梅干腹综合征患者发育不全的独特牙齿和颅面表现:一个罕见的病例报告。

IF 0.9 Q4 DENTISTRY, ORAL SURGERY & MEDICINE
Case Reports in Dentistry Pub Date : 2025-09-25 eCollection Date: 2025-01-01 DOI:10.1155/crid/1724807
Jan Ching Chun Hu, Jung-Wook Kim
{"title":"梅干腹综合征患者发育不全的独特牙齿和颅面表现:一个罕见的病例报告。","authors":"Jan Ching Chun Hu, Jung-Wook Kim","doi":"10.1155/crid/1724807","DOIUrl":null,"url":null,"abstract":"<p><p><b>Introduction:</b> Prune belly syndrome (PBS) is a rare congenital disease characterized by hypoplastic abdominal wall muscles, urological abnormalities, and bilateral cryptorchidism. This report describes a rare case of aberrant hypoplastic amelogenesis imperfecta in a patient with PBS. <b>Case Presentation:</b> A 10-year-old boy with PBS presented with difficulties in speech and mastication. Oral and radiological examinations revealed aberrant hypoplastic enamel defects, mandibular hypoplasia and retrusion, maxillary constriction, and anterior open bite. <b>Conclusion:</b> Although dental manifestations are not frequent in PBS, rare cases may present with aberrant hypoplastic amelogenesis imperfecta.</p>","PeriodicalId":46841,"journal":{"name":"Case Reports in Dentistry","volume":"2025 ","pages":"1724807"},"PeriodicalIF":0.9000,"publicationDate":"2025-09-25","publicationTypes":"Journal Article","fieldsOfStudy":null,"isOpenAccess":false,"openAccessPdf":"https://www.ncbi.nlm.nih.gov/pmc/articles/PMC12490928/pdf/","citationCount":"0","resultStr":"{\"title\":\"Unique Dental and Craniofacial Manifestations of Hypoplastic Amelogenesis Imperfecta in a Patient With Prune Belly Syndrome: A Rare Case Report.\",\"authors\":\"Jan Ching Chun Hu, Jung-Wook Kim\",\"doi\":\"10.1155/crid/1724807\",\"DOIUrl\":null,\"url\":null,\"abstract\":\"<p><p><b>Introduction:</b> Prune belly syndrome (PBS) is a rare congenital disease characterized by hypoplastic abdominal wall muscles, urological abnormalities, and bilateral cryptorchidism. This report describes a rare case of aberrant hypoplastic amelogenesis imperfecta in a patient with PBS. <b>Case Presentation:</b> A 10-year-old boy with PBS presented with difficulties in speech and mastication. Oral and radiological examinations revealed aberrant hypoplastic enamel defects, mandibular hypoplasia and retrusion, maxillary constriction, and anterior open bite. <b>Conclusion:</b> Although dental manifestations are not frequent in PBS, rare cases may present with aberrant hypoplastic amelogenesis imperfecta.</p>\",\"PeriodicalId\":46841,\"journal\":{\"name\":\"Case Reports in Dentistry\",\"volume\":\"2025 \",\"pages\":\"1724807\"},\"PeriodicalIF\":0.9000,\"publicationDate\":\"2025-09-25\",\"publicationTypes\":\"Journal Article\",\"fieldsOfStudy\":null,\"isOpenAccess\":false,\"openAccessPdf\":\"https://www.ncbi.nlm.nih.gov/pmc/articles/PMC12490928/pdf/\",\"citationCount\":\"0\",\"resultStr\":null,\"platform\":\"Semanticscholar\",\"paperid\":null,\"PeriodicalName\":\"Case Reports in Dentistry\",\"FirstCategoryId\":\"1085\",\"ListUrlMain\":\"https://doi.org/10.1155/crid/1724807\",\"RegionNum\":0,\"RegionCategory\":null,\"ArticlePicture\":[],\"TitleCN\":null,\"AbstractTextCN\":null,\"PMCID\":null,\"EPubDate\":\"2025/1/1 0:00:00\",\"PubModel\":\"eCollection\",\"JCR\":\"Q4\",\"JCRName\":\"DENTISTRY, ORAL SURGERY & MEDICINE\",\"Score\":null,\"Total\":0}","platform":"Semanticscholar","paperid":null,"PeriodicalName":"Case Reports in Dentistry","FirstCategoryId":"1085","ListUrlMain":"https://doi.org/10.1155/crid/1724807","RegionNum":0,"RegionCategory":null,"ArticlePicture":[],"TitleCN":null,"AbstractTextCN":null,"PMCID":null,"EPubDate":"2025/1/1 0:00:00","PubModel":"eCollection","JCR":"Q4","JCRName":"DENTISTRY, ORAL SURGERY & MEDICINE","Score":null,"Total":0}
引用次数: 0

