西洛他唑在静脉注射阿替普酶治疗急性分支动脉粥样硬化前的应用:附3例报告。

IF 0.9 Q4 CLINICAL NEUROLOGY
Case Reports in Neurological Medicine Pub Date : 2025-08-11 eCollection Date: 2025-01-01 DOI:10.1155/crnm/3508206
Eijirou Tanaka, Yoshinari Nagakane, Daiki Fukunaga, Daisuke Nakashima, Takehiro Yamada
{"title":"西洛他唑在静脉注射阿替普酶治疗急性分支动脉粥样硬化前的应用:附3例报告。","authors":"Eijirou Tanaka, Yoshinari Nagakane, Daiki Fukunaga, Daisuke Nakashima, Takehiro Yamada","doi":"10.1155/crnm/3508206","DOIUrl":null,"url":null,"abstract":"<p><p>Patients with acute branch atheromatous disease often experience early neurological deterioration (END) in the first 24-h period, even after intravenous alteplase. Three cases treated with cilostazol, a phosphodiesterase 3-inhibitor, prior to intravenous alteplase with the aim of mitigating END are described. All three patients had no bleeding complications and good outcomes at 3 months, although two patients showed END within 24 h after intravenous alteplase.</p>","PeriodicalId":9615,"journal":{"name":"Case Reports in Neurological Medicine","volume":"2025 ","pages":"3508206"},"PeriodicalIF":0.9000,"publicationDate":"2025-08-11","publicationTypes":"Journal Article","fieldsOfStudy":null,"isOpenAccess":false,"openAccessPdf":"https://www.ncbi.nlm.nih.gov/pmc/articles/PMC12360887/pdf/","citationCount":"0","resultStr":"{\"title\":\"Administration of Cilostazol Prior to Intravenous Alteplase for Acute Branch Atheromatous Disease: A Report of Three Cases.\",\"authors\":\"Eijirou Tanaka, Yoshinari Nagakane, Daiki Fukunaga, Daisuke Nakashima, Takehiro Yamada\",\"doi\":\"10.1155/crnm/3508206\",\"DOIUrl\":null,\"url\":null,\"abstract\":\"<p><p>Patients with acute branch atheromatous disease often experience early neurological deterioration (END) in the first 24-h period, even after intravenous alteplase. Three cases treated with cilostazol, a phosphodiesterase 3-inhibitor, prior to intravenous alteplase with the aim of mitigating END are described. All three patients had no bleeding complications and good outcomes at 3 months, although two patients showed END within 24 h after intravenous alteplase.</p>\",\"PeriodicalId\":9615,\"journal\":{\"name\":\"Case Reports in Neurological Medicine\",\"volume\":\"2025 \",\"pages\":\"3508206\"},\"PeriodicalIF\":0.9000,\"publicationDate\":\"2025-08-11\",\"publicationTypes\":\"Journal Article\",\"fieldsOfStudy\":null,\"isOpenAccess\":false,\"openAccessPdf\":\"https://www.ncbi.nlm.nih.gov/pmc/articles/PMC12360887/pdf/\",\"citationCount\":\"0\",\"resultStr\":null,\"platform\":\"Semanticscholar\",\"paperid\":null,\"PeriodicalName\":\"Case Reports in Neurological Medicine\",\"FirstCategoryId\":\"1085\",\"ListUrlMain\":\"https://doi.org/10.1155/crnm/3508206\",\"RegionNum\":0,\"RegionCategory\":null,\"ArticlePicture\":[],\"TitleCN\":null,\"AbstractTextCN\":null,\"PMCID\":null,\"EPubDate\":\"2025/1/1 0:00:00\",\"PubModel\":\"eCollection\",\"JCR\":\"Q4\",\"JCRName\":\"CLINICAL NEUROLOGY\",\"Score\":null,\"Total\":0}","platform":"Semanticscholar","paperid":null,"PeriodicalName":"Case Reports in Neurological Medicine","FirstCategoryId":"1085","ListUrlMain":"https://doi.org/10.1155/crnm/3508206","RegionNum":0,"RegionCategory":null,"ArticlePicture":[],"TitleCN":null,"AbstractTextCN":null,"PMCID":null,"EPubDate":"2025/1/1 0:00:00","PubModel":"eCollection","JCR":"Q4","JCRName":"CLINICAL NEUROLOGY","Score":null,"Total":0}
引用次数: 0

