醋酸甲孕酮继发于门脾肠系膜血栓形成治疗子宫异常出血1例。

IF 0.5 Q4 SURGERY
Journal of Surgical Case Reports Pub Date : 2025-10-06 eCollection Date: 2025-10-01 DOI:10.1093/jscr/rjaf791
David J Alvarez Chavez, Javier A Maciel Urzua, Maria C Torres González, Carlos A Bautista López, Carla M Cruz Rocha, Esther A Casado De La Torre, Daniela I Sánchez Lozano
{"title":"醋酸甲孕酮继发于门脾肠系膜血栓形成治疗子宫异常出血1例。","authors":"David J Alvarez Chavez, Javier A Maciel Urzua, Maria C Torres González, Carlos A Bautista López, Carla M Cruz Rocha, Esther A Casado De La Torre, Daniela I Sánchez Lozano","doi":"10.1093/jscr/rjaf791","DOIUrl":null,"url":null,"abstract":"<p><p>Acute mesenteric venous thrombosis is a rare and potentially lethal cause of intestinal ischemia. We report a 38-year-old woman with abnormal uterine bleeding, with anemia, and prolonged use of medroxyprogesterone acetate. She presented severe abdominal pain, peritoneal signs, and systemic inflammatory response. Computed tomography revealed thrombosis of the portal, splenic, and superior mesenteric veins with jejunal wall thickening. Initial laparotomy showed a viable bowel; full anticoagulation was started. She later developed perforation requiring jejunal resection and subsequent reoperation for anastomotic dehiscence. Extensive workup revealed no prothrombotic disorder other than progestin use. This case highlights the need to consider hormonal agents as potential triggers of porto-spleno-mesenteric thrombosis, even in young women without comorbidities, and to pursue multidisciplinary, individualized management to balance timely surgery with preservation of bowel length.</p>","PeriodicalId":47321,"journal":{"name":"Journal of Surgical Case Reports","volume":"2025 10","pages":"rjaf791"},"PeriodicalIF":0.5000,"publicationDate":"2025-10-06","publicationTypes":"Journal Article","fieldsOfStudy":null,"isOpenAccess":false,"openAccessPdf":"https://www.ncbi.nlm.nih.gov/pmc/articles/PMC12499917/pdf/","citationCount":"0","resultStr":"{\"title\":\"Porto-spleno-mesenteric thrombosis secondary to medroxyprogesterone acetate as a treatment for abnormal uterine bleeding: a case report.\",\"authors\":\"David J Alvarez Chavez, Javier A Maciel Urzua, Maria C Torres González, Carlos A Bautista López, Carla M Cruz Rocha, Esther A Casado De La Torre, Daniela I Sánchez Lozano\",\"doi\":\"10.1093/jscr/rjaf791\",\"DOIUrl\":null,\"url\":null,\"abstract\":\"<p><p>Acute mesenteric venous thrombosis is a rare and potentially lethal cause of intestinal ischemia. We report a 38-year-old woman with abnormal uterine bleeding, with anemia, and prolonged use of medroxyprogesterone acetate. She presented severe abdominal pain, peritoneal signs, and systemic inflammatory response. Computed tomography revealed thrombosis of the portal, splenic, and superior mesenteric veins with jejunal wall thickening. Initial laparotomy showed a viable bowel; full anticoagulation was started. She later developed perforation requiring jejunal resection and subsequent reoperation for anastomotic dehiscence. Extensive workup revealed no prothrombotic disorder other than progestin use. This case highlights the need to consider hormonal agents as potential triggers of porto-spleno-mesenteric thrombosis, even in young women without comorbidities, and to pursue multidisciplinary, individualized management to balance timely surgery with preservation of bowel length.</p>\",\"PeriodicalId\":47321,\"journal\":{\"name\":\"Journal of Surgical Case Reports\",\"volume\":\"2025 10\",\"pages\":\"rjaf791\"},\"PeriodicalIF\":0.5000,\"publicationDate\":\"2025-10-06\",\"publicationTypes\":\"Journal Article\",\"fieldsOfStudy\":null,\"isOpenAccess\":false,\"openAccessPdf\":\"https://www.ncbi.nlm.nih.gov/pmc/articles/PMC12499917/pdf/\",\"citationCount\":\"0\",\"resultStr\":null,\"platform\":\"Semanticscholar\",\"paperid\":null,\"PeriodicalName\":\"Journal of Surgical Case Reports\",\"FirstCategoryId\":\"1085\",\"ListUrlMain\":\"https://doi.org/10.1093/jscr/rjaf791\",\"RegionNum\":0,\"RegionCategory\":null,\"ArticlePicture\":[],\"TitleCN\":null,\"AbstractTextCN\":null,\"PMCID\":null,\"EPubDate\":\"2025/10/1 0:00:00\",\"PubModel\":\"eCollection\",\"JCR\":\"Q4\",\"JCRName\":\"SURGERY\",\"Score\":null,\"Total\":0}","platform":"Semanticscholar","paperid":null,"PeriodicalName":"Journal of Surgical Case Reports","FirstCategoryId":"1085","ListUrlMain":"https://doi.org/10.1093/jscr/rjaf791","RegionNum":0,"RegionCategory":null,"ArticlePicture":[],"TitleCN":null,"AbstractTextCN":null,"PMCID":null,"EPubDate":"2025/10/1 0:00:00","PubModel":"eCollection","JCR":"Q4","JCRName":"SURGERY","Score":null,"Total":0}
引用次数: 0

