影像在慢性中耳炎及其并发症中的作用。

IF 1.5 Q3 RADIOLOGY, NUCLEAR MEDICINE & MEDICAL IMAGING
Kemal Bugra Memis, Sonay Aydin
{"title":"影像在慢性中耳炎及其并发症中的作用。","authors":"Kemal Bugra Memis, Sonay Aydin","doi":"10.4329/wjr.v17.i8.109447","DOIUrl":null,"url":null,"abstract":"<p><p>Chronic otitis media (COM) is a long-standing inflammatory condition affecting the middle ear and mastoid cavity, often resulting in progressive structural damage and functional deficits. Radiological imaging is fundamental in diagnosing the disease, assessing its severity, and identifying possible complications. The literature indicates that the prevalence rates of extracranial and intracranial complications range from 0.69% to 5%, while the mortality rate for intracranial complications is 26%. While magnetic resonance imaging is particularly useful in distinguishing soft tissue abnormalities and detecting intracranial extensions like meningitis, brain abscess, and sigmoid sinus thrombosis, high-resolution computed tomography remains the preferred modality for evaluating bony erosion, cholesteatoma, and mastoid involvement. Key complications such as ossicular chain destruction, facial nerve damage, and labyrinthine fistulae can be precisely identified using advanced imaging modalities, allowing for timely and effective surgical intervention. This minireview underscores the essential role of radiology in both diagnosing and managing COM, highlighting critical imaging findings that facilitate early detection and inform treatment decisions. A collaborative approach among radiologists, otolaryngologists, and infectious disease specialists is crucial for improving clinical outcomes in affected patients.</p>","PeriodicalId":23819,"journal":{"name":"World journal of radiology","volume":"17 8","pages":"109447"},"PeriodicalIF":1.5000,"publicationDate":"2025-08-28","publicationTypes":"Journal Article","fieldsOfStudy":null,"isOpenAccess":false,"openAccessPdf":"https://www.ncbi.nlm.nih.gov/pmc/articles/PMC12400283/pdf/","citationCount":"0","resultStr":"{\"title\":\"Role of imaging in chronic otitis media and its complications.\",\"authors\":\"Kemal Bugra Memis, Sonay Aydin\",\"doi\":\"10.4329/wjr.v17.i8.109447\",\"DOIUrl\":null,\"url\":null,\"abstract\":\"<p><p>Chronic otitis media (COM) is a long-standing inflammatory condition affecting the middle ear and mastoid cavity, often resulting in progressive structural damage and functional deficits. Radiological imaging is fundamental in diagnosing the disease, assessing its severity, and identifying possible complications. The literature indicates that the prevalence rates of extracranial and intracranial complications range from 0.69% to 5%, while the mortality rate for intracranial complications is 26%. While magnetic resonance imaging is particularly useful in distinguishing soft tissue abnormalities and detecting intracranial extensions like meningitis, brain abscess, and sigmoid sinus thrombosis, high-resolution computed tomography remains the preferred modality for evaluating bony erosion, cholesteatoma, and mastoid involvement. Key complications such as ossicular chain destruction, facial nerve damage, and labyrinthine fistulae can be precisely identified using advanced imaging modalities, allowing for timely and effective surgical intervention. This minireview underscores the essential role of radiology in both diagnosing and managing COM, highlighting critical imaging findings that facilitate early detection and inform treatment decisions. A collaborative approach among radiologists, otolaryngologists, and infectious disease specialists is crucial for improving clinical outcomes in affected patients.</p>\",\"PeriodicalId\":23819,\"journal\":{\"name\":\"World journal of radiology\",\"volume\":\"17 8\",\"pages\":\"109447\"},\"PeriodicalIF\":1.5000,\"publicationDate\":\"2025-08-28\",\"publicationTypes\":\"Journal Article\",\"fieldsOfStudy\":null,\"isOpenAccess\":false,\"openAccessPdf\":\"https://www.ncbi.nlm.nih.gov/pmc/articles/PMC12400283/pdf/\",\"citationCount\":\"0\",\"resultStr\":null,\"platform\":\"Semanticscholar\",\"paperid\":null,\"PeriodicalName\":\"World journal of radiology\",\"FirstCategoryId\":\"1085\",\"ListUrlMain\":\"https://doi.org/10.4329/wjr.v17.i8.109447\",\"RegionNum\":0,\"RegionCategory\":null,\"ArticlePicture\":[],\"TitleCN\":null,\"AbstractTextCN\":null,\"PMCID\":null,\"EPubDate\":\"\",\"PubModel\":\"\",\"JCR\":\"Q3\",\"JCRName\":\"RADIOLOGY, NUCLEAR MEDICINE & MEDICAL IMAGING\",\"Score\":null,\"Total\":0}","platform":"Semanticscholar","paperid":null,"PeriodicalName":"World journal of radiology","FirstCategoryId":"1085","ListUrlMain":"https://doi.org/10.4329/wjr.v17.i8.109447","RegionNum":0,"RegionCategory":null,"ArticlePicture":[],"TitleCN":null,"AbstractTextCN":null,"PMCID":null,"EPubDate":"","PubModel":"","JCR":"Q3","JCRName":"RADIOLOGY, NUCLEAR MEDICINE & MEDICAL IMAGING","Score":null,"Total":0}
引用次数: 0

