口腔底皮样囊肿1例及5年文献回顾。

IF 0.9 Q4 DENTISTRY, ORAL SURGERY & MEDICINE
Case Reports in Dentistry Pub Date : 2025-08-30 eCollection Date: 2025-01-01 DOI:10.1155/crid/8851087
Marco Rossi, Claudia Manera, Francesco Saverio Ludovichetti, Christian Bacci
{"title":"口腔底皮样囊肿1例及5年文献回顾。","authors":"Marco Rossi, Claudia Manera, Francesco Saverio Ludovichetti, Christian Bacci","doi":"10.1155/crid/8851087","DOIUrl":null,"url":null,"abstract":"<p><p><b>Aim:</b> The aim of the study is to present a case of a dermoid cyst in the oral floor of an 80-year-old female patient and discuss its clinical presentation, diagnostic approach, and treatment. <b>Methods:</b> A retrospective case study was conducted at the Department of Maxillofacial Surgery, Aulss 2 Marca Trevigiana. The patient, with a medical history of hypertension, presented with a swelling in the oral floor. A clinical examination was followed by a facial CT scan with and without contrast medium to evaluate the cystic lesion. The patient underwent surgical excision under general anesthesia, with subsequent histopathological analysis. <b>Results:</b> The CT scan revealed a round, homogeneous, hyperdense formation with no enhancement after contrast administration. Surgical excision was performed using an intraoral approach, and histopathology confirmed the diagnosis of a dermoid cyst with an epithelial lining of predominantly squamous type. The patient experienced no complications, and follow-up at 9 days and 2 months showed complete recovery. <b>Conclusion:</b> A dermoid cyst of the oral cavity, though rare in adults, should be considered in the differential diagnosis of oral floor swellings. Early diagnosis through clinical examination and imaging, followed by surgical excision, provides an effective and curative treatment.</p>","PeriodicalId":46841,"journal":{"name":"Case Reports in Dentistry","volume":"2025 ","pages":"8851087"},"PeriodicalIF":0.9000,"publicationDate":"2025-08-30","publicationTypes":"Journal Article","fieldsOfStudy":null,"isOpenAccess":false,"openAccessPdf":"https://www.ncbi.nlm.nih.gov/pmc/articles/PMC12413954/pdf/","citationCount":"0","resultStr":"{\"title\":\"Oral Dermoid Cyst in the Mouth Floor: A Case Report and 5-Year Review of the Literature.\",\"authors\":\"Marco Rossi, Claudia Manera, Francesco Saverio Ludovichetti, Christian Bacci\",\"doi\":\"10.1155/crid/8851087\",\"DOIUrl\":null,\"url\":null,\"abstract\":\"<p><p><b>Aim:</b> The aim of the study is to present a case of a dermoid cyst in the oral floor of an 80-year-old female patient and discuss its clinical presentation, diagnostic approach, and treatment. <b>Methods:</b> A retrospective case study was conducted at the Department of Maxillofacial Surgery, Aulss 2 Marca Trevigiana. The patient, with a medical history of hypertension, presented with a swelling in the oral floor. A clinical examination was followed by a facial CT scan with and without contrast medium to evaluate the cystic lesion. The patient underwent surgical excision under general anesthesia, with subsequent histopathological analysis. <b>Results:</b> The CT scan revealed a round, homogeneous, hyperdense formation with no enhancement after contrast administration. Surgical excision was performed using an intraoral approach, and histopathology confirmed the diagnosis of a dermoid cyst with an epithelial lining of predominantly squamous type. The patient experienced no complications, and follow-up at 9 days and 2 months showed complete recovery. <b>Conclusion:</b> A dermoid cyst of the oral cavity, though rare in adults, should be considered in the differential diagnosis of oral floor swellings. Early diagnosis through clinical examination and imaging, followed by surgical excision, provides an effective and curative treatment.</p>\",\"PeriodicalId\":46841,\"journal\":{\"name\":\"Case Reports in Dentistry\",\"volume\":\"2025 \",\"pages\":\"8851087\"},\"PeriodicalIF\":0.9000,\"publicationDate\":\"2025-08-30\",\"publicationTypes\":\"Journal Article\",\"fieldsOfStudy\":null,\"isOpenAccess\":false,\"openAccessPdf\":\"https://www.ncbi.nlm.nih.gov/pmc/articles/PMC12413954/pdf/\",\"citationCount\":\"0\",\"resultStr\":null,\"platform\":\"Semanticscholar\",\"paperid\":null,\"PeriodicalName\":\"Case Reports in Dentistry\",\"FirstCategoryId\":\"1085\",\"ListUrlMain\":\"https://doi.org/10.1155/crid/8851087\",\"RegionNum\":0,\"RegionCategory\":null,\"ArticlePicture\":[],\"TitleCN\":null,\"AbstractTextCN\":null,\"PMCID\":null,\"EPubDate\":\"2025/1/1 0:00:00\",\"PubModel\":\"eCollection\",\"JCR\":\"Q4\",\"JCRName\":\"DENTISTRY, ORAL SURGERY & MEDICINE\",\"Score\":null,\"Total\":0}","platform":"Semanticscholar","paperid":null,"PeriodicalName":"Case Reports in Dentistry","FirstCategoryId":"1085","ListUrlMain":"https://doi.org/10.1155/crid/8851087","RegionNum":0,"RegionCategory":null,"ArticlePicture":[],"TitleCN":null,"AbstractTextCN":null,"PMCID":null,"EPubDate":"2025/1/1 0:00:00","PubModel":"eCollection","JCR":"Q4","JCRName":"DENTISTRY, ORAL SURGERY & MEDICINE","Score":null,"Total":0}
引用次数: 0

