前纵隔结节退行性,继发于牙冠移除。

IF 0.5 Q4 SURGERY
Journal of Surgical Case Reports Pub Date : 2025-10-02 eCollection Date: 2025-10-01 DOI:10.1093/jscr/rjaf786
Masashi Nagata, Jun Miyagi, Yoshihiko Kanai, Shinichi Yamamoto, Hiroyoshi Tsubochi, Shunsuke Endo
{"title":"前纵隔结节退行性,继发于牙冠移除。","authors":"Masashi Nagata, Jun Miyagi, Yoshihiko Kanai, Shinichi Yamamoto, Hiroyoshi Tsubochi, Shunsuke Endo","doi":"10.1093/jscr/rjaf786","DOIUrl":null,"url":null,"abstract":"<p><p>The causality of thymoma (TM) or thymic hyperplasia and various autoimmune diseases (AISs) remains poorly understood. To date, there have been no confirmed cases of pathologically complete regression of TM. We present a rare case of complete regression of an anterior mediastinal tumour secondary to the removal of metallic dental crowns as a treatment for metal allergy assessed to exacerbate pityriasis rubra pilaris, a rare cutaneous disease. After dental crown removal, the skin lesions improved, and the anterior mediastinal nodule (AMN) shrank rapidly through transient enlargement with a low density in the central area. Despite observation being an option, the patient preferred surgical resection and pathological examination, which revealed no remnant neoplasm. Treatment for skin conditions rarely induces complete regression of the AMN. This case highlights the potential novel link between anterior mediastinal tumours and AISs, including cutaneous disorders, and raises awareness amongst clinicians of this possible association.</p>","PeriodicalId":47321,"journal":{"name":"Journal of Surgical Case Reports","volume":"2025 10","pages":"rjaf786"},"PeriodicalIF":0.5000,"publicationDate":"2025-10-02","publicationTypes":"Journal Article","fieldsOfStudy":null,"isOpenAccess":false,"openAccessPdf":"https://www.ncbi.nlm.nih.gov/pmc/articles/PMC12490719/pdf/","citationCount":"0","resultStr":"{\"title\":\"Regressed anterior mediastinal nodule secondary to removal of dental crowns.\",\"authors\":\"Masashi Nagata, Jun Miyagi, Yoshihiko Kanai, Shinichi Yamamoto, Hiroyoshi Tsubochi, Shunsuke Endo\",\"doi\":\"10.1093/jscr/rjaf786\",\"DOIUrl\":null,\"url\":null,\"abstract\":\"<p><p>The causality of thymoma (TM) or thymic hyperplasia and various autoimmune diseases (AISs) remains poorly understood. To date, there have been no confirmed cases of pathologically complete regression of TM. We present a rare case of complete regression of an anterior mediastinal tumour secondary to the removal of metallic dental crowns as a treatment for metal allergy assessed to exacerbate pityriasis rubra pilaris, a rare cutaneous disease. After dental crown removal, the skin lesions improved, and the anterior mediastinal nodule (AMN) shrank rapidly through transient enlargement with a low density in the central area. Despite observation being an option, the patient preferred surgical resection and pathological examination, which revealed no remnant neoplasm. Treatment for skin conditions rarely induces complete regression of the AMN. This case highlights the potential novel link between anterior mediastinal tumours and AISs, including cutaneous disorders, and raises awareness amongst clinicians of this possible association.</p>\",\"PeriodicalId\":47321,\"journal\":{\"name\":\"Journal of Surgical Case Reports\",\"volume\":\"2025 10\",\"pages\":\"rjaf786\"},\"PeriodicalIF\":0.5000,\"publicationDate\":\"2025-10-02\",\"publicationTypes\":\"Journal Article\",\"fieldsOfStudy\":null,\"isOpenAccess\":false,\"openAccessPdf\":\"https://www.ncbi.nlm.nih.gov/pmc/articles/PMC12490719/pdf/\",\"citationCount\":\"0\",\"resultStr\":null,\"platform\":\"Semanticscholar\",\"paperid\":null,\"PeriodicalName\":\"Journal of Surgical Case Reports\",\"FirstCategoryId\":\"1085\",\"ListUrlMain\":\"https://doi.org/10.1093/jscr/rjaf786\",\"RegionNum\":0,\"RegionCategory\":null,\"ArticlePicture\":[],\"TitleCN\":null,\"AbstractTextCN\":null,\"PMCID\":null,\"EPubDate\":\"2025/10/1 0:00:00\",\"PubModel\":\"eCollection\",\"JCR\":\"Q4\",\"JCRName\":\"SURGERY\",\"Score\":null,\"Total\":0}","platform":"Semanticscholar","paperid":null,"PeriodicalName":"Journal of Surgical Case Reports","FirstCategoryId":"1085","ListUrlMain":"https://doi.org/10.1093/jscr/rjaf786","RegionNum":0,"RegionCategory":null,"ArticlePicture":[],"TitleCN":null,"AbstractTextCN":null,"PMCID":null,"EPubDate":"2025/10/1 0:00:00","PubModel":"eCollection","JCR":"Q4","JCRName":"SURGERY","Score":null,"Total":0}
引用次数: 0

