超分辨率深度学习重建提高冠状动脉CT造影图像质量。

Radiology advances Pub Date : 2024-03-19 eCollection Date: 2024-05-01 DOI:10.1093/radadv/umae001
Nobuo Tomizawa, Yui Nozaki, Hideyuki Sato, Yuko Kawaguchi, Ayako Kudo, Daigo Takahashi, Kazuhisa Takamura, Makoto Hiki, Shinichiro Fujimoto, Iwao Okai, Seiji Koga, Shinya Okazaki, Kanako K Kumamaru, Tohru Minamino, Shigeki Aoki
{"title":"超分辨率深度学习重建提高冠状动脉CT造影图像质量。","authors":"Nobuo Tomizawa, Yui Nozaki, Hideyuki Sato, Yuko Kawaguchi, Ayako Kudo, Daigo Takahashi, Kazuhisa Takamura, Makoto Hiki, Shinichiro Fujimoto, Iwao Okai, Seiji Koga, Shinya Okazaki, Kanako K Kumamaru, Tohru Minamino, Shigeki Aoki","doi":"10.1093/radadv/umae001","DOIUrl":null,"url":null,"abstract":"<p><strong>Purpose: </strong>To compare the objective and subjective image quality and diagnostic performance for coronary stenosis of normal-dose model-based iterative reconstruction and reduced-dose super-resolution deep learning reconstruction in coronary CT angiography.</p><p><strong>Materials and methods: </strong>This single-center retrospective study included 52 patients (mean age, 68 years ± 10 [SD]; 41 men) who underwent serial coronary CT angiography and subsequent invasive coronary angiography between January and November 2022. The first 25 patients were scanned with a standard dose using model-based iterative reconstruction. The last 27 patients were scanned with a reduced dose using super-resolution deep learning reconstruction. Per-patient objective and subjective image qualities were compared. Diagnostic performance of model-based iterative reconstruction and super-resolution deep learning reconstruction to diagnose significant stenosis on coronary angiography was compared per-vessel using receiver operating characteristics curve analysis.</p><p><strong>Results: </strong>The median tube current of super-resolution deep learning reconstruction was lower than that of model-based iterative reconstruction (median [IQR], 890 mA [680, 900] vs. 900 mA [895, 900], <i>P</i> = 0.03). Image noise of super-resolution deep learning reconstruction was lower than that of model-based iterative reconstruction (14.6 Hounsfield units ± 1.3 vs. 22.7 Hounsfield units ± 4.4, <i>P</i> < .001). Super-resolution deep learning reconstruction improved the overall subjective image quality compared with model-based iterative reconstruction (median [IQR], 4 [3, 4] vs 3 [3, 3], <i>P</i> = .006). No difference in the area under the receiver operating characteristic curve in diagnosing coronary stenosis using super-resolution deep learning reconstruction (0.96; 95% CI, 0.92-0.99) and model-based iterative reconstruction (0.96; 95% CI, 0.92-0.98; <i>P</i> = .98) was observed.</p><p><strong>Conclusion: </strong>Our exploratory analysis suggests that super-resolution deep learning reconstruction could improve image quality with lower tube current settings than model-based iterative reconstruction with similar diagnostic performance to diagnose coronary stenosis in coronary CT angiography.</p>","PeriodicalId":519940,"journal":{"name":"Radiology advances","volume":"1 1","pages":"umae001"},"PeriodicalIF":0.0000,"publicationDate":"2024-03-19","publicationTypes":"Journal Article","fieldsOfStudy":null,"isOpenAccess":false,"openAccessPdf":"https://www.ncbi.nlm.nih.gov/pmc/articles/PMC12428329/pdf/","citationCount":"0","resultStr":"{\"title\":\"Super-resolution deep learning reconstruction to improve image quality of coronary CT angiography.