metrics were used to compare the predictive performance of the models. Feature contributions in the best-performing model were interpreted using both feature importance ranking and SHapley Additive exPlanations (SHAP) values.</p><p><strong>Results: </strong>A total of 183 patients experienced MACE during the mean 38.4 months of follow-up. Among the eight machine learning models evaluated, the XGBoost model performed the best in predicting MACE in patients with T2DM. In the internal validation of the training set, the AUC was 0.818 (95% CI 0.777-0.858), and in the external test set, the AUC was 0.809 (95% CI 0.700-0.918). Additionally, the XGBoost model outperforms other models in all evaluation metrics (accuracy = 0.824, specificity = 0.882, F1 score = 0.654, Brier score = 0.248). In the feature importance analysis of the prediction model, RCA-FAI in the PCAT parameters consistently ranked among the top three in eight ML models. Further SHAP analysis indicated that RCA-FAI, body mass index (BMI), and the monocyte/high-density lipoprotein cholesterol ratio (MHR) were the most influential factors for MACE in patients with T2DM.</p><p><strong>Conclusion: </strong>This study demonstrates the independent predictive value of PCAT parameters for long-term cardiovascular risk in patients with T2DM. The XGBoost model showed promise as a potential clinical decision support tool. Integrating PCAT parameters with conventional risk factors may improve the identification of high-risk individuals and enhance the ability to predict MACE in this population. Clinical trial registration ChiCTR2400079869.</p>","PeriodicalId":11949,"journal":{"name":"European Journal of Medical Research","volume":"30 1","pages":"961"},"PeriodicalIF":3.4000,"publicationDate":"2025-10-10","publicationTypes":"Journal Article","fieldsOfStudy":null,"isOpenAccess":false,"openAccessPdf":"https://www.ncbi.nlm.nih.gov/pmc/articles/PMC12512623/pdf/","citationCount":"0","resultStr":"{\"title\":\"Machine learning-based integration of pericoronary adipose tissue and clinical risk factors for cardiovascular risk prediction in type 2 diabetes: a retrospective cohort study.\",\"authors\":\"Yuqing Tang, Xuankun Zheng, Xiaofei Yang, Sien Guo, Qiyuan Luo, Meiyi Su, Huiqi Chen, Wu Zhou, Hongqin Wang, Yue Liu, Guoqing Liu, Lei Wang\",\"doi\":\"10.1186/s40001-025-03237-4\",\"DOIUrl\":null,\"url\":null,\"abstract\":\"<p><strong>Background: </strong>Cardiovascular disease remains the predominant cause of morbidity and mortality in individuals with type 2 diabetes mellitus (T2DM). Traditional risk models are limited in predictive accuracy. Pericoronary adipose tissue (PCAT), a novel imaging biomarker of vascular inflammation, may offer additional prognostic value. Therefore, this study aimed to develop and validate a machine learning model that integrates PCAT parameters with clinical risk factors to improve the accuracy of cardiovascular risk prediction in individuals with T2DM.</p><p><strong>Methods: </strong>This study retrospectively enrolled 686 hospitalized T2DM patients from four branches of Guangdong Provincial Hospital of Chinese Medicine between January 2017 and December 2021. PCAT-FAI and volume index were measured using coronary CTA. Major adverse cardiovascular events (MACE) were recorded during follow-up. Eight machine learning algorithms were applied, and multiple evaluation metrics were used to compare the predictive performance of the models. Feature contributions in the best-performing model were interpreted using both feature importance ranking and SHapley Additive exPlanations (SHAP) values.</p><p><strong>Results: </strong>A total of 183 patients experienced MACE during the mean 38.4 months of follow-up. Among the eight machine learning models evaluated, the XGBoost model performed the best in predicting MACE in patients with T2DM. In the internal validation of the training set, the AUC was 0.818 (95% CI 0.777-0.858), and in the external test set, the AUC was 0.809 (95% CI 0.700-0.918). Additionally, the XGBoost model outperforms other models in all evaluation metrics (accuracy = 0.824, specificity = 0.882, F1 score = 0.654, Brier score = 0.248). In the feature importance analysis of the prediction model, RCA-FAI in the PCAT parameters consistently ranked among the top three in eight ML models. Further SHAP analysis indicated that RCA-FAI, body mass index (BMI), and the monocyte/high-density lipoprotein cholesterol ratio (MHR) were the most influential factors for MACE in patients with T2DM.</p><p><strong>Conclusion: </strong>This study demonstrates the independent predictive value of PCAT parameters for long-term cardiovascular risk in patients with T2DM. The XGBoost model showed promise as a potential clinical decision support tool. Integrating PCAT parameters with conventional risk factors may improve the identification of high-risk individuals and enhance the ability to predict MACE in this population. Clinical trial registration ChiCTR2400079869.</p>\",\"PeriodicalId\":11949,\"journal\":{\"name\":\"European Journal of Medical Research\",\"volume\":\"30 1\",\"pages\":\"961\"},\"PeriodicalIF\":3.4000,\"publicationDate\":\"2025-10-10\",\"publicationTypes\":\"Journal Article\",\"fieldsOfStudy\":null,\"isOpenAccess\":false,\"openAccessPdf\":\"https://www.ncbi.nlm.nih.gov/pmc/articles/PMC12512623/pdf/\",\"citationCount\":\"0\",\"resultStr\":null,\"platform\":\"Semanticscholar\",\"paperid\":null,\"PeriodicalName\":\"European Journal of Medical Research\",\"FirstCategoryId\":\"3\",\"ListUrlMain\":\"https://doi.org/10.1186/s40001-025-03237-4\",\"RegionNum\":3,\"RegionCategory\":\"医学\",\"ArticlePicture\":[],\"TitleCN\":null,\"AbstractTextCN\":null,\"PMCID\":null,\"EPubDate\":\"\",\"PubModel\":\"\",\"JCR\":\"Q2\",\"JCRName\":\"MEDICINE, RESEARCH & EXPERIMENTAL\",\"Score\":null,\"Total\":0}","platform":"Semanticscholar","paperid":null,"PeriodicalName":"European Journal of Medical Research","FirstCategoryId":"3","ListUrlMain":"https://doi.org/10.1186/s40001-025-03237-4","RegionNum":3,"RegionCategory":"医学","ArticlePicture":[],"TitleCN":null,"AbstractTextCN":null,"PMCID":null,"EPubDate":"","PubModel":"","JCR":"Q2","JCRName":"MEDICINE, RESEARCH & EXPERIMENTAL","Score":null,"Total":0}
引用次数: 0

