STEMI患者行初级与抢救PCI的光学和扫描电镜观察血栓的发现。

IF 3.9 3区 工程技术 Q2 BIOCHEMISTRY & MOLECULAR BIOLOGY
Stella Marinelli Pedrini, Thiago P A Aloia, André H Aguillera, Paula M P S Gomes, Jamil R Cade, Francisco Sandro Menezes-Rodrigues, Bárbara P Freitas, Marco T Souza, Francisco A H Fonseca, Marcos Danillo Oliveira, Breno O Almeida, Andrey J Serra, Renato D Lopes, Rita Sinigaglia-Coimbra, Adriano Caixeta
{"title":"STEMI患者行初级与抢救PCI的光学和扫描电镜观察血栓的发现。","authors":"Stella Marinelli Pedrini, Thiago P A Aloia, André H Aguillera, Paula M P S Gomes, Jamil R Cade, Francisco Sandro Menezes-Rodrigues, Bárbara P Freitas, Marco T Souza, Francisco A H Fonseca, Marcos Danillo Oliveira, Breno O Almeida, Andrey J Serra, Renato D Lopes, Rita Sinigaglia-Coimbra, Adriano Caixeta","doi":"10.3390/biomedicines13092235","DOIUrl":null,"url":null,"abstract":"<p><p><b>Background</b>: The mechanisms underlying fibrinolysis failure in patients with STEMI who are undergoing a pharmacoinvasive strategy appear to be multifactorial and may be associated with the thrombus's architecture and composition. <b>Objective</b>: We aimed to compare the thrombus composition in patients with STEMI who were undergoing rescue percutaneous coronary intervention (rPCI) versus primary PCI (pPCI) using optical microscopy (OM) and scanning electron microscopy (SEM). Methods: Fifty-three patients were prospectively enrolled, with twenty-five undergoing rPCI and twenty-eight undergoing pPCI. After thrombus aspiration, each harvested fragment was divided into two pieces: one was analyzed using OM with a 60× magnifying lens on hematoxylin-eosin-stained samples, and the other with SEM at 5000× magnification. <b>Results</b>: Patients who underwent rPCI had significantly higher C-reactive protein levels and a longer ischemic interval at admission compared to those treated with pPCI (9.92 h [range: 1.58-106.17] vs. 2.14 h [range: 0-48]; <i>p</i> < 0.001). Optical microscopy analysis revealed that thrombi from rPCI patients exhibited a significantly higher erythrocyte area percentage (18.36% [range: 0.3-50.08] vs. 0.91% [range: 0-70.1]; <i>p</i> = 0.001), a lower fibrin content as assessed by optical microscopy (79.49% [range: 49.2-98.25] vs. 94.43% [range: 29.19-99.92]; <i>p</i> = 0.006), and a greater amount of cholesterol crystals as measured by SEM (1.73 μm<sup>2</sup> [range: 0-18.51] vs. 0.08 μm<sup>2</sup> [range: 0-0.71]; <i>p</i> < 0.001). <b>Conclusions</b>: The thrombus composition of patients with STEMI who are undergoing rPCI had higher amounts of erythrocytes and cholesterol crystals and a lesser area occupied by fibrin compared to those undergoing pPCI. The composition of thrombi in rPCI could potentially contribute to the failure of fibrinolytic therapy within a pharmacoinvasive strategy.</p>","PeriodicalId":8937,"journal":{"name":"Biomedicines","volume":"13 9","pages":""},"PeriodicalIF":3.9000,"publicationDate":"2025-09-11","publicationTypes":"Journal Article","fieldsOfStudy":null,"isOpenAccess":false,"openAccessPdf":"https://www.ncbi.nlm.nih.gov/pmc/articles/PMC12467207/pdf/","citationCount":"0","resultStr":"{\"title\":\"Optical and Scanning Electron Microscopy Thrombus Findings in Patients with STEMI Undergoing Primary Versus Rescue PCI.\",\"authors\":\"Stella Marinelli Pedrini, Thiago P A Aloia, André H Aguillera, Paula M P S Gomes, Jamil R Cade, Francisco Sandro Menezes-Rodrigues, Bárbara P Freitas, Marco T Souza, Francisco A H Fonseca, Marcos Danillo Oliveira, Breno O Almeida, Andrey J Serra, Renato D Lopes, Rita Sinigaglia-Coimbra, Adriano Caixeta\",\"doi\":\"10.3390/biomedicines13092235\",\"DOIUrl\":null,\"url\":null,\"abstract\":\"<p><p><b>Background</b>: The mechanisms underlying fibrinolysis failure in patients with STEMI who are undergoing a pharmacoinvasive strategy appear to be multifactorial and may be associated with the thrombus's architecture and composition. <b>Objective</b>: We aimed to compare the thrombus composition in patients with STEMI who were undergoing rescue percutaneous coronary intervention (rPCI) versus primary PCI (pPCI) using optical microscopy (OM) and scanning electron microscopy (SEM). Methods: Fifty-three patients were prospectively enrolled, with twenty-five undergoing rPCI and twenty-eight undergoing pPCI. After thrombus aspiration, each harvested fragment was divided into two pieces: one was analyzed using OM with a 60× magnifying lens on hematoxylin-eosin-stained samples, and the other with SEM at 5000× magnification. <b>Results</b>: Patients who underwent rPCI had significantly higher C-reactive protein levels and a longer ischemic interval at admission compared to those treated with pPCI (9.92 h [range: 1.58-106.17] vs. 2.14 h [range: 0-48]; <i>p</i> < 0.001). Optical microscopy analysis revealed that thrombi from rPCI patients exhibited a significantly higher erythrocyte area percentage (18.36% [range: 0.3-50.08] vs. 0.91% [range: 0-70.1]; <i>p</i> = 0.001), a lower fibrin content as assessed by optical microscopy (79.49% [range: 49.2-98.25] vs. 94.43% [range: 29.19-99.92]; <i>p</i> = 0.006), and a greater amount of cholesterol crystals as measured by SEM (1.73 μm<sup>2</sup> [range: 0-18.51] vs. 0.08 μm<sup>2</sup> [range: 0-0.71]; <i>p</i> < 0.001). <b>Conclusions</b>: The thrombus composition of patients with STEMI who are undergoing rPCI had higher amounts of erythrocytes and cholesterol crystals and a lesser area occupied by fibrin compared to those undergoing pPCI. The composition of thrombi in rPCI could potentially contribute to the failure of fibrinolytic therapy within a pharmacoinvasive strategy.</p>\",\"PeriodicalId\":8937,\"journal\":{\"name\":\"Biomedicines\",\"volume\":\"13 9\",\"pages\":\"\"},\"PeriodicalIF\":3.9000,\"publicationDate\":\"2025-09-11\",\"publicationTypes\":\"Journal Article\",\"fieldsOfStudy\":null,\"isOpenAccess\":false,\"openAccessPdf\":\"https://www.ncbi.nlm.nih.gov/pmc/articles/PMC12467207/pdf/\",\"citationCount\":\"0\",\"resultStr\":null,\"platform\":\"Semanticscholar\",\"paperid\":null,\"PeriodicalName\":\"Biomedicines\",\"FirstCategoryId\":\"5\",\"ListUrlMain\":\"https://doi.org/10.3390/biomedicines13092235\",\"RegionNum\":3,\"RegionCategory\":\"工程技术\",\"ArticlePicture\":[],\"TitleCN\":null,\"AbstractTextCN\":null,\"PMCID\":null,\"EPubDate\":\"\",\"PubModel\":\"\",\"JCR\":\"Q2\",\"JCRName\":\"BIOCHEMISTRY & MOLECULAR BIOLOGY\",\"Score\":null,\"Total\":0}","platform":"Semanticscholar","paperid":null,"PeriodicalName":"Biomedicines","FirstCategoryId":"5","ListUrlMain":"https://doi.org/10.3390/biomedicines13092235","RegionNum":3,"RegionCategory":"工程技术","ArticlePicture":[],"TitleCN":null,"AbstractTextCN":null,"PMCID":null,"EPubDate":"","PubModel":"","JCR":"Q2","JCRName":"BIOCHEMISTRY & MOLECULAR BIOLOGY","Score":null,"Total":0}
引用次数: 0

