帕唑帕尼联合立体定向消融体放疗治疗肾细胞癌延迟性胰腺转移。

IF 0.5 Q4 SURGERY
Journal of Surgical Case Reports Pub Date : 2025-10-06 eCollection Date: 2025-10-01 DOI:10.1093/jscr/rjaf798
Mutahar A Tunio, Wael Mohamed, Sing-Yu Moorcraft, Basil Mary Eldo, Waqas Mehmood, Tawfik Elazzabi
{"title":"帕唑帕尼联合立体定向消融体放疗治疗肾细胞癌延迟性胰腺转移。","authors":"Mutahar A Tunio, Wael Mohamed, Sing-Yu Moorcraft, Basil Mary Eldo, Waqas Mehmood, Tawfik Elazzabi","doi":"10.1093/jscr/rjaf798","DOIUrl":null,"url":null,"abstract":"<p><p>The pancreas is a rare site of distant metastasis from renal cell carcinoma. We present the case of a 68-year-old man with a prior history of left radical nephrectomy for renal cell carcinoma, who was found to have an isolated pancreatic metastasis in the pancreatic tail during routine follow-up imaging 4 years postsurgery. The patient was initially managed with pazopanib, but due to progressive growth of the pancreatic lesion without other metastatic sites, stereotactic ablative body radiotherapy (SABR) was given, with complete response at 12 months after SABR.</p>","PeriodicalId":47321,"journal":{"name":"Journal of Surgical Case Reports","volume":"2025 10","pages":"rjaf798"},"PeriodicalIF":0.5000,"publicationDate":"2025-10-06","publicationTypes":"Journal Article","fieldsOfStudy":null,"isOpenAccess":false,"openAccessPdf":"https://www.ncbi.nlm.nih.gov/pmc/articles/PMC12499912/pdf/","citationCount":"0","resultStr":"{\"title\":\"Delayed pancreatic metastasis from renal cell carcinoma managed with pazopanib and stereotactic ablative body radiotherapy.\",\"authors\":\"Mutahar A Tunio, Wael Mohamed, Sing-Yu Moorcraft, Basil Mary Eldo, Waqas Mehmood, Tawfik Elazzabi\",\"doi\":\"10.1093/jscr/rjaf798\",\"DOIUrl\":null,\"url\":null,\"abstract\":\"<p><p>The pancreas is a rare site of distant metastasis from renal cell carcinoma. We present the case of a 68-year-old man with a prior history of left radical nephrectomy for renal cell carcinoma, who was found to have an isolated pancreatic metastasis in the pancreatic tail during routine follow-up imaging 4 years postsurgery. The patient was initially managed with pazopanib, but due to progressive growth of the pancreatic lesion without other metastatic sites, stereotactic ablative body radiotherapy (SABR) was given, with complete response at 12 months after SABR.</p>\",\"PeriodicalId\":47321,\"journal\":{\"name\":\"Journal of Surgical Case Reports\",\"volume\":\"2025 10\",\"pages\":\"rjaf798\"},\"PeriodicalIF\":0.5000,\"publicationDate\":\"2025-10-06\",\"publicationTypes\":\"Journal Article\",\"fieldsOfStudy\":null,\"isOpenAccess\":false,\"openAccessPdf\":\"https://www.ncbi.nlm.nih.gov/pmc/articles/PMC12499912/pdf/\",\"citationCount\":\"0\",\"resultStr\":null,\"platform\":\"Semanticscholar\",\"paperid\":null,\"PeriodicalName\":\"Journal of Surgical Case Reports\",\"FirstCategoryId\":\"1085\",\"ListUrlMain\":\"https://doi.org/10.1093/jscr/rjaf798\",\"RegionNum\":0,\"RegionCategory\":null,\"ArticlePicture\":[],\"TitleCN\":null,\"AbstractTextCN\":null,\"PMCID\":null,\"EPubDate\":\"2025/10/1 0:00:00\",\"PubModel\":\"eCollection\",\"JCR\":\"Q4\",\"JCRName\":\"SURGERY\",\"Score\":null,\"Total\":0}","platform":"Semanticscholar","paperid":null,"PeriodicalName":"Journal of Surgical Case Reports","FirstCategoryId":"1085","ListUrlMain":"https://doi.org/10.1093/jscr/rjaf798","RegionNum":0,"RegionCategory":null,"ArticlePicture":[],"TitleCN":null,"AbstractTextCN":null,"PMCID":null,"EPubDate":"2025/10/1 0:00:00","PubModel":"eCollection","JCR":"Q4","JCRName":"SURGERY","Score":null,"Total":0}
引用次数: 0

