吸入山药念珠致支气管异物吸入并持续咳嗽1例。

IF 0.8 Q4 RESPIRATORY SYSTEM
Respirology Case Reports Pub Date : 2025-09-18 eCollection Date: 2025-09-01 DOI:10.1002/rcr2.70346
Takayuki Yamamoto, Yukihiro Sugimoto, Yu Tsukasa, Ririko Shinozaki, Daiki Hasama, Ryota Aoki, Hirofumi Nakano, Sosei Abe, Masanori Takayama
{"title":"吸入山药念珠致支气管异物吸入并持续咳嗽1例。","authors":"Takayuki Yamamoto, Yukihiro Sugimoto, Yu Tsukasa, Ririko Shinozaki, Daiki Hasama, Ryota Aoki, Hirofumi Nakano, Sosei Abe, Masanori Takayama","doi":"10.1002/rcr2.70346","DOIUrl":null,"url":null,"abstract":"<p><p>An 85-year-old man presented with a persistent cough accompanied by sputum production. He was initially treated with antibiotics and expectorants but showed no improvement. Chest computed tomography revealed a dense nodule in the right bronchus intermedius. On detailed history-taking, he recalled eating mukago-a small edible bulbil of <i>Dioscorea japonica</i> that is occasionally consumed in Japan-shortly before symptom onset. Flexible bronchoscopy identified an oval, hard foreign body lodged in the bronchus, which was successfully removed using biopsy forceps. The extracted object was confirmed to be a mukago. His cough disappeared after removal. Our case highlights the importance of considering foreign body aspiration in elderly patients presenting with unexplained chronic cough, even in the absence of overt choking episodes. Thorough dietary history-taking, appropriate imaging, and bronchoscopy are essential for timely diagnosis and effective management of foreign body aspiration.</p>","PeriodicalId":45846,"journal":{"name":"Respirology Case Reports","volume":"13 9","pages":"e70346"},"PeriodicalIF":0.8000,"publicationDate":"2025-09-18","publicationTypes":"Journal Article","fieldsOfStudy":null,"isOpenAccess":false,"openAccessPdf":"https://www.ncbi.nlm.nih.gov/pmc/articles/PMC12444646/pdf/","citationCount":"0","resultStr":"{\"title\":\"A Case of Bronchial Foreign Body Aspiration Caused by Inhaling a Mukago (Edible Yam Bulbil) Presenting With Persistent Cough.\",\"authors\":\"Takayuki Yamamoto, Yukihiro Sugimoto, Yu Tsukasa, Ririko Shinozaki, Daiki Hasama, Ryota Aoki, Hirofumi Nakano, Sosei Abe, Masanori Takayama\",\"doi\":\"10.1002/rcr2.70346\",\"DOIUrl\":null,\"url\":null,\"abstract\":\"<p><p>An 85-year-old man presented with a persistent cough accompanied by sputum production. He was initially treated with antibiotics and expectorants but showed no improvement. Chest computed tomography revealed a dense nodule in the right bronchus intermedius. On detailed history-taking, he recalled eating mukago-a small edible bulbil of <i>Dioscorea japonica</i> that is occasionally consumed in Japan-shortly before symptom onset. Flexible bronchoscopy identified an oval, hard foreign body lodged in the bronchus, which was successfully removed using biopsy forceps. The extracted object was confirmed to be a mukago. His cough disappeared after removal. Our case highlights the importance of considering foreign body aspiration in elderly patients presenting with unexplained chronic cough, even in the absence of overt choking episodes. Thorough dietary history-taking, appropriate imaging, and bronchoscopy are essential for timely diagnosis and effective management of foreign body aspiration.</p>\",\"PeriodicalId\":45846,\"journal\":{\"name\":\"Respirology Case Reports\",\"volume\":\"13 9\",\"pages\":\"e70346\"},\"PeriodicalIF\":0.8000,\"publicationDate\":\"2025-09-18\",\"publicationTypes\":\"Journal Article\",\"fieldsOfStudy\":null,\"isOpenAccess\":false,\"openAccessPdf\":\"https://www.ncbi.nlm.nih.gov/pmc/articles/PMC12444646/pdf/\",\"citationCount\":\"0\",\"resultStr\":null,\"platform\":\"Semanticscholar\",\"paperid\":null,\"PeriodicalName\":\"Respirology Case Reports\",\"FirstCategoryId\":\"1085\",\"ListUrlMain\":\"https://doi.org/10.1002/rcr2.70346\",\"RegionNum\":0,\"RegionCategory\":null,\"ArticlePicture\":[],\"TitleCN\":null,\"AbstractTextCN\":null,\"PMCID\":null,\"EPubDate\":\"2025/9/1 0:00:00\",\"PubModel\":\"eCollection\",\"JCR\":\"Q4\",\"JCRName\":\"RESPIRATORY SYSTEM\",\"Score\":null,\"Total\":0}","platform":"Semanticscholar","paperid":null,"PeriodicalName":"Respirology Case Reports","FirstCategoryId":"1085","ListUrlMain":"https://doi.org/10.1002/rcr2.70346","RegionNum":0,"RegionCategory":null,"ArticlePicture":[],"TitleCN":null,"AbstractTextCN":null,"PMCID":null,"EPubDate":"2025/9/1 0:00:00","PubModel":"eCollection","JCR":"Q4","JCRName":"RESPIRATORY SYSTEM","Score":null,"Total":0}
引用次数: 0

