达非尼加曲美替尼成功治疗BRAF v600e突变型弥漫性肺朗格汉斯细胞组织细胞增多症1例

IF 0.8 Q4 RESPIRATORY SYSTEM
Respirology Case Reports Pub Date : 2025-09-04 eCollection Date: 2025-09-01 DOI:10.1002/rcr2.70339
Akiko Sakurai, Tetsutaro Nagaoka, Chisato Tadokoro, Shunichi Kataoka, Yuriko Terayama, Yuichi Nagata, Yoshifumi Suzuki, Taichi Miyawaki, Motoyasu Kato, Takuo Hayashi, Kazuhisa Takahashi
{"title":"达非尼加曲美替尼成功治疗BRAF v600e突变型弥漫性肺朗格汉斯细胞组织细胞增多症1例","authors":"Akiko Sakurai, Tetsutaro Nagaoka, Chisato Tadokoro, Shunichi Kataoka, Yuriko Terayama, Yuichi Nagata, Yoshifumi Suzuki, Taichi Miyawaki, Motoyasu Kato, Takuo Hayashi, Kazuhisa Takahashi","doi":"10.1002/rcr2.70339","DOIUrl":null,"url":null,"abstract":"<p><p>Pulmonary Langerhans cell histiocytosis (PLCH) is a rare diffuse lung disease that is strongly associated with cigarette smoking, with the BRAF V600E mutation identified in approximately half of all cases. In Japan, combination therapy with BRAF and MEK inhibitors has recently been approved as an alternative treatment option. We report the case of a 30-year-old woman diagnosed with BRAF V600E-mutant PLCH who was treated with dabrafenib in combination with trametinib. Chest computed tomography performed 3 months after the initiation of therapy demonstrated improvement in pericystic opacities, and this radiological response was sustained for over 1 year. Improvements in exercise tolerance, pulmonary function, and pulmonary haemodynamics have been observed clinically. These findings suggest that dabrafenib plus trametinib is a promising therapeutic option for patients with PLCH.</p>","PeriodicalId":45846,"journal":{"name":"Respirology Case Reports","volume":"13 9","pages":"e70339"},"PeriodicalIF":0.8000,"publicationDate":"2025-09-04","publicationTypes":"Journal Article","fieldsOfStudy":null,"isOpenAccess":false,"openAccessPdf":"https://www.ncbi.nlm.nih.gov/pmc/articles/PMC12411102/pdf/","citationCount":"0","resultStr":"{\"title\":\"BRAF V600E-Mutant Diffuse Pulmonary Langerhans Cell Histiocytosis Successfully Treated With Dabrafenib Plus Trametinib: A Case Report.\",\"authors\":\"Akiko Sakurai, Tetsutaro Nagaoka, Chisato Tadokoro, Shunichi Kataoka, Yuriko Terayama, Yuichi Nagata, Yoshifumi Suzuki, Taichi Miyawaki, Motoyasu Kato, Takuo Hayashi, Kazuhisa Takahashi\",\"doi\":\"10.1002/rcr2.70339\",\"DOIUrl\":null,\"url\":null,\"abstract\":\"<p><p>Pulmonary Langerhans cell histiocytosis (PLCH) is a rare diffuse lung disease that is strongly associated with cigarette smoking, with the BRAF V600E mutation identified in approximately half of all cases. In Japan, combination therapy with BRAF and MEK inhibitors has recently been approved as an alternative treatment option. We report the case of a 30-year-old woman diagnosed with BRAF V600E-mutant PLCH who was treated with dabrafenib in combination with trametinib. Chest computed tomography performed 3 months after the initiation of therapy demonstrated improvement in pericystic opacities, and this radiological response was sustained for over 1 year. Improvements in exercise tolerance, pulmonary function, and pulmonary haemodynamics have been observed clinically. These findings suggest that dabrafenib plus trametinib is a promising therapeutic option for patients with PLCH.</p>\",\"PeriodicalId\":45846,\"journal\":{\"name\":\"Respirology Case Reports\",\"volume\":\"13 9\",\"pages\":\"e70339\"},\"PeriodicalIF\":0.8000,\"publicationDate\":\"2025-09-04\",\"publicationTypes\":\"Journal Article\",\"fieldsOfStudy\":null,\"isOpenAccess\":false,\"openAccessPdf\":\"https://www.ncbi.nlm.nih.gov/pmc/articles/PMC12411102/pdf/\",\"citationCount\":\"0\",\"resultStr\":null,\"platform\":\"Semanticscholar\",\"paperid\":null,\"PeriodicalName\":\"Respirology Case Reports\",\"FirstCategoryId\":\"1085\",\"ListUrlMain\":\"https://doi.org/10.1002/rcr2.70339\",\"RegionNum\":0,\"RegionCategory\":null,\"ArticlePicture\":[],\"TitleCN\":null,\"AbstractTextCN\":null,\"PMCID\":null,\"EPubDate\":\"2025/9/1 0:00:00\",\"PubModel\":\"eCollection\",\"JCR\":\"Q4\",\"JCRName\":\"RESPIRATORY SYSTEM\",\"Score\":null,\"Total\":0}","platform":"Semanticscholar","paperid":null,"PeriodicalName":"Respirology Case Reports","FirstCategoryId":"1085","ListUrlMain":"https://doi.org/10.1002/rcr2.70339","RegionNum":0,"RegionCategory":null,"ArticlePicture":[],"TitleCN":null,"AbstractTextCN":null,"PMCID":null,"EPubDate":"2025/9/1 0:00:00","PubModel":"eCollection","JCR":"Q4","JCRName":"RESPIRATORY SYSTEM","Score":null,"Total":0}
引用次数: 0

