ICU的兄弟姐妹:保持地方性真菌病的区别。

IF 0.5 Q4 PEDIATRICS
Case Reports in Pediatrics Pub Date : 2025-08-29 eCollection Date: 2025-01-01 DOI:10.1155/crpe/8693571
Meaghan Reaney, Brittany Player, Ramya Billa, Claudia P Vicetti Miguel, Daiva Parakininkas, Charles B Rothschild
{"title":"ICU的兄弟姐妹:保持地方性真菌病的区别。","authors":"Meaghan Reaney, Brittany Player, Ramya Billa, Claudia P Vicetti Miguel, Daiva Parakininkas, Charles B Rothschild","doi":"10.1155/crpe/8693571","DOIUrl":null,"url":null,"abstract":"<p><p>Blastomycosis is a rare fungal infection caused by the inhalation of <i>Blastomyces dermatitidis</i> spores. Infection with this fungus can impact nearly every organ system, though pulmonary disease is the most common. Presentations of pulmonary blastomycosis are highly variable, ranging from clinically asymptomatic to severe respiratory failure requiring intensive care. This case series describes the clinical presentation, diagnostic challenges, management, and outcomes of two siblings with severe pulmonary blastomycosis that progressed to pediatric acute respiratory distress syndrome requiring mechanical ventilation and venovenous extracorporeal membrane oxygenation (VV-ECMO). Despite being relatively uncommon, blastomycosis should be considered in patients with respiratory symptoms not responding to empiric antibacterial therapy, particularly in endemic regions. Early diagnosis and prompt initiation of appropriate antifungal therapy are crucial for favorable outcomes. Additionally, early initiation of ECMO for severe pulmonary blastomycosis may be beneficial in temporizing to allow time for sufficient response to antifungal therapy.</p>","PeriodicalId":9623,"journal":{"name":"Case Reports in Pediatrics","volume":"2025 ","pages":"8693571"},"PeriodicalIF":0.5000,"publicationDate":"2025-08-29","publicationTypes":"Journal Article","fieldsOfStudy":null,"isOpenAccess":false,"openAccessPdf":"https://www.ncbi.nlm.nih.gov/pmc/articles/PMC12413283/pdf/","citationCount":"0","resultStr":"{\"title\":\"Siblings in the ICU: Keeping Endemic Mycoses on the Differential.\",\"authors\":\"Meaghan Reaney, Brittany Player, Ramya Billa, Claudia P Vicetti Miguel, Daiva Parakininkas, Charles B Rothschild\",\"doi\":\"10.1155/crpe/8693571\",\"DOIUrl\":null,\"url\":null,\"abstract\":\"<p><p>Blastomycosis is a rare fungal infection caused by the inhalation of <i>Blastomyces dermatitidis</i> spores. Infection with this fungus can impact nearly every organ system, though pulmonary disease is the most common. Presentations of pulmonary blastomycosis are highly variable, ranging from clinically asymptomatic to severe respiratory failure requiring intensive care. This case series describes the clinical presentation, diagnostic challenges, management, and outcomes of two siblings with severe pulmonary blastomycosis that progressed to pediatric acute respiratory distress syndrome requiring mechanical ventilation and venovenous extracorporeal membrane oxygenation (VV-ECMO). Despite being relatively uncommon, blastomycosis should be considered in patients with respiratory symptoms not responding to empiric antibacterial therapy, particularly in endemic regions. Early diagnosis and prompt initiation of appropriate antifungal therapy are crucial for favorable outcomes. Additionally, early initiation of ECMO for severe pulmonary blastomycosis may be beneficial in temporizing to allow time for sufficient response to antifungal therapy.</p>\",\"PeriodicalId\":9623,\"journal\":{\"name\":\"Case Reports in Pediatrics\",\"volume\":\"2025 \",\"pages\":\"8693571\"},\"PeriodicalIF\":0.5000,\"publicationDate\":\"2025-08-29\",\"publicationTypes\":\"Journal Article\",\"fieldsOfStudy\":null,\"isOpenAccess\":false,\"openAccessPdf\":\"https://www.ncbi.nlm.nih.gov/pmc/articles/PMC12413283/pdf/\",\"citationCount\":\"0\",\"resultStr\":null,\"platform\":\"Semanticscholar\",\"paperid\":null,\"PeriodicalName\":\"Case Reports in Pediatrics\",\"FirstCategoryId\":\"1085\",\"ListUrlMain\":\"https://doi.org/10.1155/crpe/8693571\",\"RegionNum\":0,\"RegionCategory\":null,\"ArticlePicture\":[],\"TitleCN\":null,\"AbstractTextCN\":null,\"PMCID\":null,\"EPubDate\":\"2025/1/1 0:00:00\",\"PubModel\":\"eCollection\",\"JCR\":\"Q4\",\"JCRName\":\"PEDIATRICS\",\"Score\":null,\"Total\":0}","platform":"Semanticscholar","paperid":null,"PeriodicalName":"Case Reports in Pediatrics","FirstCategoryId":"1085","ListUrlMain":"https://doi.org/10.1155/crpe/8693571","RegionNum":0,"RegionCategory":null,"ArticlePicture":[],"TitleCN":null,"AbstractTextCN":null,"PMCID":null,"EPubDate":"2025/1/1 0:00:00","PubModel":"eCollection","JCR":"Q4","JCRName":"PEDIATRICS","Score":null,"Total":0}
引用次数: 0

