颧骨骨内血管瘤:一例罕见的57岁女性颌面病例。

IF 0.9 Q4 DENTISTRY, ORAL SURGERY & MEDICINE
Case Reports in Dentistry Pub Date : 2025-09-01 eCollection Date: 2025-01-01 DOI:10.1155/crid/4813808
Bahareh Hekmat, Farhad Aghmasheh
{"title":"颧骨骨内血管瘤:一例罕见的57岁女性颌面病例。","authors":"Bahareh Hekmat, Farhad Aghmasheh","doi":"10.1155/crid/4813808","DOIUrl":null,"url":null,"abstract":"<p><p>Central hemangioma is one of the rare lesions of the jawbones, with a prevalence ranging between 0.5% and 1%. It more commonly occurs in the vertebral column and cranial bones, with rare occurrences in the jaws. The World Health Organization classifies hemangioma as a true neoplasm of endothelial origin; however, some authors believe that hemangiomas are hamartomas. Diagnosis of this lesion can be challenging due to its varying clinical and radiographic characteristics. Treatment is also difficult due to the presence of an extensive vascular network in the affected area. In this article, we present a case of central hemangioma in the body of the zygomatic bone of a 57-year-old female, which was treated through surgical resection.</p>","PeriodicalId":46841,"journal":{"name":"Case Reports in Dentistry","volume":"2025 ","pages":"4813808"},"PeriodicalIF":0.9000,"publicationDate":"2025-09-01","publicationTypes":"Journal Article","fieldsOfStudy":null,"isOpenAccess":false,"openAccessPdf":"https://www.ncbi.nlm.nih.gov/pmc/articles/PMC12417060/pdf/","citationCount":"0","resultStr":"{\"title\":\"Intraosseous Hemangioma of the Zygomatic Bone: A Rare Maxillofacial Case in a 57-Year-Old Woman.\",\"authors\":\"Bahareh Hekmat, Farhad Aghmasheh\",\"doi\":\"10.1155/crid/4813808\",\"DOIUrl\":null,\"url\":null,\"abstract\":\"<p><p>Central hemangioma is one of the rare lesions of the jawbones, with a prevalence ranging between 0.5% and 1%. It more commonly occurs in the vertebral column and cranial bones, with rare occurrences in the jaws. The World Health Organization classifies hemangioma as a true neoplasm of endothelial origin; however, some authors believe that hemangiomas are hamartomas. Diagnosis of this lesion can be challenging due to its varying clinical and radiographic characteristics. Treatment is also difficult due to the presence of an extensive vascular network in the affected area. In this article, we present a case of central hemangioma in the body of the zygomatic bone of a 57-year-old female, which was treated through surgical resection.</p>\",\"PeriodicalId\":46841,\"journal\":{\"name\":\"Case Reports in Dentistry\",\"volume\":\"2025 \",\"pages\":\"4813808\"},\"PeriodicalIF\":0.9000,\"publicationDate\":\"2025-09-01\",\"publicationTypes\":\"Journal Article\",\"fieldsOfStudy\":null,\"isOpenAccess\":false,\"openAccessPdf\":\"https://www.ncbi.nlm.nih.gov/pmc/articles/PMC12417060/pdf/\",\"citationCount\":\"0\",\"resultStr\":null,\"platform\":\"Semanticscholar\",\"paperid\":null,\"PeriodicalName\":\"Case Reports in Dentistry\",\"FirstCategoryId\":\"1085\",\"ListUrlMain\":\"https://doi.org/10.1155/crid/4813808\",\"RegionNum\":0,\"RegionCategory\":null,\"ArticlePicture\":[],\"TitleCN\":null,\"AbstractTextCN\":null,\"PMCID\":null,\"EPubDate\":\"2025/1/1 0:00:00\",\"PubModel\":\"eCollection\",\"JCR\":\"Q4\",\"JCRName\":\"DENTISTRY, ORAL SURGERY & MEDICINE\",\"Score\":null,\"Total\":0}","platform":"Semanticscholar","paperid":null,"PeriodicalName":"Case Reports in Dentistry","FirstCategoryId":"1085","ListUrlMain":"https://doi.org/10.1155/crid/4813808","RegionNum":0,"RegionCategory":null,"ArticlePicture":[],"TitleCN":null,"AbstractTextCN":null,"PMCID":null,"EPubDate":"2025/1/1 0:00:00","PubModel":"eCollection","JCR":"Q4","JCRName":"DENTISTRY, ORAL SURGERY & MEDICINE","Score":null,"Total":0}
引用次数: 0