\",\"authors\":\"Nobuo Tomizawa, Yui Nozaki, Hideyuki Sato, Yuko Kawaguchi, Ayako Kudo, Daigo Takahashi, Kazuhisa Takamura, Makoto Hiki, Shinichiro Fujimoto, Iwao Okai, Seiji Koga, Shinya Okazaki, Kanako K Kumamaru, Tohru Minamino, Shigeki Aoki\",\"doi\":\"10.1093/radadv/umae001\",\"DOIUrl\":null,\"url\":null,\"abstract\":\"<p><strong>Purpose: </strong>To compare the objective and subjective image quality and diagnostic performance for coronary stenosis of normal-dose model-based iterative reconstruction and reduced-dose super-resolution deep learning reconstruction in coronary CT angiography.</p><p><strong>Materials and methods: </strong>This single-center retrospective study included 52 patients (mean age, 68 years ± 10 [SD]; 41 men) who underwent serial coronary CT angiography and subsequent invasive coronary angiography between January and November 2022. The first 25 patients were scanned with a standard dose using model-based iterative reconstruction. The last 27 patients were scanned with a reduced dose using super-resolution deep learning reconstruction. Per-patient objective and subjective image qualities were compared. Diagnostic performance of model-based iterative reconstruction and super-resolution deep learning reconstruction to diagnose significant stenosis on coronary angiography was compared per-vessel using receiver operating characteristics curve analysis.</p><p><strong>Results: </strong>The median tube current of super-resolution deep learning reconstruction was lower than that of model-based iterative reconstruction (median [IQR], 890 mA [680, 900] vs. 900 mA [895, 900], <i>P</i> = 0.03). Image noise of super-resolution deep learning reconstruction was lower than that of model-based iterative reconstruction (14.6 Hounsfield units ± 1.3 vs. 22.7 Hounsfield units ± 4.4, <i>P</i> < .001). Super-resolution deep learning reconstruction improved the overall subjective image quality compared with model-based iterative reconstruction (median [IQR], 4 [3, 4] vs 3 [3, 3], <i>P</i> = .006). No difference in the area under the receiver operating characteristic curve in diagnosing coronary stenosis using super-resolution deep learning reconstruction (0.96; 95% CI, 0.92-0.99) and model-based iterative reconstruction (0.96; 95% CI, 0.92-0.98; <i>P</i> = .98) was observed.</p><p><strong>Conclusion: </strong>Our exploratory analysis suggests that super-resolution deep learning reconstruction could improve image quality with lower tube current settings than model-based iterative reconstruction with similar diagnostic performance to diagnose coronary stenosis in coronary CT angiography.</p>\",\"PeriodicalId\":519940,\"journal\":{\"name\":\"Radiology advances\",\"volume\":\"1 1\",\"pages\":\"umae001\"},\"PeriodicalIF\":0.0000,\"publicationDate\":\"2024-03-19\",\"publicationTypes\":\"Journal Article\",\"fieldsOfStudy\":null,\"isOpenAccess\":false,\"openAccessPdf\":\"https://www.ncbi.nlm.nih.gov/pmc/articles/PMC12428329/pdf/\",\"citationCount\":\"0\",\"resultStr\":null,\"platform\":\"Semanticscholar\",\"paperid\":null,\"PeriodicalName\":\"Radiology advances\",\"FirstCategoryId\":\"1085\",\"ListUrlMain\":\"https://doi.org/10.1093/radadv/umae001\",\"RegionNum\":0,\"RegionCategory\":null,\"ArticlePicture\":[],\"TitleCN\":null,\"AbstractTextCN\":null,\"PMCID\":null,\"EPubDate\":\"2024/5/1 0:00:00\",\"PubModel\":\"eCollection\",\"JCR\":\"\",\"JCRName\":\"\",\"Score\":null,\"Total\":0}","platform":"Semanticscholar","paperid":null,"PeriodicalName":"Radiology advances","FirstCategoryId":"1085","ListUrlMain":"https://doi.org/10.1093/radadv/umae001","RegionNum":0,"RegionCategory":null,"ArticlePicture":[],"TitleCN":null,"AbstractTextCN":null,"PMCID":null,"EPubDate":"2024/5/1 0:00:00","PubModel":"eCollection","JCR":"","JCRName":"","Score":null,"Total":0}
引用次数: 0

