疱疹病毒US11蛋白体外沉默角质形成细胞mhc - 1以模拟同种异体反应抑制

IF 1.2 Q4 CRITICAL CARE MEDICINE
Frederik Schlottmann, Sarah Strauß, Peter Maria Vogt, Vesna Bucan
{"title":"疱疹病毒US11蛋白体外沉默角质形成细胞mhc - 1以模拟同种异体反应抑制","authors":"Frederik Schlottmann, Sarah Strauß, Peter Maria Vogt, Vesna Bucan","doi":"10.3390/ebj6030047","DOIUrl":null,"url":null,"abstract":"<p><strong>Background: </strong>Secondary rejection remains a major obstacle in skin allografting. Some viruses, such as human herpesvirus and cytomegalovirus, evade immune detection through proteins like the unique short glycoprotein 11 (US11), which down-regulates major histocompatibility complex (MHC) class I expression. This study explores the use of recombinant US11 protein as a biopharmaceutical approach to reduce MHC-I expression and thus decrease alloreactivity in human primary keratinocytes.</p><p><strong>Methods: </strong>Human keratinocytes were treated with recombinant US11 protein, and MHC-I expression was assessed via Western blot and flow cytometry. To evaluate immunomodulatory effects, US11-stimulated keratinocytes were co-cultured with peripheral blood mononuclear cells (PBMCs), and interferon-gamma (IFN-γ) levels were measured by ELISA. Additionally, ex vivo human skin tissue was stimulated with US11 to assess long-term MHC-I modulation.</p><p><strong>Results: </strong>US11 treatment significantly reduced MHC-I surface expression in keratinocytes. Co-cultures showed decreased IFN-γ secretion, indicating lower T cell activation. Human skin tissue stimulated with US11 exhibited reduced MHC-I expression after 7 days.</p><p><strong>Conclusions: </strong>This proof-of-concept study suggests that recombinant US11 protein may serve as an effective biopharmaceutical to reduce keratinocyte immunogenicity. Further in vitro and in vivo studies are warranted to validate its potential for clinical application in skin transplantation.</p>","PeriodicalId":72961,"journal":{"name":"European burn journal","volume":"6 3","pages":""},"PeriodicalIF":1.2000,"publicationDate":"2025-08-21","publicationTypes":"Journal Article","fieldsOfStudy":null,"isOpenAccess":false,"openAccessPdf":"https://www.ncbi.nlm.nih.gov/pmc/articles/PMC12452319/pdf/","citationCount":"0","resultStr":"{\"title\":\"In Vitro Silencing of MHC-I in Keratinocytes by Herpesvirus US11 Protein to Model Alloreactive Suppression.\",\"authors\":\"Frederik Schlottmann, Sarah Strauß, Peter Maria Vogt, Vesna Bucan\",\"doi\":\"10.3390/ebj6030047\",\"DOIUrl\":null,\"url\":null,\"abstract\":\"<p><strong>Background: </strong>Secondary rejection remains a major obstacle in skin allografting. Some viruses, such as human herpesvirus and cytomegalovirus, evade immune detection through proteins like the unique short glycoprotein 11 (US11), which down-regulates major histocompatibility complex (MHC) class I expression. This study explores the use of recombinant US11 protein as a biopharmaceutical approach to reduce MHC-I expression and thus decrease alloreactivity in human primary keratinocytes.</p><p><strong>Methods: </strong>Human keratinocytes were treated with recombinant US11 protein, and MHC-I expression was assessed via Western blot and flow cytometry. To evaluate immunomodulatory effects, US11-stimulated keratinocytes were co-cultured with peripheral blood mononuclear cells (PBMCs), and interferon-gamma (IFN-γ) levels were measured by ELISA. Additionally, ex vivo human skin tissue was stimulated with US11 to assess long-term MHC-I modulation.</p><p><strong>Results: </strong>US11 treatment significantly reduced MHC-I surface expression in keratinocytes. Co-cultures showed decreased IFN-γ secretion, indicating lower T cell activation. Human skin tissue stimulated with US11 exhibited reduced MHC-I expression after 7 days.</p><p><strong>Conclusions: </strong>This proof-of-concept study suggests that recombinant US11 protein may serve as an effective biopharmaceutical to reduce keratinocyte immunogenicity. Further in vitro and in vivo studies are warranted to validate its potential for clinical application in skin transplantation.</p>\",\"PeriodicalId\":72961,\"journal\":{\"name\":\"European burn journal\",\"volume\":\"6 3\",\"pages\":\"\"},\"PeriodicalIF\":1.2000,\"publicationDate\":\"2025-08-21\",\"publicationTypes\":\"Journal Article\",\"fieldsOfStudy\":null,\"isOpenAccess\":false,\"openAccessPdf\":\"https://www.ncbi.nlm.nih.gov/pmc/articles/PMC12452319/pdf/\",\"citationCount\":\"0\",\"resultStr\":null,\"platform\":\"Semanticscholar\",\"paperid\":null,\"PeriodicalName\":\"European burn journal\",\"FirstCategoryId\":\"1085\",\"ListUrlMain\":\"https://doi.org/10.3390/ebj6030047\",\"RegionNum\":0,\"RegionCategory\":null,\"ArticlePicture\":[],\"TitleCN\":null,\"AbstractTextCN\":null,\"PMCID\":null,\"EPubDate\":\"\",\"PubModel\":\"\",\"JCR\":\"Q4\",\"JCRName\":\"CRITICAL CARE MEDICINE\",\"Score\":null,\"Total\":0}","platform":"Semanticscholar","paperid":null,"PeriodicalName":"European burn journal","FirstCategoryId":"1085","ListUrlMain":"https://doi.org/10.3390/ebj6030047","RegionNum":0,"RegionCategory":null,"ArticlePicture":[],"TitleCN":null,"AbstractTextCN":null,"PMCID":null,"EPubDate":"","PubModel":"","JCR":"Q4","JCRName":"CRITICAL CARE MEDICINE","Score":null,"Total":0}
引用次数: 0

