儿科bennett等效骨折的临床观察和治疗:病例报告和文献回顾。

IF 1.8 Q3 ORTHOPEDICS
Daniel A Nemirov, Pedro K Beredjiklian, Gregory G Gallant
{"title":"儿科bennett等效骨折的临床观察和治疗:病例报告和文献回顾。","authors":"Daniel A Nemirov, Pedro K Beredjiklian, Gregory G Gallant","doi":"10.22038/ABJS.2025.86413.3929","DOIUrl":null,"url":null,"abstract":"<p><p>Pediatric Bennett-equivalent type fractures represent an uncommon yet consequential source of morbidity and diagnostic complexity. Despite the remarkable remodeling potential and resiliency of the pediatric patient population, if managed inappropriately, these injuries are associated with multiple sequelae such as residual deformity, pain, functional limitations, and prospective accelerated arthrosis. Given the paucity of literature and absence of prospective, rigorous trials, the optimal management of these injuries remains contentious. The present study exhibits the authors' experience with two pediatric Bennett-equivalent fractures, one managed conservatively and one operatively, highlighting the necessity for provider vigilance and attentiveness in recognizing and treating these injuries.</p>","PeriodicalId":46704,"journal":{"name":"Archives of Bone and Joint Surgery-ABJS","volume":"13 8","pages":"526-531"},"PeriodicalIF":1.8000,"publicationDate":"2025-01-01","publicationTypes":"Journal Article","fieldsOfStudy":null,"isOpenAccess":false,"openAccessPdf":"https://www.ncbi.nlm.nih.gov/pmc/articles/PMC12432826/pdf/","citationCount":"0","resultStr":"{\"title\":\"Clinical Insights and Management of Pediatric Bennett-Equivalent Fractures: Case Report and Literature Review.\",\"authors\":\"Daniel A Nemirov, Pedro K Beredjiklian, Gregory G Gallant\",\"doi\":\"10.22038/ABJS.2025.86413.3929\",\"DOIUrl\":null,\"url\":null,\"abstract\":\"<p><p>Pediatric Bennett-equivalent type fractures represent an uncommon yet consequential source of morbidity and diagnostic complexity. Despite the remarkable remodeling potential and resiliency of the pediatric patient population, if managed inappropriately, these injuries are associated with multiple sequelae such as residual deformity, pain, functional limitations, and prospective accelerated arthrosis. Given the paucity of literature and absence of prospective, rigorous trials, the optimal management of these injuries remains contentious. The present study exhibits the authors' experience with two pediatric Bennett-equivalent fractures, one managed conservatively and one operatively, highlighting the necessity for provider vigilance and attentiveness in recognizing and treating these injuries.</p>\",\"PeriodicalId\":46704,\"journal\":{\"name\":\"Archives of Bone and Joint Surgery-ABJS\",\"volume\":\"13 8\",\"pages\":\"526-531\"},\"PeriodicalIF\":1.8000,\"publicationDate\":\"2025-01-01\",\"publicationTypes\":\"Journal Article\",\"fieldsOfStudy\":null,\"isOpenAccess\":false,\"openAccessPdf\":\"https://www.ncbi.nlm.nih.gov/pmc/articles/PMC12432826/pdf/\",\"citationCount\":\"0\",\"resultStr\":null,\"platform\":\"Semanticscholar\",\"paperid\":null,\"PeriodicalName\":\"Archives of Bone and Joint Surgery-ABJS\",\"FirstCategoryId\":\"1085\",\"ListUrlMain\":\"https://doi.org/10.22038/ABJS.2025.86413.3929\",\"RegionNum\":0,\"RegionCategory\":null,\"ArticlePicture\":[],\"TitleCN\":null,\"AbstractTextCN\":null,\"PMCID\":null,\"EPubDate\":\"\",\"PubModel\":\"\",\"JCR\":\"Q3\",\"JCRName\":\"ORTHOPEDICS\",\"Score\":null,\"Total\":0}","platform":"Semanticscholar","paperid":null,"PeriodicalName":"Archives of Bone and Joint Surgery-ABJS","FirstCategoryId":"1085","ListUrlMain":"https://doi.org/10.22038/ABJS.2025.86413.3929","RegionNum":0,"RegionCategory":null,"ArticlePicture":[],"TitleCN":null,"AbstractTextCN":null,"PMCID":null,"EPubDate":"","PubModel":"","JCR":"Q3","JCRName":"ORTHOPEDICS","Score":null,"Total":0}
引用次数: 0

