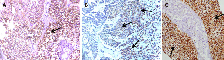
更正“磷酸丝氨酸- 9糖原合成酶激酶-3β/ β-连环蛋白在膀胱癌患者中的临床组织病理学意义”。

IF 3.2 Q3 ONCOLOGY
Niharika Maurya, Rinni Singh, Apul Goel, Atin Singhai, Uday Pratap Singh, Vinita Agrawal, Minal Garg
{"title":"更正“磷酸丝氨酸- 9糖原合成酶激酶-3β/ β-连环蛋白在膀胱癌患者中的临床组织病理学意义”。","authors":"Niharika Maurya, Rinni Singh, Apul Goel, Atin Singhai, Uday Pratap Singh, Vinita Agrawal, Minal Garg","doi":"10.5306/wjco.v16.i8.107778","DOIUrl":null,"url":null,"abstract":"<p><p>[This corrects the article on p. 166 in vol. 10, PMID: 31114749.].</p>","PeriodicalId":23802,"journal":{"name":"World journal of clinical oncology","volume":"16 8","pages":"107778"},"PeriodicalIF":3.2000,"publicationDate":"2025-08-24","publicationTypes":"Journal Article","fieldsOfStudy":null,"isOpenAccess":false,"openAccessPdf":"https://www.ncbi.nlm.nih.gov/pmc/articles/PMC12400227/pdf/","citationCount":"0","resultStr":"{\"title\":\"Correction to \\\"Clinicohistopathological implications of phosphoserine 9 glycogen synthase kinase-3β/ β-catenin in urinary bladder cancer patients\\\".\",\"authors\":\"Niharika Maurya, Rinni Singh, Apul Goel, Atin Singhai, Uday Pratap Singh, Vinita Agrawal, Minal Garg\",\"doi\":\"10.5306/wjco.v16.i8.107778\",\"DOIUrl\":null,\"url\":null,\"abstract\":\"<p><p>[This corrects the article on p. 166 in vol. 10, PMID: 31114749.].</p>\",\"PeriodicalId\":23802,\"journal\":{\"name\":\"World journal of clinical oncology\",\"volume\":\"16 8\",\"pages\":\"107778\"},\"PeriodicalIF\":3.2000,\"publicationDate\":\"2025-08-24\",\"publicationTypes\":\"Journal Article\",\"fieldsOfStudy\":null,\"isOpenAccess\":false,\"openAccessPdf\":\"https://www.ncbi.nlm.nih.gov/pmc/articles/PMC12400227/pdf/\",\"citationCount\":\"0\",\"resultStr\":null,\"platform\":\"Semanticscholar\",\"paperid\":null,\"PeriodicalName\":\"World journal of clinical oncology\",\"FirstCategoryId\":\"1085\",\"ListUrlMain\":\"https://doi.org/10.5306/wjco.v16.i8.107778\",\"RegionNum\":0,\"RegionCategory\":null,\"ArticlePicture\":[],\"TitleCN\":null,\"AbstractTextCN\":null,\"PMCID\":null,\"EPubDate\":\"\",\"PubModel\":\"\",\"JCR\":\"Q3\",\"JCRName\":\"ONCOLOGY\",\"Score\":null,\"Total\":0}","platform":"Semanticscholar","paperid":null,"PeriodicalName":"World journal of clinical oncology","FirstCategoryId":"1085","ListUrlMain":"https://doi.org/10.5306/wjco.v16.i8.107778","RegionNum":0,"RegionCategory":null,"ArticlePicture":[],"TitleCN":null,"AbstractTextCN":null,"PMCID":null,"EPubDate":"","PubModel":"","JCR":"Q3","JCRName":"ONCOLOGY","Score":null,"Total":0}
引用次数: 0

摘要

[这更正了第10卷第166页的文章,PMID: 31114749]。
本文章由计算机程序翻译,如有差异,请以英文原文为准。

Correction to "Clinicohistopathological implications of phosphoserine 9 glycogen synthase kinase-3β/ β-catenin in urinary bladder cancer patients".

Correction to "Clinicohistopathological implications of phosphoserine 9 glycogen synthase kinase-3β/ β-catenin in urinary bladder cancer patients".

[This corrects the article on p. 166 in vol. 10, PMID: 31114749.].

求助全文
通过发布文献求助,成功后即可免费获取论文全文。 去求助
来源期刊
自引率
0.00%
发文量
585
期刊介绍: The WJCO is a high-quality, peer reviewed, open-access journal. The primary task of WJCO is to rapidly publish high-quality original articles, reviews, editorials, and case reports in the field of oncology. In order to promote productive academic communication, the peer review process for the WJCO is transparent; to this end, all published manuscripts are accompanied by the anonymized reviewers’ comments as well as the authors’ responses. The primary aims of the WJCO are to improve diagnostic, therapeutic and preventive modalities and the skills of clinicians and to guide clinical practice in oncology. Scope: Art of Oncology, Biology of Neoplasia, Breast Cancer, Cancer Prevention and Control, Cancer-Related Complications, Diagnosis in Oncology, Gastrointestinal Cancer, Genetic Testing For Cancer, Gynecologic Cancer, Head and Neck Cancer, Hematologic Malignancy, Lung Cancer, Melanoma, Molecular Oncology, Neurooncology, Palliative and Supportive Care, Pediatric Oncology, Surgical Oncology, Translational Oncology, and Urologic Oncology.
×
引用
GB/T 7714-2015
复制
MLA
复制
APA
复制
导出至
BibTeX EndNote RefMan NoteFirst NoteExpress
×
提示
您的信息不完整,为了账户安全,请先补充。
现在去补充
×
提示
您因"违规操作"
具体请查看互助需知
我知道了
×
提示
确定
请完成安全验证×
copy
已复制链接
快去分享给好友吧!
我知道了
右上角分享
点击右上角分享
0
联系我们:info@booksci.cn Book学术提供免费学术资源搜索服务,方便国内外学者检索中英文文献。致力于提供最便捷和优质的服务体验。 Copyright © 2023 布克学术 All rights reserved.
京ICP备2023020795号-1
ghs 京公网安备 11010802042870号
Book学术文献互助
Book学术文献互助群
群 号:604180095
Book学术官方微信