橙皮苷固体分散体通过调节大鼠肠道菌群失调缓解醋酸性结肠炎。

IF 5.1 2区 农林科学 Q1 FOOD SCIENCE & TECHNOLOGY
Foods Pub Date : 2025-09-19 DOI:10.3390/foods14183252
Qiru Wang, Dan Liu, Qi Wu, Yanling Sun, Ning Ma, Xin He, Xinghua Zhao
{"title":"橙皮苷固体分散体通过调节大鼠肠道菌群失调缓解醋酸性结肠炎。","authors":"Qiru Wang, Dan Liu, Qi Wu, Yanling Sun, Ning Ma, Xin He, Xinghua Zhao","doi":"10.3390/foods14183252","DOIUrl":null,"url":null,"abstract":"<p><p>Hesperidin (HD) is predominantly found in citrus fruits, and has been shown to possess various biological properties, such as anti-inflammatory, antioxidant, and anti-carcinogenic. However, its application is limited by poor solubility. In this study, a new solid dispersion (SD) of hesperidin was prepared by ball milling using PVPK30 as the carrier, and the in vitro and in vivo studies and the therapeutic effects about colitis in rats were evaluated. In vitro analysis revealed that the solid dispersion showed a better release effect. The cumulative release of HD-SD reached 48.24% at 120 min, which was 5.9 times that of pure HD. In vivo studies demonstrated that C<sub>max</sub> and AUC<sub>0</sub><sub>-</sub><sub>24</sub> were significantly higher in HD-SD compared with pure HD (<i>p</i> < 0.01), which were 2.67 and 1.50 times that of HD, respectively. Furthermore, treatment with HD-SD significantly alleviates symptoms and histological features in acetic acid (AA)-induced colitis in rats. Furthermore, HD-SD treatment significantly ameliorated the disease severity of acetic acid (AA)-induced colitis in rats, as evidenced by improved clinical signs, attenuated histological damage, and decreased levels of inflammatory factors (TNF-α, IL-6, and IL-1β). Moreover, the structure and relative abundance of the gut microbiota were modulated. Specifically, the relative abundance of <i>Erysipelotrichaceae</i> was decreased and the relative abundance of <i>Bacteroidota</i>, <i>Lachnospiraceae</i>, and <i>[Eubacterium]_coprostanoligenes_group</i> were increased. These results suggest that HD-SD could serve as a gut-health-promoting functional ingredient, potentially contributing to the dietary management of colitis through microbiota modulation.</p>","PeriodicalId":12386,"journal":{"name":"Foods","volume":"14 18","pages":""},"PeriodicalIF":5.1000,"publicationDate":"2025-09-19","publicationTypes":"Journal Article","fieldsOfStudy":null,"isOpenAccess":false,"openAccessPdf":"https://www.ncbi.nlm.nih.gov/pmc/articles/PMC12469633/pdf/","citationCount":"0","resultStr":"{\"title\":\"Solid Dispersion of Hesperidin Alleviates Acetic Acid-Induced Colitis Through Modulating the Gut Microbiota Dysbiosis in Rats.\",\"authors\":\"Qiru Wang, Dan Liu, Qi Wu, Yanling Sun, Ning Ma, Xin He, Xinghua Zhao\",\"doi\":\"10.3390/foods14183252\",\"DOIUrl\":null,\"url\":null,\"abstract\":\"<p><p>Hesperidin (HD) is predominantly found in citrus fruits, and has been shown to possess various biological properties, such as anti-inflammatory, antioxidant, and anti-carcinogenic. However, its application is limited by poor solubility. In this study, a new solid dispersion (SD) of hesperidin was prepared by ball milling using PVPK30 as the carrier, and the in vitro and in vivo studies and the therapeutic effects about colitis in rats were evaluated. In vitro analysis revealed that the solid dispersion showed a better release effect. The cumulative release of HD-SD reached 48.24% at 120 min, which was 5.9 times that of pure HD. In vivo studies demonstrated that C<sub>max</sub> and AUC<sub>0</sub><sub>-</sub><sub>24</sub> were significantly higher in HD-SD compared with pure HD (<i>p</i> < 0.01), which were 2.67 and 1.50 times that of HD, respectively. Furthermore, treatment with HD-SD significantly alleviates symptoms and histological features in acetic acid (AA)-induced colitis in rats. Furthermore, HD-SD treatment significantly ameliorated the disease severity of acetic acid (AA)-induced colitis in rats, as evidenced by improved clinical signs, attenuated histological damage, and decreased levels of inflammatory factors (TNF-α, IL-6, and IL-1β). Moreover, the structure and relative abundance of the gut microbiota were modulated. Specifically, the relative abundance of <i>Erysipelotrichaceae</i> was decreased and the relative abundance of <i>Bacteroidota</i>, <i>Lachnospiraceae</i>, and <i>[Eubacterium]_coprostanoligenes_group</i> were increased. These results suggest that HD-SD could serve as a gut-health-promoting functional ingredient, potentially contributing to the dietary management of colitis through microbiota modulation.</p>\",\"PeriodicalId\":12386,\"journal\":{\"name\":\"Foods\",\"volume\":\"14 18\",\"pages\":\"\"},\"PeriodicalIF\":5.1000,\"publicationDate\":\"2025-09-19\",\"publicationTypes\":\"Journal Article\",\"fieldsOfStudy\":null,\"isOpenAccess\":false,\"openAccessPdf\":\"https://www.ncbi.nlm.nih.gov/pmc/articles/PMC12469633/pdf/\",\"citationCount\":\"0\",\"resultStr\":null,\"platform\":\"Semanticscholar\",\"paperid\":null,\"PeriodicalName\":\"Foods\",\"FirstCategoryId\":\"97\",\"ListUrlMain\":\"https://doi.org/10.3390/foods14183252\",\"RegionNum\":2,\"RegionCategory\":\"农林科学\",\"ArticlePicture\":[],\"TitleCN\":null,\"AbstractTextCN\":null,\"PMCID\":null,\"EPubDate\":\"\",\"PubModel\":\"\",\"JCR\":\"Q1\",\"JCRName\":\"FOOD SCIENCE & TECHNOLOGY\",\"Score\":null,\"Total\":0}","platform":"Semanticscholar","paperid":null,"PeriodicalName":"Foods","FirstCategoryId":"97","ListUrlMain":"https://doi.org/10.3390/foods14183252","RegionNum":2,"RegionCategory":"农林科学","ArticlePicture":[],"TitleCN":null,"AbstractTextCN":null,"PMCID":null,"EPubDate":"","PubModel":"","JCR":"Q1","JCRName":"FOOD SCIENCE & TECHNOLOGY","Score":null,"Total":0}
引用次数: 0

