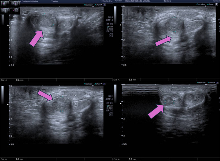
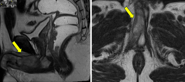
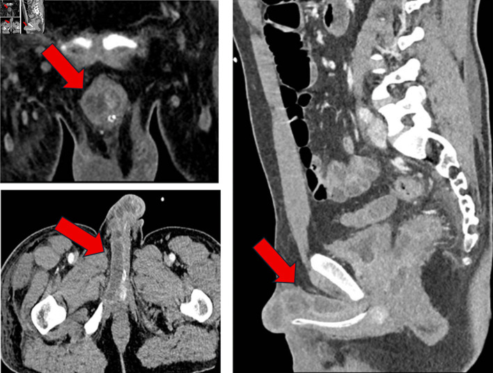
43岁男性直肠癌阴茎及海绵体转移。

IF 0.9
Journal of medical cases Pub Date : 2025-09-17 eCollection Date: 2025-09-01 DOI:10.14740/jmc5181
Dina Quannouni El Moumouhi, Ignacio Calleja Duran, Jose Emilio Hernandez Sanchez
{"title":"43岁男性直肠癌阴茎及海绵体转移。","authors":"Dina Quannouni El Moumouhi, Ignacio Calleja Duran, Jose Emilio Hernandez Sanchez","doi":"10.14740/jmc5181","DOIUrl":null,"url":null,"abstract":"<p><p>Metastasis to the cavernous bodies from colorectal cancer (CRC) is an exceptionally rare condition, typically associated with systemic dissemination and an ominous prognosis. It often presents synchronously with liver and lymph node involvement. A 43-year-old male presented with perineal pain, rectal bleeding, and urinary obstructive symptoms. Imaging studies revealed a <i>KRAS</i>-mutated rectal adenocarcinoma, classified as stage IV, with synchronous metastases to the cavernous bodies and liver. Treatment was initiated with FOLFOXIRI (folinic acid, 5-fluorouracil, oxaliplatin and irinotecan) chemotherapy but was discontinued due to tumor lysis syndrome and toxicity linked to a <i>UGT1A1</i> mutation. Despite modified FOLFOX (folinic acid, fluorouracil, oxaliplatin) plus bevacizumab, the disease progressed rapidly, prompting transition to palliative care and subsequent death. Cavernous body involvement in CRC reflects advanced disease, frequently accompanied by synchronous metastases and a limited life expectancy. This case underscores the poor prognostic significance of such metastases, suggests pelvic lymphatic spread as a likely mechanism, and highlights the critical impact of pharmacogenetics on treatment tolerance and outcomes. A review of the literature emphasizes the aggressive biology of such presentations. Penile metastases from CRC are rare but devastating, indicating disseminated disease. Multidisciplinary management should prioritize symptom control, with targeted therapies reserved for select cases. This case illustrates the need for heightened clinical suspicion in patients with a history of malignancy presenting with urological symptoms.</p>","PeriodicalId":101328,"journal":{"name":"Journal of medical cases","volume":"16 9","pages":"381-386"},"PeriodicalIF":0.9000,"publicationDate":"2025-09-17","publicationTypes":"Journal Article","fieldsOfStudy":null,"isOpenAccess":false,"openAccessPdf":"https://www.ncbi.nlm.nih.gov/pmc/articles/PMC12479072/pdf/","citationCount":"0","resultStr":"{\"title\":\"A Forty-Three-Year-Old Male With Penile and Cavernous Metastases From Rectal Cancer.\",\"authors\":\"Dina Quannouni El Moumouhi, Ignacio Calleja Duran, Jose Emilio Hernandez Sanchez\",\"doi\":\"10.14740/jmc5181\",\"DOIUrl\":null,\"url\":null,\"abstract\":\"<p><p>Metastasis to the cavernous bodies from colorectal cancer (CRC) is an exceptionally rare condition, typically associated with systemic dissemination and an ominous prognosis. It often presents synchronously with liver and lymph node involvement. A 43-year-old male presented with perineal pain, rectal bleeding, and urinary obstructive symptoms. Imaging studies revealed a <i>KRAS</i>-mutated rectal adenocarcinoma, classified as stage IV, with synchronous metastases to the cavernous bodies and liver. Treatment was initiated with FOLFOXIRI (folinic acid, 5-fluorouracil, oxaliplatin and irinotecan) chemotherapy but was discontinued due to tumor lysis syndrome and toxicity linked to a <i>UGT1A1</i> mutation. Despite modified FOLFOX (folinic acid, fluorouracil, oxaliplatin) plus bevacizumab, the disease progressed rapidly, prompting transition to palliative care and subsequent death. Cavernous body involvement in CRC reflects advanced disease, frequently accompanied by synchronous metastases and a limited life expectancy. This case underscores the poor prognostic significance of such metastases, suggests pelvic lymphatic spread as a likely mechanism, and highlights the critical impact of pharmacogenetics on treatment tolerance and outcomes. A review of the literature emphasizes the aggressive biology of such presentations. Penile metastases from CRC are rare but devastating, indicating disseminated disease. Multidisciplinary management should prioritize symptom control, with targeted therapies reserved for select cases. This case illustrates the need for heightened clinical suspicion in patients with a history of malignancy presenting with urological symptoms.</p>\",\"PeriodicalId\":101328,\"journal\":{\"name\":\"Journal of medical cases\",\"volume\":\"16 9\",\"pages\":\"381-386\"},\"PeriodicalIF\":0.9000,\"publicationDate\":\"2025-09-17\",\"publicationTypes\":\"Journal Article\",\"fieldsOfStudy\":null,\"isOpenAccess\":false,\"openAccessPdf\":\"https://www.ncbi.nlm.nih.gov/pmc/articles/PMC12479072/pdf/\",\"citationCount\":\"0\",\"resultStr\":null,\"platform\":\"Semanticscholar\",\"paperid\":null,\"PeriodicalName\":\"Journal of medical cases\",\"FirstCategoryId\":\"1085\",\"ListUrlMain\":\"https://doi.org/10.14740/jmc5181\",\"RegionNum\":0,\"RegionCategory\":null,\"ArticlePicture\":[],\"TitleCN\":null,\"AbstractTextCN\":null,\"PMCID\":null,\"EPubDate\":\"2025/9/1 0:00:00\",\"PubModel\":\"eCollection\",\"JCR\":\"\",\"JCRName\":\"\",\"Score\":null,\"Total\":0}","platform":"Semanticscholar","paperid":null,"PeriodicalName":"Journal of medical cases","FirstCategoryId":"1085","ListUrlMain":"https://doi.org/10.14740/jmc5181","RegionNum":0,"RegionCategory":null,"ArticlePicture":[],"TitleCN":null,"AbstractTextCN":null,"PMCID":null,"EPubDate":"2025/9/1 0:00:00","PubModel":"eCollection","JCR":"","JCRName":"","Score":null,"Total":0}
引用次数: 0

