无连续禁食治疗迟发型食管胃吻合口瘘1例。

IF 0.5 Q4 SURGERY
Journal of Surgical Case Reports Pub Date : 2025-10-06 eCollection Date: 2025-10-01 DOI:10.1093/jscr/rjaf796
Yuhui Gong, Yu Zhang, Haitao Ma, Wei Jiang, Jiangjiang Liu, Yunteng Kang, Jialiang Liu, Xiaojun Yu
{"title":"无连续禁食治疗迟发型食管胃吻合口瘘1例。","authors":"Yuhui Gong, Yu Zhang, Haitao Ma, Wei Jiang, Jiangjiang Liu, Yunteng Kang, Jialiang Liu, Xiaojun Yu","doi":"10.1093/jscr/rjaf796","DOIUrl":null,"url":null,"abstract":"<p><p>Esophagogastric anastomotic fistula is a common complication following esophageal cancer surgery, typically occurring within the first postoperative week. Conventional management requires prolonged fasting until complete fistula closure, which significantly impacts patient quality of life. We present a case of a male who developed an esophagogastric anastomotic fistula 2 months postoperatively, complicated by a concurrent gastrobronchial fistula. Endoscopic evaluation revealed persistent gastric wall defects at the fistula site. As the disease progressed, thickened visceral pleura formed dense adhesions with the damaged gastric tissue, effectively sealing the defect and preventing digestive fluid leakage into the thoracic cavity. By promptly promoting gastric emptying and reducing gastric acid secretion, the patient resumed oral intake without developing severe infections or complications.</p>","PeriodicalId":47321,"journal":{"name":"Journal of Surgical Case Reports","volume":"2025 10","pages":"rjaf796"},"PeriodicalIF":0.5000,"publicationDate":"2025-10-06","publicationTypes":"Journal Article","fieldsOfStudy":null,"isOpenAccess":false,"openAccessPdf":"https://www.ncbi.nlm.nih.gov/pmc/articles/PMC12499916/pdf/","citationCount":"0","resultStr":"{\"title\":\"Late-onset esophagogastric anastomotic fistula managed without continuous fasting: a case report.\",\"authors\":\"Yuhui Gong, Yu Zhang, Haitao Ma, Wei Jiang, Jiangjiang Liu, Yunteng Kang, Jialiang Liu, Xiaojun Yu\",\"doi\":\"10.1093/jscr/rjaf796\",\"DOIUrl\":null,\"url\":null,\"abstract\":\"<p><p>Esophagogastric anastomotic fistula is a common complication following esophageal cancer surgery, typically occurring within the first postoperative week. Conventional management requires prolonged fasting until complete fistula closure, which significantly impacts patient quality of life. We present a case of a male who developed an esophagogastric anastomotic fistula 2 months postoperatively, complicated by a concurrent gastrobronchial fistula. Endoscopic evaluation revealed persistent gastric wall defects at the fistula site. As the disease progressed, thickened visceral pleura formed dense adhesions with the damaged gastric tissue, effectively sealing the defect and preventing digestive fluid leakage into the thoracic cavity. By promptly promoting gastric emptying and reducing gastric acid secretion, the patient resumed oral intake without developing severe infections or complications.</p>\",\"PeriodicalId\":47321,\"journal\":{\"name\":\"Journal of Surgical Case Reports\",\"volume\":\"2025 10\",\"pages\":\"rjaf796\"},\"PeriodicalIF\":0.5000,\"publicationDate\":\"2025-10-06\",\"publicationTypes\":\"Journal Article\",\"fieldsOfStudy\":null,\"isOpenAccess\":false,\"openAccessPdf\":\"https://www.ncbi.nlm.nih.gov/pmc/articles/PMC12499916/pdf/\",\"citationCount\":\"0\",\"resultStr\":null,\"platform\":\"Semanticscholar\",\"paperid\":null,\"PeriodicalName\":\"Journal of Surgical Case Reports\",\"FirstCategoryId\":\"1085\",\"ListUrlMain\":\"https://doi.org/10.1093/jscr/rjaf796\",\"RegionNum\":0,\"RegionCategory\":null,\"ArticlePicture\":[],\"TitleCN\":null,\"AbstractTextCN\":null,\"PMCID\":null,\"EPubDate\":\"2025/10/1 0:00:00\",\"PubModel\":\"eCollection\",\"JCR\":\"Q4\",\"JCRName\":\"SURGERY\",\"Score\":null,\"Total\":0}","platform":"Semanticscholar","paperid":null,"PeriodicalName":"Journal of Surgical Case Reports","FirstCategoryId":"1085","ListUrlMain":"https://doi.org/10.1093/jscr/rjaf796","RegionNum":0,"RegionCategory":null,"ArticlePicture":[],"TitleCN":null,"AbstractTextCN":null,"PMCID":null,"EPubDate":"2025/10/1 0:00:00","PubModel":"eCollection","JCR":"Q4","JCRName":"SURGERY","Score":null,"Total":0}
引用次数: 0