摘要

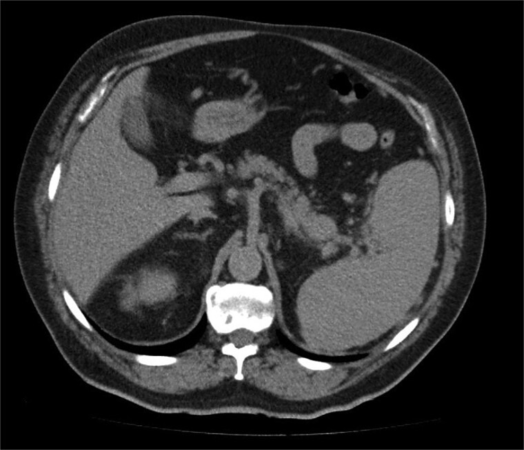
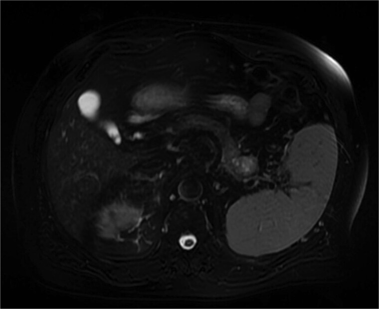
摘要胰腺是肾细胞癌发生远端转移的罕见部位。我们报告一名68岁男性,因肾细胞癌而行左侧根治性肾切除术,术后4年的常规随访影像中发现胰腺尾部有孤立的胰腺转移。患者最初接受帕唑帕尼治疗,但由于胰腺病变进行性生长,无其他转移部位,因此给予立体定向消融体放疗(SABR),在SABR后12个月完全缓解。
本文章由计算机程序翻译,如有差异,请以英文原文为准。

Delayed pancreatic metastasis from renal cell carcinoma managed with pazopanib and stereotactic ablative body radiotherapy.

Delayed pancreatic metastasis from renal cell carcinoma managed with pazopanib and stereotactic ablative body radiotherapy.

Delayed pancreatic metastasis from renal cell carcinoma managed with pazopanib and stereotactic ablative body radiotherapy.

Delayed pancreatic metastasis from renal cell carcinoma managed with pazopanib and stereotactic ablative body radiotherapy.

The pancreas is a rare site of distant metastasis from renal cell carcinoma. We present the case of a 68-year-old man with a prior history of left radical nephrectomy for renal cell carcinoma, who was found to have an isolated pancreatic metastasis in the pancreatic tail during routine follow-up imaging 4 years postsurgery. The patient was initially managed with pazopanib, but due to progressive growth of the pancreatic lesion without other metastatic sites, stereotactic ablative body radiotherapy (SABR) was given, with complete response at 12 months after SABR.

求助全文
通过发布文献求助,成功后即可免费获取论文全文。 去求助
来源期刊
CiteScore
0.70
自引率
0.00%
发文量
559
审稿时长
11 weeks
×
引用
GB/T 7714-2015
复制
MLA
复制
APA
复制
导出至
BibTeX EndNote RefMan NoteFirst NoteExpress
×
提示
您的信息不完整,为了账户安全,请先补充。
现在去补充
×
提示
您因"违规操作"
具体请查看互助需知
我知道了
×
提示
确定
请完成安全验证×
copy
已复制链接
快去分享给好友吧!
我知道了
右上角分享
点击右上角分享
0
联系我们:info@booksci.cn Book学术提供免费学术资源搜索服务,方便国内外学者检索中英文文献。致力于提供最便捷和优质的服务体验。 Copyright © 2023 布克学术 All rights reserved.
京ICP备2023020795号-1
ghs 京公网安备 11010802042870号
Book学术文献互助
Book学术文献互助群
群 号:604180095
Book学术官方微信