一种微创应用张力带治疗横向髌骨骨折的新方法。

IF 1.8 3区 医学 Q2 SURGERY
Zhixiang Gao, Shaowei Sun, Shaoyun Zhang, Kai Yao, Xiaofeng Zheng, Wei Yu, Yixin Dai, Lijuan Liu, Cong Xiao
{"title":"一种微创应用张力带治疗横向髌骨骨折的新方法。","authors":"Zhixiang Gao, Shaowei Sun, Shaoyun Zhang, Kai Yao, Xiaofeng Zheng, Wei Yu, Yixin Dai, Lijuan Liu, Cong Xiao","doi":"10.1186/s12893-025-03166-3","DOIUrl":null,"url":null,"abstract":"<p><strong>Background: </strong>The tension band internal fixation is a well-established surgical technique employed for the managing of transverse patellar fractures. Nevertheless, there is a lack of comprehensive documentation on minimally invasive tension band fixation in academic literature. In this study, we investigated the utilization of Nice knot assistance during the procedure and assessed its impact on clinical outcomes in comparison to traditional open surgery.</p><p><strong>Methods: </strong>Fourty-two patients with transverse patellar fractures participated in this study, twenty of whom underwent minimally invasive surgery and twenty-two underwent open surgery. In the minimally invasive group, intraoperative tension band internal fixation was performed using Nice knot assisted reduction. Postoperative knee pain, knee mobility, operative time, complications, number of intraoperative C-arm fluoroscopy scans, length of hospital stay (in days), and Bostman score were recorded for each patient in both groups.</p><p><strong>Results: </strong>The minimally invasive group had significantly longer operating times compared to the open surgery group (65.9 ± 9.3 min VS 60.8 ± 7.3 min, P = 0.054). Fluoroscopy during surgery was notably more frequent in the minimally invasive group compared to the open surgery group (4.1 ± 0.8 vs. 2.5 ± 0.6, P < 0.001). The patients had significantly higher VAS scores in the open surgery group compared to the minimally invasive group at multiple postoperative time points. The difference was not significant at 3 months (P = 0.025 ). Furthermore, the minimally invasive group exhibited a higher mean knee flexion angle and the Bostman score compared to the open surgical group.There were complications in 4 patients (18.2%) in the open surgery group and 2 patients (10.0%) in the minimally invasive surgery group, with no significant difference between the two groups (p = 0.752).</p><p><strong>Conclusions: </strong>It has been demonstrated that using the Nice knot in the minimally invasive treatment of transverse patellar fractures improves the reduction effect and decreases the incidence of iatrogenic fractures.Patients who underwent minimally invasive surgery experienced early postoperativepain reduction, improved knee range of motion, improved Bostman scores, early postoperative, discharge and incidence of complications.</p>","PeriodicalId":49229,"journal":{"name":"BMC Surgery","volume":"25 1","pages":"421"},"PeriodicalIF":1.8000,"publicationDate":"2025-10-03","publicationTypes":"Journal Article","fieldsOfStudy":null,"isOpenAccess":false,"openAccessPdf":"https://www.ncbi.nlm.nih.gov/pmc/articles/PMC12495828/pdf/","citationCount":"0","resultStr":"{\"title\":\"A novel approach to the minimally invasive application of a tension band for transverse patellar fractures assisted by a nice knot.\",\"authors\":\"Zhixiang Gao, Shaowei Sun, Shaoyun Zhang, Kai Yao, Xiaofeng Zheng, Wei Yu, Yixin Dai, Lijuan Liu, Cong Xiao\",\"doi\":\"10.1186/s12893-025-03166-3\",\"DOIUrl\":null,\"url\":null,\"abstract\":\"<p><strong>Background: </strong>The tension band internal fixation is a well-established surgical technique employed for the managing of transverse patellar fractures. Nevertheless, there is a lack of comprehensive documentation on minimally invasive tension band fixation in academic literature. In this study, we investigated the utilization of Nice knot assistance during the procedure and assessed its impact on clinical outcomes in comparison to traditional open surgery.</p><p><strong>Methods: </strong>Fourty-two patients with transverse patellar fractures participated in this study, twenty of whom underwent minimally invasive surgery and twenty-two underwent open surgery. In the minimally invasive group, intraoperative tension band internal fixation was performed using Nice knot assisted reduction. Postoperative knee pain, knee mobility, operative time, complications, number of intraoperative C-arm fluoroscopy scans, length of hospital stay (in days), and Bostman score were recorded for each patient in both groups.</p><p><strong>Results: </strong>The minimally invasive group had significantly longer operating times compared to the open surgery group (65.9 ± 9.3 min VS 60.8 ± 7.3 min, P = 0.054). Fluoroscopy during surgery was notably more frequent in the minimally invasive group compared to the open surgery group (4.1 ± 0.8 vs. 2.5 ± 0.6, P < 0.001). The patients had significantly higher VAS scores in the open surgery group compared to the minimally invasive group at multiple postoperative time points. The difference was not significant at 3 months (P = 0.025 ). Furthermore, the minimally invasive group exhibited a higher mean knee flexion angle and the Bostman score compared to the open surgical group.There were complications in 4 patients (18.2%) in the open surgery group and 2 patients (10.0%) in the minimally invasive surgery group, with no significant difference between the two groups (p = 0.752).</p><p><strong>Conclusions: </strong>It has been demonstrated that using the Nice knot in the minimally invasive treatment of transverse patellar fractures improves the reduction effect and decreases the incidence of iatrogenic fractures.Patients who underwent minimally invasive surgery experienced early postoperativepain reduction, improved knee range of motion, improved Bostman scores, early postoperative, discharge and incidence of complications.</p>\",\"PeriodicalId\":49229,\"journal\":{\"name\":\"BMC Surgery\",\"volume\":\"25 1\",\"pages\":\"421\"},\"PeriodicalIF\":1.8000,\"publicationDate\":\"2025-10-03\",\"publicationTypes\":\"Journal Article\",\"fieldsOfStudy\":null,\"isOpenAccess\":false,\"openAccessPdf\":\"https://www.ncbi.nlm.nih.gov/pmc/articles/PMC12495828/pdf/\",\"citationCount\":\"0\",\"resultStr\":null,\"platform\":\"Semanticscholar\",\"paperid\":null,\"PeriodicalName\":\"BMC Surgery\",\"FirstCategoryId\":\"3\",\"ListUrlMain\":\"https://doi.org/10.1186/s12893-025-03166-3\",\"RegionNum\":3,\"RegionCategory\":\"医学\",\"ArticlePicture\":[],\"TitleCN\":null,\"AbstractTextCN\":null,\"PMCID\":null,\"EPubDate\":\"\",\"PubModel\":\"\",\"JCR\":\"Q2\",\"JCRName\":\"SURGERY\",\"Score\":null,\"Total\":0}","platform":"Semanticscholar","paperid":null,"PeriodicalName":"BMC Surgery","FirstCategoryId":"3","ListUrlMain":"https://doi.org/10.1186/s12893-025-03166-3","RegionNum":3,"RegionCategory":"医学","ArticlePicture":[],"TitleCN":null,"AbstractTextCN":null,"PMCID":null,"EPubDate":"","PubModel":"","JCR":"Q2","JCRName":"SURGERY","Score":null,"Total":0}
引用次数: 0

