一例罕见的朗格汉斯细胞组织细胞增多症伴不明原因的内分泌功能障碍和广泛的骨骼受累。

IF 0.4 Q3 MEDICINE, GENERAL & INTERNAL
Oxford Medical Case Reports Pub Date : 2025-09-15 eCollection Date: 2025-09-01 DOI:10.1093/omcr/omaf155
Carlos Díaz Q, Marcos Orellana, Rolando Chajon, José Valenzuela, Pedro Chajon
{"title":"一例罕见的朗格汉斯细胞组织细胞增多症伴不明原因的内分泌功能障碍和广泛的骨骼受累。","authors":"Carlos Díaz Q, Marcos Orellana, Rolando Chajon, José Valenzuela, Pedro Chajon","doi":"10.1093/omcr/omaf155","DOIUrl":null,"url":null,"abstract":"<p><p>Langerhans cell histiocytosis (LCH) is a rare disorder in which Langerhans cells infiltrate various organs, causing damage to tissues. This case describes a 6-year-old male diagnosed with LCH, who presented with worsening symptoms of fatigue, excessive thirst, polyuria, and unexplained weight gain. Radiographic findings revealed extensive osteolytic lesions in the skull and long bones, consistent with LCH. Additionally, the patient developed significant endocrine dysfunction, including hypothyroidism, diabetes insipidus, and adrenal insufficiency, as confirmed through hormonal assays and imaging. The case emphasizes the importance of considering endocrine dysfunction in patients with LCH and underscores the role of a multidisciplinary approach in managing complex cases. Hormonal replacement therapy, along with chemotherapy for LCH, was initiated, and the patient showed clinical improvement.</p>","PeriodicalId":45318,"journal":{"name":"Oxford Medical Case Reports","volume":"2025 9","pages":"omaf155"},"PeriodicalIF":0.4000,"publicationDate":"2025-09-15","publicationTypes":"Journal Article","fieldsOfStudy":null,"isOpenAccess":false,"openAccessPdf":"https://www.ncbi.nlm.nih.gov/pmc/articles/PMC12448402/pdf/","citationCount":"0","resultStr":"{\"title\":\"A rare case of Langerhans cell histiocytosis with unexplained endocrine dysfunction and extensive skeletal involvement in a Pediatric patient.\",\"authors\":\"Carlos Díaz Q, Marcos Orellana, Rolando Chajon, José Valenzuela, Pedro Chajon\",\"doi\":\"10.1093/omcr/omaf155\",\"DOIUrl\":null,\"url\":null,\"abstract\":\"<p><p>Langerhans cell histiocytosis (LCH) is a rare disorder in which Langerhans cells infiltrate various organs, causing damage to tissues. This case describes a 6-year-old male diagnosed with LCH, who presented with worsening symptoms of fatigue, excessive thirst, polyuria, and unexplained weight gain. Radiographic findings revealed extensive osteolytic lesions in the skull and long bones, consistent with LCH. Additionally, the patient developed significant endocrine dysfunction, including hypothyroidism, diabetes insipidus, and adrenal insufficiency, as confirmed through hormonal assays and imaging. The case emphasizes the importance of considering endocrine dysfunction in patients with LCH and underscores the role of a multidisciplinary approach in managing complex cases. Hormonal replacement therapy, along with chemotherapy for LCH, was initiated, and the patient showed clinical improvement.</p>\",\"PeriodicalId\":45318,\"journal\":{\"name\":\"Oxford Medical Case Reports\",\"volume\":\"2025 9\",\"pages\":\"omaf155\"},\"PeriodicalIF\":0.4000,\"publicationDate\":\"2025-09-15\",\"publicationTypes\":\"Journal Article\",\"fieldsOfStudy\":null,\"isOpenAccess\":false,\"openAccessPdf\":\"https://www.ncbi.nlm.nih.gov/pmc/articles/PMC12448402/pdf/\",\"citationCount\":\"0\",\"resultStr\":null,\"platform\":\"Semanticscholar\",\"paperid\":null,\"PeriodicalName\":\"Oxford Medical Case Reports\",\"FirstCategoryId\":\"1085\",\"ListUrlMain\":\"https://doi.org/10.1093/omcr/omaf155\",\"RegionNum\":0,\"RegionCategory\":null,\"ArticlePicture\":[],\"TitleCN\":null,\"AbstractTextCN\":null,\"PMCID\":null,\"EPubDate\":\"2025/9/1 0:00:00\",\"PubModel\":\"eCollection\",\"JCR\":\"Q3\",\"JCRName\":\"MEDICINE, GENERAL & INTERNAL\",\"Score\":null,\"Total\":0}","platform":"Semanticscholar","paperid":null,"PeriodicalName":"Oxford Medical Case Reports","FirstCategoryId":"1085","ListUrlMain":"https://doi.org/10.1093/omcr/omaf155","RegionNum":0,"RegionCategory":null,"ArticlePicture":[],"TitleCN":null,"AbstractTextCN":null,"PMCID":null,"EPubDate":"2025/9/1 0:00:00","PubModel":"eCollection","JCR":"Q3","JCRName":"MEDICINE, GENERAL & INTERNAL","Score":null,"Total":0}
引用次数: 0

