治疗性血浆交换在登革热相关微血管病中的作用。

IF 0.6 Q4 HEMATOLOGY
Asian Journal of Transfusion Science Pub Date : 2025-01-01 Epub Date: 2024-08-22 DOI:10.4103/ajts.ajts_227_23
Aarushi Sahni, Sarthak Wadhera, Divjot Singh Lamba, Rekha Hans, Arihant Jain, Pankaj Malhotra, Ratti Ram Sharma
{"title":"治疗性血浆交换在登革热相关微血管病中的作用。","authors":"Aarushi Sahni, Sarthak Wadhera, Divjot Singh Lamba, Rekha Hans, Arihant Jain, Pankaj Malhotra, Ratti Ram Sharma","doi":"10.4103/ajts.ajts_227_23","DOIUrl":null,"url":null,"abstract":"<p><p>Thrombotic microangiopathies (TMAs) are a group of disorders characterized by microangiopathic hemolytic anemia and thrombocytopenia, leading to ischemic tissue injury. We, hereby, describe an interesting case of TMA secondary to dengue along with dengue encephalitis. Dengue-related TMA is rarely described. Treatment was initiated with standard-volume (1.5 plasma volume) therapeutic plasma exchange (TPE) by centrifugation method on a multifunctional cell separator (Spectra Optia, Terumo BCT, USA) within a few hours of admission based on high PLASMIC score, which led to improvement in hemolytic parameters and kidney injury. This case highlights the role of early diagnosis and early initiation of TPE is key in the management of dengue-related TMAs.</p>","PeriodicalId":42296,"journal":{"name":"Asian Journal of Transfusion Science","volume":"19 1","pages":"163-166"},"PeriodicalIF":0.6000,"publicationDate":"2025-01-01","publicationTypes":"Journal Article","fieldsOfStudy":null,"isOpenAccess":false,"openAccessPdf":"https://www.ncbi.nlm.nih.gov/pmc/articles/PMC12364035/pdf/","citationCount":"0","resultStr":"{\"title\":\"Role of therapeutic plasma exchange in dengue-related microangiopathy.\",\"authors\":\"Aarushi Sahni, Sarthak Wadhera, Divjot Singh Lamba, Rekha Hans, Arihant Jain, Pankaj Malhotra, Ratti Ram Sharma\",\"doi\":\"10.4103/ajts.ajts_227_23\",\"DOIUrl\":null,\"url\":null,\"abstract\":\"<p><p>Thrombotic microangiopathies (TMAs) are a group of disorders characterized by microangiopathic hemolytic anemia and thrombocytopenia, leading to ischemic tissue injury. We, hereby, describe an interesting case of TMA secondary to dengue along with dengue encephalitis. Dengue-related TMA is rarely described. Treatment was initiated with standard-volume (1.5 plasma volume) therapeutic plasma exchange (TPE) by centrifugation method on a multifunctional cell separator (Spectra Optia, Terumo BCT, USA) within a few hours of admission based on high PLASMIC score, which led to improvement in hemolytic parameters and kidney injury. This case highlights the role of early diagnosis and early initiation of TPE is key in the management of dengue-related TMAs.</p>\",\"PeriodicalId\":42296,\"journal\":{\"name\":\"Asian Journal of Transfusion Science\",\"volume\":\"19 1\",\"pages\":\"163-166\"},\"PeriodicalIF\":0.6000,\"publicationDate\":\"2025-01-01\",\"publicationTypes\":\"Journal Article\",\"fieldsOfStudy\":null,\"isOpenAccess\":false,\"openAccessPdf\":\"https://www.ncbi.nlm.nih.gov/pmc/articles/PMC12364035/pdf/\",\"citationCount\":\"0\",\"resultStr\":null,\"platform\":\"Semanticscholar\",\"paperid\":null,\"PeriodicalName\":\"Asian Journal of Transfusion Science\",\"FirstCategoryId\":\"1085\",\"ListUrlMain\":\"https://doi.org/10.4103/ajts.ajts_227_23\",\"RegionNum\":0,\"RegionCategory\":null,\"ArticlePicture\":[],\"TitleCN\":null,\"AbstractTextCN\":null,\"PMCID\":null,\"EPubDate\":\"2024/8/22 0:00:00\",\"PubModel\":\"Epub\",\"JCR\":\"Q4\",\"JCRName\":\"HEMATOLOGY\",\"Score\":null,\"Total\":0}","platform":"Semanticscholar","paperid":null,"PeriodicalName":"Asian Journal of Transfusion Science","FirstCategoryId":"1085","ListUrlMain":"https://doi.org/10.4103/ajts.ajts_227_23","RegionNum":0,"RegionCategory":null,"ArticlePicture":[],"TitleCN":null,"AbstractTextCN":null,"PMCID":null,"EPubDate":"2024/8/22 0:00:00","PubModel":"Epub","JCR":"Q4","JCRName":"HEMATOLOGY","Score":null,"Total":0}
引用次数: 0