摘要

背景:继发性排斥反应仍然是同种异体皮肤移植的主要障碍。一些病毒,如人类疱疹病毒和巨细胞病毒,通过独特的短糖蛋白11 (US11)等蛋白逃避免疫检测,该蛋白下调主要组织相容性复合体(MHC) I类表达。本研究探讨了利用重组US11蛋白作为生物制药方法来降低mhc - 1表达,从而降低人原代角质形成细胞的同种异体反应性。方法:重组US11蛋白处理人角质形成细胞,通过Western blot和流式细胞术检测MHC-I的表达。为了评估免疫调节作用,将us11刺激的角质形成细胞与外周血单个核细胞(PBMCs)共培养,并通过ELISA检测干扰素-γ (IFN-γ)水平。此外,用US11刺激离体人体皮肤组织以评估MHC-I的长期调节。结果:US11处理显著降低角质形成细胞MHC-I表面表达。共培养显示IFN-γ分泌减少,表明T细胞活性降低。用US11刺激人体皮肤组织7天后,MHC-I表达减少。结论:这项概念验证研究表明,重组US11蛋白可能作为一种有效的生物药物来降低角质形成细胞的免疫原性。进一步的体外和体内研究需要验证其在皮肤移植中的临床应用潜力。
本文章由计算机程序翻译,如有差异,请以英文原文为准。

In Vitro Silencing of MHC-I in Keratinocytes by Herpesvirus US11 Protein to Model Alloreactive Suppression.

In Vitro Silencing of MHC-I in Keratinocytes by Herpesvirus US11 Protein to Model Alloreactive Suppression.

In Vitro Silencing of MHC-I in Keratinocytes by Herpesvirus US11 Protein to Model Alloreactive Suppression.

In Vitro Silencing of MHC-I in Keratinocytes by Herpesvirus US11 Protein to Model Alloreactive Suppression.

Background: Secondary rejection remains a major obstacle in skin allografting. Some viruses, such as human herpesvirus and cytomegalovirus, evade immune detection through proteins like the unique short glycoprotein 11 (US11), which down-regulates major histocompatibility complex (MHC) class I expression. This study explores the use of recombinant US11 protein as a biopharmaceutical approach to reduce MHC-I expression and thus decrease alloreactivity in human primary keratinocytes.