摘要

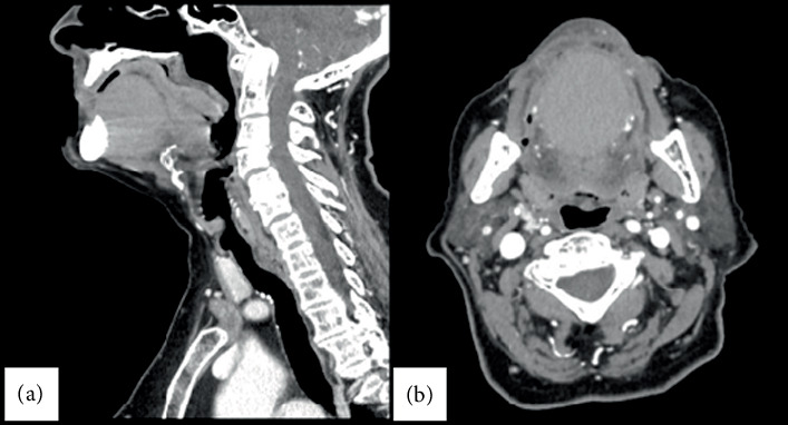
目的:本研究的目的是报告一例80岁女性患者的口腔底皮样囊肿,并讨论其临床表现、诊断方法和治疗。方法:回顾性分析特雷维吉纳大学2号院颌面外科的病例。患者有高血压病史,口腔底肿胀。临床检查后进行面部CT扫描,有或没有造影剂评估囊性病变。患者在全身麻醉下接受手术切除,并进行组织病理学分析。结果:CT扫描显示一个圆形,均匀,高密度的形成,注射造影剂后无增强。手术切除采用口内入路,组织病理学证实了皮样囊肿的诊断,上皮内衬主要为鳞状型。患者无并发症,随访9天2个月完全康复。结论:口腔皮样囊肿虽然在成人中很少见,但在口腔底肿的鉴别诊断中应予以考虑。早期诊断通过临床检查和影像学,随后手术切除,提供有效和治愈的治疗。
本文章由计算机程序翻译,如有差异,请以英文原文为准。

Oral Dermoid Cyst in the Mouth Floor: A Case Report and 5-Year Review of the Literature.

Oral Dermoid Cyst in the Mouth Floor: A Case Report and 5-Year Review of the Literature.

Oral Dermoid Cyst in the Mouth Floor: A Case Report and 5-Year Review of the Literature.

Oral Dermoid Cyst in the Mouth Floor: A Case Report and 5-Year Review of the Literature.

Aim: The aim of the study is to present a case of a dermoid cyst in the oral floor of an 80-year-old female patient and discuss its clinical presentation, diagnostic approach, and treatment. Methods: A retrospective case study was conducted at the Department of Maxillofacial Surgery, Aulss 2 Marca Trevigiana. The patient, with a medical history of hypertension, presented with a swelling in the oral floor. A clinical examination was followed by a facial CT scan with and without contrast medium to evaluate the cystic lesion. The patient underwent surgical excision under general anesthesia, with subsequent histopathological analysis. Results: The CT scan revealed a round, homogeneous, hyperdense formation with no enhancement after contrast administration. Surgical excision was performed using an intraoral approach, and histopathology confirmed the diagnosis of a dermoid cyst with an epithelial lining of predominantly squamous type. The patient experienced no complications, and follow-up at 9 days and 2 months showed complete recovery. Conclusion: A dermoid cyst of the oral cavity, though rare in adults, should be considered in the differential diagnosis of oral floor swellings. Early diagnosis through clinical examination and imaging, followed by surgical excision, provides an effective and curative treatment.

求助全文
通过发布文献求助,成功后即可免费获取论文全文。 去求助
来源期刊
Case Reports in Dentistry
Case Reports in Dentistry DENTISTRY, ORAL SURGERY & MEDICINE-
CiteScore
1.40
自引率
12.50%
发文量
107
审稿时长
14 weeks
期刊介绍: Case Reports in Dentistry is a peer-reviewed, Open Access journal that publishes case reports and case series in all areas of dentistry, including periodontal diseases, dental implants, oral pathology, as well as oral and maxillofacial surgery.
×
引用
GB/T 7714-2015
复制
MLA
复制
APA
复制
导出至
BibTeX EndNote RefMan NoteFirst NoteExpress
×
提示
您的信息不完整,为了账户安全,请先补充。
现在去补充
×
提示
您因"违规操作"
具体请查看互助需知
我知道了
×
提示
确定
请完成安全验证×
copy
已复制链接
快去分享给好友吧!
我知道了
右上角分享
点击右上角分享
0
联系我们:info@booksci.cn Book学术提供免费学术资源搜索服务,方便国内外学者检索中英文文献。致力于提供最便捷和优质的服务体验。 Copyright © 2023 布克学术 All rights reserved.
京ICP备2023020795号-1
ghs 京公网安备 11010802042870号
Book学术文献互助
Book学术文献互助群
群 号:604180095
Book学术官方微信