摘要

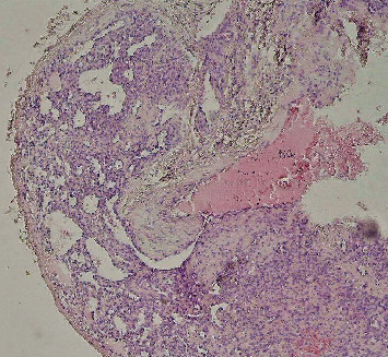
中枢性血管瘤是一种罕见的颌骨病变,患病率在0.5%至1%之间。它更常见于脊柱和颅骨,很少发生在颌骨。世界卫生组织将血管瘤归类为真正的内皮源性肿瘤;然而,一些作者认为血管瘤是错构瘤。由于其不同的临床和影像学特征,这种病变的诊断可能具有挑战性。由于受影响区域存在广泛的血管网络,治疗也很困难。在这篇文章中,我们提出了一个57岁女性颧骨中央血管瘤的病例,通过手术切除治疗。
本文章由计算机程序翻译,如有差异,请以英文原文为准。

Intraosseous Hemangioma of the Zygomatic Bone: A Rare Maxillofacial Case in a 57-Year-Old Woman.

Intraosseous Hemangioma of the Zygomatic Bone: A Rare Maxillofacial Case in a 57-Year-Old Woman.

Intraosseous Hemangioma of the Zygomatic Bone: A Rare Maxillofacial Case in a 57-Year-Old Woman.

Central hemangioma is one of the rare lesions of the jawbones, with a prevalence ranging between 0.5% and 1%. It more commonly occurs in the vertebral column and cranial bones, with rare occurrences in the jaws. The World Health Organization classifies hemangioma as a true neoplasm of endothelial origin; however, some authors believe that hemangiomas are hamartomas. Diagnosis of this lesion can be challenging due to its varying clinical and radiographic characteristics. Treatment is also difficult due to the presence of an extensive vascular network in the affected area. In this article, we present a case of central hemangioma in the body of the zygomatic bone of a 57-year-old female, which was treated through surgical resection.

求助全文
通过发布文献求助,成功后即可免费获取论文全文。 去求助
来源期刊
Case Reports in Dentistry
Case Reports in Dentistry DENTISTRY, ORAL SURGERY & MEDICINE-
CiteScore
1.40
自引率
12.50%
发文量
107
审稿时长
14 weeks
期刊介绍: Case Reports in Dentistry is a peer-reviewed, Open Access journal that publishes case reports and case series in all areas of dentistry, including periodontal diseases, dental implants, oral pathology, as well as oral and maxillofacial surgery.
×
引用
GB/T 7714-2015
复制
MLA
复制
APA
复制
导出至
BibTeX EndNote RefMan NoteFirst NoteExpress
×
提示
您的信息不完整,为了账户安全,请先补充。
现在去补充
×
提示
您因"违规操作"
具体请查看互助需知
我知道了
×
提示
确定
请完成安全验证×
copy
已复制链接
快去分享给好友吧!
我知道了
右上角分享
点击右上角分享
0
联系我们:info@booksci.cn Book学术提供免费学术资源搜索服务,方便国内外学者检索中英文文献。致力于提供最便捷和优质的服务体验。 Copyright © 2023 布克学术 All rights reserved.
京ICP备2023020795号-1
ghs 京公网安备 11010802042870号
Book学术文献互助
Book学术文献互助群
群 号:604180095
Book学术官方微信