Methods: Human keratinocytes were treated with recombinant US11 protein, and MHC-I expression was assessed via Western blot and flow cytometry. To evaluate immunomodulatory effects, US11-stimulated keratinocytes were co-cultured with peripheral blood mononuclear cells (PBMCs), and interferon-gamma (IFN-γ) levels were measured by ELISA. Additionally, ex vivo human skin tissue was stimulated with US11 to assess long-term MHC-I modulation.

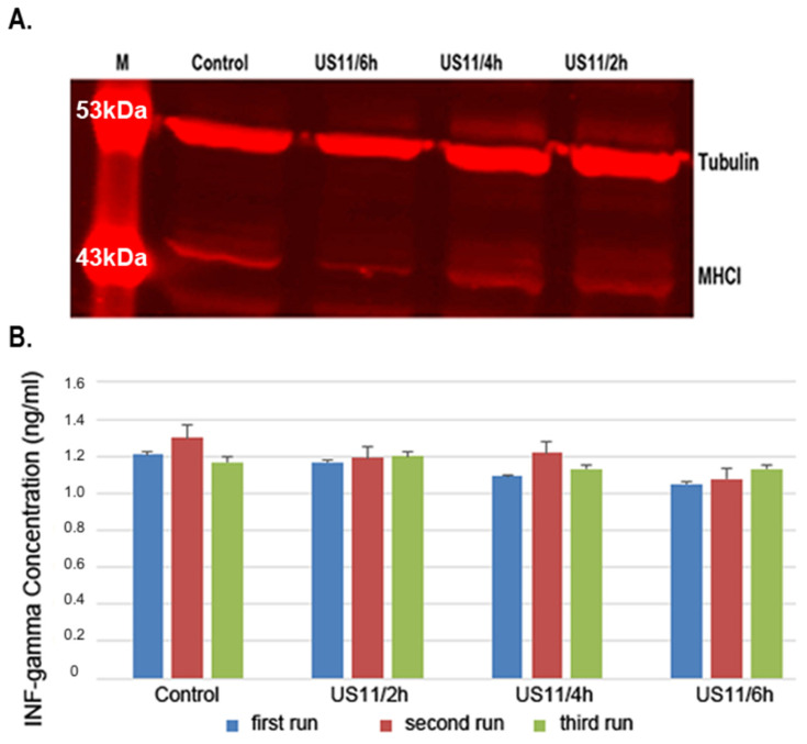
Results: US11 treatment significantly reduced MHC-I surface expression in keratinocytes. Co-cultures showed decreased IFN-γ secretion, indicating lower T cell activation. Human skin tissue stimulated with US11 exhibited reduced MHC-I expression after 7 days.

Conclusions: This proof-of-concept study suggests that recombinant US11 protein may serve as an effective biopharmaceutical to reduce keratinocyte immunogenicity. Further in vitro and in vivo studies are warranted to validate its potential for clinical application in skin transplantation.

求助全文
通过发布文献求助,成功后即可免费获取论文全文。 去求助
来源期刊
自引率
0.00%
发文量
0
×
引用
GB/T 7714-2015
复制
MLA
复制
APA
复制
导出至
BibTeX EndNote RefMan NoteFirst NoteExpress
×
提示
您的信息不完整,为了账户安全,请先补充。
现在去补充
×
提示
您因"违规操作"
具体请查看互助需知
我知道了
×
提示
确定
请完成安全验证×
copy
已复制链接
快去分享给好友吧!
我知道了
右上角分享
点击右上角分享
0
联系我们:info@booksci.cn Book学术提供免费学术资源搜索服务,方便国内外学者检索中英文文献。致力于提供最便捷和优质的服务体验。 Copyright © 2023 布克学术 All rights reserved.
京ICP备2023020795号-1
ghs 京公网安备 11010802042870号
Book学术文献互助
Book学术文献互助群
群 号:604180095
Book学术官方微信