摘要

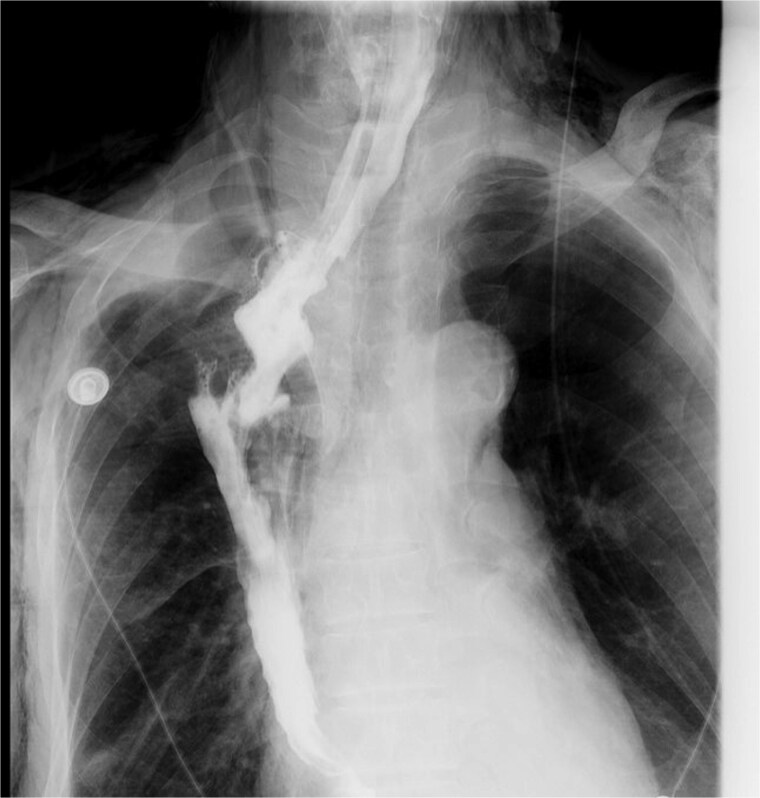
食管胃吻合口瘘是食管癌手术后常见的并发症,通常发生在术后一周内。传统的治疗需要长时间禁食,直到瘘管完全关闭,这明显影响患者的生活质量。我们报告一例男性患者,术后2个月出现食管胃吻合口瘘,并发胃支气管瘘。内镜检查显示瘘管部位持续存在胃壁缺损。随着病情的发展,增厚的内脏胸膜与受损的胃组织形成致密的粘连,有效地封闭了缺损,防止了消化液漏入胸腔。通过及时促进胃排空,减少胃酸分泌,患者恢复口服进食,未发生严重感染和并发症。
本文章由计算机程序翻译,如有差异,请以英文原文为准。

Late-onset esophagogastric anastomotic fistula managed without continuous fasting: a case report.

Late-onset esophagogastric anastomotic fistula managed without continuous fasting: a case report.

Late-onset esophagogastric anastomotic fistula managed without continuous fasting: a case report.

Late-onset esophagogastric anastomotic fistula managed without continuous fasting: a case report.

Esophagogastric anastomotic fistula is a common complication following esophageal cancer surgery, typically occurring within the first postoperative week. Conventional management requires prolonged fasting until complete fistula closure, which significantly impacts patient quality of life. We present a case of a male who developed an esophagogastric anastomotic fistula 2 months postoperatively, complicated by a concurrent gastrobronchial fistula. Endoscopic evaluation revealed persistent gastric wall defects at the fistula site. As the disease progressed, thickened visceral pleura formed dense adhesions with the damaged gastric tissue, effectively sealing the defect and preventing digestive fluid leakage into the thoracic cavity. By promptly promoting gastric emptying and reducing gastric acid secretion, the patient resumed oral intake without developing severe infections or complications.

求助全文
通过发布文献求助,成功后即可免费获取论文全文。 去求助
来源期刊
CiteScore
0.70
自引率
0.00%
发文量
559
审稿时长
11 weeks
×
引用
GB/T 7714-2015
复制
MLA
复制
APA
复制
导出至
BibTeX EndNote RefMan NoteFirst NoteExpress
×
提示
您的信息不完整,为了账户安全,请先补充。
现在去补充
×
提示
您因"违规操作"
具体请查看互助需知
我知道了
×
提示
确定
请完成安全验证×
copy
已复制链接
快去分享给好友吧!
我知道了
右上角分享
点击右上角分享
0
联系我们:info@booksci.cn Book学术提供免费学术资源搜索服务,方便国内外学者检索中英文文献。致力于提供最便捷和优质的服务体验。 Copyright © 2023 布克学术 All rights reserved.
京ICP备2023020795号-1
ghs 京公网安备 11010802042870号
Book学术文献互助
Book学术文献互助群
群 号:604180095
Book学术官方微信