摘要

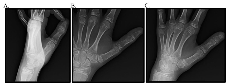
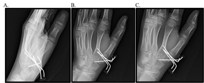
小儿班尼特等效型骨折是一种罕见但又重要的发病率和诊断复杂性的来源。尽管儿科患者具有显著的重塑潜力和弹性,但如果处理不当,这些损伤会带来多种后遗症,如残余畸形、疼痛、功能限制和前瞻性加速关节病。鉴于文献的缺乏和前瞻性、严格的试验的缺乏,这些损伤的最佳管理仍然存在争议。本研究展示了作者对两例儿童班尼特等效骨折的经验,一例保守治疗,一例手术治疗,强调了提供者在识别和治疗这些损伤时保持警惕和注意力的必要性。
本文章由计算机程序翻译,如有差异,请以英文原文为准。

Clinical Insights and Management of Pediatric Bennett-Equivalent Fractures: Case Report and Literature Review.

Clinical Insights and Management of Pediatric Bennett-Equivalent Fractures: Case Report and Literature Review.

Clinical Insights and Management of Pediatric Bennett-Equivalent Fractures: Case Report and Literature Review.

Clinical Insights and Management of Pediatric Bennett-Equivalent Fractures: Case Report and Literature Review.

Pediatric Bennett-equivalent type fractures represent an uncommon yet consequential source of morbidity and diagnostic complexity. Despite the remarkable remodeling potential and resiliency of the pediatric patient population, if managed inappropriately, these injuries are associated with multiple sequelae such as residual deformity, pain, functional limitations, and prospective accelerated arthrosis. Given the paucity of literature and absence of prospective, rigorous trials, the optimal management of these injuries remains contentious. The present study exhibits the authors' experience with two pediatric Bennett-equivalent fractures, one managed conservatively and one operatively, highlighting the necessity for provider vigilance and attentiveness in recognizing and treating these injuries.

求助全文
通过发布文献求助,成功后即可免费获取论文全文。 去求助
来源期刊
CiteScore
2.30
自引率
0.00%
发文量
128
期刊介绍: The Archives of Bone and Joint Surgery (ABJS) aims to encourage a better understanding of all aspects of Orthopedic Sciences. The journal accepts scientific papers including original research, review article, short communication, case report, and letter to the editor in all fields of bone, joint, musculoskeletal surgery and related researches. The Archives of Bone and Joint Surgery (ABJS) will publish papers in all aspects of today`s modern orthopedic sciences including: Arthroscopy, Arthroplasty, Sport Medicine, Reconstruction, Hand and Upper Extremity, Pediatric Orthopedics, Spine, Trauma, Foot and Ankle, Tumor, Joint Rheumatic Disease, Skeletal Imaging, Orthopedic Physical Therapy, Rehabilitation, Orthopedic Basic Sciences (Biomechanics, Biotechnology, Biomaterial..).
×
引用
GB/T 7714-2015
复制
MLA
复制
APA
复制
导出至
BibTeX EndNote RefMan NoteFirst NoteExpress
×
提示
您的信息不完整,为了账户安全,请先补充。
现在去补充
×
提示
您因"违规操作"
具体请查看互助需知
我知道了
×
提示
确定
请完成安全验证×
copy
已复制链接
快去分享给好友吧!
我知道了
右上角分享
点击右上角分享
0
联系我们:info@booksci.cn Book学术提供免费学术资源搜索服务,方便国内外学者检索中英文文献。致力于提供最便捷和优质的服务体验。 Copyright © 2023 布克学术 All rights reserved.
京ICP备2023020795号-1
ghs 京公网安备 11010802042870号
Book学术文献互助
Book学术文献互助群
群 号:604180095
Book学术官方微信