颈椎髓内脊髓脓肿迅速进行性意识受损1例报告。

IF 1.8 Q2 MEDICINE, GENERAL & INTERNAL
JMA journal Pub Date : 2025-07-15 Epub Date: 2025-06-06 DOI:10.31662/jmaj.2024-0385
Yuma Hiratsuka, Yasufumi Ohtake, Hirohiko Nakamura
{"title":"颈椎髓内脊髓脓肿迅速进行性意识受损1例报告。","authors":"Yuma Hiratsuka, Yasufumi Ohtake, Hirohiko Nakamura","doi":"10.31662/jmaj.2024-0385","DOIUrl":null,"url":null,"abstract":"<p><p>Intramedullary spinal cord abscesses rarely cause impaired consciousness without intracranial infection. We report the case of a 65-year-old woman who presented with neck pain and right upper limb weakness. She developed rapidly progressive impaired consciousness within three days of admission. Initial magnetic resonance imaging revealed a right-sided intramedullary lesion at C4-C5 with surrounding edema extending to the brainstem. Brain imaging showed no abnormalities. An initial diagnosis of a spinal cord tumor was made. Follow-up imaging demonstrated lesion expansion with ring enhancement. The patient subsequently developed impaired consciousness and quadriplegia. Emergency surgery revealed and drained a spinal cord abscess, with cultures growing α-hemolytic Streptococcus. The patient's consciousness improved quickly after surgery. Previously undiagnosed type 2 diabetes was identified during admission. Despite extensive investigation, no obvious source of infection was found. Antibiotic therapy with ampicillin was continued for one month. Imaging at two months showed complete resolution of the abscess. The patient regained independent walking ability after rehabilitation, with only slight residual right arm weakness. No recurrence was observed during ten years of follow-up. This case demonstrates that a cervical spinal cord abscess can cause impaired consciousness through brainstem edema without intracranial infection. Early surgical intervention combined with appropriate antibiotics may lead to favorable outcomes.</p>","PeriodicalId":73550,"journal":{"name":"JMA journal","volume":"8 3","pages":"1000-1004"},"PeriodicalIF":1.8000,"publicationDate":"2025-07-15","publicationTypes":"Journal Article","fieldsOfStudy":null,"isOpenAccess":false,"openAccessPdf":"https://www.ncbi.nlm.nih.gov/pmc/articles/PMC12329000/pdf/","citationCount":"0","resultStr":"{\"title\":\"Rapidly Progressive Impaired Consciousness in Cervical Intramedullary Spinal Cord Abscess: A Case Report.\",\"authors\":\"Yuma Hiratsuka, Yasufumi Ohtake, Hirohiko Nakamura\",\"doi\":\"10.31662/jmaj.2024-0385\",\"DOIUrl\":null,\"url\":null,\"abstract\":\"<p><p>Intramedullary spinal cord abscesses rarely cause impaired consciousness without intracranial infection. We report the case of a 65-year-old woman who presented with neck pain and right upper limb weakness. She developed rapidly progressive impaired consciousness within three days of admission. Initial magnetic resonance imaging revealed a right-sided intramedullary lesion at C4-C5 with surrounding edema extending to the brainstem. Brain imaging showed no abnormalities. An initial diagnosis of a spinal cord tumor was made. Follow-up imaging demonstrated lesion expansion with ring enhancement. The patient subsequently developed impaired consciousness and quadriplegia. Emergency surgery revealed and drained a spinal cord abscess, with cultures growing α-hemolytic Streptococcus. The patient's consciousness improved quickly after surgery. Previously undiagnosed type 2 diabetes was identified during admission. Despite extensive investigation, no obvious source of infection was found. Antibiotic therapy with ampicillin was continued for one month. Imaging at two months showed complete resolution of the abscess. The patient regained independent walking ability after rehabilitation, with only slight residual right arm weakness. No recurrence was observed during ten years of follow-up. This case demonstrates that a cervical spinal cord abscess can cause impaired consciousness through brainstem edema without intracranial infection. Early surgical intervention combined with appropriate antibiotics may lead to favorable outcomes.</p>\",\"PeriodicalId\":73550,\"journal\":{\"name\":\"JMA journal\",\"volume\":\"8 3\",\"pages\":\"1000-1004\"},\"PeriodicalIF\":1.8000,\"publicationDate\":\"2025-07-15\",\"publicationTypes\":\"Journal Article\",\"fieldsOfStudy\":null,\"isOpenAccess\":false,\"openAccessPdf\":\"https://www.ncbi.nlm.nih.gov/pmc/articles/PMC12329000/pdf/\",\"citationCount\":\"0\",\"resultStr\":null,\"platform\":\"Semanticscholar\",\"paperid\":null,\"PeriodicalName\":\"JMA journal\",\"FirstCategoryId\":\"1085\",\"ListUrlMain\":\"https://doi.org/10.31662/jmaj.2024-0385\",\"RegionNum\":0,\"RegionCategory\":null,\"ArticlePicture\":[],\"TitleCN\":null,\"AbstractTextCN\":null,\"PMCID\":null,\"EPubDate\":\"2025/6/6 0:00:00\",\"PubModel\":\"Epub\",\"JCR\":\"Q2\",\"JCRName\":\"MEDICINE, GENERAL & INTERNAL\",\"Score\":null,\"Total\":0}","platform":"Semanticscholar","paperid":null,"PeriodicalName":"JMA journal","FirstCategoryId":"1085","ListUrlMain":"https://doi.org/10.31662/jmaj.2024-0385","RegionNum":0,"RegionCategory":null,"ArticlePicture":[],"TitleCN":null,"AbstractTextCN":null,"PMCID":null,"EPubDate":"2025/6/6 0:00:00","PubModel":"Epub","JCR":"Q2","JCRName":"MEDICINE, GENERAL & INTERNAL","Score":null,"Total":0}
引用次数: 0

