支气管肺泡灌洗联合糖皮质激素治疗急性外源性脂质性肺炎3例报告

IF 0.7 Q3 MEDICINE, GENERAL & INTERNAL
Case Reports in Medicine Pub Date : 2025-08-30 eCollection Date: 2025-01-01 DOI:10.1155/carm/4165969
Xue Huang, Mingjun Wu, Qingliang Xue, Guowei Yu
{"title":"支气管肺泡灌洗联合糖皮质激素治疗急性外源性脂质性肺炎3例报告","authors":"Xue Huang, Mingjun Wu, Qingliang Xue, Guowei Yu","doi":"10.1155/carm/4165969","DOIUrl":null,"url":null,"abstract":"<p><p>Exogenous lipoid pneumonia (ELP) is a rare disease with both acute and chronic forms. This paper primarily summarizes the diagnosis and treatment process of bronchoalveolar lavage combined with glucocorticoids treatment of acute ELP caused by aspiration of liquid hydrocarbons (e.g., kerosene and diesel fuel) at our hospital. Furthermore, the present study analyzes the advantages of bronchoalveolar lavage combined with glucocorticoids treatment of acute ELP.</p>","PeriodicalId":9627,"journal":{"name":"Case Reports in Medicine","volume":"2025 ","pages":"4165969"},"PeriodicalIF":0.7000,"publicationDate":"2025-08-30","publicationTypes":"Journal Article","fieldsOfStudy":null,"isOpenAccess":false,"openAccessPdf":"https://www.ncbi.nlm.nih.gov/pmc/articles/PMC12413942/pdf/","citationCount":"0","resultStr":"{\"title\":\"Bronchoalveolar Lavages Combined With Glucocorticoids in Management of Acute Exogenous Lipoid Pneumonia: 3 Case Reports.\",\"authors\":\"Xue Huang, Mingjun Wu, Qingliang Xue, Guowei Yu\",\"doi\":\"10.1155/carm/4165969\",\"DOIUrl\":null,\"url\":null,\"abstract\":\"<p><p>Exogenous lipoid pneumonia (ELP) is a rare disease with both acute and chronic forms. This paper primarily summarizes the diagnosis and treatment process of bronchoalveolar lavage combined with glucocorticoids treatment of acute ELP caused by aspiration of liquid hydrocarbons (e.g., kerosene and diesel fuel) at our hospital. Furthermore, the present study analyzes the advantages of bronchoalveolar lavage combined with glucocorticoids treatment of acute ELP.</p>\",\"PeriodicalId\":9627,\"journal\":{\"name\":\"Case Reports in Medicine\",\"volume\":\"2025 \",\"pages\":\"4165969\"},\"PeriodicalIF\":0.7000,\"publicationDate\":\"2025-08-30\",\"publicationTypes\":\"Journal Article\",\"fieldsOfStudy\":null,\"isOpenAccess\":false,\"openAccessPdf\":\"https://www.ncbi.nlm.nih.gov/pmc/articles/PMC12413942/pdf/\",\"citationCount\":\"0\",\"resultStr\":null,\"platform\":\"Semanticscholar\",\"paperid\":null,\"PeriodicalName\":\"Case Reports in Medicine\",\"FirstCategoryId\":\"1085\",\"ListUrlMain\":\"https://doi.org/10.1155/carm/4165969\",\"RegionNum\":0,\"RegionCategory\":null,\"ArticlePicture\":[],\"TitleCN\":null,\"AbstractTextCN\":null,\"PMCID\":null,\"EPubDate\":\"2025/1/1 0:00:00\",\"PubModel\":\"eCollection\",\"JCR\":\"Q3\",\"JCRName\":\"MEDICINE, GENERAL & INTERNAL\",\"Score\":null,\"Total\":0}","platform":"Semanticscholar","paperid":null,"PeriodicalName":"Case Reports in Medicine","FirstCategoryId":"1085","ListUrlMain":"https://doi.org/10.1155/carm/4165969","RegionNum":0,"RegionCategory":null,"ArticlePicture":[],"TitleCN":null,"AbstractTextCN":null,"PMCID":null,"EPubDate":"2025/1/1 0:00:00","PubModel":"eCollection","JCR":"Q3","JCRName":"MEDICINE, GENERAL & INTERNAL","Score":null,"Total":0}
引用次数: 0

