体格检查发现子宫肌瘤肉瘤样转化1例。

IF 0.8 Q3 MEDICINE, GENERAL & INTERNAL
Xiaohui Zhou, Chenyu Wu, Mingli Shi
{"title":"体格检查发现子宫肌瘤肉瘤样转化1例。","authors":"Xiaohui Zhou, Chenyu Wu, Mingli Shi","doi":"10.1186/s13256-025-05447-0","DOIUrl":null,"url":null,"abstract":"<p><strong>Background: </strong>Uterine myomas are the most common benign tumors in the female reproductive system. The incidence of malignant transformation within a uterine myoma is low, but once it occurs, the prognosis is usually poor. The clinical symptoms of this disease are not specific, which can easily lead to misdiagnosis or missed diagnosis. Therefore, early diagnosis and timely treatment are crucial for improving the prognosis of patients.</p><p><strong>Case presentation: </strong>A 58-year-old married Chinese female patient had undergone annual check-ups at our hospital from 2007 to 2024, totaling 18 visits. During her initial examination in 2007, uterine fibroids were detected. She experienced natural menopause in 2010. By 2019, no significant changes were observed in the size or characteristics of the uterine fibroids. In 2020, follow-up examinations revealed an increase in the size of the fibroids, although the patient reported no significant subjective symptoms. A preliminary diagnosis of sarcomatous transformation of uterine myomas was made. Subsequently, the patient underwent surgical intervention at an alternative medical facility. Postoperative pathology confirmed the diagnosis of sarcomatous transformation of uterine fibroids. As of the time of writing, she has been attending regular follow-up appointments annually since then, with the most recent visit occurring in November 2024. Currently, the patient's overall health status remains stable, with no reported discomfort. Gynecological examinations and tumor markers (carbohydrate antigen 125 [CA125], carbohydrate antigen 199 [CA199], alpha-fetoprotein [AFP], and carcinoembryonic antigen [CEA]) are all within normal limits.</p><p><strong>Conclusion: </strong>The malignant transformation of a uterine myoma is a rare but extremely serious complication. Timely and accurate diagnosis, followed by appropriate therapeutic interventions, is crucial for improving patient prognosis. Clinicians should maintain heightened vigilance for postmenopausal uterine fibroids that do not undergo expected regression but instead demonstrate growth.</p>","PeriodicalId":16236,"journal":{"name":"Journal of Medical Case Reports","volume":"19 1","pages":"420"},"PeriodicalIF":0.8000,"publicationDate":"2025-08-20","publicationTypes":"Journal Article","fieldsOfStudy":null,"isOpenAccess":false,"openAccessPdf":"https://www.ncbi.nlm.nih.gov/pmc/articles/PMC12369247/pdf/","citationCount":"0","resultStr":"{\"title\":\"Sarcomatoid transformation of uterine myoma identified through physical examination: a case report.\",\"authors\":\"Xiaohui Zhou, Chenyu Wu, Mingli Shi\",\"doi\":\"10.1186/s13256-025-05447-0\",\"DOIUrl\":null,\"url\":null,\"abstract\":\"<p><strong>Background: </strong>Uterine myomas are the most common benign tumors in the female reproductive system. The incidence of malignant transformation within a uterine myoma is low, but once it occurs, the prognosis is usually poor. The clinical symptoms of this disease are not specific, which can easily lead to misdiagnosis or missed diagnosis. Therefore, early diagnosis and timely treatment are crucial for improving the prognosis of patients.</p><p><strong>Case presentation: </strong>A 58-year-old married Chinese female patient had undergone annual check-ups at our hospital from 2007 to 2024, totaling 18 visits. During her initial examination in 2007, uterine fibroids were detected. She experienced natural menopause in 2010. By 2019, no significant changes were observed in the size or characteristics of the uterine fibroids. In 2020, follow-up examinations revealed an increase in the size of the fibroids, although the patient reported no significant subjective symptoms. A preliminary diagnosis of sarcomatous transformation of uterine myomas was made. Subsequently, the patient underwent surgical intervention at an alternative medical facility. Postoperative pathology confirmed the diagnosis of sarcomatous transformation of uterine fibroids. As of the time of writing, she has been attending regular follow-up appointments annually since then, with the most recent visit occurring in November 2024. Currently, the patient's overall health status remains stable, with no reported discomfort. Gynecological examinations and tumor markers (carbohydrate antigen 125 [CA125], carbohydrate antigen 199 [CA199], alpha-fetoprotein [AFP], and carcinoembryonic antigen [CEA]) are all within normal limits.</p><p><strong>Conclusion: </strong>The malignant transformation of a uterine myoma is a rare but extremely serious complication. Timely and accurate diagnosis, followed by appropriate therapeutic interventions, is crucial for improving patient prognosis. Clinicians should maintain heightened vigilance for postmenopausal uterine fibroids that do not undergo expected regression but instead demonstrate growth.</p>\",\"PeriodicalId\":16236,\"journal\":{\"name\":\"Journal of Medical Case Reports\",\"volume\":\"19 1\",\"pages\":\"420\"},\"PeriodicalIF\":0.8000,\"publicationDate\":\"2025-08-20\",\"publicationTypes\":\"Journal Article\",\"fieldsOfStudy\":null,\"isOpenAccess\":false,\"openAccessPdf\":\"https://www.ncbi.nlm.nih.gov/pmc/articles/PMC12369247/pdf/\",\"citationCount\":\"0\",\"resultStr\":null,\"platform\":\"Semanticscholar\",\"paperid\":null,\"PeriodicalName\":\"Journal of Medical Case Reports\",\"FirstCategoryId\":\"1085\",\"ListUrlMain\":\"https://doi.org/10.1186/s13256-025-05447-0\",\"RegionNum\":0,\"RegionCategory\":null,\"ArticlePicture\":[],\"TitleCN\":null,\"AbstractTextCN\":null,\"PMCID\":null,\"EPubDate\":\"\",\"PubModel\":\"\",\"JCR\":\"Q3\",\"JCRName\":\"MEDICINE, GENERAL & INTERNAL\",\"Score\":null,\"Total\":0}","platform":"Semanticscholar","paperid":null,"PeriodicalName":"Journal of Medical Case Reports","FirstCategoryId":"1085","ListUrlMain":"https://doi.org/10.1186/s13256-025-05447-0","RegionNum":0,"RegionCategory":null,"ArticlePicture":[],"TitleCN":null,"AbstractTextCN":null,"PMCID":null,"EPubDate":"","PubModel":"","JCR":"Q3","JCRName":"MEDICINE, GENERAL & INTERNAL","Score":null,"Total":0}
引用次数: 0

