替利他塞普联合半剂量糖皮质激素治疗IgA肾病1例。

IF 1.7 4区 生物学 Q3 BIOLOGY
Open Life Sciences Pub Date : 2025-08-28 eCollection Date: 2025-01-01 DOI:10.1515/biol-2025-1158
Suojian Zhang, Di Yin, Qin Xu, Caixia Zhao, Jianmei Sha, Zhenguo Qiao, Juan Cao
{"title":"替利他塞普联合半剂量糖皮质激素治疗IgA肾病1例。","authors":"Suojian Zhang, Di Yin, Qin Xu, Caixia Zhao, Jianmei Sha, Zhenguo Qiao, Juan Cao","doi":"10.1515/biol-2025-1158","DOIUrl":null,"url":null,"abstract":"<p><p>Immunoglobulin A nephropathy (IgAN) is the most common primary glomerular disease in China; there is an urgent need to identify more effective treatments for IgAN. A 34-year-old woman presented with proteinuria of >2 years' duration. She was diagnosed with IgA nephropathy and was treated with a combination of telitacicept and half-dose glucocorticoids. At the time of writing, the patient's urinary protein concentration and renal function were normal. A combination of telitacicept and half-dose glucocorticoids is an effective way to treat IgAN.</p>","PeriodicalId":19605,"journal":{"name":"Open Life Sciences","volume":"20 1","pages":"20251158"},"PeriodicalIF":1.7000,"publicationDate":"2025-08-28","publicationTypes":"Journal Article","fieldsOfStudy":null,"isOpenAccess":false,"openAccessPdf":"https://www.ncbi.nlm.nih.gov/pmc/articles/PMC12412369/pdf/","citationCount":"0","resultStr":"{\"title\":\"A case of IgA nephropathy treated with a combination of telitacicept and half-dose glucocorticoids.\",\"authors\":\"Suojian Zhang, Di Yin, Qin Xu, Caixia Zhao, Jianmei Sha, Zhenguo Qiao, Juan Cao\",\"doi\":\"10.1515/biol-2025-1158\",\"DOIUrl\":null,\"url\":null,\"abstract\":\"<p><p>Immunoglobulin A nephropathy (IgAN) is the most common primary glomerular disease in China; there is an urgent need to identify more effective treatments for IgAN. A 34-year-old woman presented with proteinuria of >2 years' duration. She was diagnosed with IgA nephropathy and was treated with a combination of telitacicept and half-dose glucocorticoids. At the time of writing, the patient's urinary protein concentration and renal function were normal. A combination of telitacicept and half-dose glucocorticoids is an effective way to treat IgAN.</p>\",\"PeriodicalId\":19605,\"journal\":{\"name\":\"Open Life Sciences\",\"volume\":\"20 1\",\"pages\":\"20251158\"},\"PeriodicalIF\":1.7000,\"publicationDate\":\"2025-08-28\",\"publicationTypes\":\"Journal Article\",\"fieldsOfStudy\":null,\"isOpenAccess\":false,\"openAccessPdf\":\"https://www.ncbi.nlm.nih.gov/pmc/articles/PMC12412369/pdf/\",\"citationCount\":\"0\",\"resultStr\":null,\"platform\":\"Semanticscholar\",\"paperid\":null,\"PeriodicalName\":\"Open Life Sciences\",\"FirstCategoryId\":\"99\",\"ListUrlMain\":\"https://doi.org/10.1515/biol-2025-1158\",\"RegionNum\":4,\"RegionCategory\":\"生物学\",\"ArticlePicture\":[],\"TitleCN\":null,\"AbstractTextCN\":null,\"PMCID\":null,\"EPubDate\":\"2025/1/1 0:00:00\",\"PubModel\":\"eCollection\",\"JCR\":\"Q3\",\"JCRName\":\"BIOLOGY\",\"Score\":null,\"Total\":0}","platform":"Semanticscholar","paperid":null,"PeriodicalName":"Open Life Sciences","FirstCategoryId":"99","ListUrlMain":"https://doi.org/10.1515/biol-2025-1158","RegionNum":4,"RegionCategory":"生物学","ArticlePicture":[],"TitleCN":null,"AbstractTextCN":null,"PMCID":null,"EPubDate":"2025/1/1 0:00:00","PubModel":"eCollection","JCR":"Q3","JCRName":"BIOLOGY","Score":null,"Total":0}
引用次数: 0

