在伴有β-Catenin异常表达的肺腺癌中,SMARCA2缺失同时保留SMARCA4。

IF 2.6 4区 医学 Q3 ONCOLOGY
Cancer Management and Research Pub Date : 2025-09-12 eCollection Date: 2025-01-01 DOI:10.2147/CMAR.S533790
Xiaomin Dai, Xiaoyue Feng, Jing Li, Fang Peng
{"title":"在伴有β-Catenin异常表达的肺腺癌中,SMARCA2缺失同时保留SMARCA4。","authors":"Xiaomin Dai, Xiaoyue Feng, Jing Li, Fang Peng","doi":"10.2147/CMAR.S533790","DOIUrl":null,"url":null,"abstract":"<p><strong>Background: </strong>The SWI/SNF complex is comprised of ATPase catalytic subunit SMARCA4/SMARCA2, evolutionarily conserved core subunits including SMARCB1, SMARCC1, and SMARCC2, as well as functionally specialized accessory subunits PBRM1 and ARID1A. Deletion or mutation of the catalytic subunit can lead to inactivation of the encoded protein and impaired overall function of the complex, contributing to tumorigenesis.</p><p><strong>Methods: </strong>In this study, we conducted a retrospective analysis of seven cases of poorly differentiated lung adenocarcinoma from our institution that exhibited SMARCA2 deficiency while retaining SMARCA4 expression, and systematically evaluated the clinical characteristics, histological features, genetic alterations, and survival outcomes.</p><p><strong>Results: </strong>Among the seven cases of SMARCA2-deficient lung adenocarcinoma, five were male and two were female, with an average age of 68.7 years. Four patients had a smoking history averaging 35 years, all seven patients exhibited respiratory symptoms. Histologically, these tumors displayed diverse features, including rhabdoid morphology, giant cells, and necrotic areas. The tumor cells exhibited eosinophilic cytoplasm, large nuclei with prominent nucleoli. Immunohistochemically, the tumor cells revealed SMARCA2 negativity with SMARCA4 expression. P53 staining revealed diffuse strong nuclear expression in 5 cases and complete absence expression in 2 cases. β-catenin expression was partially abnormal in 3 cases, with positive nuclear and cytoplasmic staining. PD-L1 expression was detected as positive in 5 cases. Next-generation sequencing identified mutations in driver genes KRAS, MET, and EGFR in 4 cases, and TP53 mutations in 7 cases. Clinical follow-up revealed that 2 patients died of tumor progression, 5 patients achieved complete response within a follow-up period of 10 to 33 months (median = 18.3 m).</p><p><strong>Conclusion: </strong>SMARCA2-deficient with SMARCA4-preserved lung adenocarcinomas demonstrate substantial histological heterogeneity and may dedifferentiate into high-grade adenocarcinomas harboring TP53 mutations. In the assessment of poorly differentiated lung adenocarcinoma, immunohistochemical detection can identify this subtype for more precise clinical treatment strategies.</p>","PeriodicalId":9479,"journal":{"name":"Cancer Management and Research","volume":"17 ","pages":"1961-1970"},"PeriodicalIF":2.6000,"publicationDate":"2025-09-12","publicationTypes":"Journal Article","fieldsOfStudy":null,"isOpenAccess":false,"openAccessPdf":"https://www.ncbi.nlm.nih.gov/pmc/articles/PMC12439815/pdf/","citationCount":"0","resultStr":"{\"title\":\"SMARCA2 Deficiency While Preserving SMARCA4 in Lung Adenocarcinoma Combined with Abnormal β-Catenin Expression.\",\"authors\":\"Xiaomin Dai, Xiaoyue Feng, Jing Li, Fang Peng\",\"doi\":\"10.2147/CMAR.S533790\",\"DOIUrl\":null,\"url\":null,\"abstract\":\"<p><strong>Background: </strong>The SWI/SNF complex is comprised of ATPase catalytic subunit SMARCA4/SMARCA2, evolutionarily conserved core subunits including SMARCB1, SMARCC1, and SMARCC2, as well as functionally specialized accessory subunits PBRM1 and ARID1A. Deletion or mutation of the catalytic subunit can lead to inactivation of the encoded protein and impaired overall function of the complex, contributing to tumorigenesis.</p><p><strong>Methods: </strong>In this study, we conducted a retrospective analysis of seven cases of poorly differentiated lung adenocarcinoma from our institution that exhibited SMARCA2 deficiency while retaining SMARCA4 expression, and systematically evaluated the clinical characteristics, histological features, genetic alterations, and survival outcomes.</p><p><strong>Results: </strong>Among the seven cases of SMARCA2-deficient lung adenocarcinoma, five were male and two were female, with an average age of 68.7 years. Four patients had a smoking history averaging 35 years, all seven patients exhibited respiratory symptoms. Histologically, these tumors displayed diverse features, including rhabdoid morphology, giant cells, and necrotic areas. The tumor cells exhibited eosinophilic cytoplasm, large nuclei with prominent nucleoli. Immunohistochemically, the tumor cells revealed SMARCA2 negativity with SMARCA4 expression. P53 staining revealed diffuse strong nuclear expression in 5 cases and complete absence expression in 2 cases. β-catenin expression was partially abnormal in 3 cases, with positive nuclear and cytoplasmic staining. PD-L1 expression was detected as positive in 5 cases. Next-generation sequencing identified mutations in driver genes KRAS, MET, and EGFR in 4 cases, and TP53 mutations in 7 cases. Clinical follow-up revealed that 2 patients died of tumor progression, 5 patients achieved complete response within a follow-up period of 10 to 33 months (median = 18.3 m).</p><p><strong>Conclusion: </strong>SMARCA2-deficient with SMARCA4-preserved lung adenocarcinomas demonstrate substantial histological heterogeneity and may dedifferentiate into high-grade adenocarcinomas harboring TP53 mutations. In the assessment of poorly differentiated lung adenocarcinoma, immunohistochemical detection can identify this subtype for more precise clinical treatment strategies.</p>\",\"PeriodicalId\":9479,\"journal\":{\"name\":\"Cancer Management and Research\",\"volume\":\"17 \",\"pages\":\"1961-1970\"},\"PeriodicalIF\":2.6000,\"publicationDate\":\"2025-09-12\",\"publicationTypes\":\"Journal Article\",\"fieldsOfStudy\":null,\"isOpenAccess\":false,\"openAccessPdf\":\"https://www.ncbi.nlm.nih.gov/pmc/articles/PMC12439815/pdf/\",\"citationCount\":\"0\",\"resultStr\":null,\"platform\":\"Semanticscholar\",\"paperid\":null,\"PeriodicalName\":\"Cancer Management and Research\",\"FirstCategoryId\":\"3\",\"ListUrlMain\":\"https://doi.org/10.2147/CMAR.S533790\",\"RegionNum\":4,\"RegionCategory\":\"医学\",\"ArticlePicture\":[],\"TitleCN\":null,\"AbstractTextCN\":null,\"PMCID\":null,\"EPubDate\":\"2025/1/1 0:00:00\",\"PubModel\":\"eCollection\",\"JCR\":\"Q3\",\"JCRName\":\"ONCOLOGY\",\"Score\":null,\"Total\":0}","platform":"Semanticscholar","paperid":null,"PeriodicalName":"Cancer Management and Research","FirstCategoryId":"3","ListUrlMain":"https://doi.org/10.2147/CMAR.S533790","RegionNum":4,"RegionCategory":"医学","ArticlePicture":[],"TitleCN":null,"AbstractTextCN":null,"PMCID":null,"EPubDate":"2025/1/1 0:00:00","PubModel":"eCollection","JCR":"Q3","JCRName":"ONCOLOGY","Score":null,"Total":0}
引用次数: 0