摘要

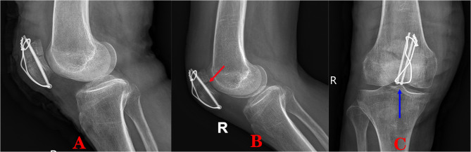
背景:张力带内固定是一种成熟的手术技术,用于治疗横向髌骨骨折。然而,在学术文献中缺乏关于微创张力带固定的综合文献。在这项研究中,我们调查了尼斯结辅助在手术过程中的应用,并评估了其与传统开放手术相比对临床结果的影响。方法:42例髌骨横骨折患者,其中20例行微创手术,22例行开放手术。微创组术中张力带内固定采用尼斯结辅助复位。记录两组患者术后膝关节疼痛、膝关节活动度、手术时间、并发症、术中c臂透视次数、住院时间(天)和Bostman评分。结果:微创组手术时间明显长于开放组(65.9±9.3 min VS 60.8±7.3 min, P = 0.054)。微创组术中透视次数明显高于开放组(4.1±0.8 vs. 2.5±0.6,P)。结论:应用尼斯结微创治疗髌骨横骨折可提高复位效果,降低医源性骨折发生率。接受微创手术的患者术后早期疼痛减轻,膝关节活动范围改善,Bostman评分提高,术后早期出院,并发症发生率降低。
本文章由计算机程序翻译,如有差异,请以英文原文为准。