摘要

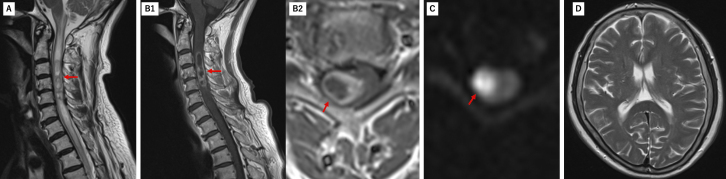
髓内脊髓脓肿很少引起意识受损而不引起颅内感染。我们报告的情况下,65岁的妇女谁提出颈部疼痛和右上肢无力。入院三天内,她的意识迅速恶化。最初的磁共振成像显示右侧C4-C5髓内病变,周围水肿延伸至脑干。脑成像未见异常。初步诊断为脊髓肿瘤。随访影像学显示病灶扩大伴环形强化。患者随后出现意识受损和四肢瘫痪。急诊手术发现并排出脊髓脓肿,培养物生长α-溶血性链球菌。手术后病人的意识恢复得很快。入院时发现先前未确诊的2型糖尿病。经广泛调查,未发现明显传染源。氨苄西林抗生素治疗持续1个月。两个月后的影像学显示脓肿完全消退。患者康复后恢复独立行走能力,仅残留轻微右臂无力。随访10年未见复发。本病例表明,颈脊髓脓肿可通过脑干水肿引起意识受损,而不发生颅内感染。早期手术干预配合适当的抗生素治疗可获得良好的结果。
本文章由计算机程序翻译,如有差异,请以英文原文为准。

Rapidly Progressive Impaired Consciousness in Cervical Intramedullary Spinal Cord Abscess: A Case Report.

Rapidly Progressive Impaired Consciousness in Cervical Intramedullary Spinal Cord Abscess: A Case Report.

Rapidly Progressive Impaired Consciousness in Cervical Intramedullary Spinal Cord Abscess: A Case Report.

Rapidly Progressive Impaired Consciousness in Cervical Intramedullary Spinal Cord Abscess: A Case Report.

Intramedullary spinal cord abscesses rarely cause impaired consciousness without intracranial infection. We report the case of a 65-year-old woman who presented with neck pain and right upper limb weakness. She developed rapidly progressive impaired consciousness within three days of admission. Initial magnetic resonance imaging revealed a right-sided intramedullary lesion at C4-C5 with surrounding edema extending to the brainstem. Brain imaging showed no abnormalities. An initial diagnosis of a spinal cord tumor was made. Follow-up imaging demonstrated lesion expansion with ring enhancement. The patient subsequently developed impaired consciousness and quadriplegia. Emergency surgery revealed and drained a spinal cord abscess, with cultures growing α-hemolytic Streptococcus. The patient's consciousness improved quickly after surgery. Previously undiagnosed type 2 diabetes was identified during admission. Despite extensive investigation, no obvious source of infection was found. Antibiotic therapy with ampicillin was continued for one month. Imaging at two months showed complete resolution of the abscess. The patient regained independent walking ability after rehabilitation, with only slight residual right arm weakness. No recurrence was observed during ten years of follow-up. This case demonstrates that a cervical spinal cord abscess can cause impaired consciousness through brainstem edema without intracranial infection. Early surgical intervention combined with appropriate antibiotics may lead to favorable outcomes.

求助全文
通过发布文献求助,成功后即可免费获取论文全文。 去求助
来源期刊
自引率
0.00%
发文量
0
×
引用
GB/T 7714-2015
复制
MLA
复制
APA
复制
导出至
BibTeX EndNote RefMan NoteFirst NoteExpress
×
提示
您的信息不完整,为了账户安全,请先补充。
现在去补充
×
提示
您因"违规操作"
具体请查看互助需知
我知道了
×
提示
确定
请完成安全验证×
copy
已复制链接
快去分享给好友吧!
我知道了
右上角分享
点击右上角分享
0
联系我们:info@booksci.cn Book学术提供免费学术资源搜索服务,方便国内外学者检索中英文文献。致力于提供最便捷和优质的服务体验。 Copyright © 2023 布克学术 All rights reserved.
京ICP备2023020795号-1
ghs 京公网安备 11010802042870号
Book学术文献互助
Book学术文献互助群
群 号:604180095
Book学术官方微信