摘要

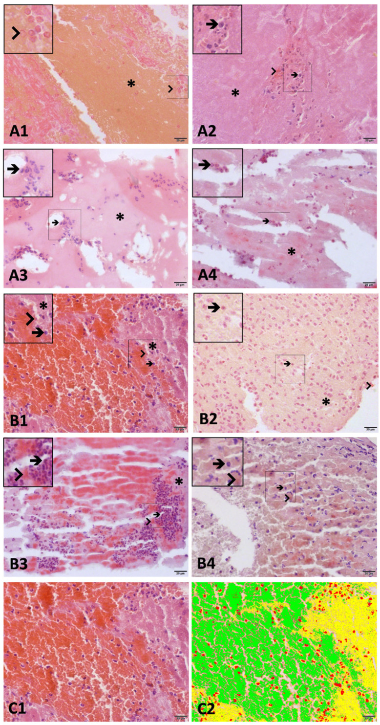
背景:在接受药物侵入策略的STEMI患者中,纤溶失败的机制似乎是多因素的,可能与血栓的结构和组成有关。目的:我们旨在通过光学显微镜(OM)和扫描电子显微镜(SEM)比较STEMI患者接受抢救性经皮冠状动脉介入治疗(rPCI)和原发性PCI (pPCI)的血栓组成。方法:前瞻性纳入53例患者,其中25例接受rPCI, 28例接受pPCI。抽吸血栓后,将每个收获的片段分成两部分,一部分用60倍放大镜的OM对苏木精-伊红染色的样品进行分析,另一部分用5000倍放大镜的SEM进行分析。结果:与接受pPCI治疗的患者相比,接受rPCI治疗的患者入院时的c反应蛋白水平明显更高,缺血间隔时间更长(9.92 h[范围:1.58-106.17]对2.14 h[范围:0-48];p < 0.001)。光学显微镜分析显示,rPCI患者的血栓表现出明显更高的红细胞面积百分比(18.36%[范围:0.3-50.08]对0.91%[范围:0-70.1],p = 0.001),光学显微镜评估的纤维蛋白含量较低(79.49%[范围:49.2-98.25]对94.43%[范围:29.19-99.92],p = 0.006),扫描电镜测量的胆固醇结晶量较大(1.73 μm2[范围:0-18.51]对0.08 μm2[范围:0-0.71],p < 0.001)。结论:与接受pPCI的STEMI患者相比,接受rPCI的患者血栓组成具有更高数量的红细胞和胆固醇晶体,纤维蛋白占据的面积较小。rPCI中血栓的组成可能会导致药物侵入性溶栓治疗的失败。
本文章由计算机程序翻译,如有差异,请以英文原文为准。