摘要

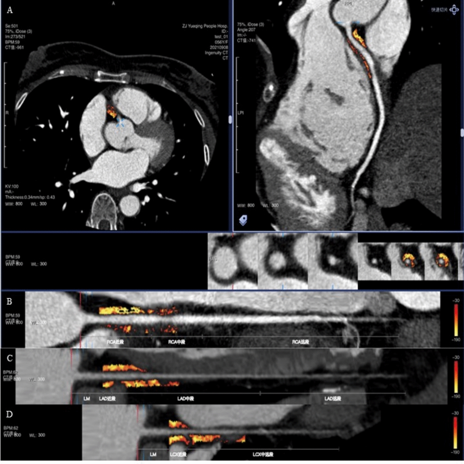
背景:心血管疾病仍然是2型糖尿病(T2DM)患者发病和死亡的主要原因。传统的风险模型在预测准确性上是有限的。冠状动脉周围脂肪组织(PCAT)是一种新的血管炎症成像生物标志物,可能具有额外的预后价值。因此,本研究旨在开发并验证一种整合PCAT参数与临床危险因素的机器学习模型,以提高T2DM患者心血管风险预测的准确性。方法:本研究回顾性纳入2017年1月至2021年12月广东省中医院4个分院住院的686例T2DM患者。冠脉CTA检测PCAT-FAI和容积指数。随访期间记录主要不良心血管事件(MACE)。应用了八种机器学习算法,并使用多个评估指标来比较模型的预测性能。使用特征重要性排序和SHapley加性解释(SHAP)值来解释最佳表现模型中的特征贡献。结果:在平均38.4个月的随访期间,共有183例患者经历了MACE。在评估的8个机器学习模型中,XGBoost模型在预测T2DM患者的MACE方面表现最好。在训练集的内部验证中,AUC为0.818 (95% CI 0.777-0.858),在外部测试集中,AUC为0.809 (95% CI 0.700-0.918)。此外,XGBoost模型在所有评价指标上均优于其他模型(准确率= 0.824,特异性= 0.882,F1评分= 0.654,Brier评分= 0.248)。在预测模型的特征重要性分析中,PCAT参数中的RCA-FAI在8个ML模型中始终排在前3位。进一步的SHAP分析表明,RCA-FAI、体重指数(BMI)和单核细胞/高密度脂蛋白胆固醇比(MHR)是影响T2DM患者MACE的最重要因素。结论:本研究证实了PCAT参数对T2DM患者长期心血管风险的独立预测价值。XGBoost模型有望成为一种潜在的临床决策支持工具。将PCAT参数与常规危险因素相结合,可以提高对高危人群的识别,提高对该人群MACE的预测能力。临床试验注册ChiCTR2400079869。
本文章由计算机程序翻译,如有差异,请以英文原文为准。

Machine learning-based integration of pericoronary adipose tissue and clinical risk factors for cardiovascular risk prediction in type 2 diabetes: a retrospective cohort study.

