微波消融肺类癌:不能手术病例的一种治疗选择。

IF 1.3 4区 医学 Q4 RADIOLOGY, NUCLEAR MEDICINE & MEDICAL IMAGING
Journal of the Belgian Society of Radiology Pub Date : 2025-08-14 eCollection Date: 2025-01-01 DOI:10.5334/jbsr.3960
Thierry Nzoyisaba, Jean-François Goyers
{"title":"微波消融肺类癌:不能手术病例的一种治疗选择。","authors":"Thierry Nzoyisaba, Jean-François Goyers","doi":"10.5334/jbsr.3960","DOIUrl":null,"url":null,"abstract":"<p><p>Pulmonary carcinoid tumors are rare and may lead to severe paraneoplastic syndromes. A case is reported of an inoperable 78‑year‑old patient with ACTH‑dependent Cushing's syndrome successfully treated with microwave ablation. The procedure resulted in rapid clinical improvement without complications and radiological stability. <i>Teaching point:</i> The role of microwave ablation as a minimally invasive alternative for selected inoperable patients, offering an effective tumor control strategy with minimal morbidity.</p>","PeriodicalId":55987,"journal":{"name":"Journal of the Belgian Society of Radiology","volume":"109 1","pages":"32"},"PeriodicalIF":1.3000,"publicationDate":"2025-08-14","publicationTypes":"Journal Article","fieldsOfStudy":null,"isOpenAccess":false,"openAccessPdf":"https://www.ncbi.nlm.nih.gov/pmc/articles/PMC12352386/pdf/","citationCount":"0","resultStr":"{\"title\":\"Microwave Ablation of Pulmonary Carcinoid Tumor: A Therapeutic Alternative for Inoperable Cases.\",\"authors\":\"Thierry Nzoyisaba, Jean-François Goyers\",\"doi\":\"10.5334/jbsr.3960\",\"DOIUrl\":null,\"url\":null,\"abstract\":\"<p><p>Pulmonary carcinoid tumors are rare and may lead to severe paraneoplastic syndromes. A case is reported of an inoperable 78‑year‑old patient with ACTH‑dependent Cushing's syndrome successfully treated with microwave ablation. The procedure resulted in rapid clinical improvement without complications and radiological stability. <i>Teaching point:</i> The role of microwave ablation as a minimally invasive alternative for selected inoperable patients, offering an effective tumor control strategy with minimal morbidity.</p>\",\"PeriodicalId\":55987,\"journal\":{\"name\":\"Journal of the Belgian Society of Radiology\",\"volume\":\"109 1\",\"pages\":\"32\"},\"PeriodicalIF\":1.3000,\"publicationDate\":\"2025-08-14\",\"publicationTypes\":\"Journal Article\",\"fieldsOfStudy\":null,\"isOpenAccess\":false,\"openAccessPdf\":\"https://www.ncbi.nlm.nih.gov/pmc/articles/PMC12352386/pdf/\",\"citationCount\":\"0\",\"resultStr\":null,\"platform\":\"Semanticscholar\",\"paperid\":null,\"PeriodicalName\":\"Journal of the Belgian Society of Radiology\",\"FirstCategoryId\":\"3\",\"ListUrlMain\":\"https://doi.org/10.5334/jbsr.3960\",\"RegionNum\":4,\"RegionCategory\":\"医学\",\"ArticlePicture\":[],\"TitleCN\":null,\"AbstractTextCN\":null,\"PMCID\":null,\"EPubDate\":\"2025/1/1 0:00:00\",\"PubModel\":\"eCollection\",\"JCR\":\"Q4\",\"JCRName\":\"RADIOLOGY, NUCLEAR MEDICINE & MEDICAL IMAGING\",\"Score\":null,\"Total\":0}","platform":"Semanticscholar","paperid":null,"PeriodicalName":"Journal of the Belgian Society of Radiology","FirstCategoryId":"3","ListUrlMain":"https://doi.org/10.5334/jbsr.3960","RegionNum":4,"RegionCategory":"医学","ArticlePicture":[],"TitleCN":null,"AbstractTextCN":null,"PMCID":null,"EPubDate":"2025/1/1 0:00:00","PubModel":"eCollection","JCR":"Q4","JCRName":"RADIOLOGY, NUCLEAR MEDICINE & MEDICAL IMAGING","Score":null,"Total":0}
引用次数: 0

摘要

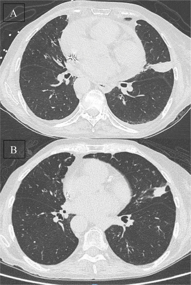
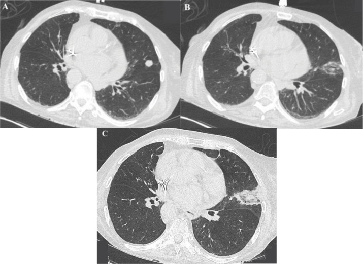
肺类癌是罕见的,可导致严重的副肿瘤综合征。本文报道一例78岁的ACTH依赖性库欣综合征患者不能手术,经微波消融术成功治疗。该手术导致临床迅速改善,无并发症和放射学稳定性。教学要点:微波消融术作为一种微创治疗选择,为不能手术的患者提供了一种有效的肿瘤控制策略。
本文章由计算机程序翻译,如有差异,请以英文原文为准。

Microwave Ablation of Pulmonary Carcinoid Tumor: A Therapeutic Alternative for Inoperable Cases.

Microwave Ablation of Pulmonary Carcinoid Tumor: A Therapeutic Alternative for Inoperable Cases.

Microwave Ablation of Pulmonary Carcinoid Tumor: A Therapeutic Alternative for Inoperable Cases.

Pulmonary carcinoid tumors are rare and may lead to severe paraneoplastic syndromes. A case is reported of an inoperable 78‑year‑old patient with ACTH‑dependent Cushing's syndrome successfully treated with microwave ablation. The procedure resulted in rapid clinical improvement without complications and radiological stability. Teaching point: The role of microwave ablation as a minimally invasive alternative for selected inoperable patients, offering an effective tumor control strategy with minimal morbidity.

求助全文
通过发布文献求助,成功后即可免费获取论文全文。 去求助
来源期刊
Journal of the Belgian Society of Radiology
Journal of the Belgian Society of Radiology Medicine-Radiology, Nuclear Medicine and Imaging
CiteScore
0.70
自引率
5.00%
发文量
96
期刊介绍: The purpose of the Journal of the Belgian Society of Radiology is the publication of articles dealing with diagnostic and interventional radiology, related imaging techniques, allied sciences, and continuing education.
×
引用
GB/T 7714-2015
复制
MLA
复制
APA
复制
导出至
BibTeX EndNote RefMan NoteFirst NoteExpress
×
提示
您的信息不完整,为了账户安全,请先补充。
现在去补充
×
提示
您因"违规操作"
具体请查看互助需知
我知道了
×
提示
确定
请完成安全验证×
copy
已复制链接
快去分享给好友吧!
我知道了
右上角分享
点击右上角分享
0
联系我们:info@booksci.cn Book学术提供免费学术资源搜索服务,方便国内外学者检索中英文文献。致力于提供最便捷和优质的服务体验。 Copyright © 2023 布克学术 All rights reserved.
京ICP备2023020795号-1
ghs 京公网安备 11010802042870号
Book学术文献互助
Book学术文献互助群
群 号:604180095
Book学术官方微信