放疗引起的儿童白血病幸存者胸膜间皮瘤1例报告。

IF 0.8 Q4 RESPIRATORY SYSTEM
Respirology Case Reports Pub Date : 2025-09-18 eCollection Date: 2025-09-01 DOI:10.1002/rcr2.70342
Sho Saeki, Rin Kurosawa, Akihiro Yamada, Minori Shimamura, Megumi Inaba, Takahiro Tashiro, Akiko Sakagami, Naomi Hirata, Yasumiko Jodai, Shinji Iyama, Yusuke Tomita, Takuro Sakagami
{"title":"放疗引起的儿童白血病幸存者胸膜间皮瘤1例报告。","authors":"Sho Saeki, Rin Kurosawa, Akihiro Yamada, Minori Shimamura, Megumi Inaba, Takahiro Tashiro, Akiko Sakagami, Naomi Hirata, Yasumiko Jodai, Shinji Iyama, Yusuke Tomita, Takuro Sakagami","doi":"10.1002/rcr2.70342","DOIUrl":null,"url":null,"abstract":"<p><p>We report the case of a 41-year-old woman who developed an epithelioid-type pleural mesothelioma (PM) decades after treatment for childhood acute myeloid leukaemia (AML), who was treated with chemotherapy and total body irradiation (TBI). The diagnosis was confirmed by thoracoscopic pleural biopsy and immunohistochemical staining. Although PM is classically associated with asbestos exposure, the patient had no known history of exposure. This case report highlights the fact that PM can occur as a late-onset secondary malignancy following radiation therapy in childhood cancer survivors. Although radiation-induced PM has been reported primarily in survivors of Hodgkin lymphoma or breast cancer, incidences following treatment for leukaemia are exceptionally rare. This case report highlights the importance of considering prior therapeutic irradiation, including total-body irradiation, as a potential etiological factor for non-asbestos-related PM. It also emphasises the need for the long-term surveillance and monitoring of childhood cancer survivors, particularly those who have received radiation therapy.</p>","PeriodicalId":45846,"journal":{"name":"Respirology Case Reports","volume":"13 9","pages":"e70342"},"PeriodicalIF":0.8000,"publicationDate":"2025-09-18","publicationTypes":"Journal Article","fieldsOfStudy":null,"isOpenAccess":false,"openAccessPdf":"https://www.ncbi.nlm.nih.gov/pmc/articles/PMC12446080/pdf/","citationCount":"0","resultStr":"{\"title\":\"Radiotherapy-Induced Pleural Mesothelioma in a Childhood Leukaemia Survivor: A Case Report.\",\"authors\":\"Sho Saeki, Rin Kurosawa, Akihiro Yamada, Minori Shimamura, Megumi Inaba, Takahiro Tashiro, Akiko Sakagami, Naomi Hirata, Yasumiko Jodai, Shinji Iyama, Yusuke Tomita, Takuro Sakagami\",\"doi\":\"10.1002/rcr2.70342\",\"DOIUrl\":null,\"url\":null,\"abstract\":\"<p><p>We report the case of a 41-year-old woman who developed an epithelioid-type pleural mesothelioma (PM) decades after treatment for childhood acute myeloid leukaemia (AML), who was treated with chemotherapy and total body irradiation (TBI). The diagnosis was confirmed by thoracoscopic pleural biopsy and immunohistochemical staining. Although PM is classically associated with asbestos exposure, the patient had no known history of exposure. This case report highlights the fact that PM can occur as a late-onset secondary malignancy following radiation therapy in childhood cancer survivors. Although radiation-induced PM has been reported primarily in survivors of Hodgkin lymphoma or breast cancer, incidences following treatment for leukaemia are exceptionally rare. This case report highlights the importance of considering prior therapeutic irradiation, including total-body irradiation, as a potential etiological factor for non-asbestos-related PM. It also emphasises the need for the long-term surveillance and monitoring of childhood cancer survivors, particularly those who have received radiation therapy.</p>\",\"PeriodicalId\":45846,\"journal\":{\"name\":\"Respirology Case Reports\",\"volume\":\"13 9\",\"pages\":\"e70342\"},\"PeriodicalIF\":0.8000,\"publicationDate\":\"2025-09-18\",\"publicationTypes\":\"Journal Article\",\"fieldsOfStudy\":null,\"isOpenAccess\":false,\"openAccessPdf\":\"https://www.ncbi.nlm.nih.gov/pmc/articles/PMC12446080/pdf/\",\"citationCount\":\"0\",\"resultStr\":null,\"platform\":\"Semanticscholar\",\"paperid\":null,\"PeriodicalName\":\"Respirology Case Reports\",\"FirstCategoryId\":\"1085\",\"ListUrlMain\":\"https://doi.org/10.1002/rcr2.70342\",\"RegionNum\":0,\"RegionCategory\":null,\"ArticlePicture\":[],\"TitleCN\":null,\"AbstractTextCN\":null,\"PMCID\":null,\"EPubDate\":\"2025/9/1 0:00:00\",\"PubModel\":\"eCollection\",\"JCR\":\"Q4\",\"JCRName\":\"RESPIRATORY SYSTEM\",\"Score\":null,\"Total\":0}","platform":"Semanticscholar","paperid":null,"PeriodicalName":"Respirology Case Reports","FirstCategoryId":"1085","ListUrlMain":"https://doi.org/10.1002/rcr2.70342","RegionNum":0,"RegionCategory":null,"ArticlePicture":[],"TitleCN":null,"AbstractTextCN":null,"PMCID":null,"EPubDate":"2025/9/1 0:00:00","PubModel":"eCollection","JCR":"Q4","JCRName":"RESPIRATORY SYSTEM","Score":null,"Total":0}
引用次数: 0

