巨大肝动脉瘤开放性修复术。

IF 0.5 Q4 SURGERY
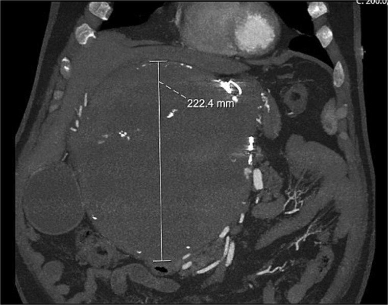
Journal of Surgical Case Reports Pub Date : 2025-10-07 eCollection Date: 2025-10-01 DOI:10.1093/jscr/rjaf799
Arunan Mahendravarman, Christopher Seng Hong Lim, Jaswinder Singh Samra
{"title":"巨大肝动脉瘤开放性修复术。","authors":"Arunan Mahendravarman, Christopher Seng Hong Lim, Jaswinder Singh Samra","doi":"10.1093/jscr/rjaf799","DOIUrl":null,"url":null,"abstract":"<p><p>Hepatic artery aneurysms (HAAs) are rare vascular lesions with significant risk of rupture and high mortality if untreated. We report a 59-year-old male who re-presented with severe chest and abdominal pain 10 years after failed embolization of a known HAA. Imaging revealed a massive lesion with extensive local mass effect, ultimately requiring complex multivisceral resection and vascular reconstruction to achieve definitive management.</p>","PeriodicalId":47321,"journal":{"name":"Journal of Surgical Case Reports","volume":"2025 10","pages":"rjaf799"},"PeriodicalIF":0.5000,"publicationDate":"2025-10-07","publicationTypes":"Journal Article","fieldsOfStudy":null,"isOpenAccess":false,"openAccessPdf":"https://www.ncbi.nlm.nih.gov/pmc/articles/PMC12501106/pdf/","citationCount":"0","resultStr":"{\"title\":\"Open repair of a giant hepatic artery aneurysm.\",\"authors\":\"Arunan Mahendravarman, Christopher Seng Hong Lim, Jaswinder Singh Samra\",\"doi\":\"10.1093/jscr/rjaf799\",\"DOIUrl\":null,\"url\":null,\"abstract\":\"<p><p>Hepatic artery aneurysms (HAAs) are rare vascular lesions with significant risk of rupture and high mortality if untreated. We report a 59-year-old male who re-presented with severe chest and abdominal pain 10 years after failed embolization of a known HAA. Imaging revealed a massive lesion with extensive local mass effect, ultimately requiring complex multivisceral resection and vascular reconstruction to achieve definitive management.</p>\",\"PeriodicalId\":47321,\"journal\":{\"name\":\"Journal of Surgical Case Reports\",\"volume\":\"2025 10\",\"pages\":\"rjaf799\"},\"PeriodicalIF\":0.5000,\"publicationDate\":\"2025-10-07\",\"publicationTypes\":\"Journal Article\",\"fieldsOfStudy\":null,\"isOpenAccess\":false,\"openAccessPdf\":\"https://www.ncbi.nlm.nih.gov/pmc/articles/PMC12501106/pdf/\",\"citationCount\":\"0\",\"resultStr\":null,\"platform\":\"Semanticscholar\",\"paperid\":null,\"PeriodicalName\":\"Journal of Surgical Case Reports\",\"FirstCategoryId\":\"1085\",\"ListUrlMain\":\"https://doi.org/10.1093/jscr/rjaf799\",\"RegionNum\":0,\"RegionCategory\":null,\"ArticlePicture\":[],\"TitleCN\":null,\"AbstractTextCN\":null,\"PMCID\":null,\"EPubDate\":\"2025/10/1 0:00:00\",\"PubModel\":\"eCollection\",\"JCR\":\"Q4\",\"JCRName\":\"SURGERY\",\"Score\":null,\"Total\":0}","platform":"Semanticscholar","paperid":null,"PeriodicalName":"Journal of Surgical Case Reports","FirstCategoryId":"1085","ListUrlMain":"https://doi.org/10.1093/jscr/rjaf799","RegionNum":0,"RegionCategory":null,"ArticlePicture":[],"TitleCN":null,"AbstractTextCN":null,"PMCID":null,"EPubDate":"2025/10/1 0:00:00","PubModel":"eCollection","JCR":"Q4","JCRName":"SURGERY","Score":null,"Total":0}
引用次数: 0

摘要

肝动脉动脉瘤(HAAs)是一种罕见的血管病变,如果不治疗,有很大的破裂风险和高死亡率。我们报告了一位59岁的男性,他在已知HAA栓塞失败10年后再次出现严重的胸腹疼痛。影像学显示巨大病变伴广泛的局部肿块效应,最终需要复杂的多脏器切除和血管重建才能达到明确的治疗。
本文章由计算机程序翻译,如有差异,请以英文原文为准。

Open repair of a giant hepatic artery aneurysm.

Open repair of a giant hepatic artery aneurysm.

Open repair of a giant hepatic artery aneurysm.

Hepatic artery aneurysms (HAAs) are rare vascular lesions with significant risk of rupture and high mortality if untreated. We report a 59-year-old male who re-presented with severe chest and abdominal pain 10 years after failed embolization of a known HAA. Imaging revealed a massive lesion with extensive local mass effect, ultimately requiring complex multivisceral resection and vascular reconstruction to achieve definitive management.

求助全文
通过发布文献求助,成功后即可免费获取论文全文。 去求助
来源期刊
CiteScore
0.70
自引率
0.00%
发文量
559
审稿时长
11 weeks
×
引用
GB/T 7714-2015
复制
MLA
复制
APA
复制
导出至
BibTeX EndNote RefMan NoteFirst NoteExpress
×
提示
您的信息不完整,为了账户安全,请先补充。
现在去补充
×
提示
您因"违规操作"
具体请查看互助需知
我知道了
×
提示
确定
请完成安全验证×
copy
已复制链接
快去分享给好友吧!
我知道了
右上角分享
点击右上角分享
0
联系我们:info@booksci.cn Book学术提供免费学术资源搜索服务,方便国内外学者检索中英文文献。致力于提供最便捷和优质的服务体验。 Copyright © 2023 布克学术 All rights reserved.
京ICP备2023020795号-1
ghs 京公网安备 11010802042870号
Book学术文献互助
Book学术文献互助群
群 号:604180095
Book学术官方微信