摘要

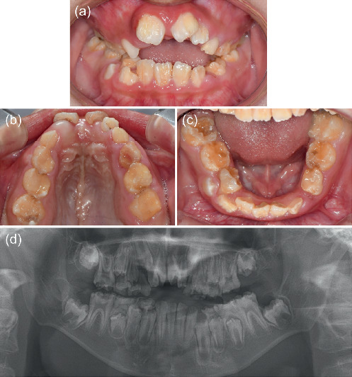
梅干腹综合征(PBS)是一种罕见的先天性疾病,以腹壁肌肉发育不全、泌尿系统异常和双侧隐睾为特征。本报告描述了一例罕见的PBS患者的畸形发育不全。病例介绍:一名患有PBS的10岁男孩,表现为言语和咀嚼困难。口腔及影像学检查显示异常发育不全的牙釉质缺损、下颌发育不全及后缩、上颌缩窄及前牙开咬。结论:虽然PBS的牙齿表现并不常见,但罕见的病例可能会出现异常的发育不全。
本文章由计算机程序翻译,如有差异,请以英文原文为准。

Unique Dental and Craniofacial Manifestations of Hypoplastic Amelogenesis Imperfecta in a Patient With Prune Belly Syndrome: A Rare Case Report.

Unique Dental and Craniofacial Manifestations of Hypoplastic Amelogenesis Imperfecta in a Patient With Prune Belly Syndrome: A Rare Case Report.

Unique Dental and Craniofacial Manifestations of Hypoplastic Amelogenesis Imperfecta in a Patient With Prune Belly Syndrome: A Rare Case Report.

Unique Dental and Craniofacial Manifestations of Hypoplastic Amelogenesis Imperfecta in a Patient With Prune Belly Syndrome: A Rare Case Report.

Introduction: Prune belly syndrome (PBS) is a rare congenital disease characterized by hypoplastic abdominal wall muscles, urological abnormalities, and bilateral cryptorchidism. This report describes a rare case of aberrant hypoplastic amelogenesis imperfecta in a patient with PBS. Case Presentation: A 10-year-old boy with PBS presented with difficulties in speech and mastication. Oral and radiological examinations revealed aberrant hypoplastic enamel defects, mandibular hypoplasia and retrusion, maxillary constriction, and anterior open bite. Conclusion: Although dental manifestations are not frequent in PBS, rare cases may present with aberrant hypoplastic amelogenesis imperfecta.

求助全文
通过发布文献求助,成功后即可免费获取论文全文。 去求助
来源期刊
Case Reports in Dentistry
Case Reports in Dentistry DENTISTRY, ORAL SURGERY & MEDICINE-
CiteScore
1.40
自引率
12.50%
发文量
107
审稿时长
14 weeks
期刊介绍: Case Reports in Dentistry is a peer-reviewed, Open Access journal that publishes case reports and case series in all areas of dentistry, including periodontal diseases, dental implants, oral pathology, as well as oral and maxillofacial surgery.
×
引用
GB/T 7714-2015
复制
MLA
复制
APA
复制
导出至
BibTeX EndNote RefMan NoteFirst NoteExpress
×
提示
您的信息不完整,为了账户安全,请先补充。
现在去补充
×
提示
您因"违规操作"
具体请查看互助需知
我知道了
×
提示
确定
请完成安全验证×
copy
已复制链接
快去分享给好友吧!
我知道了
右上角分享
点击右上角分享
0
联系我们:info@booksci.cn Book学术提供免费学术资源搜索服务,方便国内外学者检索中英文文献。致力于提供最便捷和优质的服务体验。 Copyright © 2023 布克学术 All rights reserved.
京ICP备2023020795号-1
ghs 京公网安备 11010802042870号
Book学术文献互助
Book学术文献互助群
群 号:604180095
Book学术官方微信