摘要

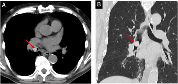
85岁男性,持续咳嗽伴咳痰。他最初接受了抗生素和祛痰药治疗,但没有任何改善。胸部计算机断层扫描显示右侧支气管中间部有致密结节。在详细的历史记录中,他回忆说,在症状出现前不久,他吃了一种日本薯蓣(Dioscorea japonica)的可食用小球茎,在日本偶尔食用。柔性支气管镜检查发现一个椭圆形的硬异物卡在支气管内,使用活检钳成功地将其取出。被提取的物体被证实是一件木槿花。摘除后他的咳嗽消失了。我们的病例强调了在出现不明原因慢性咳嗽的老年患者中考虑异物吸入的重要性,即使没有明显的窒息发作。彻底的饮食史记录,适当的影像学检查和支气管镜检查是及时诊断和有效处理异物吸入的必要条件。
本文章由计算机程序翻译,如有差异,请以英文原文为准。

A Case of Bronchial Foreign Body Aspiration Caused by Inhaling a Mukago (Edible Yam Bulbil) Presenting With Persistent Cough.

A Case of Bronchial Foreign Body Aspiration Caused by Inhaling a Mukago (Edible Yam Bulbil) Presenting With Persistent Cough.

A Case of Bronchial Foreign Body Aspiration Caused by Inhaling a Mukago (Edible Yam Bulbil) Presenting With Persistent Cough.

A Case of Bronchial Foreign Body Aspiration Caused by Inhaling a Mukago (Edible Yam Bulbil) Presenting With Persistent Cough.

An 85-year-old man presented with a persistent cough accompanied by sputum production. He was initially treated with antibiotics and expectorants but showed no improvement. Chest computed tomography revealed a dense nodule in the right bronchus intermedius. On detailed history-taking, he recalled eating mukago-a small edible bulbil of Dioscorea japonica that is occasionally consumed in Japan-shortly before symptom onset. Flexible bronchoscopy identified an oval, hard foreign body lodged in the bronchus, which was successfully removed using biopsy forceps. The extracted object was confirmed to be a mukago. His cough disappeared after removal. Our case highlights the importance of considering foreign body aspiration in elderly patients presenting with unexplained chronic cough, even in the absence of overt choking episodes. Thorough dietary history-taking, appropriate imaging, and bronchoscopy are essential for timely diagnosis and effective management of foreign body aspiration.

求助全文
通过发布文献求助,成功后即可免费获取论文全文。 去求助
来源期刊
Respirology Case Reports
Respirology Case Reports RESPIRATORY SYSTEM-
CiteScore
1.40
自引率
0.00%
发文量
178
审稿时长
8 weeks
期刊介绍: Respirology Case Reports is an open-access online journal dedicated to the publication of original clinical case reports, case series, clinical images and clinical videos in all fields of respiratory medicine. The Journal encourages the international exchange between clinicians and researchers of experiences in diagnosing and treating uncommon diseases or diseases with unusual presentations. All manuscripts are peer-reviewed through a streamlined process that aims at providing a rapid turnaround time from submission to publication.
×
引用
GB/T 7714-2015
复制
MLA
复制
APA
复制
导出至
BibTeX EndNote RefMan NoteFirst NoteExpress
×
提示
您的信息不完整,为了账户安全,请先补充。
现在去补充
×
提示
您因"违规操作"
具体请查看互助需知
我知道了
×
提示
确定
请完成安全验证×
copy
已复制链接
快去分享给好友吧!
我知道了
右上角分享
点击右上角分享
0
联系我们:info@booksci.cn Book学术提供免费学术资源搜索服务,方便国内外学者检索中英文文献。致力于提供最便捷和优质的服务体验。 Copyright © 2023 布克学术 All rights reserved.
京ICP备2023020795号-1
ghs 京公网安备 11010802042870号
Book学术文献互助
Book学术文献互助群
群 号:604180095
Book学术官方微信