A novel approach to the minimally invasive application of a tension band for transverse patellar fractures assisted by a nice knot.

A novel approach to the minimally invasive application of a tension band for transverse patellar fractures assisted by a nice knot.

A novel approach to the minimally invasive application of a tension band for transverse patellar fractures assisted by a nice knot.

A novel approach to the minimally invasive application of a tension band for transverse patellar fractures assisted by a nice knot.

Background: The tension band internal fixation is a well-established surgical technique employed for the managing of transverse patellar fractures. Nevertheless, there is a lack of comprehensive documentation on minimally invasive tension band fixation in academic literature. In this study, we investigated the utilization of Nice knot assistance during the procedure and assessed its impact on clinical outcomes in comparison to traditional open surgery.

Methods: Fourty-two patients with transverse patellar fractures participated in this study, twenty of whom underwent minimally invasive surgery and twenty-two underwent open surgery. In the minimally invasive group, intraoperative tension band internal fixation was performed using Nice knot assisted reduction. Postoperative knee pain, knee mobility, operative time, complications, number of intraoperative C-arm fluoroscopy scans, length of hospital stay (in days), and Bostman score were recorded for each patient in both groups.

Results: The minimally invasive group had significantly longer operating times compared to the open surgery group (65.9 ± 9.3 min VS 60.8 ± 7.3 min, P = 0.054). Fluoroscopy during surgery was notably more frequent in the minimally invasive group compared to the open surgery group (4.1 ± 0.8 vs. 2.5 ± 0.6, P < 0.001). The patients had significantly higher VAS scores in the open surgery group compared to the minimally invasive group at multiple postoperative time points. The difference was not significant at 3 months (P = 0.025 ). Furthermore, the minimally invasive group exhibited a higher mean knee flexion angle and the Bostman score compared to the open surgical group.There were complications in 4 patients (18.2%) in the open surgery group and 2 patients (10.0%) in the minimally invasive surgery group, with no significant difference between the two groups (p = 0.752).

Conclusions: It has been demonstrated that using the Nice knot in the minimally invasive treatment of transverse patellar fractures improves the reduction effect and decreases the incidence of iatrogenic fractures.Patients who underwent minimally invasive surgery experienced early postoperativepain reduction, improved knee range of motion, improved Bostman scores, early postoperative, discharge and incidence of complications.

求助全文
通过发布文献求助,成功后即可免费获取论文全文。 去求助
来源期刊
BMC Surgery
BMC Surgery SURGERY-
CiteScore
2.90
自引率
5.30%
发文量
391
审稿时长
58 days
期刊介绍: BMC Surgery is an open access, peer-reviewed journal that considers articles on surgical research, training, and practice.
×
引用
GB/T 7714-2015
复制
MLA
复制
APA
复制
导出至
BibTeX EndNote RefMan NoteFirst NoteExpress
×
提示
您的信息不完整,为了账户安全,请先补充。
现在去补充
×
提示
您因"违规操作"
具体请查看互助需知
我知道了
×
提示
确定
请完成安全验证×
copy
已复制链接
快去分享给好友吧!
我知道了
右上角分享
点击右上角分享
0
联系我们:info@booksci.cn Book学术提供免费学术资源搜索服务,方便国内外学者检索中英文文献。致力于提供最便捷和优质的服务体验。 Copyright © 2023 布克学术 All rights reserved.
京ICP备2023020795号-1
ghs 京公网安备 11010802042870号
Book学术文献互助
Book学术文献互助群
群 号:604180095
Book学术官方微信