摘要

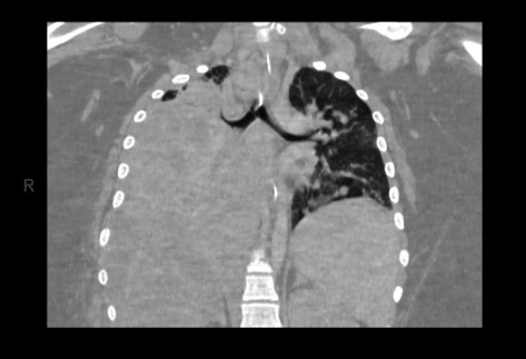
芽生菌病是一种罕见的真菌感染,由吸入皮炎芽生菌孢子引起。这种真菌感染几乎可以影响每个器官系统,尽管肺部疾病是最常见的。肺芽孢菌病的表现变化很大,从临床无症状到需要重症监护的严重呼吸衰竭。本病例系列描述了两个兄弟姐妹的临床表现、诊断挑战、管理和结果,他们患有严重的肺芽孢菌病,并发展为儿童急性呼吸窘迫综合征,需要机械通气和静脉-静脉体外膜氧合(VV-ECMO)。尽管相对罕见,但在呼吸道症状对经验性抗菌治疗无反应的患者中,应考虑芽生菌病,特别是在流行地区。早期诊断和及时开始适当的抗真菌治疗对良好的结果至关重要。此外,对于严重的肺芽孢菌病,早期开始ECMO可能有利于延缓时间,以便有足够的时间对抗真菌治疗产生充分的反应。
本文章由计算机程序翻译,如有差异,请以英文原文为准。

Siblings in the ICU: Keeping Endemic Mycoses on the Differential.

Siblings in the ICU: Keeping Endemic Mycoses on the Differential.

Siblings in the ICU: Keeping Endemic Mycoses on the Differential.

Siblings in the ICU: Keeping Endemic Mycoses on the Differential.

Blastomycosis is a rare fungal infection caused by the inhalation of Blastomyces dermatitidis spores. Infection with this fungus can impact nearly every organ system, though pulmonary disease is the most common. Presentations of pulmonary blastomycosis are highly variable, ranging from clinically asymptomatic to severe respiratory failure requiring intensive care. This case series describes the clinical presentation, diagnostic challenges, management, and outcomes of two siblings with severe pulmonary blastomycosis that progressed to pediatric acute respiratory distress syndrome requiring mechanical ventilation and venovenous extracorporeal membrane oxygenation (VV-ECMO). Despite being relatively uncommon, blastomycosis should be considered in patients with respiratory symptoms not responding to empiric antibacterial therapy, particularly in endemic regions. Early diagnosis and prompt initiation of appropriate antifungal therapy are crucial for favorable outcomes. Additionally, early initiation of ECMO for severe pulmonary blastomycosis may be beneficial in temporizing to allow time for sufficient response to antifungal therapy.

求助全文
通过发布文献求助,成功后即可免费获取论文全文。 去求助
来源期刊
自引率
11.10%
发文量
48
审稿时长
13 weeks
×
引用
GB/T 7714-2015
复制
MLA
复制
APA
复制
导出至
BibTeX EndNote RefMan NoteFirst NoteExpress
×
提示
您的信息不完整,为了账户安全,请先补充。
现在去补充
×
提示
您因"违规操作"
具体请查看互助需知
我知道了
×
提示
确定
请完成安全验证×
copy
已复制链接
快去分享给好友吧!
我知道了
右上角分享
点击右上角分享
0
联系我们:info@booksci.cn Book学术提供免费学术资源搜索服务,方便国内外学者检索中英文文献。致力于提供最便捷和优质的服务体验。 Copyright © 2023 布克学术 All rights reserved.
京ICP备2023020795号-1
ghs 京公网安备 11010802042870号
Book学术文献互助
Book学术文献互助群
群 号:604180095
Book学术官方微信