摘要

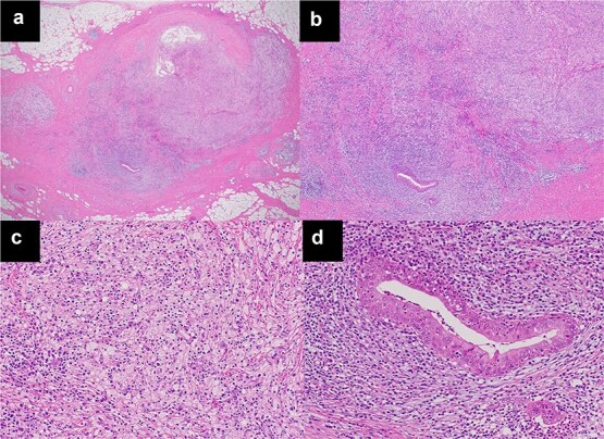
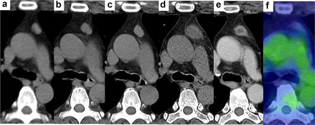
胸腺瘤(TM)或胸腺增生与各种自身免疫性疾病(AISs)的因果关系尚不清楚。到目前为止,还没有证实TM病理完全消退的病例。我们提出一个罕见的病例,完全消退的前纵隔肿瘤继发于金属牙冠的去除作为治疗金属过敏评估加剧毛毛红斑糠疹,一种罕见的皮肤病。拔除牙冠后,皮肤病变改善,前纵隔结节(AMN)短暂增大,中心密度低,迅速缩小。尽管观察是一种选择,但患者倾向于手术切除和病理检查,未发现残留肿瘤。对皮肤状况的治疗很少能引起AMN的完全消退。本病例强调了前纵隔肿瘤与aiis(包括皮肤疾病)之间潜在的新联系,并提高了临床医生对这种可能关联的认识。
本文章由计算机程序翻译,如有差异,请以英文原文为准。

Regressed anterior mediastinal nodule secondary to removal of dental crowns.

Regressed anterior mediastinal nodule secondary to removal of dental crowns.

Regressed anterior mediastinal nodule secondary to removal of dental crowns.

Regressed anterior mediastinal nodule secondary to removal of dental crowns.

The causality of thymoma (TM) or thymic hyperplasia and various autoimmune diseases (AISs) remains poorly understood. To date, there have been no confirmed cases of pathologically complete regression of TM. We present a rare case of complete regression of an anterior mediastinal tumour secondary to the removal of metallic dental crowns as a treatment for metal allergy assessed to exacerbate pityriasis rubra pilaris, a rare cutaneous disease. After dental crown removal, the skin lesions improved, and the anterior mediastinal nodule (AMN) shrank rapidly through transient enlargement with a low density in the central area. Despite observation being an option, the patient preferred surgical resection and pathological examination, which revealed no remnant neoplasm. Treatment for skin conditions rarely induces complete regression of the AMN. This case highlights the potential novel link between anterior mediastinal tumours and AISs, including cutaneous disorders, and raises awareness amongst clinicians of this possible association.

求助全文
通过发布文献求助,成功后即可免费获取论文全文。 去求助
来源期刊
CiteScore
0.70
自引率
0.00%
发文量
559
审稿时长
11 weeks
×
引用
GB/T 7714-2015
复制
MLA
复制
APA
复制
导出至
BibTeX EndNote RefMan NoteFirst NoteExpress
×
提示
您的信息不完整,为了账户安全,请先补充。
现在去补充
×
提示
您因"违规操作"
具体请查看互助需知
我知道了
×
提示
确定
请完成安全验证×
copy
已复制链接
快去分享给好友吧!
我知道了
右上角分享
点击右上角分享
0
联系我们:info@booksci.cn Book学术提供免费学术资源搜索服务,方便国内外学者检索中英文文献。致力于提供最便捷和优质的服务体验。 Copyright © 2023 布克学术 All rights reserved.
京ICP备2023020795号-1
ghs 京公网安备 11010802042870号
Book学术文献互助
Book学术文献互助群
群 号:604180095
Book学术官方微信