摘要

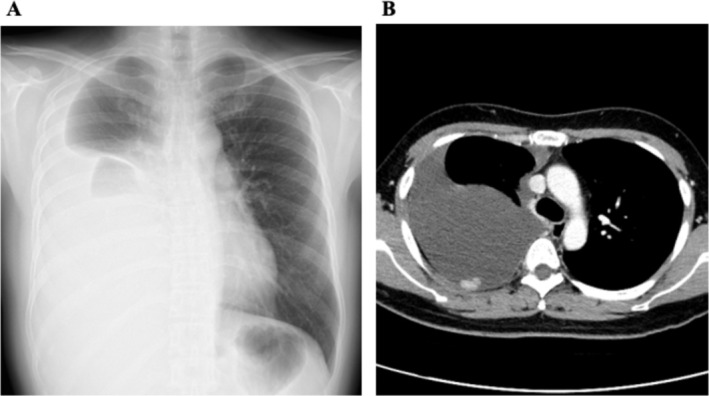
我们报告了一例41岁的妇女,她在治疗儿童急性髓性白血病(AML)几十年后发展为上皮样胸膜间皮瘤(PM),她接受了化疗和全身照射(TBI)治疗。经胸腔镜胸膜活检及免疫组化染色证实。虽然PM通常与石棉接触有关,但患者没有已知的接触史。本病例报告强调了这样一个事实,即PM可以作为放射治疗后儿童癌症幸存者的晚发继发性恶性肿瘤发生。虽然辐射诱发的PM主要发生在霍奇金淋巴瘤或乳腺癌的幸存者中,但白血病治疗后的发病率非常罕见。本病例报告强调了考虑既往治疗照射的重要性,包括全身照射,作为非石棉相关PM的潜在病因因素。它还强调需要对儿童癌症幸存者,特别是接受过放射治疗的儿童进行长期监测和监测。
本文章由计算机程序翻译,如有差异,请以英文原文为准。

Radiotherapy-Induced Pleural Mesothelioma in a Childhood Leukaemia Survivor: A Case Report.

Radiotherapy-Induced Pleural Mesothelioma in a Childhood Leukaemia Survivor: A Case Report.

Radiotherapy-Induced Pleural Mesothelioma in a Childhood Leukaemia Survivor: A Case Report.

Radiotherapy-Induced Pleural Mesothelioma in a Childhood Leukaemia Survivor: A Case Report.

We report the case of a 41-year-old woman who developed an epithelioid-type pleural mesothelioma (PM) decades after treatment for childhood acute myeloid leukaemia (AML), who was treated with chemotherapy and total body irradiation (TBI). The diagnosis was confirmed by thoracoscopic pleural biopsy and immunohistochemical staining. Although PM is classically associated with asbestos exposure, the patient had no known history of exposure. This case report highlights the fact that PM can occur as a late-onset secondary malignancy following radiation therapy in childhood cancer survivors. Although radiation-induced PM has been reported primarily in survivors of Hodgkin lymphoma or breast cancer, incidences following treatment for leukaemia are exceptionally rare. This case report highlights the importance of considering prior therapeutic irradiation, including total-body irradiation, as a potential etiological factor for non-asbestos-related PM. It also emphasises the need for the long-term surveillance and monitoring of childhood cancer survivors, particularly those who have received radiation therapy.

求助全文
通过发布文献求助,成功后即可免费获取论文全文。 去求助
来源期刊
Respirology Case Reports
Respirology Case Reports RESPIRATORY SYSTEM-
CiteScore
1.40
自引率
0.00%
发文量
178
审稿时长
8 weeks
期刊介绍: Respirology Case Reports is an open-access online journal dedicated to the publication of original clinical case reports, case series, clinical images and clinical videos in all fields of respiratory medicine. The Journal encourages the international exchange between clinicians and researchers of experiences in diagnosing and treating uncommon diseases or diseases with unusual presentations. All manuscripts are peer-reviewed through a streamlined process that aims at providing a rapid turnaround time from submission to publication.
×
引用
GB/T 7714-2015
复制
MLA
复制
APA
复制
导出至
BibTeX EndNote RefMan NoteFirst NoteExpress
×
提示
您的信息不完整,为了账户安全,请先补充。
现在去补充
×
提示
您因"违规操作"
具体请查看互助需知
我知道了
×
提示
确定
请完成安全验证×
copy
已复制链接
快去分享给好友吧!
我知道了
右上角分享
点击右上角分享
0
联系我们:info@booksci.cn Book学术提供免费学术资源搜索服务,方便国内外学者检索中英文文献。致力于提供最便捷和优质的服务体验。 Copyright © 2023 布克学术 All rights reserved.
京ICP备2023020795号-1
ghs 京公网安备 11010802042870号
Book学术文献互助
Book学术文献互助群
群 号:604180095
Book学术官方微信