需要翻修手术的慢性鼻窦炎和鼻息肉患儿鼻组织的组织病理学特征。

IF 4.1 2区 医学 Q2 IMMUNOLOGY
Journal of Inflammation Research Pub Date : 2025-09-26 eCollection Date: 2025-01-01 DOI:10.2147/JIR.S540300
Sheng-Feng Hsieh, Pei-Wen Wu, Cheng-Hsun Chiu, Yen-Lin Huang, Chien-Chia Huang
{"title":"需要翻修手术的慢性鼻窦炎和鼻息肉患儿鼻组织的组织病理学特征。","authors":"Sheng-Feng Hsieh, Pei-Wen Wu, Cheng-Hsun Chiu, Yen-Lin Huang, Chien-Chia Huang","doi":"10.2147/JIR.S540300","DOIUrl":null,"url":null,"abstract":"<p><strong>Purpose: </strong>Endoscopic sinus surgery (ESS) is a safe and effective intervention for medically refractory pediatric chronic rhinosinusitis (CRS), particularly in older children and those with nasal polyposis. However, the histopathological characteristics associated with poor surgical outcomes in pediatric chronic rhinosinusitis with nasal polyposis (CRSwNP) have not been fully clarified. This study aimed to to identify histopathological characteristics of CRSwNP prognostic for revision surgery.</p><p><strong>Methods: </strong>We retrospectively reviewed the medical records of 161 pediatric patients with CRSwNP including 22 patients with recurrent nasal polyps requiring revision surgery. The histopathological characteristics were compared between patients with and without revision surgery.</p><p><strong>Results: </strong>Histopathological analysis revealed that the degree of inflammation, interstitial-gland percentage, mucosal ulceration, and numbers of eosinophils and goblet cells were significantly higher in participants who underwent revision surgery than in those who did not (all P<0.05). The degree of inflammation (odds ratio [OR], 2.53; P=0.003), eosinophil count (OR, 1.03; P<0.001), goblet-cell count (OR, 1.19; P=0.002), interstitial-gland percentage (OR, 1.99; P=0.012), and mucosal ulceration (OR, 3.37; P=0.013) were significantly associated with revision surgery in the univariate regression analysis. Receiver operating characteristic curve analysis identified 2.5 goblet cells per high-power field as the optimal cutoff value for predicting revision surgery, with a sensitivity of 77.3% and a specificity of 67.6%.</p><p><strong>Conclusion: </strong>Histopathological features, including elevated eosinophil count, goblet-cell hyperplasia, marked mucosal inflammation, interstitial-gland hyperplasia, and mucosal ulceration, were associated with the need for revision in pediatric patients with CRSwNP. These findings could help clinicians stratify disease severity and tailor therapeutic approaches.</p>","PeriodicalId":16107,"journal":{"name":"Journal of Inflammation Research","volume":"18 ","pages":"13279-13289"},"PeriodicalIF":4.1000,"publicationDate":"2025-09-26","publicationTypes":"Journal Article","fieldsOfStudy":null,"isOpenAccess":false,"openAccessPdf":"https://www.ncbi.nlm.nih.gov/pmc/articles/PMC12482934/pdf/","citationCount":"0","resultStr":"{\"title\":\"Histopathological Characteristics of Nasal Tissues From Paediatric Patients with Chronic Rhinosinusitis and Nasal Polyps Requiring Revision Surgery.