摘要

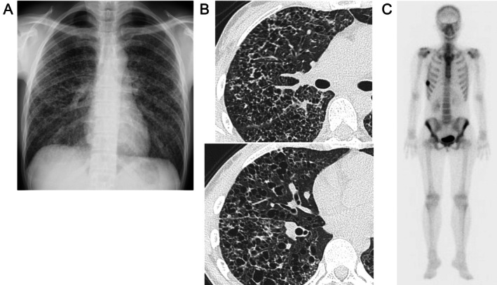
肺朗格汉斯细胞组织细胞增多症(PLCH)是一种罕见的弥漫性肺部疾病,与吸烟密切相关,在大约一半的病例中发现BRAF V600E突变。在日本,BRAF和MEK抑制剂联合治疗最近被批准为一种替代治疗方案。我们报告一例30岁的女性被诊断为BRAF v600e突变PLCH,她使用达非尼联合曲美替尼治疗。治疗开始3个月后进行的胸部计算机断层扫描显示囊周混浊有所改善,这种放射反应持续了1年多。临床观察到运动耐量、肺功能和肺血流动力学的改善。这些发现表明,达非尼加曲美替尼是PLCH患者的一种有希望的治疗选择。
本文章由计算机程序翻译,如有差异,请以英文原文为准。

BRAF V600E-Mutant Diffuse Pulmonary Langerhans Cell Histiocytosis Successfully Treated With Dabrafenib Plus Trametinib: A Case Report.

BRAF V600E-Mutant Diffuse Pulmonary Langerhans Cell Histiocytosis Successfully Treated With Dabrafenib Plus Trametinib: A Case Report.

BRAF V600E-Mutant Diffuse Pulmonary Langerhans Cell Histiocytosis Successfully Treated With Dabrafenib Plus Trametinib: A Case Report.

BRAF V600E-Mutant Diffuse Pulmonary Langerhans Cell Histiocytosis Successfully Treated With Dabrafenib Plus Trametinib: A Case Report.

Pulmonary Langerhans cell histiocytosis (PLCH) is a rare diffuse lung disease that is strongly associated with cigarette smoking, with the BRAF V600E mutation identified in approximately half of all cases. In Japan, combination therapy with BRAF and MEK inhibitors has recently been approved as an alternative treatment option. We report the case of a 30-year-old woman diagnosed with BRAF V600E-mutant PLCH who was treated with dabrafenib in combination with trametinib. Chest computed tomography performed 3 months after the initiation of therapy demonstrated improvement in pericystic opacities, and this radiological response was sustained for over 1 year. Improvements in exercise tolerance, pulmonary function, and pulmonary haemodynamics have been observed clinically. These findings suggest that dabrafenib plus trametinib is a promising therapeutic option for patients with PLCH.

求助全文
通过发布文献求助,成功后即可免费获取论文全文。 去求助
来源期刊
Respirology Case Reports
Respirology Case Reports RESPIRATORY SYSTEM-
CiteScore
1.40
自引率
0.00%
发文量
178
审稿时长
8 weeks
期刊介绍: Respirology Case Reports is an open-access online journal dedicated to the publication of original clinical case reports, case series, clinical images and clinical videos in all fields of respiratory medicine. The Journal encourages the international exchange between clinicians and researchers of experiences in diagnosing and treating uncommon diseases or diseases with unusual presentations. All manuscripts are peer-reviewed through a streamlined process that aims at providing a rapid turnaround time from submission to publication.
×
引用
GB/T 7714-2015
复制
MLA
复制
APA
复制
导出至
BibTeX EndNote RefMan NoteFirst NoteExpress
×
提示
您的信息不完整,为了账户安全,请先补充。
现在去补充
×
提示
您因"违规操作"
具体请查看互助需知
我知道了
×
提示
确定
请完成安全验证×
copy
已复制链接
快去分享给好友吧!
我知道了
右上角分享
点击右上角分享
0
联系我们:info@booksci.cn Book学术提供免费学术资源搜索服务,方便国内外学者检索中英文文献。致力于提供最便捷和优质的服务体验。 Copyright © 2023 布克学术 All rights reserved.
京ICP备2023020795号-1
ghs 京公网安备 11010802042870号
Book学术文献互助
Book学术文献互助群
群 号:604180095
Book学术官方微信