罕见的TIA样疾病立即出现急性心肌梗死和心脏骤停的巧合:1例报告。

IF 2 Q2 EMERGENCY MEDICINE
Meiling Wang, Danping Yan, Sa Wang, Yuwei Wang
{"title":"罕见的TIA样疾病立即出现急性心肌梗死和心脏骤停的巧合:1例报告。","authors":"Meiling Wang, Danping Yan, Sa Wang, Yuwei Wang","doi":"10.1186/s12245-025-00982-5","DOIUrl":null,"url":null,"abstract":"<p><p>A 64-year-old man presented with acute left-sided limb weakness and no abnormalities on brain CT perfusion imaging. The patient soon experienced cardiac arrest, and coronary angiography after successful cardiopulmonary resuscitation demonstrated complete occlusion of the anterior descending branch and circumflex branch mid-sections, as well as diffuse lesions in the right coronary mid-section. Atypical AMI manifestations complicate emergency diagnosis, necessitating high clinical vigilance and broad differential assessment during initial evaluation.</p>","PeriodicalId":13967,"journal":{"name":"International Journal of Emergency Medicine","volume":"18 1","pages":"175"},"PeriodicalIF":2.0000,"publicationDate":"2025-09-30","publicationTypes":"Journal Article","fieldsOfStudy":null,"isOpenAccess":false,"openAccessPdf":"https://www.ncbi.nlm.nih.gov/pmc/articles/PMC12487168/pdf/","citationCount":"0","resultStr":"{\"title\":\"A rare coincidence of presentation of TIA like illness immediately followed by acute myocardial infarction and cardiac arrest: a case report.\",\"authors\":\"Meiling Wang, Danping Yan, Sa Wang, Yuwei Wang\",\"doi\":\"10.1186/s12245-025-00982-5\",\"DOIUrl\":null,\"url\":null,\"abstract\":\"<p><p>A 64-year-old man presented with acute left-sided limb weakness and no abnormalities on brain CT perfusion imaging. The patient soon experienced cardiac arrest, and coronary angiography after successful cardiopulmonary resuscitation demonstrated complete occlusion of the anterior descending branch and circumflex branch mid-sections, as well as diffuse lesions in the right coronary mid-section. Atypical AMI manifestations complicate emergency diagnosis, necessitating high clinical vigilance and broad differential assessment during initial evaluation.</p>\",\"PeriodicalId\":13967,\"journal\":{\"name\":\"International Journal of Emergency Medicine\",\"volume\":\"18 1\",\"pages\":\"175\"},\"PeriodicalIF\":2.0000,\"publicationDate\":\"2025-09-30\",\"publicationTypes\":\"Journal Article\",\"fieldsOfStudy\":null,\"isOpenAccess\":false,\"openAccessPdf\":\"https://www.ncbi.nlm.nih.gov/pmc/articles/PMC12487168/pdf/\",\"citationCount\":\"0\",\"resultStr\":null,\"platform\":\"Semanticscholar\",\"paperid\":null,\"PeriodicalName\":\"International Journal of Emergency Medicine\",\"FirstCategoryId\":\"1085\",\"ListUrlMain\":\"https://doi.org/10.1186/s12245-025-00982-5\",\"RegionNum\":0,\"RegionCategory\":null,\"ArticlePicture\":[],\"TitleCN\":null,\"AbstractTextCN\":null,\"PMCID\":null,\"EPubDate\":\"\",\"PubModel\":\"\",\"JCR\":\"Q2\",\"JCRName\":\"EMERGENCY MEDICINE\",\"Score\":null,\"Total\":0}","platform":"Semanticscholar","paperid":null,"PeriodicalName":"International Journal of Emergency Medicine","FirstCategoryId":"1085","ListUrlMain":"https://doi.org/10.1186/s12245-025-00982-5","RegionNum":0,"RegionCategory":null,"ArticlePicture":[],"TitleCN":null,"AbstractTextCN":null,"PMCID":null,"EPubDate":"","PubModel":"","JCR":"Q2","JCRName":"EMERGENCY MEDICINE","Score":null,"Total":0}
引用次数: 0

摘要

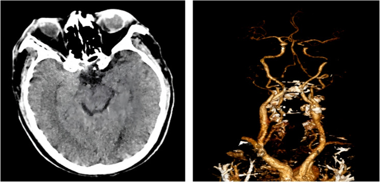
男性,64岁,表现为急性左肢体无力,脑CT灌注成像未见异常。患者很快出现心脏骤停,心肺复苏成功后冠状动脉造影显示前降支和旋支中段完全闭塞,右侧冠状动脉中段弥漫性病变。非典型AMI表现使急诊诊断复杂化,需要高度的临床警惕和在初步评估时进行广泛的鉴别评估。
本文章由计算机程序翻译,如有差异,请以英文原文为准。

A rare coincidence of presentation of TIA like illness immediately followed by acute myocardial infarction and cardiac arrest: a case report.

A rare coincidence of presentation of TIA like illness immediately followed by acute myocardial infarction and cardiac arrest: a case report.

A rare coincidence of presentation of TIA like illness immediately followed by acute myocardial infarction and cardiac arrest: a case report.

A rare coincidence of presentation of TIA like illness immediately followed by acute myocardial infarction and cardiac arrest: a case report.

A 64-year-old man presented with acute left-sided limb weakness and no abnormalities on brain CT perfusion imaging. The patient soon experienced cardiac arrest, and coronary angiography after successful cardiopulmonary resuscitation demonstrated complete occlusion of the anterior descending branch and circumflex branch mid-sections, as well as diffuse lesions in the right coronary mid-section. Atypical AMI manifestations complicate emergency diagnosis, necessitating high clinical vigilance and broad differential assessment during initial evaluation.

求助全文
通过发布文献求助,成功后即可免费获取论文全文。 去求助
来源期刊
CiteScore
4.60
自引率
0.00%
发文量
63
审稿时长
13 weeks
期刊介绍: The aim of the journal is to bring to light the various clinical advancements and research developments attained over the world and thus help the specialty forge ahead. It is directed towards physicians and medical personnel undergoing training or working within the field of Emergency Medicine. Medical students who are interested in pursuing a career in Emergency Medicine will also benefit from the journal. This is particularly useful for trainees in countries where the specialty is still in its infancy. Disciplines covered will include interesting clinical cases, the latest evidence-based practice and research developments in Emergency medicine including emergency pediatrics.
×
引用
GB/T 7714-2015
复制
MLA
复制
APA
复制
导出至
BibTeX EndNote RefMan NoteFirst NoteExpress
×
提示
您的信息不完整,为了账户安全,请先补充。
现在去补充
×
提示
您因"违规操作"
具体请查看互助需知
我知道了
×
提示
确定
请完成安全验证×
copy
已复制链接
快去分享给好友吧!
我知道了
右上角分享
点击右上角分享
0
联系我们:info@booksci.cn Book学术提供免费学术资源搜索服务,方便国内外学者检索中英文文献。致力于提供最便捷和优质的服务体验。 Copyright © 2023 布克学术 All rights reserved.
京ICP备2023020795号-1
ghs 京公网安备 11010802042870号
Book学术文献互助
Book学术文献互助群
群 号:604180095
Book学术官方微信