经导管二尖瓣边缘修复术后食管血肿:一种罕见的经食管超声心动图并发症。

IF 0.5 Q4 GASTROENTEROLOGY & HEPATOLOGY
ACG Case Reports Journal Pub Date : 2025-09-08 eCollection Date: 2025-09-01 DOI:10.14309/crj.0000000000001822
Ahmed Aref, Judy Sheffeh, Mohammad Ali Sheffeh, Nishant Aggarwal, Fady Banno, Mohammed Alkhero, Ketan Rana
{"title":"经导管二尖瓣边缘修复术后食管血肿:一种罕见的经食管超声心动图并发症。","authors":"Ahmed Aref, Judy Sheffeh, Mohammad Ali Sheffeh, Nishant Aggarwal, Fady Banno, Mohammed Alkhero, Ketan Rana","doi":"10.14309/crj.0000000000001822","DOIUrl":null,"url":null,"abstract":"<p><p>Transesophageal echocardiography is commonly used to guide structural cardiac interventions but carries a risk of esophageal injury. We present a 79-year-old woman who underwent a Transcatheter Edge-to-Edge Repair of the mitral valve and developed an esophageal hematoma. Clinical course was complicated by intractable gastrointestinal bleeding and sepsis due to acute cholecystitis. She did not survive despite aggressive measures. Our case demonstrates the potential severity of transesophageal echocardiography-related complications, especially in patients with predisposing factors such as esophageal diverticula and anticoagulation use.</p>","PeriodicalId":7394,"journal":{"name":"ACG Case Reports Journal","volume":"12 9","pages":"e01822"},"PeriodicalIF":0.5000,"publicationDate":"2025-09-08","publicationTypes":"Journal Article","fieldsOfStudy":null,"isOpenAccess":false,"openAccessPdf":"https://www.ncbi.nlm.nih.gov/pmc/articles/PMC12419353/pdf/","citationCount":"0","resultStr":"{\"title\":\"Esophageal Hematoma Following Transcatheter Edge-to-Edge Repair of the Mitral Valve: A Rare Complication of Transesophageal Echocardiography.\",\"authors\":\"Ahmed Aref, Judy Sheffeh, Mohammad Ali Sheffeh, Nishant Aggarwal, Fady Banno, Mohammed Alkhero, Ketan Rana\",\"doi\":\"10.14309/crj.0000000000001822\",\"DOIUrl\":null,\"url\":null,\"abstract\":\"<p><p>Transesophageal echocardiography is commonly used to guide structural cardiac interventions but carries a risk of esophageal injury. We present a 79-year-old woman who underwent a Transcatheter Edge-to-Edge Repair of the mitral valve and developed an esophageal hematoma. Clinical course was complicated by intractable gastrointestinal bleeding and sepsis due to acute cholecystitis. She did not survive despite aggressive measures. Our case demonstrates the potential severity of transesophageal echocardiography-related complications, especially in patients with predisposing factors such as esophageal diverticula and anticoagulation use.</p>\",\"PeriodicalId\":7394,\"journal\":{\"name\":\"ACG Case Reports Journal\",\"volume\":\"12 9\",\"pages\":\"e01822\"},\"PeriodicalIF\":0.5000,\"publicationDate\":\"2025-09-08\",\"publicationTypes\":\"Journal Article\",\"fieldsOfStudy\":null,\"isOpenAccess\":false,\"openAccessPdf\":\"https://www.ncbi.nlm.nih.gov/pmc/articles/PMC12419353/pdf/\",\"citationCount\":\"0\",\"resultStr\":null,\"platform\":\"Semanticscholar\",\"paperid\":null,\"PeriodicalName\":\"ACG Case Reports Journal\",\"FirstCategoryId\":\"1085\",\"ListUrlMain\":\"https://doi.org/10.14309/crj.0000000000001822\",\"RegionNum\":0,\"RegionCategory\":null,\"ArticlePicture\":[],\"TitleCN\":null,\"AbstractTextCN\":null,\"PMCID\":null,\"EPubDate\":\"2025/9/1 0:00:00\",\"PubModel\":\"eCollection\",\"JCR\":\"Q4\",\"JCRName\":\"GASTROENTEROLOGY & HEPATOLOGY\",\"Score\":null,\"Total\":0}","platform":"Semanticscholar","paperid":null,"PeriodicalName":"ACG Case Reports Journal","FirstCategoryId":"1085","ListUrlMain":"https://doi.org/10.14309/crj.0000000000001822","RegionNum":0,"RegionCategory":null,"ArticlePicture":[],"TitleCN":null,"AbstractTextCN":null,"PMCID":null,"EPubDate":"2025/9/1 0:00:00","PubModel":"eCollection","JCR":"Q4","JCRName":"GASTROENTEROLOGY & HEPATOLOGY","Score":null,"Total":0}
引用次数: 0

