2例免疫球蛋白g4相关疾病患者的罕见表现:上颌窦受累和a淀粉样蛋白淀粉样变

IF 1.1 Q4 RHEUMATOLOGY
Melih Kızıltepe, Emel Oğuz Kökoğlu, Hüseyin Kaplan, Tuğba Kahraman Denizhan, Celil Barlas Cengiz, Sevil Kocadağ, Hülya Akgün, Abdurrahman Soner Şenel
{"title":"2例免疫球蛋白g4相关疾病患者的罕见表现:上颌窦受累和a淀粉样蛋白淀粉样变","authors":"Melih Kızıltepe, Emel Oğuz Kökoğlu, Hüseyin Kaplan, Tuğba Kahraman Denizhan, Celil Barlas Cengiz, Sevil Kocadağ, Hülya Akgün, Abdurrahman Soner Şenel","doi":"10.5152/ArchRheumatol.2025.11132","DOIUrl":null,"url":null,"abstract":"","PeriodicalId":93884,"journal":{"name":"Archives of rheumatology","volume":"40 3","pages":"410-412"},"PeriodicalIF":1.1000,"publicationDate":"2025-09-01","publicationTypes":"Journal Article","fieldsOfStudy":null,"isOpenAccess":false,"openAccessPdf":"https://www.ncbi.nlm.nih.gov/pmc/articles/PMC12502839/pdf/","citationCount":"0","resultStr":"{\"title\":\"Occurrence of 2 Uncommon Findings in a Patient With Immunoglobulin G4-Related Disease: Maxillary Sinus Involvement and AA (Amyloid A) Amyloidosis.\",\"authors\":\"Melih Kızıltepe, Emel Oğuz Kökoğlu, Hüseyin Kaplan, Tuğba Kahraman Denizhan, Celil Barlas Cengiz, Sevil Kocadağ, Hülya Akgün, Abdurrahman Soner Şenel\",\"doi\":\"10.5152/ArchRheumatol.2025.11132\",\"DOIUrl\":null,\"url\":null,\"abstract\":\"\",\"PeriodicalId\":93884,\"journal\":{\"name\":\"Archives of rheumatology\",\"volume\":\"40 3\",\"pages\":\"410-412\"},\"PeriodicalIF\":1.1000,\"publicationDate\":\"2025-09-01\",\"publicationTypes\":\"Journal Article\",\"fieldsOfStudy\":null,\"isOpenAccess\":false,\"openAccessPdf\":\"https://www.ncbi.nlm.nih.gov/pmc/articles/PMC12502839/pdf/\",\"citationCount\":\"0\",\"resultStr\":null,\"platform\":\"Semanticscholar\",\"paperid\":null,\"PeriodicalName\":\"Archives of rheumatology\",\"FirstCategoryId\":\"1085\",\"ListUrlMain\":\"https://doi.org/10.5152/ArchRheumatol.2025.11132\",\"RegionNum\":0,\"RegionCategory\":null,\"ArticlePicture\":[],\"TitleCN\":null,\"AbstractTextCN\":null,\"PMCID\":null,\"EPubDate\":\"\",\"PubModel\":\"\",\"JCR\":\"Q4\",\"JCRName\":\"RHEUMATOLOGY\",\"Score\":null,\"Total\":0}","platform":"Semanticscholar","paperid":null,"PeriodicalName":"Archives of rheumatology","FirstCategoryId":"1085","ListUrlMain":"https://doi.org/10.5152/ArchRheumatol.2025.11132","RegionNum":0,"RegionCategory":null,"ArticlePicture":[],"TitleCN":null,"AbstractTextCN":null,"PMCID":null,"EPubDate":"","PubModel":"","JCR":"Q4","JCRName":"RHEUMATOLOGY","Score":null,"Total":0}
引用次数: 0

摘要

本文章由计算机程序翻译,如有差异,请以英文原文为准。

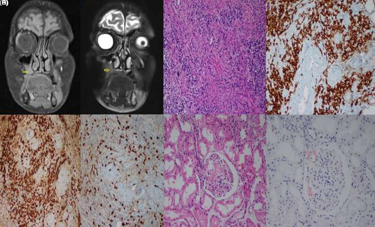
Occurrence of 2 Uncommon Findings in a Patient With Immunoglobulin G4-Related Disease: Maxillary Sinus Involvement and AA (Amyloid A) Amyloidosis.

Occurrence of 2 Uncommon Findings in a Patient With Immunoglobulin G4-Related Disease: Maxillary Sinus Involvement and AA (Amyloid A) Amyloidosis.

Occurrence of 2 Uncommon Findings in a Patient With Immunoglobulin G4-Related Disease: Maxillary Sinus Involvement and AA (Amyloid A) Amyloidosis.
求助全文
通过发布文献求助,成功后即可免费获取论文全文。 去求助
来源期刊
自引率
0.00%
发文量
0
×
引用
GB/T 7714-2015
复制
MLA
复制
APA
复制
导出至
BibTeX EndNote RefMan NoteFirst NoteExpress
×
提示
您的信息不完整,为了账户安全,请先补充。
现在去补充
×
提示
您因"违规操作"
具体请查看互助需知
我知道了
×
提示
确定
请完成安全验证×
copy
已复制链接
快去分享给好友吧!
我知道了
右上角分享
点击右上角分享
0
联系我们:info@booksci.cn Book学术提供免费学术资源搜索服务,方便国内外学者检索中英文文献。致力于提供最便捷和优质的服务体验。 Copyright © 2023 布克学术 All rights reserved.
京ICP备2023020795号-1
ghs 京公网安备 11010802042870号
Book学术文献互助
Book学术文献互助群
群 号:604180095
Book学术官方微信