摘要

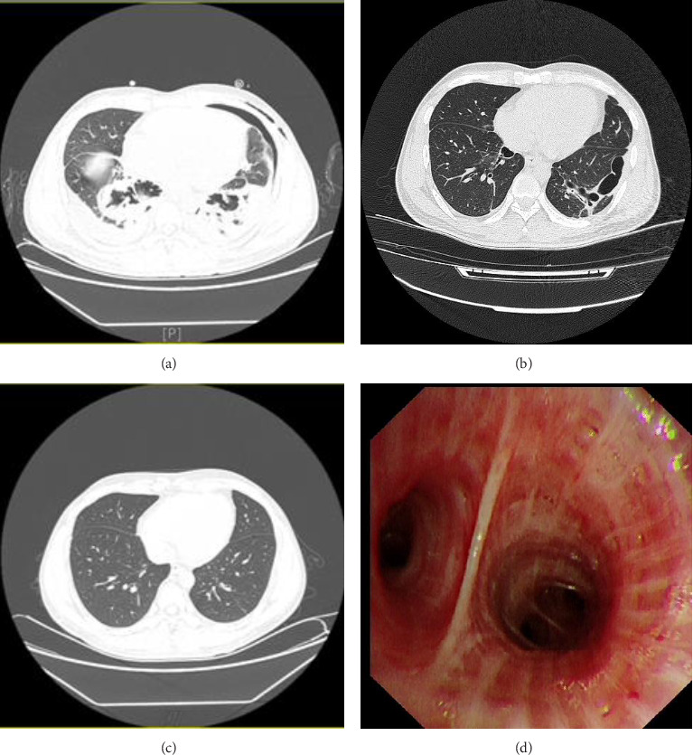
外源性脂质肺炎(ELP)是一种罕见的疾病,有急性和慢性形式。本文主要总结我院支气管肺泡灌洗联合糖皮质激素治疗吸入液体碳氢化合物(如煤油、柴油)致急性ELP的诊治过程。此外,本研究分析了支气管肺泡灌洗联合糖皮质激素治疗急性ELP的优势。
本文章由计算机程序翻译,如有差异,请以英文原文为准。

Bronchoalveolar Lavages Combined With Glucocorticoids in Management of Acute Exogenous Lipoid Pneumonia: 3 Case Reports.

Bronchoalveolar Lavages Combined With Glucocorticoids in Management of Acute Exogenous Lipoid Pneumonia: 3 Case Reports.

Bronchoalveolar Lavages Combined With Glucocorticoids in Management of Acute Exogenous Lipoid Pneumonia: 3 Case Reports.

Bronchoalveolar Lavages Combined With Glucocorticoids in Management of Acute Exogenous Lipoid Pneumonia: 3 Case Reports.

Exogenous lipoid pneumonia (ELP) is a rare disease with both acute and chronic forms. This paper primarily summarizes the diagnosis and treatment process of bronchoalveolar lavage combined with glucocorticoids treatment of acute ELP caused by aspiration of liquid hydrocarbons (e.g., kerosene and diesel fuel) at our hospital. Furthermore, the present study analyzes the advantages of bronchoalveolar lavage combined with glucocorticoids treatment of acute ELP.

求助全文
通过发布文献求助,成功后即可免费获取论文全文。 去求助
来源期刊
Case Reports in Medicine
Case Reports in Medicine MEDICINE, GENERAL & INTERNAL-
CiteScore
1.70
自引率
0.00%
发文量
53
审稿时长
13 weeks
×
引用
GB/T 7714-2015
复制
MLA
复制
APA
复制
导出至
BibTeX EndNote RefMan NoteFirst NoteExpress
×
提示
您的信息不完整,为了账户安全,请先补充。
现在去补充
×
提示
您因"违规操作"
具体请查看互助需知
我知道了
×
提示
确定
请完成安全验证×
copy
已复制链接
快去分享给好友吧!
我知道了
右上角分享
点击右上角分享
0
联系我们:info@booksci.cn Book学术提供免费学术资源搜索服务,方便国内外学者检索中英文文献。致力于提供最便捷和优质的服务体验。 Copyright © 2023 布克学术 All rights reserved.
京ICP备2023020795号-1
ghs 京公网安备 11010802042870号
Book学术文献互助
Book学术文献互助群
群 号:604180095
Book学术官方微信