摘要

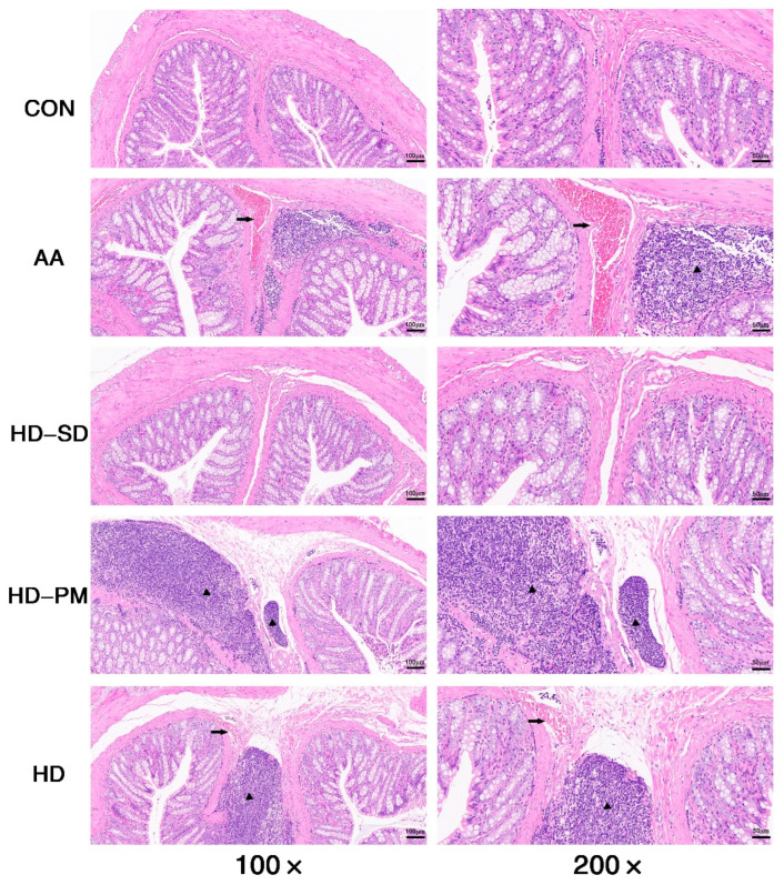
橙皮苷主要存在于柑橘类水果中,具有多种生物学特性,如抗炎、抗氧化和抗癌。但其溶解度差,限制了其应用。本研究以PVPK30为载体,采用球磨法制备一种新型橙皮苷固体分散体(SD),并对其体外、体内研究及对大鼠结肠炎的治疗作用进行了评价。体外分析表明,固体分散体具有较好的释放效果。120min时HD- sd的累积释放量为48.24%,是纯HD的5.9倍。体内研究表明,HD- sd组Cmax和AUC0-24显著高于纯HD组(p < 0.01),分别是HD组的2.67倍和1.50倍。此外,HD-SD治疗可显著缓解醋酸(AA)诱导大鼠结肠炎的症状和组织学特征。此外,HD-SD治疗显著改善了醋酸(AA)诱导的大鼠结肠炎的疾病严重程度,临床症状改善,组织学损伤减轻,炎症因子(TNF-α, IL-6和IL-1β)水平降低。此外,肠道菌群的结构和相对丰度也被调节。其中丹毒科相对丰度降低,拟杆菌科、毛缕菌科和[真菌]_coprostanoligenes_group相对丰度升高。这些结果表明,HD-SD可能作为一种促进肠道健康的功能成分,可能通过调节微生物群来促进结肠炎的饮食管理。
本文章由计算机程序翻译,如有差异,请以英文原文为准。