摘要

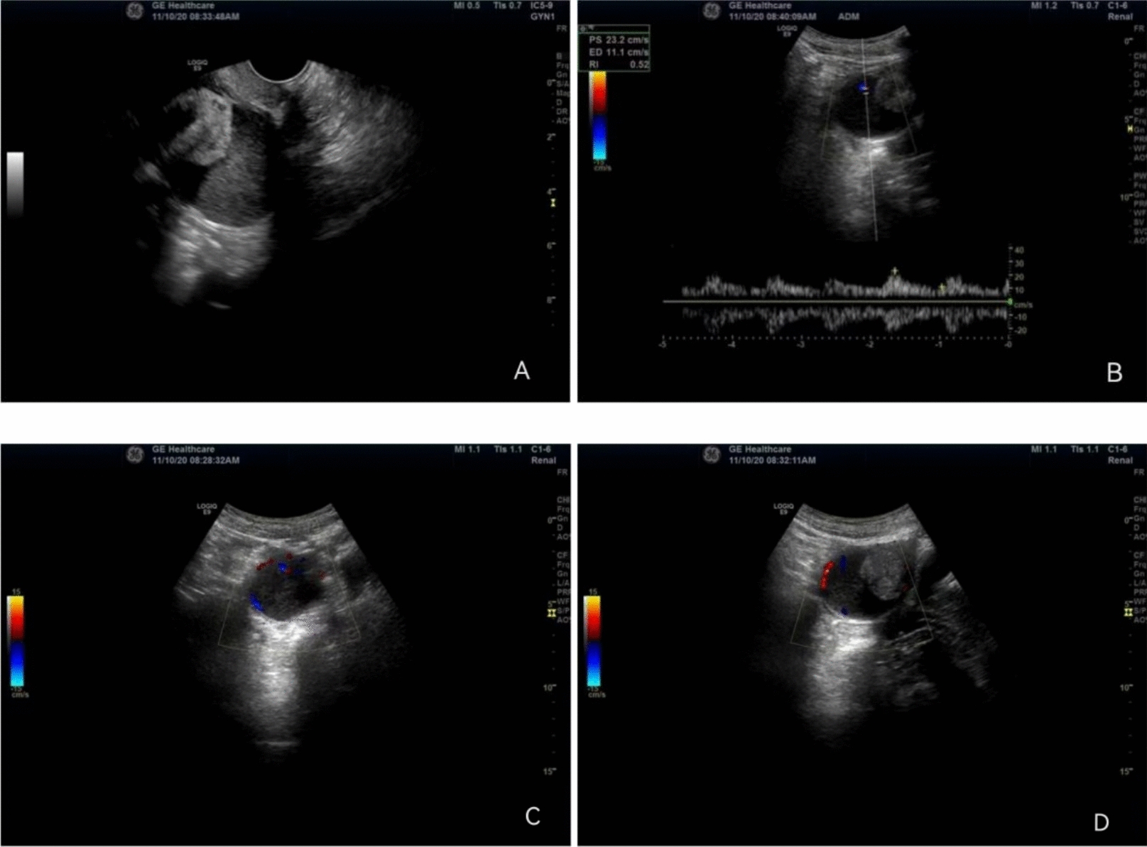
背景:子宫肌瘤是女性生殖系统最常见的良性肿瘤。子宫肌瘤内恶性转化的发生率较低,但一旦发生,预后通常较差。本病临床症状不特异性,易导致误诊或漏诊。因此,早期诊断和及时治疗对改善患者预后至关重要。病例介绍:中国女性,58岁,已婚,于2007年至2024年在我院进行年度体检,共计18次。在2007年的初次检查中,发现子宫肌瘤。她在2010年经历了自然更年期。到2019年,子宫肌瘤的大小或特征没有明显变化。在2020年,随访检查显示肌瘤的大小增加,尽管患者报告没有明显的主观症状。初步诊断为子宫肌瘤的肉瘤性转化。随后,患者在另一家医疗机构接受了手术干预。术后病理证实子宫肌瘤肉瘤转化的诊断。截至撰写本文时,她从那时起每年定期进行随访,最近一次就诊是在2024年11月。目前,患者整体健康状况稳定,无不适报告。妇科检查及肿瘤标志物(糖类抗原125 [CA125]、糖类抗原199 [CA199]、甲胎蛋白[AFP]、癌胚抗原[CEA])均在正常范围内。结论:子宫肌瘤恶性转化是一种罕见但极为严重的并发症。及时准确的诊断,并辅以适当的治疗干预,对改善患者预后至关重要。临床医生应保持高度警惕绝经后子宫肌瘤不经历预期的消退,而是表现出增长。
本文章由计算机程序翻译,如有差异,请以英文原文为准。

