多发性单神经炎是嗜酸性肉芽肿合并多血管炎的诊断挑战:早期与延迟识别的意义。

IF 1.3 Q3 MEDICINE, GENERAL & INTERNAL
Cureus Pub Date : 2025-09-25 eCollection Date: 2025-09-01 DOI:10.7759/cureus.93171
Farhaan Ahmed, Hamna Nazeer, Salamat Ullah, Rawaha Ahmad, Nichola Pugh
{"title":"多发性单神经炎是嗜酸性肉芽肿合并多血管炎的诊断挑战:早期与延迟识别的意义。","authors":"Farhaan Ahmed, Hamna Nazeer, Salamat Ullah, Rawaha Ahmad, Nichola Pugh","doi":"10.7759/cureus.93171","DOIUrl":null,"url":null,"abstract":"<p><p>A 63-year-old female patient presented to the acute medical unit with what appeared to be a case of progressive mobility decline, a common and often nonspecific presentation in acute medicine. She described upper and lower limb weakness and numbness affecting her ability to walk. Originally, her upper limb numbness was treated as ulnar nerve compression in the community. She also had multiple episodes of shortness of breath throughout the year, which were initially managed in the community as suspected asthma exacerbations; however, her symptoms were non-specific. Routine investigations revealed severe eosinophilia (13.37 × 10⁹/L), anaemia, and leucocytosis. Neurophysiology confirmed mononeuritis multiplex, and further autoimmune testing revealed positive anti-neutrophil cytoplasmic antibodies (P-ANCA) and elevated myeloperoxidase (MPO) antibodies. This was ultimately diagnosed as eosinophilic granulomatosis with polyangiitis (EGPA), a rare presentation that challenged initial diagnostic assumptions. This case is an example of how not all presentations of EGPA are straightforward and how it might be missed in an acute medical setting. Through this case report, we wanted to emphasise the subtle and often vague nature of mononeuritis multiplex in EGPA. We would also like to highlight the implications of a delayed diagnosis on patients with EGPA and how this affects the long-term health of patients. Lastly, we would like to discuss newer treatments with anti-interleukin-5 (IL-5) target drugs, which are used to reduce relapse rates in the disease.</p>","PeriodicalId":93960,"journal":{"name":"Cureus","volume":"17 9","pages":"e93171"},"PeriodicalIF":1.3000,"publicationDate":"2025-09-25","publicationTypes":"Journal Article","fieldsOfStudy":null,"isOpenAccess":false,"openAccessPdf":"https://www.ncbi.nlm.nih.gov/pmc/articles/PMC12461760/pdf/","citationCount":"0","resultStr":"{\"title\":\"Mononeuritis Multiplex as a Diagnostic Challenge in Eosinophilic Granulomatosis With Polyangiitis: Implications of Early Versus Delayed Recognition.\",\"authors\":\"Farhaan Ahmed, Hamna Nazeer, Salamat Ullah, Rawaha Ahmad, Nichola Pugh\",\"doi\":\"10.7759/cureus.93171\",\"DOIUrl\":null,\"url\":null,\"abstract\":\"<p><p>A 63-year-old female patient presented to the acute medical unit with what appeared to be a case of progressive mobility decline, a common and often nonspecific presentation in acute medicine. She described upper and lower limb weakness and numbness affecting her ability to walk. Originally, her upper limb numbness was treated as ulnar nerve compression in the community. She also had multiple episodes of shortness of breath throughout the year, which were initially managed in the community as suspected asthma exacerbations; however, her symptoms were non-specific. Routine investigations revealed severe eosinophilia (13.37 × 10⁹/L), anaemia, and leucocytosis. Neurophysiology confirmed mononeuritis multiplex, and further autoimmune testing revealed positive anti-neutrophil cytoplasmic antibodies (P-ANCA) and elevated myeloperoxidase (MPO) antibodies. This was ultimately diagnosed as eosinophilic granulomatosis with polyangiitis (EGPA), a rare presentation that challenged initial diagnostic assumptions. This case is an example of how not all presentations of EGPA are straightforward and how it might be missed in an acute medical setting. Through this case report, we wanted to emphasise the subtle and often vague nature of mononeuritis multiplex in EGPA. We would also like to highlight the implications of a delayed diagnosis on patients with EGPA and how this affects the long-term health of patients. Lastly, we would like to discuss newer treatments with anti-interleukin-5 (IL-5) target drugs, which are used to reduce relapse rates in the disease.</p>\",\"PeriodicalId\":93960,\"journal\":{\"name\":\"Cureus\",\"volume\":\"17 9\",\"pages\":\"e93171\"},\"PeriodicalIF\":1.3000,\"publicationDate\":\"2025-09-25\",\"publicationTypes\":\"Journal Article\",\"fieldsOfStudy\":null,\"isOpenAccess\":false,\"openAccessPdf\":\"https://www.ncbi.nlm.nih.gov/pmc/articles/PMC12461760/pdf/\",\"citationCount\":\"0\",\"resultStr\":null,\"platform\":\"Semanticscholar\",\"paperid\":null,\"PeriodicalName\":\"Cureus\",\"FirstCategoryId\":\"1085\",\"ListUrlMain\":\"https://doi.org/10.7759/cureus.93171\",\"RegionNum\":0,\"RegionCategory\":null,\"ArticlePicture\":[],\"TitleCN\":null,\"AbstractTextCN\":null,\"PMCID\":null,\"EPubDate\":\"2025/9/1 0:00:00\",\"PubModel\":\"eCollection\",\"JCR\":\"Q3\",\"JCRName\":\"MEDICINE, GENERAL & INTERNAL\",\"Score\":null,\"Total\":0}","platform":"Semanticscholar","paperid":null,"PeriodicalName":"Cureus","FirstCategoryId":"1085","ListUrlMain":"https://doi.org/10.7759/cureus.93171","RegionNum":0,"RegionCategory":null,"ArticlePicture":[],"TitleCN":null,"AbstractTextCN":null,"PMCID":null,"EPubDate":"2025/9/1 0:00:00","PubModel":"eCollection","JCR":"Q3","JCRName":"MEDICINE, GENERAL & INTERNAL","Score":null,"Total":0}
引用次数: 0