摘要

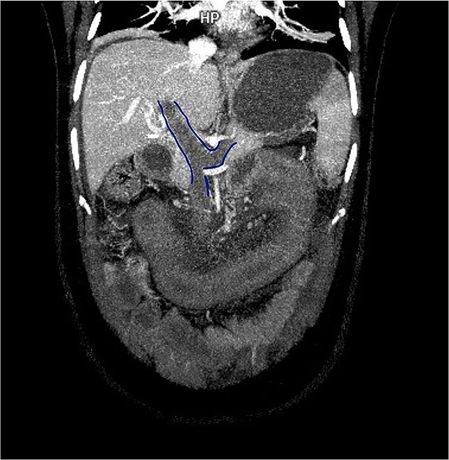
急性肠系膜静脉血栓形成是一种罕见且可能致命的肠道缺血原因。我们报告一个38岁的妇女异常子宫出血,与贫血,并长期使用醋酸甲孕酮。她表现出严重的腹痛、腹膜体征和全身炎症反应。计算机断层扫描显示门静脉、脾静脉和肠系膜上静脉血栓形成,空肠壁增厚。最初剖腹手术显示肠存活;开始全面抗凝。她后来出现穿孔,需要空肠切除术,随后再次手术治疗吻合口裂开。广泛的检查显示,除了使用黄体酮外,没有血栓前病变。本病例强调需要考虑激素制剂作为门-脾-肠系膜血栓形成的潜在触发因素,即使在没有合并症的年轻女性中也是如此,并需要寻求多学科、个性化的治疗,以平衡及时手术和保持肠道长度。
本文章由计算机程序翻译,如有差异,请以英文原文为准。

Porto-spleno-mesenteric thrombosis secondary to medroxyprogesterone acetate as a treatment for abnormal uterine bleeding: a case report.

Porto-spleno-mesenteric thrombosis secondary to medroxyprogesterone acetate as a treatment for abnormal uterine bleeding: a case report.

Porto-spleno-mesenteric thrombosis secondary to medroxyprogesterone acetate as a treatment for abnormal uterine bleeding: a case report.

Acute mesenteric venous thrombosis is a rare and potentially lethal cause of intestinal ischemia. We report a 38-year-old woman with abnormal uterine bleeding, with anemia, and prolonged use of medroxyprogesterone acetate. She presented severe abdominal pain, peritoneal signs, and systemic inflammatory response. Computed tomography revealed thrombosis of the portal, splenic, and superior mesenteric veins with jejunal wall thickening. Initial laparotomy showed a viable bowel; full anticoagulation was started. She later developed perforation requiring jejunal resection and subsequent reoperation for anastomotic dehiscence. Extensive workup revealed no prothrombotic disorder other than progestin use. This case highlights the need to consider hormonal agents as potential triggers of porto-spleno-mesenteric thrombosis, even in young women without comorbidities, and to pursue multidisciplinary, individualized management to balance timely surgery with preservation of bowel length.

求助全文
通过发布文献求助,成功后即可免费获取论文全文。 去求助
来源期刊
CiteScore
0.70
自引率
0.00%
发文量
559
审稿时长
11 weeks
×
引用
GB/T 7714-2015
复制
MLA
复制
APA
复制
导出至
BibTeX EndNote RefMan NoteFirst NoteExpress
×
提示
您的信息不完整,为了账户安全,请先补充。
现在去补充
×
提示
您因"违规操作"
具体请查看互助需知
我知道了
×
提示
确定
请完成安全验证×
copy
已复制链接
快去分享给好友吧!
我知道了
右上角分享
点击右上角分享
0
联系我们:info@booksci.cn Book学术提供免费学术资源搜索服务,方便国内外学者检索中英文文献。致力于提供最便捷和优质的服务体验。 Copyright © 2023 布克学术 All rights reserved.
京ICP备2023020795号-1
ghs 京公网安备 11010802042870号
Book学术文献互助
Book学术文献互助群
群 号:604180095
Book学术官方微信