Sarcomatoid transformation of uterine myoma identified through physical examination: a case report.

Sarcomatoid transformation of uterine myoma identified through physical examination: a case report.

Background: Uterine myomas are the most common benign tumors in the female reproductive system. The incidence of malignant transformation within a uterine myoma is low, but once it occurs, the prognosis is usually poor. The clinical symptoms of this disease are not specific, which can easily lead to misdiagnosis or missed diagnosis. Therefore, early diagnosis and timely treatment are crucial for improving the prognosis of patients.

Case presentation: A 58-year-old married Chinese female patient had undergone annual check-ups at our hospital from 2007 to 2024, totaling 18 visits. During her initial examination in 2007, uterine fibroids were detected. She experienced natural menopause in 2010. By 2019, no significant changes were observed in the size or characteristics of the uterine fibroids. In 2020, follow-up examinations revealed an increase in the size of the fibroids, although the patient reported no significant subjective symptoms. A preliminary diagnosis of sarcomatous transformation of uterine myomas was made. Subsequently, the patient underwent surgical intervention at an alternative medical facility. Postoperative pathology confirmed the diagnosis of sarcomatous transformation of uterine fibroids. As of the time of writing, she has been attending regular follow-up appointments annually since then, with the most recent visit occurring in November 2024. Currently, the patient's overall health status remains stable, with no reported discomfort. Gynecological examinations and tumor markers (carbohydrate antigen 125 [CA125], carbohydrate antigen 199 [CA199], alpha-fetoprotein [AFP], and carcinoembryonic antigen [CEA]) are all within normal limits.

Conclusion: The malignant transformation of a uterine myoma is a rare but extremely serious complication. Timely and accurate diagnosis, followed by appropriate therapeutic interventions, is crucial for improving patient prognosis. Clinicians should maintain heightened vigilance for postmenopausal uterine fibroids that do not undergo expected regression but instead demonstrate growth.

求助全文
通过发布文献求助,成功后即可免费获取论文全文。 去求助
来源期刊
Journal of Medical Case Reports
Journal of Medical Case Reports Medicine-Medicine (all)
CiteScore
1.50
自引率
0.00%
发文量
436
期刊介绍: JMCR is an open access, peer-reviewed online journal that will consider any original case report that expands the field of general medical knowledge. Reports should show one of the following: 1. Unreported or unusual side effects or adverse interactions involving medications 2. Unexpected or unusual presentations of a disease 3. New associations or variations in disease processes 4. Presentations, diagnoses and/or management of new and emerging diseases 5. An unexpected association between diseases or symptoms 6. An unexpected event in the course of observing or treating a patient 7. Findings that shed new light on the possible pathogenesis of a disease or an adverse effect
×
引用
GB/T 7714-2015
复制
MLA
复制
APA
复制
导出至
BibTeX EndNote RefMan NoteFirst NoteExpress
×
提示
您的信息不完整,为了账户安全,请先补充。
现在去补充
×
提示
您因"违规操作"
具体请查看互助需知
我知道了
×
提示
确定
请完成安全验证×
copy
已复制链接
快去分享给好友吧!
我知道了
右上角分享
点击右上角分享
0
联系我们:info@booksci.cn Book学术提供免费学术资源搜索服务,方便国内外学者检索中英文文献。致力于提供最便捷和优质的服务体验。 Copyright © 2023 布克学术 All rights reserved.
京ICP备2023020795号-1
ghs 京公网安备 11010802042870号
Book学术文献互助
Book学术文献互助群
群 号:604180095
Book学术官方微信