摘要

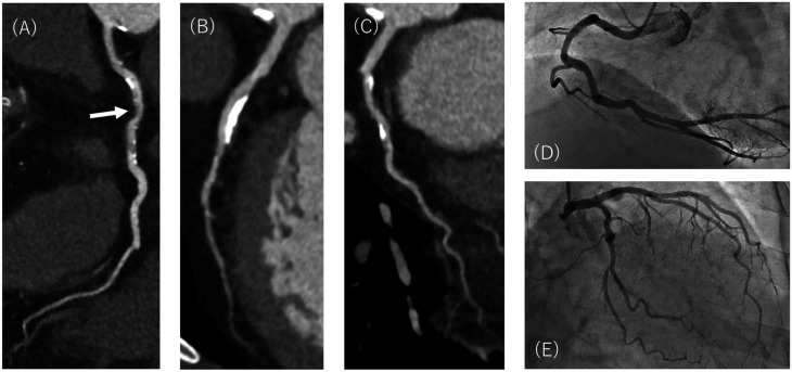
目的:比较冠状动脉CT血管造影中基于正常剂量模型的迭代重建与低剂量超分辨率深度学习重建的主客观图像质量及对冠状动脉狭窄的诊断性能。材料与方法:本单中心回顾性研究纳入52例患者(平均年龄68岁±10岁[SD]; 41例男性),这些患者于2022年1月至11月期间接受了连续冠状动脉CT血管造影和随后的有创冠状动脉造影。使用基于模型的迭代重建,对前25名患者进行标准剂量扫描。最后27例患者使用超分辨率深度学习重建进行低剂量扫描。比较每位患者的客观和主观图像质量。采用受试者工作特征曲线分析,比较基于模型的迭代重建和超分辨率深度学习重建诊断冠状动脉造影明显狭窄的诊断性能。结果:超分辨率深度学习重建的管电流中位数低于基于模型的迭代重建(中位数[IQR], 890 mA [680, 900] vs. 900 mA [895, 900], P = 0.03)。超分辨率深度学习重建的图像噪声低于基于模型的迭代重建(14.6 Hounsfield units±1.3 vs. 22.7 Hounsfield units±4.4,P P = 0.006)。超分辨率深度学习重建与基于模型的迭代重建在诊断冠状动脉狭窄时,受试者工作特征曲线下面积无差异(0.96;95% CI, 0.92-0.99)。98)。结论:我们的探索性分析表明,与基于模型的迭代重建相比,超分辨率深度学习重建可以在较低的管电流设置下提高图像质量,并具有相似的诊断性能,用于诊断冠状动脉CT血管造影中的冠状动脉狭窄。
本文章由计算机程序翻译,如有差异,请以英文原文为准。

Super-resolution deep learning reconstruction to improve image quality of coronary CT angiography.

Super-resolution deep learning reconstruction to improve image quality of coronary CT angiography.

Super-resolution deep learning reconstruction to improve image quality of coronary CT angiography.

Super-resolution deep learning reconstruction to improve image quality of coronary CT angiography.

Purpose: To compare the objective and subjective image quality and diagnostic performance for coronary stenosis of normal-dose model-based iterative reconstruction and reduced-dose super-resolution deep learning reconstruction in coronary CT angiography.

Materials and methods: This single-center retrospective study included 52 patients (mean age, 68 years ± 10 [SD]; 41 men) who underwent serial coronary CT angiography and subsequent invasive coronary angiography between January and November 2022. The first 25 patients were scanned with a standard dose using model-based iterative reconstruction. The last 27 patients were scanned with a reduced dose using super-resolution deep learning reconstruction. Per-patient objective and subjective image qualities were compared. Diagnostic performance of model-based iterative reconstruction and super-resolution deep learning reconstruction to diagnose significant stenosis on coronary angiography was compared per-vessel using receiver operating characteristics curve analysis.

Results: The median tube current of super-resolution deep learning reconstruction was lower than that of model-based iterative reconstruction (median [IQR], 890 mA [680, 900] vs. 900 mA [895, 900], P = 0.03). Image noise of super-resolution deep learning reconstruction was lower than that of model-based iterative reconstruction (14.6 Hounsfield units ± 1.3 vs. 22.7 Hounsfield units ± 4.4, P < .001). Super-resolution deep learning reconstruction improved the overall subjective image quality compared with model-based iterative reconstruction (median [IQR], 4 [3, 4] vs 3 [3, 3], P = .006). No difference in the area under the receiver operating characteristic curve in diagnosing coronary stenosis using super-resolution deep learning reconstruction (0.96; 95% CI, 0.92-0.99) and model-based iterative reconstruction (0.96; 95% CI, 0.92-0.98; P = .98) was observed.

Conclusion: Our exploratory analysis suggests that super-resolution deep learning reconstruction could improve image quality with lower tube current settings than model-based iterative reconstruction with similar diagnostic performance to diagnose coronary stenosis in coronary CT angiography.

求助全文
通过发布文献求助,成功后即可免费获取论文全文。 去求助
来源期刊
自引率
0.00%
发文量
0
×
引用
GB/T 7714-2015
复制
MLA
复制
APA
复制
导出至
BibTeX EndNote RefMan NoteFirst NoteExpress
×
提示
您的信息不完整,为了账户安全,请先补充。
现在去补充
×
提示
您因"违规操作"
具体请查看互助需知
我知道了
×
提示
确定
请完成安全验证×
copy
已复制链接
快去分享给好友吧!
我知道了
右上角分享
点击右上角分享
0
联系我们:info@booksci.cn Book学术提供免费学术资源搜索服务,方便国内外学者检索中英文文献。致力于提供最便捷和优质的服务体验。 Copyright © 2023 布克学术 All rights reserved.
京ICP备2023020795号-1
ghs 京公网安备 11010802042870号
Book学术文献互助
Book学术文献互助群
群 号:604180095
Book学术官方微信