摘要

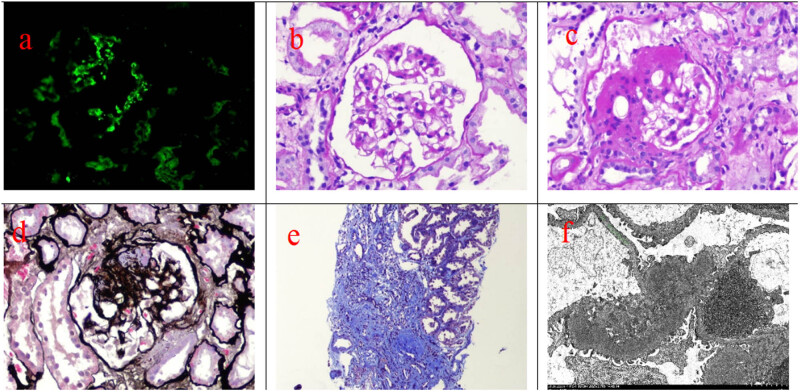
免疫球蛋白A肾病(IgAN)是中国最常见的原发性肾小球疾病;迫切需要确定更有效的IgAN治疗方法。一名34岁女性,表现为蛋白尿,持续时间为20年。她被诊断为IgA肾病,并接受了telitacicept和半剂量糖皮质激素的联合治疗。撰写本文时,患者尿蛋白浓度及肾功能均正常。泰利他塞普联合半剂量糖皮质激素是治疗IgAN的有效方法。
本文章由计算机程序翻译,如有差异,请以英文原文为准。

A case of IgA nephropathy treated with a combination of telitacicept and half-dose glucocorticoids.

A case of IgA nephropathy treated with a combination of telitacicept and half-dose glucocorticoids.

A case of IgA nephropathy treated with a combination of telitacicept and half-dose glucocorticoids.

A case of IgA nephropathy treated with a combination of telitacicept and half-dose glucocorticoids.

Immunoglobulin A nephropathy (IgAN) is the most common primary glomerular disease in China; there is an urgent need to identify more effective treatments for IgAN. A 34-year-old woman presented with proteinuria of >2 years' duration. She was diagnosed with IgA nephropathy and was treated with a combination of telitacicept and half-dose glucocorticoids. At the time of writing, the patient's urinary protein concentration and renal function were normal. A combination of telitacicept and half-dose glucocorticoids is an effective way to treat IgAN.

求助全文
通过发布文献求助,成功后即可免费获取论文全文。 去求助
来源期刊
CiteScore
2.50
自引率
4.50%
发文量
131
审稿时长
43 weeks
期刊介绍: Open Life Sciences (previously Central European Journal of Biology) is a fast growing peer-reviewed journal, devoted to scholarly research in all areas of life sciences, such as molecular biology, plant science, biotechnology, cell biology, biochemistry, biophysics, microbiology and virology, ecology, differentiation and development, genetics and many others. Open Life Sciences assures top quality of published data through critical peer review and editorial involvement throughout the whole publication process. Thanks to the Open Access model of publishing, it also offers unrestricted access to published articles for all users.
×
引用
GB/T 7714-2015
复制
MLA
复制
APA
复制
导出至
BibTeX EndNote RefMan NoteFirst NoteExpress
×
提示
您的信息不完整,为了账户安全,请先补充。
现在去补充
×
提示
您因"违规操作"
具体请查看互助需知
我知道了
×
提示
确定
请完成安全验证×
copy
已复制链接
快去分享给好友吧!
我知道了
右上角分享
点击右上角分享
0
联系我们:info@booksci.cn Book学术提供免费学术资源搜索服务,方便国内外学者检索中英文文献。致力于提供最便捷和优质的服务体验。 Copyright © 2023 布克学术 All rights reserved.
京ICP备2023020795号-1
ghs 京公网安备 11010802042870号
Book学术文献互助
Book学术文献互助群
群 号:604180095
Book学术官方微信