\",\"authors\":\"Sheng-Feng Hsieh, Pei-Wen Wu, Cheng-Hsun Chiu, Yen-Lin Huang, Chien-Chia Huang\",\"doi\":\"10.2147/JIR.S540300\",\"DOIUrl\":null,\"url\":null,\"abstract\":\"<p><strong>Purpose: </strong>Endoscopic sinus surgery (ESS) is a safe and effective intervention for medically refractory pediatric chronic rhinosinusitis (CRS), particularly in older children and those with nasal polyposis. However, the histopathological characteristics associated with poor surgical outcomes in pediatric chronic rhinosinusitis with nasal polyposis (CRSwNP) have not been fully clarified. This study aimed to to identify histopathological characteristics of CRSwNP prognostic for revision surgery.</p><p><strong>Methods: </strong>We retrospectively reviewed the medical records of 161 pediatric patients with CRSwNP including 22 patients with recurrent nasal polyps requiring revision surgery. The histopathological characteristics were compared between patients with and without revision surgery.</p><p><strong>Results: </strong>Histopathological analysis revealed that the degree of inflammation, interstitial-gland percentage, mucosal ulceration, and numbers of eosinophils and goblet cells were significantly higher in participants who underwent revision surgery than in those who did not (all P<0.05). The degree of inflammation (odds ratio [OR], 2.53; P=0.003), eosinophil count (OR, 1.03; P<0.001), goblet-cell count (OR, 1.19; P=0.002), interstitial-gland percentage (OR, 1.99; P=0.012), and mucosal ulceration (OR, 3.37; P=0.013) were significantly associated with revision surgery in the univariate regression analysis. Receiver operating characteristic curve analysis identified 2.5 goblet cells per high-power field as the optimal cutoff value for predicting revision surgery, with a sensitivity of 77.3% and a specificity of 67.6%.</p><p><strong>Conclusion: </strong>Histopathological features, including elevated eosinophil count, goblet-cell hyperplasia, marked mucosal inflammation, interstitial-gland hyperplasia, and mucosal ulceration, were associated with the need for revision in pediatric patients with CRSwNP. These findings could help clinicians stratify disease severity and tailor therapeutic approaches.</p>\",\"PeriodicalId\":16107,\"journal\":{\"name\":\"Journal of Inflammation Research\",\"volume\":\"18 \",\"pages\":\"13279-13289\"},\"PeriodicalIF\":4.1000,\"publicationDate\":\"2025-09-26\",\"publicationTypes\":\"Journal Article\",\"fieldsOfStudy\":null,\"isOpenAccess\":false,\"openAccessPdf\":\"https://www.ncbi.nlm.nih.gov/pmc/articles/PMC12482934/pdf/\",\"citationCount\":\"0\",\"resultStr\":null,\"platform\":\"Semanticscholar\",\"paperid\":null,\"PeriodicalName\":\"Journal of Inflammation Research\",\"FirstCategoryId\":\"3\",\"ListUrlMain\":\"https://doi.org/10.2147/JIR.S540300\",\"RegionNum\":2,\"RegionCategory\":\"医学\",\"ArticlePicture\":[],\"TitleCN\":null,\"AbstractTextCN\":null,\"PMCID\":null,\"EPubDate\":\"2025/1/1 0:00:00\",\"PubModel\":\"eCollection\",\"JCR\":\"Q2\",\"JCRName\":\"IMMUNOLOGY\",\"Score\":null,\"Total\":0}","platform":"Semanticscholar","paperid":null,"PeriodicalName":"Journal of Inflammation Research","FirstCategoryId":"3","ListUrlMain":"https://doi.org/10.2147/JIR.S540300","RegionNum":2,"RegionCategory":"医学","ArticlePicture":[],"TitleCN":null,"AbstractTextCN":null,"PMCID":null,"EPubDate":"2025/1/1 0:00:00","PubModel":"eCollection","JCR":"Q2","JCRName":"IMMUNOLOGY","Score":null,"Total":0}
引用次数: 0