摘要

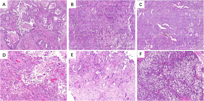
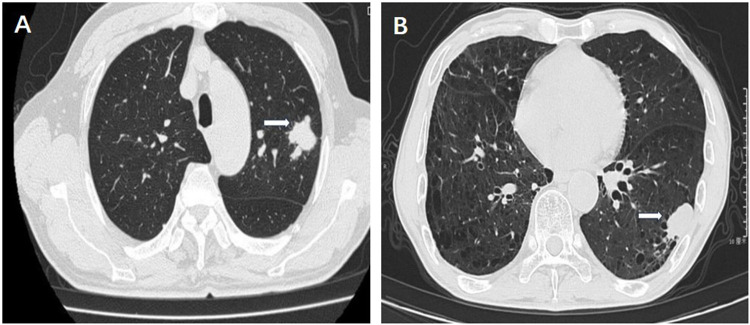
背景:SWI/SNF复合物由atp酶催化亚基SMARCA4/SMARCA2,进化上保守的核心亚基包括SMARCB1、SMARCC1和SMARCC2,以及功能上特殊的附属亚基PBRM1和ARID1A组成。催化亚基的缺失或突变可导致编码蛋白的失活和复合物的整体功能受损,从而导致肿瘤发生。方法:在本研究中,我们回顾性分析了我院7例表现为SMARCA2缺乏但保留SMARCA4表达的低分化肺腺癌,并系统评估了临床特征、组织学特征、遗传改变和生存结果。结果:7例smarca2缺失型肺腺癌中,男性5例,女性2例,平均年龄68.7岁。4例患者有平均35年的吸烟史,7例患者均有呼吸道症状。组织学上,这些肿瘤表现出多种特征,包括横纹肌样形态、巨细胞和坏死区。肿瘤细胞表现为嗜酸性细胞质,细胞核大,核仁突出。免疫组化结果显示,肿瘤细胞SMARCA2阴性,SMARCA4表达。P53染色显示5例弥漫强核表达,2例完全不表达。3例β-catenin表达部分异常,细胞核和细胞质染色阳性。5例PD-L1表达阳性。新一代测序发现驱动基因KRAS、MET和EGFR突变4例,TP53突变7例。临床随访显示,2例患者因肿瘤进展死亡,5例患者在随访10 ~ 33个月(中位= 18.3 m)内达到完全缓解。结论:smarca2缺失伴smarca4保存的肺腺癌表现出明显的组织学异质性,并可能去分化为含有TP53突变的高级别腺癌。在低分化肺腺癌的评估中,免疫组织化学检测可以识别该亚型,为更精确的临床治疗策略提供依据。
本文章由计算机程序翻译,如有差异,请以英文原文为准。

SMARCA2 Deficiency While Preserving SMARCA4 in Lung Adenocarcinoma Combined with Abnormal β-Catenin Expression.