摘要

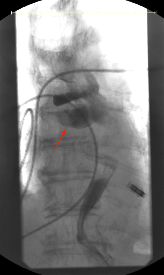
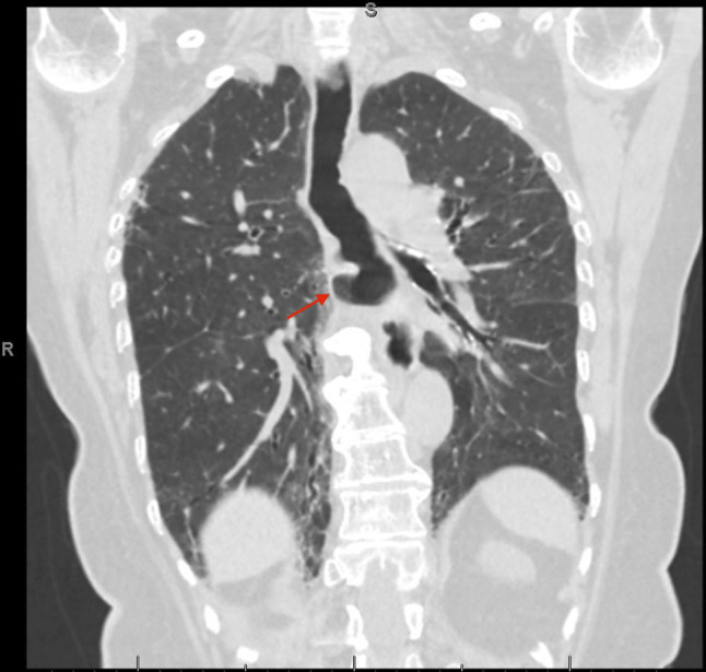
经食管超声心动图通常用于指导结构性心脏干预,但有食管损伤的风险。我们报告一位79岁的女性,她接受了经导管二尖瓣边缘修复术,并发食道血肿。急性胆囊炎并发难治性消化道出血及败血症。尽管采取了积极的措施,她还是没能活下来。我们的病例显示了经食管超声心动图相关并发症的潜在严重性,特别是在有食道憩室和抗凝使用等易感因素的患者中。
本文章由计算机程序翻译,如有差异,请以英文原文为准。

Esophageal Hematoma Following Transcatheter Edge-to-Edge Repair of the Mitral Valve: A Rare Complication of Transesophageal Echocardiography.

Esophageal Hematoma Following Transcatheter Edge-to-Edge Repair of the Mitral Valve: A Rare Complication of Transesophageal Echocardiography.

Esophageal Hematoma Following Transcatheter Edge-to-Edge Repair of the Mitral Valve: A Rare Complication of Transesophageal Echocardiography.

Esophageal Hematoma Following Transcatheter Edge-to-Edge Repair of the Mitral Valve: A Rare Complication of Transesophageal Echocardiography.

Transesophageal echocardiography is commonly used to guide structural cardiac interventions but carries a risk of esophageal injury. We present a 79-year-old woman who underwent a Transcatheter Edge-to-Edge Repair of the mitral valve and developed an esophageal hematoma. Clinical course was complicated by intractable gastrointestinal bleeding and sepsis due to acute cholecystitis. She did not survive despite aggressive measures. Our case demonstrates the potential severity of transesophageal echocardiography-related complications, especially in patients with predisposing factors such as esophageal diverticula and anticoagulation use.

求助全文
通过发布文献求助,成功后即可免费获取论文全文。 去求助
来源期刊
ACG Case Reports Journal
ACG Case Reports Journal GASTROENTEROLOGY & HEPATOLOGY-
自引率
14.30%
发文量
170
审稿时长
12 weeks
期刊介绍: ACG Case Reports Journal is a peer-reviewed, open-access publication that provides GI and hepatology fellows, private practice clinicians, and other healthcare providers an opportunity to share interesting case reports with their peers and with leaders in the field. ACG Case Reports Journal publishes case reports, images, videos and letters to the editor in all topics of gastroenterology and hepatology, including: Biliary Colon Endoscopy Esophagus Functional Bowel Disorders Inflammatory Bowel Disease Liver Nutrition and Obesity Pancreas Pathology Pediatric Small Bowel Stomach.
×
引用
GB/T 7714-2015
复制
MLA
复制
APA
复制
导出至
BibTeX EndNote RefMan NoteFirst NoteExpress
×
提示
您的信息不完整,为了账户安全,请先补充。
现在去补充
×
提示
您因"违规操作"
具体请查看互助需知
我知道了
×
提示
确定
请完成安全验证×
copy
已复制链接
快去分享给好友吧!
我知道了
右上角分享
点击右上角分享
0
联系我们:info@booksci.cn Book学术提供免费学术资源搜索服务,方便国内外学者检索中英文文献。致力于提供最便捷和优质的服务体验。 Copyright © 2023 布克学术 All rights reserved.
京ICP备2023020795号-1
ghs 京公网安备 11010802042870号
Book学术文献互助
Book学术文献互助群
群 号:604180095
Book学术官方微信