胸血管内主动脉修复后逆行主动脉夹层。

IF 0.5 4区 医学 Q4 SURGERY
Koray Ak, Ece Çalışan, Fatih Öztürk, Sinan Arsan
{"title":"胸血管内主动脉修复后逆行主动脉夹层。","authors":"Koray Ak, Ece Çalışan, Fatih Öztürk, Sinan Arsan","doi":"10.5606/tgkdc.dergisi.2025.25808","DOIUrl":null,"url":null,"abstract":"<p><p>Endovascular treatment methods are often preferred in suitable patients with complicated acute type B aortic dissection due to the high mortality and morbidity associated with the open surgical procedure. Retrograde aortic dissection is a rare complication of endovascular procedures. Herein, we reported surgical treatment of a retrograde aortic dissection that developed after thoracic endovascular aortic repair in a 53-year-old male patient with a history of liver transplantation two years ago and taking immunosuppressive medication.</p>","PeriodicalId":49413,"journal":{"name":"Turk Gogus Kalp Damar Cerrahisi Dergisi-Turkish Journal of Thoracic and Cardiovascular Surgery","volume":"33 3","pages":"386-390"},"PeriodicalIF":0.5000,"publicationDate":"2025-07-21","publicationTypes":"Journal Article","fieldsOfStudy":null,"isOpenAccess":false,"openAccessPdf":"https://www.ncbi.nlm.nih.gov/pmc/articles/PMC12421555/pdf/","citationCount":"0","resultStr":"{\"title\":\"Retrograde aortic dissection after thoracic endovascular aortic repair.\",\"authors\":\"Koray Ak, Ece Çalışan, Fatih Öztürk, Sinan Arsan\",\"doi\":\"10.5606/tgkdc.dergisi.2025.25808\",\"DOIUrl\":null,\"url\":null,\"abstract\":\"<p><p>Endovascular treatment methods are often preferred in suitable patients with complicated acute type B aortic dissection due to the high mortality and morbidity associated with the open surgical procedure. Retrograde aortic dissection is a rare complication of endovascular procedures. Herein, we reported surgical treatment of a retrograde aortic dissection that developed after thoracic endovascular aortic repair in a 53-year-old male patient with a history of liver transplantation two years ago and taking immunosuppressive medication.</p>\",\"PeriodicalId\":49413,\"journal\":{\"name\":\"Turk Gogus Kalp Damar Cerrahisi Dergisi-Turkish Journal of Thoracic and Cardiovascular Surgery\",\"volume\":\"33 3\",\"pages\":\"386-390\"},\"PeriodicalIF\":0.5000,\"publicationDate\":\"2025-07-21\",\"publicationTypes\":\"Journal Article\",\"fieldsOfStudy\":null,\"isOpenAccess\":false,\"openAccessPdf\":\"https://www.ncbi.nlm.nih.gov/pmc/articles/PMC12421555/pdf/\",\"citationCount\":\"0\",\"resultStr\":null,\"platform\":\"Semanticscholar\",\"paperid\":null,\"PeriodicalName\":\"Turk Gogus Kalp Damar Cerrahisi Dergisi-Turkish Journal of Thoracic and Cardiovascular Surgery\",\"FirstCategoryId\":\"3\",\"ListUrlMain\":\"https://doi.org/10.5606/tgkdc.dergisi.2025.25808\",\"RegionNum\":4,\"RegionCategory\":\"医学\",\"ArticlePicture\":[],\"TitleCN\":null,\"AbstractTextCN\":null,\"PMCID\":null,\"EPubDate\":\"2025/7/1 0:00:00\",\"PubModel\":\"eCollection\",\"JCR\":\"Q4\",\"JCRName\":\"SURGERY\",\"Score\":null,\"Total\":0}","platform":"Semanticscholar","paperid":null,"PeriodicalName":"Turk Gogus Kalp Damar Cerrahisi Dergisi-Turkish Journal of Thoracic and Cardiovascular Surgery","FirstCategoryId":"3","ListUrlMain":"https://doi.org/10.5606/tgkdc.dergisi.2025.25808","RegionNum":4,"RegionCategory":"医学","ArticlePicture":[],"TitleCN":null,"AbstractTextCN":null,"PMCID":null,"EPubDate":"2025/7/1 0:00:00","PubModel":"eCollection","JCR":"Q4","JCRName":"SURGERY","Score":null,"Total":0}
引用次数: 0

摘要

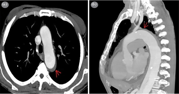
由于与开放手术相关的高死亡率和发病率,对于复杂的急性B型主动脉夹层患者,通常首选血管内治疗方法。逆行主动脉夹层是一种罕见的血管内手术并发症。在此,我们报道了一名53岁男性患者的手术治疗逆行主动脉夹层,该患者两年前有肝移植史并服用免疫抑制药物。
本文章由计算机程序翻译,如有差异,请以英文原文为准。

Retrograde aortic dissection after thoracic endovascular aortic repair.

Retrograde aortic dissection after thoracic endovascular aortic repair.

Retrograde aortic dissection after thoracic endovascular aortic repair.

Retrograde aortic dissection after thoracic endovascular aortic repair.

Endovascular treatment methods are often preferred in suitable patients with complicated acute type B aortic dissection due to the high mortality and morbidity associated with the open surgical procedure. Retrograde aortic dissection is a rare complication of endovascular procedures. Herein, we reported surgical treatment of a retrograde aortic dissection that developed after thoracic endovascular aortic repair in a 53-year-old male patient with a history of liver transplantation two years ago and taking immunosuppressive medication.

求助全文
通过发布文献求助,成功后即可免费获取论文全文。 去求助
来源期刊
CiteScore
1.00
自引率
0.00%
发文量
98
审稿时长
3-8 weeks
期刊介绍: The Turkish Journal of Thoracic and Cardiovascular Surgery is an international open access journal which publishes original articles on topics in generality of Cardiac, Thoracic, Arterial, Venous, Lymphatic Disorders and their managements. These encompass all relevant clinical, surgical and experimental studies, editorials, current and collective reviews, technical know-how papers, case reports, interesting images, How to Do It papers, correspondences, and commentaries.
×
引用
GB/T 7714-2015
复制
MLA
复制
APA
复制
导出至
BibTeX EndNote RefMan NoteFirst NoteExpress
×
提示
您的信息不完整,为了账户安全,请先补充。
现在去补充
×
提示
您因"违规操作"
具体请查看互助需知
我知道了
×
提示
确定
请完成安全验证×
copy
已复制链接
快去分享给好友吧!
我知道了
右上角分享
点击右上角分享
0
联系我们:info@booksci.cn Book学术提供免费学术资源搜索服务,方便国内外学者检索中英文文献。致力于提供最便捷和优质的服务体验。 Copyright © 2023 布克学术 All rights reserved.
京ICP备2023020795号-1
ghs 京公网安备 11010802042870号
Book学术文献互助
Book学术文献互助群
群 号:604180095
Book学术官方微信