摘要

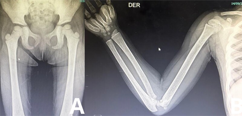
朗格汉斯细胞组织细胞增生症(LCH)是一种罕见的疾病,朗格汉斯细胞浸润到各种器官,导致组织损伤。本病例描述一名确诊为LCH的6岁男性,其表现为疲劳、过度口渴、多尿和不明原因的体重增加等症状恶化。x线检查显示颅骨和长骨有广泛的溶骨性病变,符合LCH。此外,通过激素检测和影像学证实,患者出现明显的内分泌功能障碍,包括甲状腺功能减退、尿崩症和肾上腺功能不全。该病例强调了在LCH患者中考虑内分泌功能障碍的重要性,并强调了多学科方法在管理复杂病例中的作用。激素替代治疗,以及LCH的化疗开始,患者表现出临床改善。
本文章由计算机程序翻译,如有差异,请以英文原文为准。

A rare case of Langerhans cell histiocytosis with unexplained endocrine dysfunction and extensive skeletal involvement in a Pediatric patient.

A rare case of Langerhans cell histiocytosis with unexplained endocrine dysfunction and extensive skeletal involvement in a Pediatric patient.

A rare case of Langerhans cell histiocytosis with unexplained endocrine dysfunction and extensive skeletal involvement in a Pediatric patient.

A rare case of Langerhans cell histiocytosis with unexplained endocrine dysfunction and extensive skeletal involvement in a Pediatric patient.

Langerhans cell histiocytosis (LCH) is a rare disorder in which Langerhans cells infiltrate various organs, causing damage to tissues. This case describes a 6-year-old male diagnosed with LCH, who presented with worsening symptoms of fatigue, excessive thirst, polyuria, and unexplained weight gain. Radiographic findings revealed extensive osteolytic lesions in the skull and long bones, consistent with LCH. Additionally, the patient developed significant endocrine dysfunction, including hypothyroidism, diabetes insipidus, and adrenal insufficiency, as confirmed through hormonal assays and imaging. The case emphasizes the importance of considering endocrine dysfunction in patients with LCH and underscores the role of a multidisciplinary approach in managing complex cases. Hormonal replacement therapy, along with chemotherapy for LCH, was initiated, and the patient showed clinical improvement.

求助全文
通过发布文献求助,成功后即可免费获取论文全文。 去求助
来源期刊
Oxford Medical Case Reports
Oxford Medical Case Reports MEDICINE, GENERAL & INTERNAL-
CiteScore
0.90
自引率
0.00%
发文量
125
审稿时长
19 weeks
期刊介绍: Oxford Medical Case Reports (OMCR) is an open access, peer-reviewed online journal publishing original and educationally valuable case reports that expand the field of medicine. The journal covers all medical specialities including cardiology, rheumatology, nephrology, oncology, neurology, and reproduction, comprising a comprehensive resource for physicians in all fields and at all stages of training. Oxford Medical Case Reports deposits all articles in PubMed Central (PMC). Physicians and researchers can find your work through PubMed , helping you reach the widest possible audience. The journal is also indexed in the Web of Science Core Collection . Oxford Medical Case Reports publishes case reports under the following categories: Allergy Audiovestibular medicine Cardiology and cardiovascular systems Critical care medicine Dermatology Emergency medicine Endocrinology and metabolism Gastroenterology and hepatology Geriatrics and gerontology Haematology Immunology Infectious diseases and tropical medicine Medical disorders in pregnancy Medical ophthalmology Nephrology Neurology Oncology Paediatrics Pain Palliative medicine Pharmacology and pharmacy Psychiatry Radiology, nuclear medicine, and medical imaging Respiratory disorders Rheumatology Sexual and reproductive health Sports Medicine Substance abuse.
×
引用
GB/T 7714-2015
复制
MLA
复制
APA
复制
导出至
BibTeX EndNote RefMan NoteFirst NoteExpress
×
提示
您的信息不完整,为了账户安全,请先补充。
现在去补充
×
提示
您因"违规操作"
具体请查看互助需知
我知道了
×
提示
确定
请完成安全验证×
copy
已复制链接
快去分享给好友吧!
我知道了
右上角分享
点击右上角分享
0
联系我们:info@booksci.cn Book学术提供免费学术资源搜索服务,方便国内外学者检索中英文文献。致力于提供最便捷和优质的服务体验。 Copyright © 2023 布克学术 All rights reserved.
京ICP备2023020795号-1
ghs 京公网安备 11010802042870号
Book学术文献互助
Book学术文献互助群
群 号:604180095
Book学术官方微信