摘要

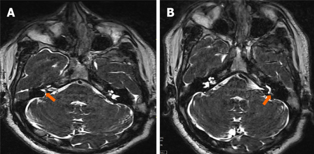
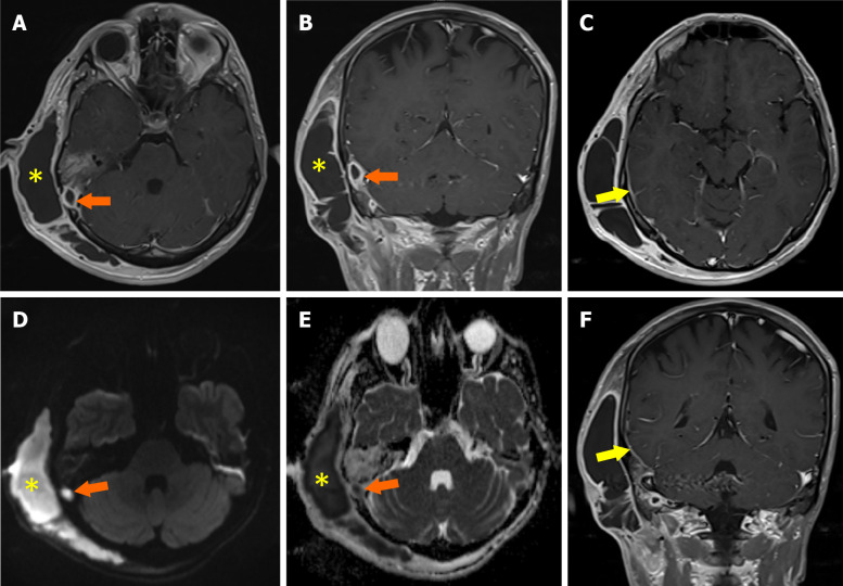
慢性中耳炎(COM)是一种影响中耳和乳突腔的长期炎症,通常导致进行性结构损伤和功能缺陷。放射成像是诊断疾病、评估其严重程度和识别可能的并发症的基础。文献显示颅外、颅内合并症患病率为0.69% ~ 5%,颅内合并症死亡率为26%。虽然磁共振成像在区分软组织异常和检测颅内延伸(如脑膜炎、脑脓肿和乙状窦血栓形成)方面特别有用,但高分辨率计算机断层扫描仍然是评估骨侵蚀、胆脂瘤和乳突受累的首选方式。关键并发症,如听骨链破坏、面神经损伤和迷路瘘管可以通过先进的成像方式精确识别,允许及时有效的手术干预。这篇小型综述强调了放射学在诊断和治疗COM中的重要作用,强调了有助于早期发现和指导治疗决策的关键影像学发现。放射科医生、耳鼻喉科医生和传染病专家之间的合作方法对于改善受影响患者的临床结果至关重要。
本文章由计算机程序翻译,如有差异,请以英文原文为准。

Role of imaging in chronic otitis media and its complications.

Role of imaging in chronic otitis media and its complications.

Role of imaging in chronic otitis media and its complications.

Role of imaging in chronic otitis media and its complications.

Chronic otitis media (COM) is a long-standing inflammatory condition affecting the middle ear and mastoid cavity, often resulting in progressive structural damage and functional deficits. Radiological imaging is fundamental in diagnosing the disease, assessing its severity, and identifying possible complications. The literature indicates that the prevalence rates of extracranial and intracranial complications range from 0.69% to 5%, while the mortality rate for intracranial complications is 26%. While magnetic resonance imaging is particularly useful in distinguishing soft tissue abnormalities and detecting intracranial extensions like meningitis, brain abscess, and sigmoid sinus thrombosis, high-resolution computed tomography remains the preferred modality for evaluating bony erosion, cholesteatoma, and mastoid involvement. Key complications such as ossicular chain destruction, facial nerve damage, and labyrinthine fistulae can be precisely identified using advanced imaging modalities, allowing for timely and effective surgical intervention. This minireview underscores the essential role of radiology in both diagnosing and managing COM, highlighting critical imaging findings that facilitate early detection and inform treatment decisions. A collaborative approach among radiologists, otolaryngologists, and infectious disease specialists is crucial for improving clinical outcomes in affected patients.

求助全文
通过发布文献求助,成功后即可免费获取论文全文。 去求助
来源期刊
World journal of radiology
World journal of radiology RADIOLOGY, NUCLEAR MEDICINE & MEDICAL IMAGING-
自引率
8.00%
发文量
35
×
引用
GB/T 7714-2015
复制
MLA
复制
APA
复制
导出至
BibTeX EndNote RefMan NoteFirst NoteExpress
×
提示
您的信息不完整,为了账户安全,请先补充。
现在去补充
×
提示
您因"违规操作"
具体请查看互助需知
我知道了
×
提示
确定
请完成安全验证×
copy
已复制链接
快去分享给好友吧!
我知道了
右上角分享
点击右上角分享
0
联系我们:info@booksci.cn Book学术提供免费学术资源搜索服务,方便国内外学者检索中英文文献。致力于提供最便捷和优质的服务体验。 Copyright © 2023 布克学术 All rights reserved.
京ICP备2023020795号-1
ghs 京公网安备 11010802042870号
Book学术文献互助
Book学术文献互助群
群 号:604180095
Book学术官方微信