SMARCA2 Deficiency While Preserving SMARCA4 in Lung Adenocarcinoma Combined with Abnormal β-Catenin Expression.

SMARCA2 Deficiency While Preserving SMARCA4 in Lung Adenocarcinoma Combined with Abnormal β-Catenin Expression.

SMARCA2 Deficiency While Preserving SMARCA4 in Lung Adenocarcinoma Combined with Abnormal β-Catenin Expression.

Background: The SWI/SNF complex is comprised of ATPase catalytic subunit SMARCA4/SMARCA2, evolutionarily conserved core subunits including SMARCB1, SMARCC1, and SMARCC2, as well as functionally specialized accessory subunits PBRM1 and ARID1A. Deletion or mutation of the catalytic subunit can lead to inactivation of the encoded protein and impaired overall function of the complex, contributing to tumorigenesis.

Methods: In this study, we conducted a retrospective analysis of seven cases of poorly differentiated lung adenocarcinoma from our institution that exhibited SMARCA2 deficiency while retaining SMARCA4 expression, and systematically evaluated the clinical characteristics, histological features, genetic alterations, and survival outcomes.

Results: Among the seven cases of SMARCA2-deficient lung adenocarcinoma, five were male and two were female, with an average age of 68.7 years. Four patients had a smoking history averaging 35 years, all seven patients exhibited respiratory symptoms. Histologically, these tumors displayed diverse features, including rhabdoid morphology, giant cells, and necrotic areas. The tumor cells exhibited eosinophilic cytoplasm, large nuclei with prominent nucleoli. Immunohistochemically, the tumor cells revealed SMARCA2 negativity with SMARCA4 expression. P53 staining revealed diffuse strong nuclear expression in 5 cases and complete absence expression in 2 cases. β-catenin expression was partially abnormal in 3 cases, with positive nuclear and cytoplasmic staining. PD-L1 expression was detected as positive in 5 cases. Next-generation sequencing identified mutations in driver genes KRAS, MET, and EGFR in 4 cases, and TP53 mutations in 7 cases. Clinical follow-up revealed that 2 patients died of tumor progression, 5 patients achieved complete response within a follow-up period of 10 to 33 months (median = 18.3 m).

Conclusion: SMARCA2-deficient with SMARCA4-preserved lung adenocarcinomas demonstrate substantial histological heterogeneity and may dedifferentiate into high-grade adenocarcinomas harboring TP53 mutations. In the assessment of poorly differentiated lung adenocarcinoma, immunohistochemical detection can identify this subtype for more precise clinical treatment strategies.

求助全文
通过发布文献求助,成功后即可免费获取论文全文。 去求助
来源期刊
Cancer Management and Research
Cancer Management and Research Medicine-Oncology
CiteScore
7.40
自引率
0.00%
发文量
448
审稿时长
16 weeks
期刊介绍: Cancer Management and Research is an international, peer reviewed, open access journal focusing on cancer research and the optimal use of preventative and integrated treatment interventions to achieve improved outcomes, enhanced survival, and quality of life for cancer patients. Specific topics covered in the journal include: ◦Epidemiology, detection and screening ◦Cellular research and biomarkers ◦Identification of biotargets and agents with novel mechanisms of action ◦Optimal clinical use of existing anticancer agents, including combination therapies ◦Radiation and surgery ◦Palliative care ◦Patient adherence, quality of life, satisfaction The journal welcomes submitted papers covering original research, basic science, clinical & epidemiological studies, reviews & evaluations, guidelines, expert opinion and commentary, and case series that shed novel insights on a disease or disease subtype.
×
引用
GB/T 7714-2015
复制
MLA
复制
APA
复制
导出至
BibTeX EndNote RefMan NoteFirst NoteExpress
×
提示
您的信息不完整,为了账户安全,请先补充。
现在去补充
×
提示
您因"违规操作"
具体请查看互助需知
我知道了
×
提示
确定
请完成安全验证×
copy
已复制链接
快去分享给好友吧!
我知道了
右上角分享
点击右上角分享
0
联系我们:info@booksci.cn Book学术提供免费学术资源搜索服务,方便国内外学者检索中英文文献。致力于提供最便捷和优质的服务体验。 Copyright © 2023 布克学术 All rights reserved.
京ICP备2023020795号-1
ghs 京公网安备 11010802042870号
Book学术文献互助
Book学术文献互助群
群 号:604180095
Book学术官方微信