Solid Dispersion of Hesperidin Alleviates Acetic Acid-Induced Colitis Through Modulating the Gut Microbiota Dysbiosis in Rats.

Solid Dispersion of Hesperidin Alleviates Acetic Acid-Induced Colitis Through Modulating the Gut Microbiota Dysbiosis in Rats.

Solid Dispersion of Hesperidin Alleviates Acetic Acid-Induced Colitis Through Modulating the Gut Microbiota Dysbiosis in Rats.

Solid Dispersion of Hesperidin Alleviates Acetic Acid-Induced Colitis Through Modulating the Gut Microbiota Dysbiosis in Rats.

Hesperidin (HD) is predominantly found in citrus fruits, and has been shown to possess various biological properties, such as anti-inflammatory, antioxidant, and anti-carcinogenic. However, its application is limited by poor solubility. In this study, a new solid dispersion (SD) of hesperidin was prepared by ball milling using PVPK30 as the carrier, and the in vitro and in vivo studies and the therapeutic effects about colitis in rats were evaluated. In vitro analysis revealed that the solid dispersion showed a better release effect. The cumulative release of HD-SD reached 48.24% at 120 min, which was 5.9 times that of pure HD. In vivo studies demonstrated that Cmax and AUC0-24 were significantly higher in HD-SD compared with pure HD (p < 0.01), which were 2.67 and 1.50 times that of HD, respectively. Furthermore, treatment with HD-SD significantly alleviates symptoms and histological features in acetic acid (AA)-induced colitis in rats. Furthermore, HD-SD treatment significantly ameliorated the disease severity of acetic acid (AA)-induced colitis in rats, as evidenced by improved clinical signs, attenuated histological damage, and decreased levels of inflammatory factors (TNF-α, IL-6, and IL-1β). Moreover, the structure and relative abundance of the gut microbiota were modulated. Specifically, the relative abundance of Erysipelotrichaceae was decreased and the relative abundance of Bacteroidota, Lachnospiraceae, and [Eubacterium]_coprostanoligenes_group were increased. These results suggest that HD-SD could serve as a gut-health-promoting functional ingredient, potentially contributing to the dietary management of colitis through microbiota modulation.

求助全文
通过发布文献求助,成功后即可免费获取论文全文。 去求助
来源期刊
Foods
Foods Immunology and Microbiology-Microbiology
CiteScore
7.40
自引率
15.40%
发文量
3516
审稿时长
15.83 days
期刊介绍: Foods (ISSN 2304-8158) is an international, peer-reviewed scientific open access journal which provides an advanced forum for studies related to all aspects of food research. It publishes reviews, regular research papers and short communications. Our aim is to encourage scientists, researchers, and other food professionals to publish their experimental and theoretical results in as much detail as possible or share their knowledge with as much readers unlimitedly as possible. There is no restriction on the length of the papers. The full experimental details must be provided so that the results can be reproduced. There are, in addition, unique features of this journal: Ÿ manuscripts regarding research proposals and research ideas will be particularly welcomed Ÿ electronic files or software regarding the full details of the calculation and experimental procedure, if unable to be published in a normal way, can be deposited as supplementary material Ÿ we also accept manuscripts communicating to a broader audience with regard to research projects financed with public funds
×
引用
GB/T 7714-2015
复制
MLA
复制
APA
复制
导出至
BibTeX EndNote RefMan NoteFirst NoteExpress
×
提示
您的信息不完整,为了账户安全,请先补充。
现在去补充
×
提示
您因"违规操作"
具体请查看互助需知
我知道了
×
提示
确定
请完成安全验证×
copy
已复制链接
快去分享给好友吧!
我知道了
右上角分享
点击右上角分享
0
联系我们:info@booksci.cn Book学术提供免费学术资源搜索服务,方便国内外学者检索中英文文献。致力于提供最便捷和优质的服务体验。 Copyright © 2023 布克学术 All rights reserved.
京ICP备2023020795号-1
ghs 京公网安备 11010802042870号
Book学术文献互助
Book学术文献互助群
群 号:604180095
Book学术官方微信