结肠癌单发肺转移伴囊性气隙一例。

IF 1.7 4区 生物学 Q3 BIOLOGY
Open Life Sciences Pub Date : 2025-08-18 eCollection Date: 2025-01-01 DOI:10.1515/biol-2025-1149
Kunliang Guo, Yang Li, Jian Chen
{"title":"结肠癌单发肺转移伴囊性气隙一例。","authors":"Kunliang Guo, Yang Li, Jian Chen","doi":"10.1515/biol-2025-1149","DOIUrl":null,"url":null,"abstract":"<p><p>This report presents a case of solitary pulmonary metastasis from colon cancer, characterized by cystic airspaces, which can mimic a second primary lung cancer (LC). Preoperative contrast-enhanced computed tomography in a patient with colon cancer revealed a pulmonary micronodule with a cystic cavity in the right upper lobe. The patient subsequently underwent left-sided hemicolectomy followed by six cycles of chemotherapy. During follow-up, computed tomography demonstrated resolution of the right upper lobe nodule. However, 36 months after chemotherapy, a solid nodule with cystic airspaces appeared in the right upper lobe, exhibiting marginal spiculation, traversing vessels, and enhancement, suggestive of cystic LC. Intraoperative frozen section analysis indicated features of intestinal adenocarcinoma. A right upper lobe wedge resection was performed, and postoperative histopathology confirmed the lesion as metastatic colon adenocarcinoma with cystic airspaces. Solitary pulmonary metastasis from colon cancer is relatively uncommon, particularly with cystic presentation. Clinicians and radiologists should maintain heightened suspicion in such atypical cases to avoid missed or delayed diagnoses.</p>","PeriodicalId":19605,"journal":{"name":"Open Life Sciences","volume":"20 1","pages":"20251149"},"PeriodicalIF":1.7000,"publicationDate":"2025-08-18","publicationTypes":"Journal Article","fieldsOfStudy":null,"isOpenAccess":false,"openAccessPdf":"https://www.ncbi.nlm.nih.gov/pmc/articles/PMC12412365/pdf/","citationCount":"0","resultStr":"{\"title\":\"Solitary pulmonary metastasis with cystic airspaces in colon cancer: A rare case report.\",\"authors\":\"Kunliang Guo, Yang Li, Jian Chen\",\"doi\":\"10.1515/biol-2025-1149\",\"DOIUrl\":null,\"url\":null,\"abstract\":\"<p><p>This report presents a case of solitary pulmonary metastasis from colon cancer, characterized by cystic airspaces, which can mimic a second primary lung cancer (LC). Preoperative contrast-enhanced computed tomography in a patient with colon cancer revealed a pulmonary micronodule with a cystic cavity in the right upper lobe. The patient subsequently underwent left-sided hemicolectomy followed by six cycles of chemotherapy. During follow-up, computed tomography demonstrated resolution of the right upper lobe nodule. However, 36 months after chemotherapy, a solid nodule with cystic airspaces appeared in the right upper lobe, exhibiting marginal spiculation, traversing vessels, and enhancement, suggestive of cystic LC. Intraoperative frozen section analysis indicated features of intestinal adenocarcinoma. A right upper lobe wedge resection was performed, and postoperative histopathology confirmed the lesion as metastatic colon adenocarcinoma with cystic airspaces. Solitary pulmonary metastasis from colon cancer is relatively uncommon, particularly with cystic presentation. Clinicians and radiologists should maintain heightened suspicion in such atypical cases to avoid missed or delayed diagnoses.</p>\",\"PeriodicalId\":19605,\"journal\":{\"name\":\"Open Life Sciences\",\"volume\":\"20 1\",\"pages\":\"20251149\"},\"PeriodicalIF\":1.7000,\"publicationDate\":\"2025-08-18\",\"publicationTypes\":\"Journal Article\",\"fieldsOfStudy\":null,\"isOpenAccess\":false,\"openAccessPdf\":\"https://www.ncbi.nlm.nih.gov/pmc/articles/PMC12412365/pdf/\",\"citationCount\":\"0\",\"resultStr\":null,\"platform\":\"Semanticscholar\",\"paperid\":null,\"PeriodicalName\":\"Open Life Sciences\",\"FirstCategoryId\":\"99\",\"ListUrlMain\":\"https://doi.org/10.1515/biol-2025-1149\",\"RegionNum\":4,\"RegionCategory\":\"生物学\",\"ArticlePicture\":[],\"TitleCN\":null,\"AbstractTextCN\":null,\"PMCID\":null,\"EPubDate\":\"2025/1/1 0:00:00\",\"PubModel\":\"eCollection\",\"JCR\":\"Q3\",\"JCRName\":\"BIOLOGY\",\"Score\":null,\"Total\":0}","platform":"Semanticscholar","paperid":null,"PeriodicalName":"Open Life Sciences","FirstCategoryId":"99","ListUrlMain":"https://doi.org/10.1515/biol-2025-1149","RegionNum":4,"RegionCategory":"生物学","ArticlePicture":[],"TitleCN":null,"AbstractTextCN":null,"PMCID":null,"EPubDate":"2025/1/1 0:00:00","PubModel":"eCollection","JCR":"Q3","JCRName":"BIOLOGY","Score":null,"Total":0}
引用次数: 0