摘要

结直肠癌(CRC)向海绵体转移是一种非常罕见的疾病,通常与全身传播和预后不良有关。它常与肝脏和淋巴结累及同时出现。男性,43岁,会阴疼痛,直肠出血,尿路梗阻症状。影像学检查显示kras突变的直肠腺癌,分类为IV期,同步转移到海绵体和肝脏。治疗开始时采用FOLFOXIRI(亚叶酸、5-氟尿嘧啶、奥沙利铂和伊立替康)化疗,但由于肿瘤溶解综合征和与UGT1A1突变相关的毒性而停止。尽管改良FOLFOX(亚叶酸、氟尿嘧啶、奥沙利铂)加贝伐单抗,但病情进展迅速,促使患者转向姑息治疗,随后死亡。海绵体累及CRC反映疾病进展,经常伴有同步转移和有限的预期寿命。该病例强调了此类转移的不良预后意义,提示盆腔淋巴扩散可能是一种机制,并强调了药物遗传学对治疗耐受性和结果的关键影响。文献回顾强调了这种表现的侵略性生物学。结直肠癌的阴茎转移是罕见的,但具有破坏性,表明疾病是播散性的。多学科管理应优先考虑症状控制,并保留针对特定病例的靶向治疗。本病例说明有泌尿系统症状的恶性肿瘤病史的患者需要加强临床怀疑。
本文章由计算机程序翻译,如有差异,请以英文原文为准。

A Forty-Three-Year-Old Male With Penile and Cavernous Metastases From Rectal Cancer.

A Forty-Three-Year-Old Male With Penile and Cavernous Metastases From Rectal Cancer.

A Forty-Three-Year-Old Male With Penile and Cavernous Metastases From Rectal Cancer.

A Forty-Three-Year-Old Male With Penile and Cavernous Metastases From Rectal Cancer.

Metastasis to the cavernous bodies from colorectal cancer (CRC) is an exceptionally rare condition, typically associated with systemic dissemination and an ominous prognosis. It often presents synchronously with liver and lymph node involvement. A 43-year-old male presented with perineal pain, rectal bleeding, and urinary obstructive symptoms. Imaging studies revealed a KRAS-mutated rectal adenocarcinoma, classified as stage IV, with synchronous metastases to the cavernous bodies and liver. Treatment was initiated with FOLFOXIRI (folinic acid, 5-fluorouracil, oxaliplatin and irinotecan) chemotherapy but was discontinued due to tumor lysis syndrome and toxicity linked to a UGT1A1 mutation. Despite modified FOLFOX (folinic acid, fluorouracil, oxaliplatin) plus bevacizumab, the disease progressed rapidly, prompting transition to palliative care and subsequent death. Cavernous body involvement in CRC reflects advanced disease, frequently accompanied by synchronous metastases and a limited life expectancy. This case underscores the poor prognostic significance of such metastases, suggests pelvic lymphatic spread as a likely mechanism, and highlights the critical impact of pharmacogenetics on treatment tolerance and outcomes. A review of the literature emphasizes the aggressive biology of such presentations. Penile metastases from CRC are rare but devastating, indicating disseminated disease. Multidisciplinary management should prioritize symptom control, with targeted therapies reserved for select cases. This case illustrates the need for heightened clinical suspicion in patients with a history of malignancy presenting with urological symptoms.

求助全文
通过发布文献求助,成功后即可免费获取论文全文。 去求助
来源期刊
CiteScore
1.10
自引率
0.00%
发文量
0
×
引用
GB/T 7714-2015
复制
MLA
复制
APA
复制
导出至
BibTeX EndNote RefMan NoteFirst NoteExpress
×
提示
您的信息不完整,为了账户安全,请先补充。
现在去补充
×
提示
您因"违规操作"
具体请查看互助需知
我知道了
×
提示
确定
请完成安全验证×
copy
已复制链接
快去分享给好友吧!
我知道了
右上角分享
点击右上角分享
0
联系我们:info@booksci.cn Book学术提供免费学术资源搜索服务,方便国内外学者检索中英文文献。致力于提供最便捷和优质的服务体验。 Copyright © 2023 布克学术 All rights reserved.
京ICP备2023020795号-1
ghs 京公网安备 11010802042870号
Book学术文献互助
Book学术文献互助群
群 号:604180095
Book学术官方微信