摘要

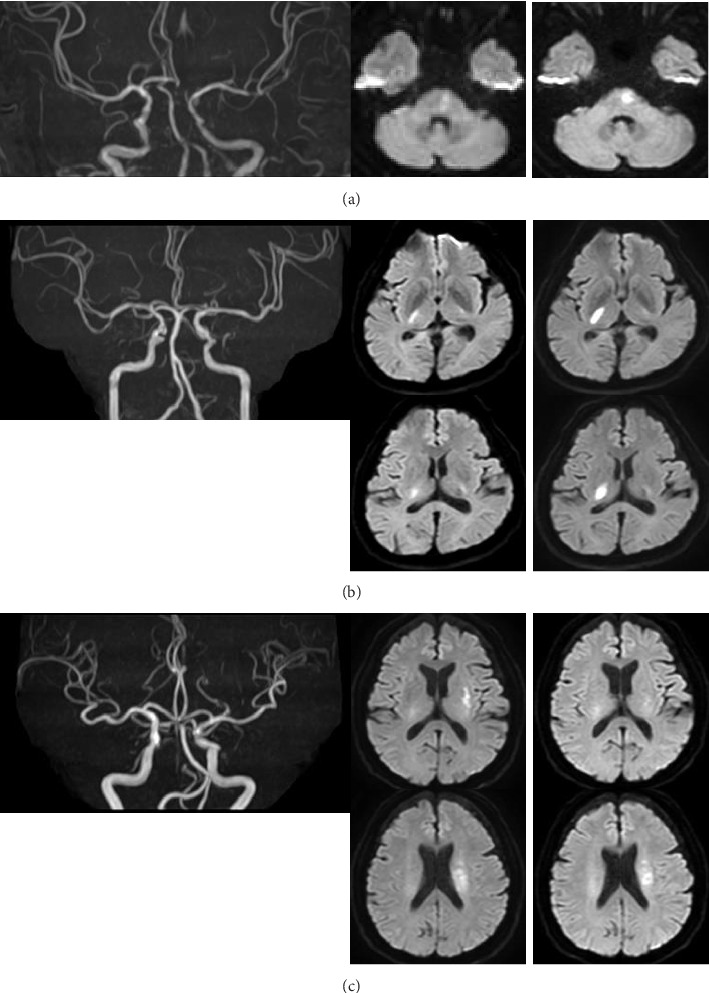
急性分支动脉粥样硬化患者通常在最初24小时内经历早期神经功能恶化(END),即使在静脉注射阿替普酶后也是如此。在静脉注射阿替普酶之前,用西洛他唑(一种磷酸二酯酶3抑制剂)治疗3例,目的是减轻END。3例患者均无出血并发症,3个月时预后良好,但有2例患者在静脉注射阿替普酶后24小时内出现END。
本文章由计算机程序翻译,如有差异,请以英文原文为准。

Administration of Cilostazol Prior to Intravenous Alteplase for Acute Branch Atheromatous Disease: A Report of Three Cases.

Administration of Cilostazol Prior to Intravenous Alteplase for Acute Branch Atheromatous Disease: A Report of Three Cases.

Patients with acute branch atheromatous disease often experience early neurological deterioration (END) in the first 24-h period, even after intravenous alteplase. Three cases treated with cilostazol, a phosphodiesterase 3-inhibitor, prior to intravenous alteplase with the aim of mitigating END are described. All three patients had no bleeding complications and good outcomes at 3 months, although two patients showed END within 24 h after intravenous alteplase.

求助全文
通过发布文献求助,成功后即可免费获取论文全文。 去求助
来源期刊
自引率
0.00%
发文量
26
审稿时长
11 weeks
×
引用
GB/T 7714-2015
复制
MLA
复制
APA
复制
导出至
BibTeX EndNote RefMan NoteFirst NoteExpress
×
提示
您的信息不完整,为了账户安全,请先补充。
现在去补充
×
提示
您因"违规操作"
具体请查看互助需知
我知道了
×
提示
确定
请完成安全验证×
copy
已复制链接
快去分享给好友吧!
我知道了
右上角分享
点击右上角分享
0
联系我们:info@booksci.cn Book学术提供免费学术资源搜索服务,方便国内外学者检索中英文文献。致力于提供最便捷和优质的服务体验。 Copyright © 2023 布克学术 All rights reserved.
京ICP备2023020795号-1
ghs 京公网安备 11010802042870号
Book学术文献互助
Book学术文献互助群
群 号:604180095
Book学术官方微信