摘要

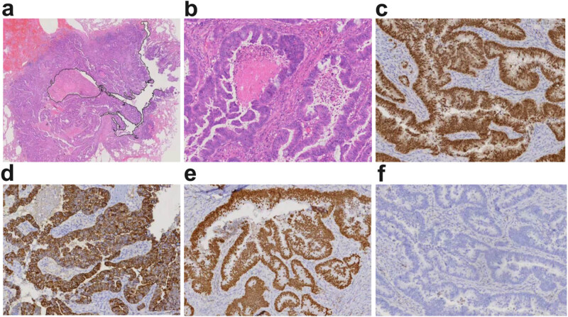
本文报告一例结肠癌的孤立性肺转移,其特征是囊性空腔,可模拟第二原发性肺癌。术前增强ct显示右肺上叶微结节伴囊腔。患者随后接受了左侧半结肠切除术,并进行了六个周期的化疗。在随访期间,计算机断层扫描显示右上肺叶结节的清晰度。然而,化疗36个月后,右上叶出现实性结节伴囊性气隙,表现为边缘毛刺状突起,穿过血管,强化,提示囊性LC。术中冰冻切片分析显示肠腺癌的特征。右上叶楔形切除,术后组织病理学证实病变为转移性结肠腺癌伴囊性气隙。结肠癌的孤立性肺转移相对罕见,尤其是囊性转移。临床医生和放射科医生应对此类非典型病例保持高度怀疑,以避免漏诊或延误诊断。
本文章由计算机程序翻译,如有差异,请以英文原文为准。

Solitary pulmonary metastasis with cystic airspaces in colon cancer: A rare case report.

Solitary pulmonary metastasis with cystic airspaces in colon cancer: A rare case report.

Solitary pulmonary metastasis with cystic airspaces in colon cancer: A rare case report.

Solitary pulmonary metastasis with cystic airspaces in colon cancer: A rare case report.

This report presents a case of solitary pulmonary metastasis from colon cancer, characterized by cystic airspaces, which can mimic a second primary lung cancer (LC). Preoperative contrast-enhanced computed tomography in a patient with colon cancer revealed a pulmonary micronodule with a cystic cavity in the right upper lobe. The patient subsequently underwent left-sided hemicolectomy followed by six cycles of chemotherapy. During follow-up, computed tomography demonstrated resolution of the right upper lobe nodule. However, 36 months after chemotherapy, a solid nodule with cystic airspaces appeared in the right upper lobe, exhibiting marginal spiculation, traversing vessels, and enhancement, suggestive of cystic LC. Intraoperative frozen section analysis indicated features of intestinal adenocarcinoma. A right upper lobe wedge resection was performed, and postoperative histopathology confirmed the lesion as metastatic colon adenocarcinoma with cystic airspaces. Solitary pulmonary metastasis from colon cancer is relatively uncommon, particularly with cystic presentation. Clinicians and radiologists should maintain heightened suspicion in such atypical cases to avoid missed or delayed diagnoses.

求助全文
通过发布文献求助,成功后即可免费获取论文全文。 去求助
来源期刊
CiteScore
2.50
自引率
4.50%
发文量
131
审稿时长
43 weeks
期刊介绍: Open Life Sciences (previously Central European Journal of Biology) is a fast growing peer-reviewed journal, devoted to scholarly research in all areas of life sciences, such as molecular biology, plant science, biotechnology, cell biology, biochemistry, biophysics, microbiology and virology, ecology, differentiation and development, genetics and many others. Open Life Sciences assures top quality of published data through critical peer review and editorial involvement throughout the whole publication process. Thanks to the Open Access model of publishing, it also offers unrestricted access to published articles for all users.
×
引用
GB/T 7714-2015
复制
MLA
复制
APA
复制
导出至
BibTeX EndNote RefMan NoteFirst NoteExpress
×
提示
您的信息不完整,为了账户安全,请先补充。
现在去补充
×
提示
您因"违规操作"
具体请查看互助需知
我知道了
×
提示
确定
请完成安全验证×
copy
已复制链接
快去分享给好友吧!
我知道了
右上角分享
点击右上角分享
0
联系我们:info@booksci.cn Book学术提供免费学术资源搜索服务,方便国内外学者检索中英文文献。致力于提供最便捷和优质的服务体验。 Copyright © 2023 布克学术 All rights reserved.
京ICP备2023020795号-1
ghs 京公网安备 11010802042870号
Book学术文献互助
Book学术文献互助群
群 号:604180095
Book学术官方微信