摘要

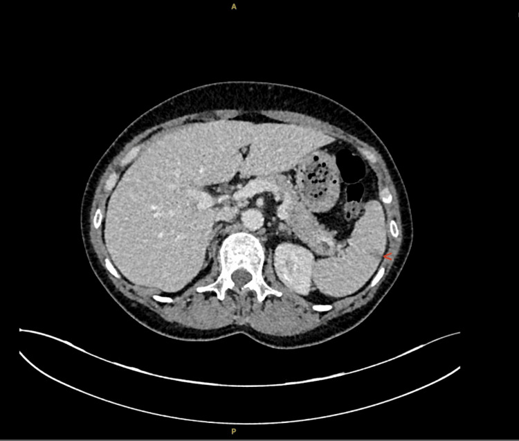
一个63岁的女性患者提出了急性医疗单位似乎是一个渐进的行动能力下降的情况下,一个常见的,往往非特异性的表现在急性医学。她描述了上肢和下肢无力和麻木影响了她的行走能力。最初,她的上肢麻木在社区治疗为尺神经压迫。她全年还多次出现呼吸短促,最初在社区中作为疑似哮喘加重加以处理;然而,她的症状是非特异性的。常规调查显示严重嗜酸性粒细胞增多(13.37 × 10⁹/L)、贫血和白细胞增多。神经生理学证实多发性单神经炎,进一步的自身免疫检测显示抗中性粒细胞胞浆抗体(P-ANCA)阳性和髓过氧化物酶(MPO)抗体升高。最终诊断为嗜酸性肉芽肿病合并多血管炎(EGPA),这是一种罕见的表现,挑战了最初的诊断假设。本病例是一个例子,说明并非所有EGPA的表现都是直截了当的,并且在急性医疗环境中可能会错过它。通过本病例报告,我们想强调 EGPA多发单神经炎的微妙和经常模糊的性质。我们还想强调延迟诊断对EGPA患者的影响,以及这如何影响患者的长期健康。最后,我们想讨论抗白细胞介素-5 (IL-5)靶向药物的新治疗方法,这些药物用于降低疾病的复发率。
本文章由计算机程序翻译,如有差异,请以英文原文为准。

Mononeuritis Multiplex as a Diagnostic Challenge in Eosinophilic Granulomatosis With Polyangiitis: Implications of Early Versus Delayed Recognition.

Mononeuritis Multiplex as a Diagnostic Challenge in Eosinophilic Granulomatosis With Polyangiitis: Implications of Early Versus Delayed Recognition.

Mononeuritis Multiplex as a Diagnostic Challenge in Eosinophilic Granulomatosis With Polyangiitis: Implications of Early Versus Delayed Recognition.

A 63-year-old female patient presented to the acute medical unit with what appeared to be a case of progressive mobility decline, a common and often nonspecific presentation in acute medicine. She described upper and lower limb weakness and numbness affecting her ability to walk. Originally, her upper limb numbness was treated as ulnar nerve compression in the community. She also had multiple episodes of shortness of breath throughout the year, which were initially managed in the community as suspected asthma exacerbations; however, her symptoms were non-specific. Routine investigations revealed severe eosinophilia (13.37 × 10⁹/L), anaemia, and leucocytosis. Neurophysiology confirmed mononeuritis multiplex, and further autoimmune testing revealed positive anti-neutrophil cytoplasmic antibodies (P-ANCA) and elevated myeloperoxidase (MPO) antibodies. This was ultimately diagnosed as eosinophilic granulomatosis with polyangiitis (EGPA), a rare presentation that challenged initial diagnostic assumptions. This case is an example of how not all presentations of EGPA are straightforward and how it might be missed in an acute medical setting. Through this case report, we wanted to emphasise the subtle and often vague nature of mononeuritis multiplex in EGPA. We would also like to highlight the implications of a delayed diagnosis on patients with EGPA and how this affects the long-term health of patients. Lastly, we would like to discuss newer treatments with anti-interleukin-5 (IL-5) target drugs, which are used to reduce relapse rates in the disease.

求助全文
通过发布文献求助,成功后即可免费获取论文全文。 去求助
来源期刊
自引率
0.00%
发文量
0
×
引用
GB/T 7714-2015
复制
MLA
复制
APA
复制
导出至
BibTeX EndNote RefMan NoteFirst NoteExpress
×
提示
您的信息不完整,为了账户安全,请先补充。
现在去补充
×
提示
您因"违规操作"
具体请查看互助需知
我知道了
×
提示
确定
请完成安全验证×
copy
已复制链接
快去分享给好友吧!
我知道了
右上角分享
点击右上角分享
0
联系我们:info@booksci.cn Book学术提供免费学术资源搜索服务,方便国内外学者检索中英文文献。致力于提供最便捷和优质的服务体验。 Copyright © 2023 布克学术 All rights reserved.
京ICP备2023020795号-1
ghs 京公网安备 11010802042870号
Book学术文献互助
Book学术文献互助群
群 号:604180095
Book学术官方微信