摘要

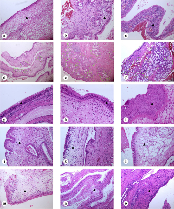
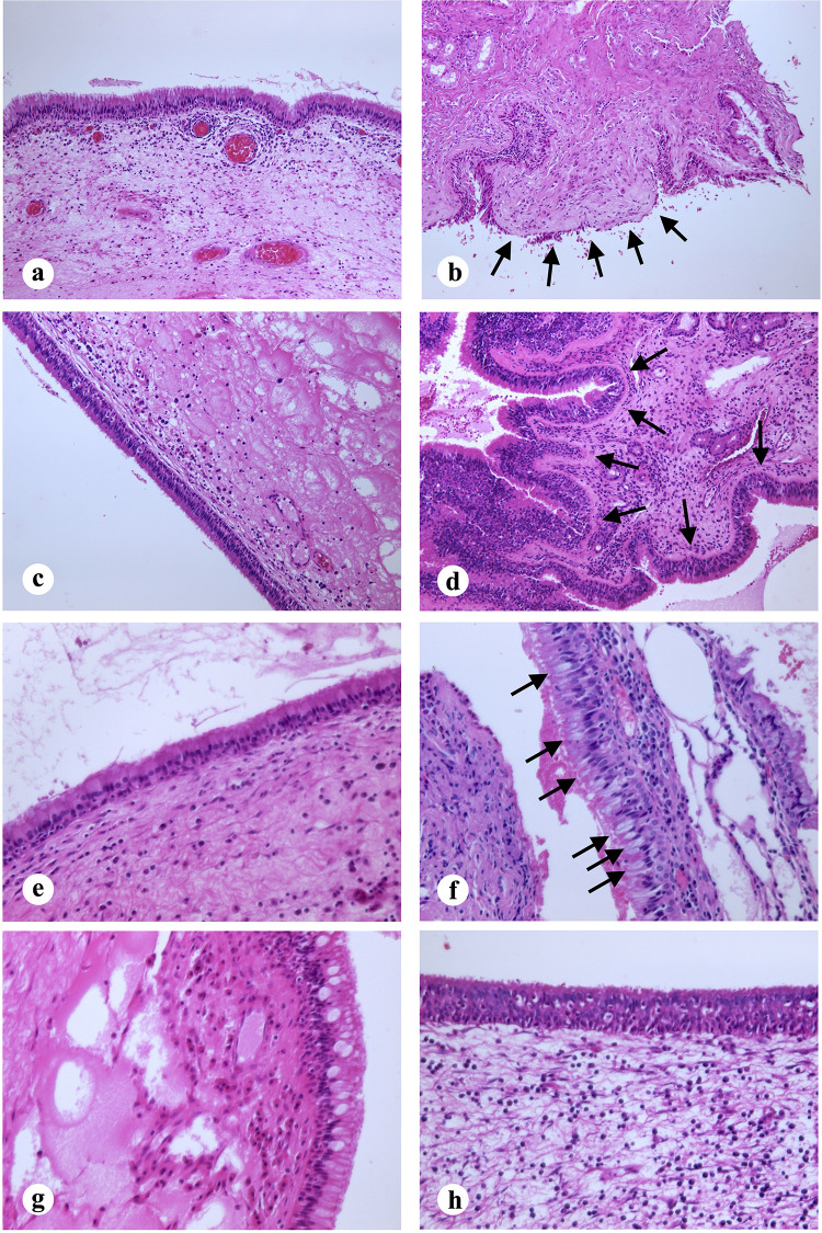
目的:内窥镜鼻窦手术(ESS)是一种安全有效的治疗难治性儿童慢性鼻窦炎(CRS)的方法,特别是对于年龄较大的儿童和鼻息肉患者。然而,儿童慢性鼻窦炎伴鼻息肉病(CRSwNP)手术效果差的组织病理学特征尚未完全阐明。本研究旨在确定CRSwNP翻修手术预后的组织病理学特征。方法:我们回顾性分析了161例儿童CRSwNP患者的病历,其中包括22例需要翻修手术的复发性鼻息肉患者。比较行和未行翻修手术患者的组织病理学特征。结果:组织病理学分析显示,接受翻修手术的参与者的炎症程度、间质腺百分比、粘膜溃疡、嗜酸性粒细胞和杯状细胞数量明显高于未接受翻修手术的参与者(全部p)。组织病理学特征,包括嗜酸性粒细胞计数升高、杯状细胞增生、明显的粘膜炎症、间质腺增生和粘膜溃疡,与CRSwNP患儿需要翻修相关。这些发现可以帮助临床医生对疾病的严重程度进行分层,并制定治疗方法。
本文章由计算机程序翻译,如有差异,请以英文原文为准。

Histopathological Characteristics of Nasal Tissues From Paediatric Patients with Chronic Rhinosinusitis and Nasal Polyps Requiring Revision Surgery.