摘要

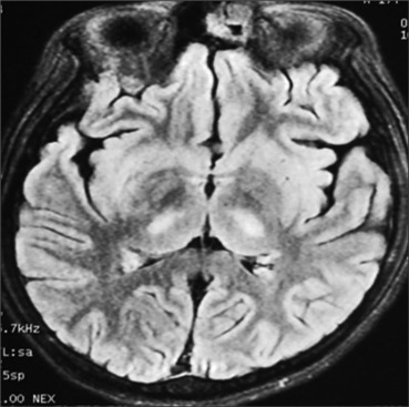
血栓性微血管病变(TMAs)是一组以微血管致病性溶血性贫血和血小板减少为特征的疾病,可导致缺血性组织损伤。我们在此,描述一个有趣的病例TMA继发于登革热与登革脑炎。与登革热相关的TMA很少被描述。入院后几小时内,基于高血浆评分,在多功能细胞分离器(Spectra Optia, Terumo BCT,美国)上进行标准体积(1.5血浆体积)治疗性血浆交换(TPE)治疗,导致溶血参数和肾损伤得到改善。这一病例突出了早期诊断和早期开始TPE的作用,是管理与登革热相关的tma的关键。
本文章由计算机程序翻译,如有差异,请以英文原文为准。

Role of therapeutic plasma exchange in dengue-related microangiopathy.

Role of therapeutic plasma exchange in dengue-related microangiopathy.

Role of therapeutic plasma exchange in dengue-related microangiopathy.

Thrombotic microangiopathies (TMAs) are a group of disorders characterized by microangiopathic hemolytic anemia and thrombocytopenia, leading to ischemic tissue injury. We, hereby, describe an interesting case of TMA secondary to dengue along with dengue encephalitis. Dengue-related TMA is rarely described. Treatment was initiated with standard-volume (1.5 plasma volume) therapeutic plasma exchange (TPE) by centrifugation method on a multifunctional cell separator (Spectra Optia, Terumo BCT, USA) within a few hours of admission based on high PLASMIC score, which led to improvement in hemolytic parameters and kidney injury. This case highlights the role of early diagnosis and early initiation of TPE is key in the management of dengue-related TMAs.

求助全文
通过发布文献求助,成功后即可免费获取论文全文。 去求助
来源期刊
CiteScore
0.90
自引率
0.00%
发文量
56
审稿时长
44 weeks
×
引用
GB/T 7714-2015
复制
MLA
复制
APA
复制
导出至
BibTeX EndNote RefMan NoteFirst NoteExpress
×
提示
您的信息不完整,为了账户安全,请先补充。
现在去补充
×
提示
您因"违规操作"
具体请查看互助需知
我知道了
×
提示
确定
请完成安全验证×
copy
已复制链接
快去分享给好友吧!
我知道了
右上角分享
点击右上角分享
0
联系我们:info@booksci.cn Book学术提供免费学术资源搜索服务,方便国内外学者检索中英文文献。致力于提供最便捷和优质的服务体验。 Copyright © 2023 布克学术 All rights reserved.
京ICP备2023020795号-1
ghs 京公网安备 11010802042870号
Book学术文献互助
Book学术文献互助群
群 号:604180095
Book学术官方微信