腹膜后异位妊娠定位于肠系膜:1例报告和文献综述。

IF 1.5 4区 医学 Q4 MEDICINE, RESEARCH & EXPERIMENTAL
Journal of International Medical Research Pub Date : 2025-09-01 Epub Date: 2025-09-12 DOI:10.1177/03000605251375215
Junpeng Liu, Lianzi Liu, Yue Yu, Zhenwei Miao
{"title":"腹膜后异位妊娠定位于肠系膜:1例报告和文献综述。","authors":"Junpeng Liu, Lianzi Liu, Yue Yu, Zhenwei Miao","doi":"10.1177/03000605251375215","DOIUrl":null,"url":null,"abstract":"<p><p>Retroperitoneal ectopic pregnancy is an extremely rare form of ectopic pregnancy that can be life-threatening due to severe intra-abdominal hemorrhage. Retroperitoneal ectopic pregnancy is frequently misdiagnosed because of its atypical location and nonspecific symptoms. To the best of our knowledge, no previous cases of ectopic pregnancy localized to the mesorectum have been reported to date. Here, we present the case of a woman in her mid-30s with retroperitoneal ectopic pregnancy localized to the mesorectum. The condition was initially misdiagnosed as gastroenteritis due to atypical symptoms, which resulted in delayed treatment. This study aimed to improve the clinical recognition of mesorectal ectopic pregnancy among physicians.</p>","PeriodicalId":16129,"journal":{"name":"Journal of International Medical Research","volume":"53 9","pages":"3000605251375215"},"PeriodicalIF":1.5000,"publicationDate":"2025-09-01","publicationTypes":"Journal Article","fieldsOfStudy":null,"isOpenAccess":false,"openAccessPdf":"https://www.ncbi.nlm.nih.gov/pmc/articles/PMC12432294/pdf/","citationCount":"0","resultStr":"{\"title\":\"Retroperitoneal ectopic pregnancy localized to the mesorectum: A case report and mini-review of literature.\",\"authors\":\"Junpeng Liu, Lianzi Liu, Yue Yu, Zhenwei Miao\",\"doi\":\"10.1177/03000605251375215\",\"DOIUrl\":null,\"url\":null,\"abstract\":\"<p><p>Retroperitoneal ectopic pregnancy is an extremely rare form of ectopic pregnancy that can be life-threatening due to severe intra-abdominal hemorrhage. Retroperitoneal ectopic pregnancy is frequently misdiagnosed because of its atypical location and nonspecific symptoms. To the best of our knowledge, no previous cases of ectopic pregnancy localized to the mesorectum have been reported to date. Here, we present the case of a woman in her mid-30s with retroperitoneal ectopic pregnancy localized to the mesorectum. The condition was initially misdiagnosed as gastroenteritis due to atypical symptoms, which resulted in delayed treatment. This study aimed to improve the clinical recognition of mesorectal ectopic pregnancy among physicians.</p>\",\"PeriodicalId\":16129,\"journal\":{\"name\":\"Journal of International Medical Research\",\"volume\":\"53 9\",\"pages\":\"3000605251375215\"},\"PeriodicalIF\":1.5000,\"publicationDate\":\"2025-09-01\",\"publicationTypes\":\"Journal Article\",\"fieldsOfStudy\":null,\"isOpenAccess\":false,\"openAccessPdf\":\"https://www.ncbi.nlm.nih.gov/pmc/articles/PMC12432294/pdf/\",\"citationCount\":\"0\",\"resultStr\":null,\"platform\":\"Semanticscholar\",\"paperid\":null,\"PeriodicalName\":\"Journal of International Medical Research\",\"FirstCategoryId\":\"3\",\"ListUrlMain\":\"https://doi.org/10.1177/03000605251375215\",\"RegionNum\":4,\"RegionCategory\":\"医学\",\"ArticlePicture\":[],\"TitleCN\":null,\"AbstractTextCN\":null,\"PMCID\":null,\"EPubDate\":\"2025/9/12 0:00:00\",\"PubModel\":\"Epub\",\"JCR\":\"Q4\",\"JCRName\":\"MEDICINE, RESEARCH & EXPERIMENTAL\",\"Score\":null,\"Total\":0}","platform":"Semanticscholar","paperid":null,"PeriodicalName":"Journal of International Medical Research","FirstCategoryId":"3","ListUrlMain":"https://doi.org/10.1177/03000605251375215","RegionNum":4,"RegionCategory":"医学","ArticlePicture":[],"TitleCN":null,"AbstractTextCN":null,"PMCID":null,"EPubDate":"2025/9/12 0:00:00","PubModel":"Epub","JCR":"Q4","JCRName":"MEDICINE, RESEARCH & EXPERIMENTAL","Score":null,"Total":0}
引用次数: 0