Histopathological Characteristics of Nasal Tissues From Paediatric Patients with Chronic Rhinosinusitis and Nasal Polyps Requiring Revision Surgery.

Histopathological Characteristics of Nasal Tissues From Paediatric Patients with Chronic Rhinosinusitis and Nasal Polyps Requiring Revision Surgery.

Histopathological Characteristics of Nasal Tissues From Paediatric Patients with Chronic Rhinosinusitis and Nasal Polyps Requiring Revision Surgery.

Purpose: Endoscopic sinus surgery (ESS) is a safe and effective intervention for medically refractory pediatric chronic rhinosinusitis (CRS), particularly in older children and those with nasal polyposis. However, the histopathological characteristics associated with poor surgical outcomes in pediatric chronic rhinosinusitis with nasal polyposis (CRSwNP) have not been fully clarified. This study aimed to to identify histopathological characteristics of CRSwNP prognostic for revision surgery.

Methods: We retrospectively reviewed the medical records of 161 pediatric patients with CRSwNP including 22 patients with recurrent nasal polyps requiring revision surgery. The histopathological characteristics were compared between patients with and without revision surgery.

Results: Histopathological analysis revealed that the degree of inflammation, interstitial-gland percentage, mucosal ulceration, and numbers of eosinophils and goblet cells were significantly higher in participants who underwent revision surgery than in those who did not (all P<0.05). The degree of inflammation (odds ratio [OR], 2.53; P=0.003), eosinophil count (OR, 1.03; P<0.001), goblet-cell count (OR, 1.19; P=0.002), interstitial-gland percentage (OR, 1.99; P=0.012), and mucosal ulceration (OR, 3.37; P=0.013) were significantly associated with revision surgery in the univariate regression analysis. Receiver operating characteristic curve analysis identified 2.5 goblet cells per high-power field as the optimal cutoff value for predicting revision surgery, with a sensitivity of 77.3% and a specificity of 67.6%.

Conclusion: Histopathological features, including elevated eosinophil count, goblet-cell hyperplasia, marked mucosal inflammation, interstitial-gland hyperplasia, and mucosal ulceration, were associated with the need for revision in pediatric patients with CRSwNP. These findings could help clinicians stratify disease severity and tailor therapeutic approaches.

求助全文
通过发布文献求助,成功后即可免费获取论文全文。 去求助
来源期刊
Journal of Inflammation Research
Journal of Inflammation Research Immunology and Microbiology-Immunology
CiteScore
6.10
自引率
2.20%
发文量
658
审稿时长
16 weeks
期刊介绍: An international, peer-reviewed, open access, online journal that welcomes laboratory and clinical findings on the molecular basis, cell biology and pharmacology of inflammation.
×
引用
GB/T 7714-2015
复制
MLA
复制
APA
复制
导出至
BibTeX EndNote RefMan NoteFirst NoteExpress
×
提示
您的信息不完整,为了账户安全,请先补充。
现在去补充
×
提示
您因"违规操作"
具体请查看互助需知
我知道了
×
提示
确定
请完成安全验证×
copy
已复制链接
快去分享给好友吧!
我知道了
右上角分享
点击右上角分享
0
联系我们:info@booksci.cn Book学术提供免费学术资源搜索服务,方便国内外学者检索中英文文献。致力于提供最便捷和优质的服务体验。 Copyright © 2023 布克学术 All rights reserved.
京ICP备2023020795号-1
ghs 京公网安备 11010802042870号
Book学术文献互助
Book学术文献互助群
群 号:604180095
Book学术官方微信