Machine learning-based integration of pericoronary adipose tissue and clinical risk factors for cardiovascular risk prediction in type 2 diabetes: a retrospective cohort study.

Machine learning-based integration of pericoronary adipose tissue and clinical risk factors for cardiovascular risk prediction in type 2 diabetes: a retrospective cohort study.

Machine learning-based integration of pericoronary adipose tissue and clinical risk factors for cardiovascular risk prediction in type 2 diabetes: a retrospective cohort study.

Background: Cardiovascular disease remains the predominant cause of morbidity and mortality in individuals with type 2 diabetes mellitus (T2DM). Traditional risk models are limited in predictive accuracy. Pericoronary adipose tissue (PCAT), a novel imaging biomarker of vascular inflammation, may offer additional prognostic value. Therefore, this study aimed to develop and validate a machine learning model that integrates PCAT parameters with clinical risk factors to improve the accuracy of cardiovascular risk prediction in individuals with T2DM.

Methods: This study retrospectively enrolled 686 hospitalized T2DM patients from four branches of Guangdong Provincial Hospital of Chinese Medicine between January 2017 and December 2021. PCAT-FAI and volume index were measured using coronary CTA. Major adverse cardiovascular events (MACE) were recorded during follow-up. Eight machine learning algorithms were applied, and multiple evaluation metrics were used to compare the predictive performance of the models. Feature contributions in the best-performing model were interpreted using both feature importance ranking and SHapley Additive exPlanations (SHAP) values.

Results: A total of 183 patients experienced MACE during the mean 38.4 months of follow-up. Among the eight machine learning models evaluated, the XGBoost model performed the best in predicting MACE in patients with T2DM. In the internal validation of the training set, the AUC was 0.818 (95% CI 0.777-0.858), and in the external test set, the AUC was 0.809 (95% CI 0.700-0.918). Additionally, the XGBoost model outperforms other models in all evaluation metrics (accuracy = 0.824, specificity = 0.882, F1 score = 0.654, Brier score = 0.248). In the feature importance analysis of the prediction model, RCA-FAI in the PCAT parameters consistently ranked among the top three in eight ML models. Further SHAP analysis indicated that RCA-FAI, body mass index (BMI), and the monocyte/high-density lipoprotein cholesterol ratio (MHR) were the most influential factors for MACE in patients with T2DM.

Conclusion: This study demonstrates the independent predictive value of PCAT parameters for long-term cardiovascular risk in patients with T2DM. The XGBoost model showed promise as a potential clinical decision support tool. Integrating PCAT parameters with conventional risk factors may improve the identification of high-risk individuals and enhance the ability to predict MACE in this population. Clinical trial registration ChiCTR2400079869.

求助全文
通过发布文献求助,成功后即可免费获取论文全文。 去求助
来源期刊
European Journal of Medical Research
European Journal of Medical Research 医学-医学:研究与实验
CiteScore
3.20
自引率
0.00%
发文量
247
审稿时长
>12 weeks
期刊介绍: European Journal of Medical Research publishes translational and clinical research of international interest across all medical disciplines, enabling clinicians and other researchers to learn about developments and innovations within these disciplines and across the boundaries between disciplines. The journal publishes high quality research and reviews and aims to ensure that the results of all well-conducted research are published, regardless of their outcome.
×
引用
GB/T 7714-2015
复制
MLA
复制
APA
复制
导出至
BibTeX EndNote RefMan NoteFirst NoteExpress
×
提示
您的信息不完整,为了账户安全,请先补充。
现在去补充
×
提示
您因"违规操作"
具体请查看互助需知
我知道了
×
提示
确定
请完成安全验证×
copy
已复制链接
快去分享给好友吧!
我知道了
右上角分享
点击右上角分享
0
联系我们:info@booksci.cn Book学术提供免费学术资源搜索服务,方便国内外学者检索中英文文献。致力于提供最便捷和优质的服务体验。 Copyright © 2023 布克学术 All rights reserved.
京ICP备2023020795号-1
ghs 京公网安备 11010802042870号
Book学术文献互助
Book学术文献互助群
群 号:604180095
Book学术官方微信