合理二硫工程稳定诺如病毒gi1 .3病毒样颗粒。

IF 6.5 1区 医学 Q1 IMMUNOLOGY
Christopher Warren, Jennifer D Galli, Karin Bystol, Gregory O'Donnell, Andrew R Swartz, Emily A Dewar, Corey May Fulton, Pamela Shen, Estibaliz Gonzalez-Fernandez, Lizzy Aurora DeWitt, Uijin Jeong, Oscar Chi-Chien Pan, Sean Miller, Arthur Fridman, Courtney David, Zhifeng Chen, Jiajie Wei
{"title":"合理二硫工程稳定诺如病毒gi1 .3病毒样颗粒。","authors":"Christopher Warren, Jennifer D Galli, Karin Bystol, Gregory O'Donnell, Andrew R Swartz, Emily A Dewar, Corey May Fulton, Pamela Shen, Estibaliz Gonzalez-Fernandez, Lizzy Aurora DeWitt, Uijin Jeong, Oscar Chi-Chien Pan, Sean Miller, Arthur Fridman, Courtney David, Zhifeng Chen, Jiajie Wei","doi":"10.1038/s41541-025-01254-2","DOIUrl":null,"url":null,"abstract":"<p><p>Noroviruses are non-enveloped, single-stranded positive-sense RNA viruses and the leading cause of gastroenteritis worldwide. The major capsid protein, VP1, can self-assemble into non-infectious virus-like particles (VLPs), representing an attractive vaccine platform. It was demonstrated that engineered disulfide bonds within VP1 could significantly stabilize VLPs of the archetypal GI.1 strain. Here, we apply a similar strategy to VLPs of multiple circulating GII genotypes. We find that engineered disulfide mutations can significantly stabilize VLPs of the GII.3 strain, but not the closely related GII.6 strain. Disulfide-stabilized GII.3 VLPs (GII.3-DS1) exhibit increased yields, greater homogeneity, and higher thermal stability compared to wild-type GII.3 VLPs. GII.3-DS1 VLPs are a superior reagent in immunological assays compared to the wild-type counterpart. Importantly, mRNA encoding GII.3-DS1 elicits superior humoral immune responses compared to wild-type GII.3 mRNA in mice. These results demonstrate the utility of rational VLP stabilization for advancing vaccine development efforts.</p>","PeriodicalId":19335,"journal":{"name":"NPJ Vaccines","volume":"10 1","pages":"196"},"PeriodicalIF":6.5000,"publicationDate":"2025-08-19","publicationTypes":"Journal Article","fieldsOfStudy":null,"isOpenAccess":false,"openAccessPdf":"https://www.ncbi.nlm.nih.gov/pmc/articles/PMC12365219/pdf/","citationCount":"0","resultStr":"{\"title\":\"Stabilization of norovirus GII.3 virus-like particles by rational disulfide engineering.\",\"authors\":\"Christopher Warren, Jennifer D Galli, Karin Bystol, Gregory O'Donnell, Andrew R Swartz, Emily A Dewar, Corey May Fulton, Pamela Shen, Estibaliz Gonzalez-Fernandez, Lizzy Aurora DeWitt, Uijin Jeong, Oscar Chi-Chien Pan, Sean Miller, Arthur Fridman, Courtney David, Zhifeng Chen, Jiajie Wei\",\"doi\":\"10.1038/s41541-025-01254-2\",\"DOIUrl\":null,\"url\":null,\"abstract\":\"<p><p>Noroviruses are non-enveloped, single-stranded positive-sense RNA viruses and the leading cause of gastroenteritis worldwide. The major capsid protein, VP1, can self-assemble into non-infectious virus-like particles (VLPs), representing an attractive vaccine platform. It was demonstrated that engineered disulfide bonds within VP1 could significantly stabilize VLPs of the archetypal GI.1 strain. Here, we apply a similar strategy to VLPs of multiple circulating GII genotypes. We find that engineered disulfide mutations can significantly stabilize VLPs of the GII.3 strain, but not the closely related GII.6 strain. Disulfide-stabilized GII.3 VLPs (GII.3-DS1) exhibit increased yields, greater homogeneity, and higher thermal stability compared to wild-type GII.3 VLPs. GII.3-DS1 VLPs are a superior reagent in immunological assays compared to the wild-type counterpart. Importantly, mRNA encoding GII.3-DS1 elicits superior humoral immune responses compared to wild-type GII.3 mRNA in mice. These results demonstrate the utility of rational VLP stabilization for advancing vaccine development efforts.</p>\",\"PeriodicalId\":19335,\"journal\":{\"name\":\"NPJ Vaccines\",\"volume\":\"10 1\",\"pages\":\"196\"},\"PeriodicalIF\":6.5000,\"publicationDate\":\"2025-08-19\",\"publicationTypes\":\"Journal Article\",\"fieldsOfStudy\":null,\"isOpenAccess\":false,\"openAccessPdf\":\"https://www.ncbi.nlm.nih.gov/pmc/articles/PMC12365219/pdf/\",\"citationCount\":\"0\",\"resultStr\":null,\"platform\":\"Semanticscholar\",\"paperid\":null,\"PeriodicalName\":\"NPJ Vaccines\",\"FirstCategoryId\":\"3\",\"ListUrlMain\":\"https://doi.org/10.1038/s41541-025-01254-2\",\"RegionNum\":1,\"RegionCategory\":\"医学\",\"ArticlePicture\":[],\"TitleCN\":null,\"AbstractTextCN\":null,\"PMCID\":null,\"EPubDate\":\"\",\"PubModel\":\"\",\"JCR\":\"Q1\",\"JCRName\":\"IMMUNOLOGY\",\"Score\":null,\"Total\":0}","platform":"Semanticscholar","paperid":null,"PeriodicalName":"NPJ Vaccines","FirstCategoryId":"3","ListUrlMain":"https://doi.org/10.1038/s41541-025-01254-2","RegionNum":1,"RegionCategory":"医学","ArticlePicture":[],"TitleCN":null,"AbstractTextCN":null,"PMCID":null,"EPubDate":"","PubModel":"","JCR":"Q1","JCRName":"IMMUNOLOGY","Score":null,"Total":0}
引用次数: 0