Optical and Scanning Electron Microscopy Thrombus Findings in Patients with STEMI Undergoing Primary Versus Rescue PCI.

Optical and Scanning Electron Microscopy Thrombus Findings in Patients with STEMI Undergoing Primary Versus Rescue PCI.

Optical and Scanning Electron Microscopy Thrombus Findings in Patients with STEMI Undergoing Primary Versus Rescue PCI.

Optical and Scanning Electron Microscopy Thrombus Findings in Patients with STEMI Undergoing Primary Versus Rescue PCI.

Background: The mechanisms underlying fibrinolysis failure in patients with STEMI who are undergoing a pharmacoinvasive strategy appear to be multifactorial and may be associated with the thrombus's architecture and composition. Objective: We aimed to compare the thrombus composition in patients with STEMI who were undergoing rescue percutaneous coronary intervention (rPCI) versus primary PCI (pPCI) using optical microscopy (OM) and scanning electron microscopy (SEM). Methods: Fifty-three patients were prospectively enrolled, with twenty-five undergoing rPCI and twenty-eight undergoing pPCI. After thrombus aspiration, each harvested fragment was divided into two pieces: one was analyzed using OM with a 60× magnifying lens on hematoxylin-eosin-stained samples, and the other with SEM at 5000× magnification. Results: Patients who underwent rPCI had significantly higher C-reactive protein levels and a longer ischemic interval at admission compared to those treated with pPCI (9.92 h [range: 1.58-106.17] vs. 2.14 h [range: 0-48]; p < 0.001). Optical microscopy analysis revealed that thrombi from rPCI patients exhibited a significantly higher erythrocyte area percentage (18.36% [range: 0.3-50.08] vs. 0.91% [range: 0-70.1]; p = 0.001), a lower fibrin content as assessed by optical microscopy (79.49% [range: 49.2-98.25] vs. 94.43% [range: 29.19-99.92]; p = 0.006), and a greater amount of cholesterol crystals as measured by SEM (1.73 μm2 [range: 0-18.51] vs. 0.08 μm2 [range: 0-0.71]; p < 0.001). Conclusions: The thrombus composition of patients with STEMI who are undergoing rPCI had higher amounts of erythrocytes and cholesterol crystals and a lesser area occupied by fibrin compared to those undergoing pPCI. The composition of thrombi in rPCI could potentially contribute to the failure of fibrinolytic therapy within a pharmacoinvasive strategy.

求助全文
通过发布文献求助,成功后即可免费获取论文全文。 去求助
来源期刊
Biomedicines
Biomedicines Biochemistry, Genetics and Molecular Biology-General Biochemistry,Genetics and Molecular Biology
CiteScore
5.20
自引率
8.50%
发文量
2823
审稿时长
8 weeks
期刊介绍: Biomedicines (ISSN 2227-9059; CODEN: BIOMID) is an international, scientific, open access journal on biomedicines published quarterly online by MDPI.
×
引用
GB/T 7714-2015
复制
MLA
复制
APA
复制
导出至
BibTeX EndNote RefMan NoteFirst NoteExpress
×
提示
您的信息不完整,为了账户安全,请先补充。
现在去补充
×
提示
您因"违规操作"
具体请查看互助需知
我知道了
×
提示
确定
请完成安全验证×
copy
已复制链接
快去分享给好友吧!
我知道了
右上角分享
点击右上角分享
0
联系我们:info@booksci.cn Book学术提供免费学术资源搜索服务,方便国内外学者检索中英文文献。致力于提供最便捷和优质的服务体验。 Copyright © 2023 布克学术 All rights reserved.
京ICP备2023020795号-1
ghs 京公网安备 11010802042870号
Book学术文献互助
Book学术文献互助群
群 号:604180095
Book学术官方微信