摘要

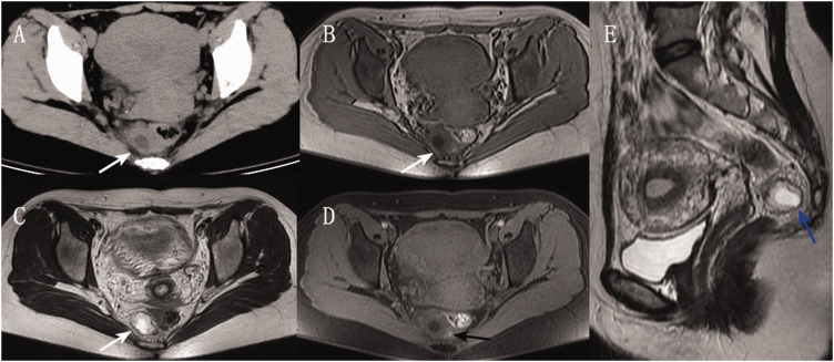
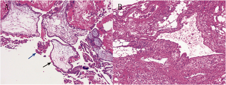
腹膜后异位妊娠是一种极为罕见的异位妊娠,由于严重的腹腔出血,可能危及生命。腹膜后异位妊娠因其不典型的位置和非特异性的症状而经常被误诊。据我们所知,迄今为止还没有报道过定位于肠系膜的异位妊娠病例。在这里,我们提出的情况下,在她的35岁左右的妇女腹膜后异位妊娠定位于肠系膜。由于症状不典型,最初被误诊为肠胃炎,导致治疗延误。本研究旨在提高医师对直肠系膜异位妊娠的认识。
本文章由计算机程序翻译,如有差异,请以英文原文为准。

Retroperitoneal ectopic pregnancy localized to the mesorectum: A case report and mini-review of literature.

Retroperitoneal ectopic pregnancy localized to the mesorectum: A case report and mini-review of literature.

Retroperitoneal ectopic pregnancy localized to the mesorectum: A case report and mini-review of literature.

Retroperitoneal ectopic pregnancy localized to the mesorectum: A case report and mini-review of literature.

Retroperitoneal ectopic pregnancy is an extremely rare form of ectopic pregnancy that can be life-threatening due to severe intra-abdominal hemorrhage. Retroperitoneal ectopic pregnancy is frequently misdiagnosed because of its atypical location and nonspecific symptoms. To the best of our knowledge, no previous cases of ectopic pregnancy localized to the mesorectum have been reported to date. Here, we present the case of a woman in her mid-30s with retroperitoneal ectopic pregnancy localized to the mesorectum. The condition was initially misdiagnosed as gastroenteritis due to atypical symptoms, which resulted in delayed treatment. This study aimed to improve the clinical recognition of mesorectal ectopic pregnancy among physicians.

求助全文
通过发布文献求助,成功后即可免费获取论文全文。 去求助
来源期刊
CiteScore
3.20
自引率
0.00%
发文量
555
审稿时长
1 months
期刊介绍: _Journal of International Medical Research_ is a leading international journal for rapid publication of original medical, pre-clinical and clinical research, reviews, preliminary and pilot studies on a page charge basis. As a service to authors, every article accepted by peer review will be given a full technical edit to make papers as accessible and readable to the international medical community as rapidly as possible. Once the technical edit queries have been answered to the satisfaction of the journal, the paper will be published and made available freely to everyone under a creative commons licence. Symposium proceedings, summaries of presentations or collections of medical, pre-clinical or clinical data on a specific topic are welcome for publication as supplements. Print ISSN: 0300-0605
×
引用
GB/T 7714-2015
复制
MLA
复制
APA
复制
导出至
BibTeX EndNote RefMan NoteFirst NoteExpress
×
提示
您的信息不完整,为了账户安全,请先补充。
现在去补充
×
提示
您因"违规操作"
具体请查看互助需知
我知道了
×
提示
确定
请完成安全验证×
copy
已复制链接
快去分享给好友吧!
我知道了
右上角分享
点击右上角分享
0
联系我们:info@booksci.cn Book学术提供免费学术资源搜索服务,方便国内外学者检索中英文文献。致力于提供最便捷和优质的服务体验。 Copyright © 2023 布克学术 All rights reserved.
京ICP备2023020795号-1
ghs 京公网安备 11010802042870号
Book学术文献互助
Book学术文献互助群
群 号:604180095
Book学术官方微信