摘要

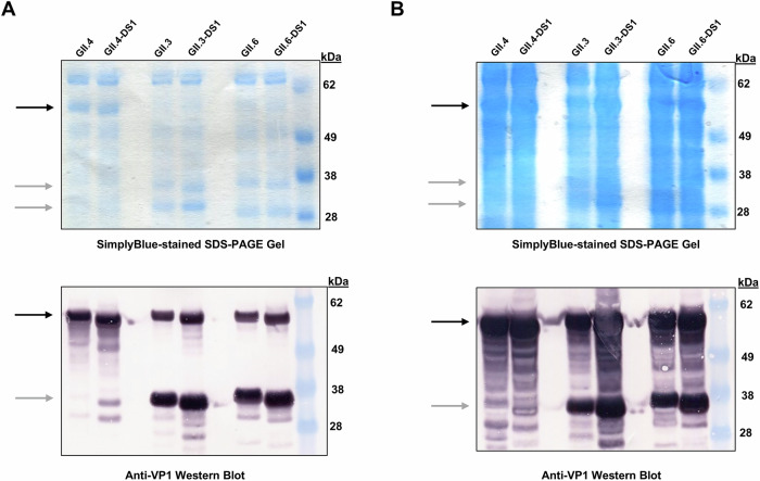
诺如病毒是非包膜的单链正义RNA病毒,是全世界胃肠炎的主要病因。主要的衣壳蛋白VP1可以自组装成非传染性病毒样颗粒(vlp),代表了一个有吸引力的疫苗平台。结果表明,VP1内的工程二硫键可以显著稳定原型GI.1菌株的VLPs。在这里,我们将类似的策略应用于多种循环GII基因型的VLPs。我们发现工程二硫突变可以显著稳定GII.3菌株的VLPs,但不稳定密切相关的GII.6菌株。与野生型GII.3 VLPs相比,二硫化物稳定的GII.3 VLPs (GII.3- ds1)表现出更高的产量、更强的均匀性和更高的热稳定性。与野生型相比,GII.3-DS1 VLPs在免疫分析中是一种优越的试剂。重要的是,与野生型GII.3 mRNA相比,编码GII.3- ds1的mRNA在小鼠中引发了更优越的体液免疫反应。这些结果证明了合理的VLP稳定对于推进疫苗开发工作的效用。
本文章由计算机程序翻译,如有差异,请以英文原文为准。

Stabilization of norovirus GII.3 virus-like particles by rational disulfide engineering.

Stabilization of norovirus GII.3 virus-like particles by rational disulfide engineering.

Stabilization of norovirus GII.3 virus-like particles by rational disulfide engineering.

Stabilization of norovirus GII.3 virus-like particles by rational disulfide engineering.

Noroviruses are non-enveloped, single-stranded positive-sense RNA viruses and the leading cause of gastroenteritis worldwide. The major capsid protein, VP1, can self-assemble into non-infectious virus-like particles (VLPs), representing an attractive vaccine platform. It was demonstrated that engineered disulfide bonds within VP1 could significantly stabilize VLPs of the archetypal GI.1 strain. Here, we apply a similar strategy to VLPs of multiple circulating GII genotypes. We find that engineered disulfide mutations can significantly stabilize VLPs of the GII.3 strain, but not the closely related GII.6 strain. Disulfide-stabilized GII.3 VLPs (GII.3-DS1) exhibit increased yields, greater homogeneity, and higher thermal stability compared to wild-type GII.3 VLPs. GII.3-DS1 VLPs are a superior reagent in immunological assays compared to the wild-type counterpart. Importantly, mRNA encoding GII.3-DS1 elicits superior humoral immune responses compared to wild-type GII.3 mRNA in mice. These results demonstrate the utility of rational VLP stabilization for advancing vaccine development efforts.

求助全文
通过发布文献求助,成功后即可免费获取论文全文。 去求助
来源期刊
NPJ Vaccines
NPJ Vaccines Immunology and Microbiology-Immunology
CiteScore
11.90
自引率
4.30%
发文量
146
审稿时长
11 weeks
期刊介绍: Online-only and open access, npj Vaccines is dedicated to highlighting the most important scientific advances in vaccine research and development.
×
引用
GB/T 7714-2015
复制
MLA
复制
APA
复制
导出至
BibTeX EndNote RefMan NoteFirst NoteExpress
×
提示
您的信息不完整,为了账户安全,请先补充。
现在去补充
×
提示
您因"违规操作"
具体请查看互助需知
我知道了
×
提示
确定
请完成安全验证×
copy
已复制链接
快去分享给好友吧!
我知道了
右上角分享
点击右上角分享
0
联系我们:info@booksci.cn Book学术提供免费学术资源搜索服务,方便国内外学者检索中英文文献。致力于提供最便捷和优质的服务体验。 Copyright © 2023 布克学术 All rights reserved.
京ICP备2023020795号-1
ghs 京公网安备 11010802042870号
Book学术文献互助
Book学术文献互助群
群 号:604180095
Book学术官方微信